Click here to close
Hello! We notice that you are using Internet Explorer, which is not supported by Xenbase and may cause the site to display incorrectly.
We suggest using a current version of Chrome,
FireFox, or Safari.
J Exp Med
1999 Apr 05;1897:1101-10. doi: 10.1084/jem.189.7.1101.
Show Gene links
Show Anatomy links
A novel cytoplasmic protein with RNA-binding motifs is an autoantigen in human hepatocellular carcinoma.
Zhang JY
,
Chan EK
,
Peng XX
,
Tan EM
.
???displayArticle.abstract???
In hepatocellular carcinoma (HCC), autoantibodies to intracellular antigens are detected in 30-40% of patients. Patients with chronic hepatitis or liver cirrhosis develop HCC, and when this occurs, some patients exhibit autoantibodies of new specificities. It has been suggested that these novel autoantibody responses may be immune system reactions to proteins involved in transformation-associated cellular events. One HCC serum shown to contain antibodies to unidentified cellular antigens was used to immunoscreen a cDNA expression library, and a full length cDNA clone was isolated with an open reading frame encoding 556 amino acids with a predicted molecular mass of 62 kD. The 62-kD protein contained two types of RNA-binding motifs, the consensus sequence RNA-binding domain (CS-RBD) and four hnRNP K homology (KH) domains. This protein, provisionally called p62, has close identity (66-70%) to three other proteins at the amino acid sequence level, and all four proteins may belong to a family having CS-RBD in the NH2-terminal region and four KH domains in the mid-to-COOH- terminal region. The homologous proteins are: KH domain-containing protein overexpressed in cancer (Koc); zipcode binding protein, a protein which binds to a conserved nucleotide element in chicken beta-actin mRNA (ZBP1); and a protein which binds to a promoter cis element in Xenopus laevis TFIIIA gene (B3). p62 protein is cytoplasmic in location, and autoantibodies were found in 21% of a cohort of HCC patients. Patients with chronic hepatitis and liver cirrhosis, conditions which are frequent precursors to HCC, were negative for these autoantibodies, suggesting that the immune response might be related to cellular events leading to transformation. However, the possible involvement of p62 autoantigen as a factor in the transformation process remains to be elucidated.
???displayArticle.pubmedLink???
10190901
???displayArticle.pmcLink???PMC2193003 ???displayArticle.link???J Exp Med ???displayArticle.grants???[+]
Figure 1. Reactivity of three HCC sera in Western blotting against whole cell extracts from MOLT-4, T24, and HepG2 cell lines. Lanes 1, 5, and 9 were normal human sera. Serum YZ (lanes 2, 6, and 10) showed strong reactivity with a 90-kD protein in MOLT-4 cells and reacted weakly with a 62-kD protein in MOLT-4 cells and T24 cell extracts. A strong reaction with the 62-kD protein was detected with HepG2 cell extracts, together with a strong reaction with a 50-kD protein. Sera YL (lanes 3, 7, and 11) and CH (lanes 4, 8, and 12) demonstrate other types of reactions (see text). These representative data demonstrate that HCC sera are heterogeneous in their antibody repertoires and that different cell lines apparently have different expressions of 90-, 62-, and 50-kD proteins.
Figure 3. Similarity between p62 and three RNA-binding motif proteins Koc, ZBP1, and B3. (A) The identity between p62 and the other three proteins are shown (*). (B) The great similarity of the domain structures is shown. The RNA-binding domains with two conserved RNP regions, RNP1 and RNP2, and four KH domains are boxed. A nine–amino acid sequence (VGAIIGKE/KG) of unknown function in the first three KH domains is shown in bold as is the REV-like nuclear export signal in the second KH domain.
Figure 4. p62 recombinant protein expressed as a 6× histidine tag protein in E. coli was purified using nickel column chromatography. (A) Molecular mass markers (lane M). A 62-kD peptide that corresponded to the size of the ORF of p62 was detected in SDS-PAGE with Coomassie blue staining (lane 1). HCC serum YZ, which was used for cDNA cloning, was reactive with p62 recombinant protein in Western blot analysis (lane 3), but the recombinant protein was not reactive with normal human serum (lane 2) or HCC sera that did not contain detectable antibodies to the 62-kD protein (not shown). A lower molecular size product, presumably a degradation product, detectable by Coomassie blue staining was also reactive with HCC serum (lanes 1 and 3). (B) Immunoprecipitation of in vitro–translated p62 cDNA. Anti-p62 prototype serum (lane 4), normal human serum (lane 5), and in vitro–translated products alone (lane 6). (C) Comigration of the in vitro–translated products of p62 with the 62-kD cellular protein in HepG2 cells. The panel (lanes 7–9) was processed by autoradiography and the same panel (7a–9a) used subsequently for Western blot analysis. Lanes 7/7a contained HepG2 cell extracts alone, lanes 8/8a contained a mixture of in vitro–translated radiolabeled products and HepG2 cell extracts, and lanes 9/9a contained in vitro–translated radiolabeled products alone. The in vitro–translated radiolabeled product of p62 cDNA comigrated exactly with cellular p62.
Figure 5. Human anti–62-kD antibody and rabbit anti–recombinant p62 antibodies recognize recombinant antigen. (A) Immunoprecipitation using in vitro–translated products of p62. Lane 1, in vitro–translated products; lane 2, preimmune rabbit serum (No. 3366); lane 3, immune rabbit serum (No. 3366). (B) Immunoprecipitation using [35S]methionine–labeled HeLa cell extracts. Lane 4, normal human serum; lane 5, anti-SSB/La prototype serum, which recognizes an irrelevant 48-kD autoantigen used as a positive control for the assay; lane 6, HCC serum without p62 autoantibodies; lanes 7 and 8, p62 prototype sera; lane 9, preimmune rabbit serum (No. 3366); lane 10, immune rabbit serum (No. 3366).
Figure 6. p62 is a cytoplasmic protein, as revealed by immunofluorescence analysis of HEp-2 cell substrate using human p62 prototype serum YZ (A) and affinity-purified rabbit anti–p62 serum No. 3366 (B).
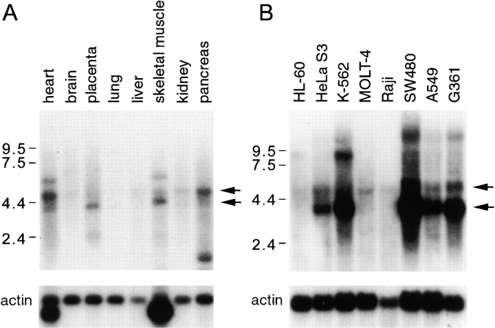
Figure 7. Northern blot analysis of p62 mRNA. The nylon membrane blotted with poly A+ RNA isolated from multiple human tissues (A) and human cancer cell lines (B) was purchased from Clontech. Each lane contained 2 μg of purified poly A+ RNA. An antisense riboprobe was generated from the 480-bp fragments corresponding to the COOH-terminal domain of p62 (see Fig. 2 A) and hybridized to the membrane at a concentration of 1.0 × 106 cpm of the probe per milliliter of hybridization solution. Two transcripts of 3.7 and 5.2 kb were detected in human tissues (A, arrows) and cancer cell lines (B, arrows). The 3.7-kb transcript of p62 was found in heart and placenta, but its occurrence was lower or negative in brain, lung, liver, kidney, and pancreas. A signal for skeletal muscle migrated somewhat more slowly than the 3.7-kb transcript (see text). High levels of the 3.7-kb transcript were detected in HeLa, K-562, SW480, A549, and G361 cell lines, but low expression was observed in HL-60, MOLT-4, and Raji cell lines. The 3.7-kb transcript expression corresponded to detectable cellular p62 protein (see text), but the significance of the 5.2-kb RNA is unknown. A 2.0-kb human β-actin cDNA probe was used as a control for monitoring RNA levels. As described in the manufacturer's (Clontech) instructions, there are two forms of β-actin mRNA, a 2- and 1.6–1.8-kb form, in heart and skeletal muscle.
Bravo,
Cyclin/PCNA is the auxiliary protein of DNA polymerase-delta.
, Pubmed
Bravo,
Cyclin/PCNA is the auxiliary protein of DNA polymerase-delta.
,
Pubmed
Brenner,
Kinetochore structure, duplication, and distribution in mammalian cells: analysis by human autoantibodies from scleroderma patients.
1981,
Pubmed
Buckanovich,
The neuronal RNA binding protein Nova-1 recognizes specific RNA targets in vitro and in vivo.
1997,
Pubmed
Burd,
Conserved structures and diversity of functions of RNA-binding proteins.
1994,
Pubmed
Burnham,
Antinuclear antibodies in patients with malignancies.
1972,
Pubmed
Chan,
Human autoantibody to RNA polymerase I transcription factor hUBF. Molecular identity of nucleolus organizer region autoantigen NOR-90 and ribosomal RNA transcription upstream binding factor.
1991,
Pubmed
Chen,
Identification of multiple cancer/testis antigens by allogeneic antibody screening of a melanoma cell line library.
1998,
Pubmed
Covini,
Comparison of protocols for depleting anti-E. coli antibody in immunoblotting of recombinant antigens.
1996,
Pubmed
Covini,
Diversity of antinuclear antibody responses in hepatocellular carcinoma.
1997,
Pubmed
Dalmau,
Anti-Hu--associated paraneoplastic encephalomyelitis/sensory neuronopathy. A clinical study of 71 patients.
1992,
Pubmed
Davidoff,
Immune response to p53 is dependent upon p53/HSP70 complexes in breast cancers.
1992,
Pubmed
Devereux,
A comprehensive set of sequence analysis programs for the VAX.
1984,
Pubmed
Earnshaw,
Molecular cloning of cDNA for CENP-B, the major human centromere autoantigen.
1987,
Pubmed
Gottlieb,
Function of the mammalian La protein: evidence for its action in transcription termination by RNA polymerase III.
1989,
Pubmed
Hahm,
Isolation of a murine gene encoding a nucleic acid-binding protein with homology to hnRNP K.
1993,
Pubmed
Houghton,
Cancer antigens: immune recognition of self and altered self.
1994,
Pubmed
Huang,
On global sequence alignment.
1994,
Pubmed
Imai,
Novel nuclear autoantigen with splicing factor motifs identified with antibody from hepatocellular carcinoma.
1993,
Pubmed
Imai,
Nucleolar antigens and autoantibodies in hepatocellular carcinoma and other malignancies.
1992,
Pubmed
Imai,
Increasing titers and changing specificities of antinuclear antibodies in patients with chronic liver disease who develop hepatocellular carcinoma.
1993,
Pubmed
Lerner,
Antibodies to small nuclear RNAs complexed with proteins are produced by patients with systemic lupus erythematosus.
1979,
Pubmed
Miyachi,
Autoantibody to a nuclear antigen in proliferating cells.
1978,
Pubmed
Moroi,
Autoantibody to centromere (kinetochore) in scleroderma sera.
1980,
Pubmed
Müeller-Pillasch,
Cloning of a gene highly overexpressed in cancer coding for a novel KH-domain containing protein.
1997,
Pubmed
Muro,
A cell-cycle nuclear autoantigen containing WD-40 motifs expressed mainly in S and G2 phase cells.
1995,
Pubmed
Old,
New paths in human cancer serology.
1998,
Pubmed
Pfaff,
Characterization of a Xenopus oocyte factor that binds to a developmentally regulated cis-element in the TFIIIA gene.
1992,
Pubmed
,
Xenbase
Pfeffer,
Efficient one-tube RT-PCR amplification of rare transcripts using short sequence-specific reverse transcription primers.
1995,
Pubmed
Pupa,
Antibody response against the c-erbB-2 oncoprotein in breast carcinoma patients.
1993,
Pubmed
Radic,
Genetic and structural evidence for antigen selection of anti-DNA antibodies.
1994,
Pubmed
Reimer,
Autoantibody to RNA polymerase I in scleroderma sera.
1987,
Pubmed
Ross,
Characterization of a beta-actin mRNA zipcode-binding protein.
1997,
Pubmed
Sahin,
Human neoplasms elicit multiple specific immune responses in the autologous host.
1995,
Pubmed
Seiner,
Antinuclear reactivity of sera in patients with leukemia and other neoplastic diseases.
1975,
Pubmed
Siomi,
The pre-mRNA binding K protein contains a novel evolutionarily conserved motif.
1993,
Pubmed
,
Xenbase
Tan,
Autoantibodies in pathology and cell biology.
1991,
Pubmed
Tan,
Antinuclear antibodies (ANAs): diagnostically specific immune markers and clues toward the understanding of systemic autoimmunity.
1988,
Pubmed
Tan,
Autoantibodies and autoimmunity: a three-decade perspective. A tribute to Henry G. Kunkel.
1997,
Pubmed
Thomas,
Antinuclear, antinucleolar, and anticytoplasmic antibodies in patients with malignant melanoma.
1983,
Pubmed
Tillman,
Both IgM and IgG anti-DNA antibodies are the products of clonally selective B cell stimulation in (NZB x NZW)F1 mice.
1992,
Pubmed
Verkerk,
Identification of a gene (FMR-1) containing a CGG repeat coincident with a breakpoint cluster region exhibiting length variation in fragile X syndrome.
1991,
Pubmed
Wasserman,
Autoantibodies in patients with carcinoma of the breast. Correlation with prognosis.
1975,
Pubmed
Winter,
Development of antibodies against p53 in lung cancer patients appears to be dependent on the type of p53 mutation.
1992,
Pubmed
Zhang,
A case-control study of hepatitis B and C virus infection as risk factors for hepatocellular carcinoma in Henan, China.
1998,
Pubmed