Click here to close
Hello! We notice that you are using Internet Explorer, which is not supported by Xenbase and may cause the site to display incorrectly.
We suggest using a current version of Chrome,
FireFox, or Safari.
???displayArticle.abstract???
The Xvent homeobox multigene family is essential for the patterning of the ventralmesoderm in Xenopus embryos. We have identified two novel members of this family, Xvent-1B and Xvent-2B, and have characterized their genomic structures. These two genes show a clustered organization and have probably arisen by gene duplication with subsequent inversion. Cis-regulatory elements within the promoters of both genes have been identified which contribute to their spatial activation. Xvent-2B is activated by BMP-2/4 in the absence of de novo protein synthesis, suggesting that this gene is a direct target of BMP-signalling. In contrast, Xvent-1B does not directly respond to BMP-2/4, but is activated by Xvent-2B. This activation is documented by Xvent-1B promoter/reporter studies, Xvent-2B overexpression and loss-of-function analysis using a dominant-negative Xvent-2 mutant. However, cycloheximide experiments reveal that Xvent-2B by itself is not sufficient to activate transcription of the Xvent-1B gene, but that there is a requirement for additional factor(s) being synthesized after midblastula transition.
Fig. 2. Spatial transcription patterns and phenotypic effects observed after ectopic expression of Xvent-1B and Xvent-2B. Transcription patterns were analyzed by whole mount in situ hybridization of Xenopus embryos using Xvent-1B (A) or Xvent-2B (E) antisense RNA. Developmental stages shown for Xvent-1B are: 10.0 (A), 12.5 (B) and 23 (C); Xvent-2B: 10.5 (E), 12.0 (F), 24 (G), 29 (H) and 35 (I). Note that at early stages Xvent-1B expression is restricted more ventrally and lacks anterior expression in the eyes at later stages. Over-expression experiments were carried out by microinjection of either Xvent-1B (D) or Xvent-2B RNA (J) into the dorsal blastomeres of four-cell stage embryos which were then cultured until controls had reached stage 30. Note the complete ventralization and loss of all anterior structures after ectopic expression of Xvent-1B as well as of Xvent-2B.
Fig. 5. Xvent-2B activates Xvent-lB but not vice versa. Xvent-1B (A,C) or Xvent-2B transcripts (B,D) have been analyzed by whole mount in situ hybridization after injection of 400 pg Xvent-2B RNA (C) or 400 pg Xvent-1B RNA (D) respectively. RNAs had been injected into the dorsal blastomeres of four-cell stage embryos. (A,B) Show uninjected control embryos. Note the activation of Xvent-1B in dorsal mesoderm.
Fig. 6. Effects of Xvent-2B but not of Xvent-1B can be overcome by Xvent-2 P(40). (A) Luciferase activity of -249 Xvent-1B/Luc construct after injection (20 pg) into both dorsal or ventral blastomeres of four- cell stage embryos. Co-injections have been performed with 500 pg Xvent-2 P(40) and/or 200 pg Xvent-2B RNA. (B) Phenotype of Xeno- pus embryos ventrally injected with 1 ng Xvent-2 P(40) RNA (B) or 1 ng Xvent-2 P(40) plus 200 pg of Xvent-1B RNA(C). Note that formation of double axis is completely abolished. Phenotype after dorsal injection of 200 pg Xvent-1B RNA (D) or 200 pg Xvent-1B plus 1 ng Xvent-2 P(40) RNA (E). Note, that Xvent-2 P(40) cannot prevent the ventralization caused by Xvent-1B.
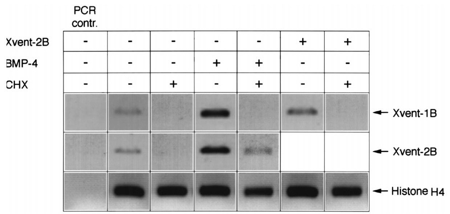
Fig. 7. Interactions between BMP-4, Xvent-2B and Xvent-1B in whole embryos in the absence or presence of cycloheximide (CHX). Four-cell stage embryos have been injected with BMP-4 RNA (300 pg) or Xvent-2B RNA (400 pg) into both dorsal blastomeres. Cycloheximide treatment started at stage 7.5 and embryos were cultured until stage 10.5. RT-PCR was performed with total RNA and has been adjusted using histone H4 as an internal control.