Click here to close
Hello! We notice that you are using Internet Explorer, which is not supported by Xenbase and may cause the site to display incorrectly.
We suggest using a current version of Chrome,
FireFox, or Safari.
Nitric oxide in the retinotectal system: a signal but not a retrograde messenger during map refinement and segregation.
Rentería RC
,
Constantine-Paton M
.
???displayArticle.abstract???
The role of nitric oxide (NO) as a mediator of synaptic plasticity is controversial in both the adult and developing brain. NO generation appears to be necessary for some types of NMDA receptor-dependent synaptic plasticity during development but not for others. Our previous work using several NO donors revealed that Xenopus laevis retinal ganglion cell axons stop growing in response to NO exposure. We demonstrate here that the same response occurs in tectal neuron processes bathed in the NO donor S-nitrosocysteine (SNOC) and in RGC growth cones to which SNOC is very locally applied. We show that NO synthase (NOS) activity is present in the Rana pipiens optic tectum throughout development in a dispersed subpopulation of tectal neurons, although effects of NO on synaptic function in a Rana pipiens tectal slice were varied. We chronically inhibited NOS in doubly innervated Rana tadpole optic tecta using L-N(G)-nitroarginine methyl ester in Elvax. Despite significant NOS inhibition as measured biochemically, eye-specific stripes remained normally segregated. This suggests that NOS activity is not downstream of NMDA receptor activation during retinotectal synaptic competition because NMDA receptor activation is necessary for segregation of retinal afferents into ocular dominance stripes in the doubly innervated tadpole optic tectum. We conclude that NO has some signaling function in the retinotectal pathway, but this function is not critical to the mechanism that refines the projection and causes eye-specific stripes.
Fig. 1.
Local application of the NO donor SNOC causes RGC axonal growth cone collapse. A1, A phase image of a pipette filled with FITCâdextran control solution positioned near an RGC axonal growth cone is shown. A2, This is the same field as A1 but was imaged using fluorescence optics. Pulses of positive pressure applied to the pipette release small amounts of the FITCâdextran solution. B1, Pipettes were filled with solutions containing the NO donor SNOC and positioned near actively extending growth cones. Positive pressure to the pipette caused release of NO donor solution onto the growth cone.B2, This is the same field as B1 but 5 min after the onset of SNOC application. Puffs of the NO donor solution caused motility inhibition and collapse of the lamellipodium in this growth cone and most of the others examined. Scale bar, 10 μm.
Fig. 2.
Both NADPHâdiaphorase and immunohistochemistry reveal NOS in neurons in tadpole optic tectum. Dorsal isup, and lateral is to the right.A, Several NADPHâdiaphorase-positive neurons in the densely packed layer 6, the main retinorecipient cell layer, can be seen sending apical dendrites dorsally that penetrate the layer 9 neuropil. In addition, three neurons in layer 4 and a single neuron in layer 8 are labeled. Blood vessels (bv) are also labeled in this tissue. P indicates the pial membrane layer.B, A coronal section from another tectum was immunostained with a commercial polyclonal type I NOS antibody. Layers 6 and 7 are shown. Several neurons with a morphology similar to those in NADPHâdiaphorase-stained tissue can be seen. Scale bar: A, 80 μm; B, 50 μm.
Fig. 3.
Chronic treatment of normal, developingRana pipiens tadpole optic tecta with L-NAME but not D-NAME in Elvax inhibits tectal NOS activity.L-NAME is a NOS inhibitor, and D-NAME is the inactive isomer used as a control. The normal groups (N) were untreated, the L-NAME groups (L) were assayed at 2, 4, and 6 weeks of treatment, and the D-NAME groups (D) were assayed at 2 and 4 weeks of treatment. Degree of blockade did not correlate with treatment time. Mean ± SEM.
Fig. 4.
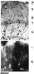
Chronic L-NAME treatment does not desegregate stripes in the doubly innervated optic tectum of three-eyed tadpoles. In A and B, the supernumerary optic nerve was labeled with HRP, and the brain was reacted with DAB. The labeled tectal lobe was cut at the rostral and caudal poles and then was flat-mounted. Rostral is up, and medial is to the right. (The black curves in some images are outside of the tissue and are the edge of an air bubble within the slide.) A1,A2, Doubly innervated tecta from two untreated tadpoles show normal eye-specific stripes. The forks, fusions, and breaks in the stripes are all normal. B1âB3, L-NAME treatment for 4 weeks does not alter stripe segregation. Three different tectal lobes from treated animals are shown; all stripes appear normal. Note that stripe sharpening, seen as very abrupt boundaries of each stripe and which occurs with chronic NMDA treatment (Cline and Constantine-Paton, 1990), is also not observed afterL-NAME treatment. A good example of the puffs characteristic of caudal-most areas in many doubly innervated tecta can be seen in B3. The small black dots inB1 and B2 are pieces of pigmented membrane that escaped removal during dissection. C, A coronal section from an L-NAME-treated three-eyed tadpole optic tectum reveals that stripe segregation occurred throughout the thickness of the neuropil, indicating that segregation for all RGC types was normal under conditions of chronic NOS inhibition. Dorsal isup, and lateral is to the right. Scale bar: A, B, 500 μm; C, 400 μm.
Fig. 5.
Normal eye-specific stripes are also preserved in tadpoletecta with chronic NOS inhibition when the supernumerary retina innervates complementary areas of the two tectal lobes. Projections were labeled as in Figure 4 Aand B. Medial (M) is in themiddle of the figure, and lateral is in the direction of the arrows, toward the outside of the figure for each tectal lobe. In both A and B, the stripes are complementary. In areas with double innervation, eye-specific stripes form. A1, A2, Both tectal lobes (left and right) from a single animal chronically treated with D-NAME, the inactive isomer, are shown. The supernumerary eye innervated and caused segregation in the medial region of the left tectal lobe and the lateral region of the right tectal lobe. B1, B2, Both tectal lobes (left and right) from a single animal chronically treated with L-NAME, which inhibits NOS, are shown. The supernumerary eye innervated and caused segregation along the medial and lateral border of the left tectal lobe and within the central region of the right tectal lobe. In both sets of tecta, regions of low-density supernumerary eye innervation also show evidence of segregation. Scale bar: A, 400 μm;B, 500 μm.
Ankri,
Automatic detection of spontaneous synaptic responses in central neurons.
1994, Pubmed
Ankri,
Automatic detection of spontaneous synaptic responses in central neurons.
1994,
Pubmed
Antonini,
Plasticity of geniculocortical afferents following brief or prolonged monocular occlusion in the cat.
1996,
Pubmed
Bear,
Disruption of experience-dependent synaptic modifications in striate cortex by infusion of an NMDA receptor antagonist.
1990,
Pubmed
Blanton,
Whole cell recording from neurons in slices of reptilian and mammalian cerebral cortex.
1989,
Pubmed
Brüning,
Histochemical and immunocytochemical localization of nitric oxide synthase in the central nervous system of the goldfish, carassius auratus.
1995,
Pubmed
Brüning,
Localization of nitric oxide synthase in the brain of the frog, Xenopus laevis.
1996,
Pubmed
,
Xenbase
Burlet,
Voltammetric detection of nitric oxide (NO) in the rat brain: its variations throughout the sleep-wake cycle.
1997,
Pubmed
Cline,
NMDA receptor agonist and antagonists alter retinal ganglion cell arbor structure in the developing frog retinotectal projection.
1990,
Pubmed
Cline,
NMDA receptor antagonists disrupt the retinotectal topographic map.
1989,
Pubmed
Cline,
N-methyl-D-aspartate receptor antagonist desegregates eye-specific stripes.
1987,
Pubmed
Cohan,
Suppression of neurite elongation and growth cone motility by electrical activity.
1986,
Pubmed
Constantine-Paton,
LTP and activity-dependent synaptogenesis: the more alike they are, the more different they become.
1998,
Pubmed
Constantine-Paton,
Pre- and postsynaptic correlates of interocular competition and segregation in the frog.
1987,
Pubmed
Constantine-Paton,
Eye-specific termination bands in tecta of three-eyed frogs.
1978,
Pubmed
Constantine-Paton,
Patterned activity, synaptic convergence, and the NMDA receptor in developing visual pathways.
1990,
Pubmed
Cramer,
Transient expression of NADPH-diaphorase in the lateral geniculate nucleus of the ferret during early postnatal development.
1995,
Pubmed
Cramer,
Activity-dependent remodeling of connections in the mammalian visual system.
1995,
Pubmed
Cramer,
A role for nitric oxide in the development of the ferret retinogeniculate projection.
1996,
Pubmed
Crowe,
Distribution of NADPH-diaphorase reactivity in the spinal cord of metamorphosing and adult Xenopus laevis.
1995,
Pubmed
,
Xenbase
Cudeiro,
Further observations on the role of nitric oxide in the feline lateral geniculate nucleus.
1996,
Pubmed
Edelman,
Nitric oxide: linking space and time in the brain.
1992,
Pubmed
Ernst,
NMDA receptor-mediated refinement of a transient retinotectal projection during development requires nitric oxide.
1999,
Pubmed
Fawcett,
Compound eyes project stripes on the optic tectum in Xenopus.
1982,
Pubmed
,
Xenbase
Finney,
Establishment of patterned thalamocortical connections does not require nitric oxide synthase.
1998,
Pubmed
Gally,
The NO hypothesis: possible effects of a short-lived, rapidly diffusible signal in the development and function of the nervous system.
1990,
Pubmed
Garthwaite,
Glutamate, nitric oxide and cell-cell signalling in the nervous system.
1991,
Pubmed
Garthwaite,
Endothelium-derived relaxing factor release on activation of NMDA receptors suggests role as intercellular messenger in the brain.
1988,
Pubmed
Gu,
Blockade of NMDA-receptors prevents ocularity changes in kitten visual cortex after reversed monocular deprivation.
1989,
Pubmed
Hahm,
Disruption of retinogeniculate afferent segregation by antagonists to NMDA receptors.
1991,
Pubmed
Hickmott,
Experimental down-regulation of the NMDA channel associated with synapse pruning.
1997,
Pubmed
Hickmott,
The contributions of NMDA, non-NMDA, and GABA receptors to postsynaptic responses in neurons of the optic tectum.
1993,
Pubmed
Hope,
Neuronal NADPH diaphorase is a nitric oxide synthase.
1991,
Pubmed
Hubel,
Plasticity of ocular dominance columns in monkey striate cortex.
1977,
Pubmed
Ide,
Eye dominance columns from an isogenic double-nasal frog eye.
1983,
Pubmed
,
Xenbase
Kantor,
A role for endothelial NO synthase in LTP revealed by adenovirus-mediated inhibition and rescue.
1996,
Pubmed
Katz,
Synaptic activity and the construction of cortical circuits.
1996,
Pubmed
Kleinschmidt,
Blockade of "NMDA" receptors disrupts experience-dependent plasticity of kitten striate cortex.
1987,
Pubmed
Kuchiiwa,
NADPH diaphorase neurones are evenly distributed throughout cat neocortex irrespective of functional specialization of each region.
1994,
Pubmed
Law,
Anatomy and physiology of experimentally produced striped tecta.
1981,
Pubmed
LeVay,
The pattern of ocular dominance columns in macaque visual cortex revealed by a reduced silver stain.
1975,
Pubmed
Lin,
Suppression of sprouting: An early function of NMDA receptors in the absence of AMPA/kainate receptor activity.
1998,
Pubmed
,
Xenbase
Lohof,
Asymmetric modulation of cytosolic cAMP activity induces growth cone turning.
1992,
Pubmed
,
Xenbase
Montague,
Role of NO production in NMDA receptor-mediated neurotransmitter release in cerebral cortex.
1994,
Pubmed
O'Rourke,
Dynamic changes in optic fiber terminal arbors lead to retinotopic map formation: an in vivo confocal microscopic study.
1990,
Pubmed
,
Xenbase
Reh,
Eye-specific segregation requires neural activity in three-eyed Rana pipiens.
1985,
Pubmed
Reh,
Retinal ganglion cell terminals change their projection sites during larval development of Rana pipiens.
1984,
Pubmed
Reid,
Inhibition of nitric oxide synthase does not alter ocular dominance shifts in kitten visual cortex.
1996,
Pubmed
Rentería,
Exogenous nitric oxide causes collapse of retinal ganglion cell axonal growth cones in vitro.
1996,
Pubmed
,
Xenbase
Ruthazer,
Inhibition of nitric oxide synthase does not prevent ocular dominance plasticity in kitten visual cortex.
1996,
Pubmed
Sandell,
NADPH diaphorase histochemistry in the macaque striate cortex.
1986,
Pubmed
Scherer,
Chronic effects of NMDA and APV on tectal output in Xenopus laevis.
1991,
Pubmed
,
Xenbase
Sessa,
Molecular cloning and expression of a cDNA encoding endothelial cell nitric oxide synthase.
1992,
Pubmed
Silberstein,
Elvax 40P implants: sustained, local release of bioactive molecules influencing mammary ductal development.
1982,
Pubmed
Son,
Long-term potentiation is reduced in mice that are doubly mutant in endothelial and neuronal nitric oxide synthase.
1996,
Pubmed
Song,
Conversion of neuronal growth cone responses from repulsion to attraction by cyclic nucleotides.
1998,
Pubmed
,
Xenbase
TAYLOR,
Stages in the normal development of Rana pipiens larvae.
1946,
Pubmed
Udin,
Formation of topographic maps.
1988,
Pubmed
Udin,
Physiological effects of chronic and acute application of N-methyl-D-aspartate and 5-amino-phosphonovaleric acid to the optic tectum of Rana pipiens frogs.
1992,
Pubmed
Wang,
Nitric oxide mediates activity-dependent synaptic suppression at developing neuromuscular synapses.
1995,
Pubmed
,
Xenbase
Williams,
Correlation of nitric oxide synthase expression with changing patterns of axonal projections in the developing visual system.
1994,
Pubmed
Wong,
Changing patterns of spontaneous bursting activity of on and off retinal ganglion cells during development.
1996,
Pubmed
Wu,
Involvement of nitric oxide in the elimination of a transient retinotectal projection in development.
1994,
Pubmed
Yen,
Analysis of synaptic distribution within single retinal axonal arbors after chronic NMDA treatment.
1995,
Pubmed
Zhang,
A critical window for cooperation and competition among developing retinotectal synapses.
1998,
Pubmed
,
Xenbase