|
Fig. 1. Revised Xenopus blastula fate map (Lane and Smith, 1999).
|
|
Fig. 2. aT3 globin expression in Xvent-1 or Xvent-2 RNA- or
pCSKA-Xwnt-8-injected embryos. Fertilized eggs were
microinjected at 1-cell stage with either (A) 1.0 ng of GFP RNA, (B)
1.0 ng of Xvent-1 RNA, (C) 4.0 ng of Xvent-2 RNA or (D) 100 pg of
pCSKA-Xwnt-8. Injected embryos were cultured until control
embryos reached stage 37/38. aT3 globin expression was detected by
in situ hybridization. Representative embryos are shown. Anterior is
to the left for all embryos.
|
|
Fig. 3. Xvent-1, Xvent-2 and Xwnt-8 have a posteriorizing, not
ventralizing, effect. Eggs were microinjected with 1.0 ng of Xvent-1
RNA, 4.0 ng of Xvent-2 RNA, 1.0 ng of Xvent-1 plus 4.0 ng of
Xvent-2 RNAs, or 100 pg of pCSKA-Xwnt-8, and cultured until
uninjected control embryos reached stage 30/31 (A), or 37/38 (B).
RNA was isolated and analyzed by northern blotting for the
expression of Xpo, myoD, otx2, aT3 globin and muscle actin. EF1a
serves as a loading control.
|
|
Fig. 4. Quantitative analysis of the northern blots. Relative
expression levels of Xpo, myoD, otx2, muscle actin and aT3 globin
in response to injection of Xvent-1 RNA (Xvent-1), Xvent-2 RNA
(Xvent-2), Xvent-1 plus Xvent-2 RNAs (1+2), or pCSKA-Xwnt-8
(Xwnt-8) are shown. Optical densities of the bands from the northern
blots were calculated using NIH Image software. The values, after
adjusting for total RNA loading by EF1a hybridization intensity, are
shown for two independent experiments. (A) Xpo, (B) otx2, (C) aT3
globin, (D) myoD and (E) muscle actin at stage 30/31. Expressions of
(F) aT3 globin and (G) muscle actin at stage 37/38 are also shown.
|
|
Fig. 5. SCL expression in Xvent-1 RNA, Xvent-2 RNA or pCSKA-Xwnt-8-injected embryos. Fertilized eggs were microinjected with 1.0 ng of
GFP RNA, 1.0 ng of Xvent-1 RNA, 4.0 ng of Xvent-2 RNA or 100 pg of pCSKA-Xwnt-8, and the injected embryos were assayed for SCL
expression at stage 24 by (A) in situ hybridization, and (B) northern analysis. (A) Xvent-1-injected embryos showed the greatest degree of
variation and examples of elevated (left), control-like (center) and reduced (right) levels of expression are shown. (C) For Xvent-1 injection,
optical densities of bands from northern blots were calculated using NIH image software, and the values are shown for four independent
experiments after adjusting for total RNA loading by EF1a hybridization intensity.
|
|
Fig. 6. aT3 globin expression in posterior marginal zone explants.
(A) Procedure for labeling and isolation of posterior marginal zone
explants. Both B4 blastomeres were injected with 50 pg each GFP
and lacZ RNAs at the 32-cell stage. At stage 9 (late blastula)
posterior marginal zones were dissected under fluorescence, using
GFP expression to direct dissection of an explant containing B4
progeny. The dissected explants were cultured under coverslips until
control embryos reached stage 32. (B) Representative posterior
marginal zone explants were stained for b-galactosidase activity and
aT3 globin expression by in situ hybridization.
|
|
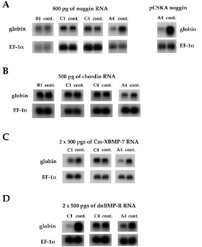
Fig. 7. Effects of inhibitors of the BMP signaling on aT3 globin expression in whole
embryos. 32-cell-stage Xenopus embryos were injected in a single B1, C1, C4 or A4
blastomere with 500 pgs of noggin and GFP RNAs, 500 pgs of chordin and GFP RNAs or
500 pg of GFP RNA alone as a control, and also injected in the single A4 blastomere with
50 pg of pCSKA-noggin and 500 pg of GFP RNA. Other embryos were injected in both
C1, C4 or A4 blastomeres with 500 pgs of Cm-XBMP-7 and GFP RNAs or 500 pgs of
dnBMP-R and GFP RNAs. The injected embryos were allowed to develop to stage 37/38,
at which time RNAs were isolated and analyzed by northern blotting for aT3 globin
expression. EF1a serves as a loading control. (A) noggin-injected embryos; (B) chordininjected
embryos; (C) Cm-XBMP-7-injected embryos; (D) dnBMP-R-injected embryos.
|
|
either BMP-2, BMP-4 or BMP-7 to rescue the
phenotype caused by Cm-XBMP-7 (Nishimatsu and Thomsen,
1998). Similarly, the dominant negative BMP-4 receptor has
broad inhibitory activity (Suzuki et al., 1994). Thus, we cannot
identify the particular molecules responsible for the epidermisderived
BMP activity, although several reports indicate a role
for heterodimers, particularly BMP-4/BMP-7, in Xenopus
mesoderm induction and patterning (Nishimatsu and Thomsen,
1998; Suzuki et al., 1997).
A prepattern in the posterior marginal zone?
Previous experiments have shown that excised posterior
marginal zones express globin (Kelley et al., 1994), and that
they can be induced to express muscle actin if combined with
a Spemann Organizer or exposed to Noggin or other BMP
inhibitors (Lettice and Slack, 1993; Smith et al., 1993). Our
result has shown that the globin expression in these explants is
restricted to the vegetal pole, despite the fact that BMPs are
widely expressed in the posterior marginal zone and ectoderm
(Hemmati-Brivanlou and Thomsen, 1995; Schmidt et al.,
1995). These results argue against the hypothesis that all
|