Click here to close
Hello! We notice that you are using Internet Explorer, which is not supported by Xenbase and may cause the site to display incorrectly.
We suggest using a current version of Chrome,
FireFox, or Safari.
???displayArticle.abstract???
Mutations in the Tbx5 transcription factor cause heart septal defects found in human Holt-Oram Syndrome. The complete extent to which Tbx5 functions in heart development, however, has not been established. Here we show that, in Xenopus embryos, Tbx5 is expressed in the early heart field, posterior to the cardiac homeobox transcription factor, Nkx2.5. During morphogenesis, Tbx5 is expressed throughout the heart tube except the anterior portion, the bulbus cordis. When Tbx5 activity is antagonized with a hormone-inducible, dominant negative version of the protein, the heart fails to develop. These results suggest that, in addition to its function in heart septation, Tbx5 has a more global role in cardiac specification and heart development in vertebrate embryos.
Fig. 1. XTbx5 protein comparison. (A) A comparison of the predicted amino acid sequence of Xenopus, human and chick Tbx5. XTbx5 and
hTbx5 share 67% amino acid identity overall, while XTbx5 and cTbx5 share 70% amino acid identity. The greatest degree of amino acid
identity is found within the T domain, which is boxed. (B) Amino acid sequence alignment of the T domain of XTbx5 with other T domain
proteins. The overall amino acid identity of each with the T domain of XTbx5 is: 98% human Tbx5, 91% mouse Tbx5, 98% chick Tbx5, 82%
mouse Tbx4, 54% Brat, 53% Eom, 49% Xbra. Protein analysis was done using MacVector’s Clustal protein alignment software. Identical
amino acids are shaded and gaps are represented as dashes. The amino acid sequences corresponding to the degenerate primers are indicated by
arrows. GenBank accession number for Tbx5 clone is AF133036.
Fig. 2. Expression of XTbx5 mRNA
during organogenesis. (A) Stage 17
embryo, lateral view. The arrow shows
faint expression of XTbx5 mRNA in the
lateralmesoderm. (B) Stage 20 embryo,
lateral view. Expression is detected in
the eye (e) and the cardiac field (c).
(C) Stage 25 embryo, lateral view.
Expression of XTbx5 in the lateralmesoderm is greatest near the ventral
midline and tapers off dorsally.
(D) Ventral view of the same embryo in
C. XTbx5 mRNA is not expressed
across the ventral midline. (E) Stage 30
embryo, lateral view. Expression has
moved further ventrally and has fused
across the ventral midline, but some
expression persists in lateralmesoderm.
(F) Ventral view of the same embryo in
E. Notice the heart-shaped expression
along the ventral midline. (G) Stage 35
embryo. The expression of XTbx5
condenses in the lateralmesoderm,
marking the sinus venosus (sv)
(Nieuwkoop and Faber, 1967).
(H) Dorsal-lateral view of a stage 35
embryo cleared in benzyl
benzoate/benzyl alcohol (BBA). Notice
that the expression of XTbx5 leaving the atrium branches onto either side of the embryos marking the developing sinus venosus. (I) Stage 40
embryo. The sinus venosus (sv) has moved further dorsally to lie just below the somites. Notice the lack of XTbx5 expression in the anterior
portion of the pericardial cavity. (J) Stage 40 embryo in BBA. Notice the horseshoe-shaped expression marking the sinus venosus (sv).
(K) XMLC2 expression, stage 30 embryoventral view. Expression is seen further anteriorly than XTbx5 along the ventral midline and does not
resemble the heart-shaped XTbx5 expression. (L) XMLC2 expression at stage 40. In contrast to XTbx5, XMLC2 is detected throughout the
pericardial cavity. Abbreviations used in the figure are: atrium (a), bulbus cordis (bc), sinus venosus (sv) and ventricle (v). (M) Stage 28 embryo
used to show the positions of the sections shown in N and O. (N) A section through the eye shows that XTbx5 is expressed only in the outer
edge of the ciliary marginal zone (cmz), marking the stem cell population. There is also expression along the dorsal surface of the retina. (O) A
section through the developing heart region shows that XTbx5 is expressed in the lateral and ventralmesoderm.
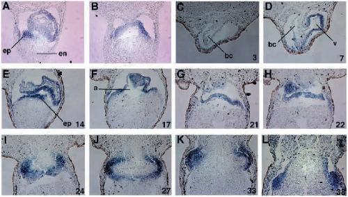
Fig. 3. Serial sections through
the heart of a stage 35 (A,B) and
a stage 40 (C-L) embryo stained
for XTbx5 mRNA expression.
(A) Section through the ventricle
of a stage 35 embryo.
Expression is detected in both
the endocardium and
myocardium as well as in the
tissue we identify as epicardium
(ep), overlying the endoderm
(en). (B) Section through the
sinus venosus slightly posterior
to the section in A. XTbx5
mRNA is detected in the ventral
part of the sinus venosus. (CL)
Selected serial sections
through the heart of a stage 40
embryo proceeding from
anterior to posterior. (C) Bulbus
cordis (bc) (D) Bulbus cordis
(bc) and ventricle (v). XTbx5 is
expressed only in the ventricle.
(E) Ventricle. Expression is also detected in the underlying epicardium (ep). (F,G) Sections through the atrium (a) as it turns dorsally.
(H-L) Sections through the developing sinus venosus. The sections through the heart in C-L have been numbered going from anterior to
posterior, beginning with the bulbus cordis and ending with the sinus venosus. The corresponding number for each section is printed in the
lower right-hand corner of each panel. Each section is 14 mm thick. The bulbus cordis encompasses sections 1-8 (112 mm), the ventricle
sections 5-16 (168 mm), the atrium sections 17-22 (84 mm) and the sinus venosus sections 23-46 (336 mm).
Fig. 4. Double-labeled whole-mount in situ hybridization.
(A,B) Expression of XTbx5 (blue) and XNkx-2.5 (purple). (A) At
tailbudtadpole stage 25, cells expressing XNkx-2.5 are anterior to
those expressing XTbx5. (B) At stage 30, expression of both overlaps
in the developing heart in ventral, but not lateral domains.
(C,D) Expression of XTbx5 (blue) relative to XMLC2 (purple).
(C) Stage 30 embryo. Expression of both genes overlaps in the heart,
while only XTbx5 expression is seen in the lateralmesoderm.
(D) Stage 40embryo. No XMLC2 expression is detected in the dorsal
sinus venosus.
Fig. 5. Construction and
effectiveness of a hormoneinducible
XTbx5 protein.
(A) Schematic diagram of wildtype
and dominant negative
XTbx5 constructs. The T domain
is in red, the engrailed repressor
domain is depicted in black and
the GR domain is in blue.
(B) Wild-type stage 35 embryo
with dexamethasone added at the
4 cell stage. (C) Stage 35 embryo
injected with 1 ng of XTbx5-EnR
mRNA into the dorsal marginal
zone at the 4-cell stage. (D) Stage
35 embryo injected with 1 ng of
XTbx5-EnR-GR mRNA and no
dexamethasone added. (E) Stage
35 embryo injected with 1 ng of
XTbx5-EnR-GR mRNA and
dexamethasone added immediately after injections. (F) Stage 35 embryo injected with 1 ng of XTbx5-EnR-GR mRNA and dexamethasone
added at stage 14/15. In B-F, the inset in the lower left corner shows a single example of a stage 17 embryo.
Fig. 6. Embryonic phenotypes generated by a dominant negative XTbx5
protein. (A) Wild-type stage 45 embryo. Arrow points to the heart. Notice how
the heart extends to the edge of the pericardial cavity and is near the ventral
surface of the gut. (B-F) Typical phenotypes caused by XTbx5-EnR-GR. In each
case, embryos were injected dorsally at the 4-cell stage with 1 ng of mRNA and
treated with dexamethasone at stage 14/15. (B,C) Examples of the reduced
heart phenotype. Arrow points to the small heart present in this class of
embryo. (D-F) Examples of the beating nub or heartless phenotype. This
phenotype is typified by the absence of a morphologically recognized heart.
Sometimes, some small amount of beating tissue is present in the dorsal portion
of the pericardial cavity. In B-F, notice the bloated pericardial cavity and
improper gut formation in the injected embryos. In addition, the eyes are
smaller in size. Arrowhead in B and E points to regions where blood cells have
pooled.
Fig. 7. Expression of heart markers in heartless embryos.
(A,C,E) Stage 35 control embryos injected with 250 pg lacZ mRNA
in the DMZ. (B,D,E) Stage 35 embryos injected with 1 ng of XTbx5-
EnR-GR mRNA and 250 pg lacZ mRNA in the DMZ at the 4-cell
stage and treated with dexamethasone at stage 14/15. (A,B) XMLC2
expression. (C,D) XNkx-2.5 expression. (E,F) Endogenous XTbx5
expression. Expression was scored at stage 35 in embryos injected
with lacZ alone (A,C,E) or with lacZ + XTbx5-EnR-GR (B,D,F).