XB-ART-12905
Dev Biol
1999 Jun 15;2102:269-76. doi: 10.1006/dbio.1999.9285.
Show Gene links
Show Anatomy links
Analyses of oviductal pars recta-induced fertilizability of coelomic eggs in Xenopus laevis.
???displayArticle.abstract???
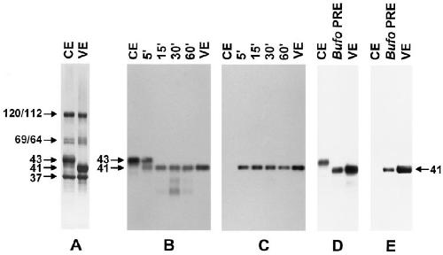
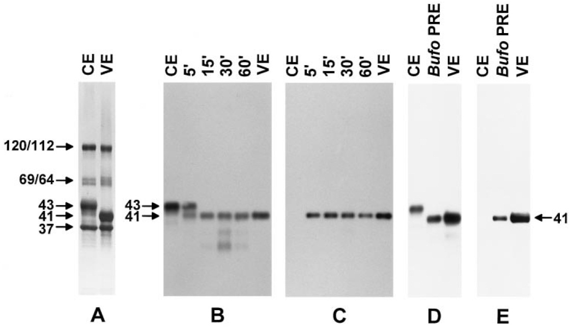
The acquisition of fertilizability in coelomic eggs of Xenopus laevis has been shown to be correlated with the physical, biochemical, and ultrastructural alterations of the egg envelope [coelomic envelope (CE)] induced during the passage of eggs through the pars recta portion of the oviduct. However, no direct evidence that the pars recta renders eggs fertilizable has yet been presented. In this study, we show that coelomic eggs are highly fertilizable when they are incubated with continuous shaking for 4 h at 15 degrees C in pars recta extract (PRE) derived from females prestimulated by pregnant mare serum gonadotropin. The PRE from pituitary-stimulated Bufo japonicus was as potent as homologous PRE in rendering Xenopus eggs fertilizable. Incubation of coelomic eggs in PRE for 30 min induced a dramatic increase in the rates of sperm binding to the envelope to a level equivalent to that exhibited by the envelope from uterine eggs (VEs). The CE-to-VE ultrastructural conversion and a 43k-to-41k hydrolysis of the envelope glycoprotein component started 5 min after, and were completed by 15 min after, the start of incubation in PRE and were accompanied by an exposure of a new N-terminal sequence typical to gp41. Thus, the biochemical and ultrastructural conversions and the sperm-binding activity of the envelope induced by PREs, although being prerequisite, were not sufficient to render coelomic eggs fully accessible to fertilizing sperm.
???displayArticle.pubmedLink??? 10357890
???displayArticle.link??? Dev Biol
Species referenced: Xenopus laevis
Genes referenced: zp3 zp3.2
???attribute.lit??? ???displayArticles.show???
