Click here to close
Hello! We notice that you are using Internet Explorer, which is not supported by Xenbase and may cause the site to display incorrectly.
We suggest using a current version of Chrome,
FireFox, or Safari.
???displayArticle.abstract???
We have identified a member of the insulin receptor (InsR)/insulin-like growth factor-1 receptor (IGF-1R) family. The Xenopus insulin receptor (Xe-InsR) is present as a maternal 6.6 kb transcript. Northern blot analysis reveals the presence of this transcript until the mid-blastula transition (MBT), when levels decrease. At neurulation, two distinct transcripts of 6.6 and 7.7 kb are detected, both of which persist throughout embryogenesis. In situ hybridization analysis shows that InsR expression is restricted to regions of ectodermal and mesodermal origin, notably the encephalon, otic vesicles, optic vesicles, gills, somites and the pronephros.
???displayArticle.pubmedLink???
10446274
???displayArticle.link???Mech Dev
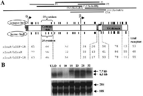
Fig. 1. Characterization of the Xenopus InsR mRNA. (A) Schematic representation of the cloned InsR cDNAs (black lines) and comparison of the deduced
Xenopus InsR amino acid sequence (Xe-InsRA) with its human counterpart (hInsR). Percentage identity between the receptor domains are indicated underneath.
hIGF-1R, human pro-IGF-1R; xIGF-1R, Xenopus pro-IGF-1R. Tyrosine residues, open bars; putative sites and domains, glycosylation sites (black
bars); ATP binding site (open circles); TM, transmembrane domain; TK, tyrosine kinase domain; SP, signal peptide. Probes used in the study are indicated by
double lines. (B) Northern blot analysis of InsR expression. Total RNA (20 mg each lane) from unfertilized laid oocytes and embryos at various stages were
analyzed by Northern blotting using the P3 probe (see Fig. 1A). Densitometric analysis of 18S and 28S RNA was used as a control (lower panel).
Fig. 2. Localization of InsR transcripts during embryogenesis by whole mount in situ hybridization. (A±G) Expression of InsR mRNA at different stages of
embryogenesis (A, stage 61/2; B, stage 9; C, stage 101/2; D, stages 13 (left) and 17 (right); E, stages 23 (left) and 25 (right); F, stage 32; G, stage 37). Control:
embryos in the top row of each picture are hybridized with InsR sense probe. Four different views are presented in pictures (A±C): animal (A) or vegetative (V)
hemisphere, lateral view (l) or parasagittal section. InsR expression in the anterior part (E) of a stage 37 embryo observed at higher magni®cation. Transverse
sections (stage 37) through the encephalon (I, proencephalon; J and K, rhombencephalon), the eye (L: oc, optic cup; l, lens), the otic vesicle (ov, picture M), the
pronephros (pn, picture N) and the somites (picture O) readily show that InsR is expressed in these tissues.
insr (insulin receptor) gene expression in Xenopus laevis embryos, NF stage 6.5, as assayed by in situ hybridization. Lateral view: animal up.
insr (insulin receptor) gene expression in Xenopus laevis embryos, NF stage 37, as assayed by in situ hybridization. Lateral view: dorsal up, anteriorright.