|
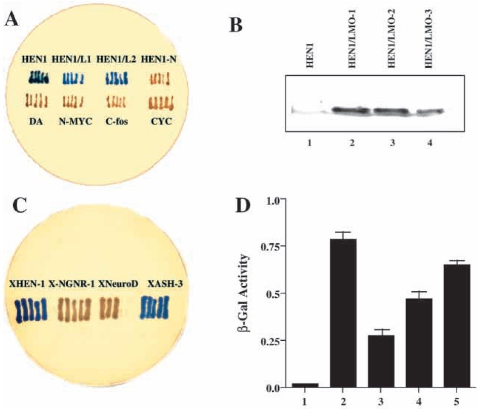
Fig. 1. Specific interaction between HEN1 and LMO-1. (A) Testing the specific
interaction of HEN1 with LMO-1 in yeast. The full-length LMO-1, or only one of
its LIM domains (L1 or L2) fused in-frame with the transcription activator B42 in
pJG4-5 vector, was transformed into the EGY48 yeast strain containing one of the
following baits fused to LexA DNA-binding domain: HEN1 (full-length HEN1),
HEN1-N (N-terminal of HEN1 without bHLH domain), DA (daughterless), NMYC,
C-fos and CYC (cyclin C). Transformants were tested for specific interaction
on glucose or galactose X-gal plates (galactose plate is shown here). The blue color
indicates a positive protein-protein interaction. (B) Detection of complexes between
HEN1 and LMO proteins by immunoprecipitation. Complexes were
immunoprecipitated with anti myc-tag antibody from 293T mammalian cells cotransfected
with HA-tagged HEN1 and one of the myc-tagged LMO proteins. The
complexes were separated on the SDS-PAGE, and HEN1 protein was detected with
anti-HA antibody. (C) Testing the binding of XLMO-3 to Xenopus neuronal-specific
bHLH factors. The full-length XLMO-3 fused in-frame with the B42 in pJG4-5 was
transformed into EGY48 yeast containing one of the following baits fused to LexA
DNA-binding domain: XHEN1, X-NGNR-1, XNeuroD and XASH-3.
Transformants were tested for specific interaction on galactose X-gal plates. The
blue color indicates a positive protein-protein interaction. (D) Quantification of the
strength of the interaction of XLMO-3 with Xenopus bHLH factors by measuring b-
galactosidase activity. Yeast with XLMO-3 bait were transformed with Cyclin C (1),
XHEN1 (2), X-NGNR-1 (3), XNeuroD (4) and XASH-3 (5). Five independent
transformants from each group were picked and grown over 48 hours, and b-
galactosidase activity was measured.
|
|
Fig. 2. Sequence of XHEN1 and XLMO-3. (A) Alignment of the entire predicted amino acid sequences of Xenopus XHEN1 and human HEN1
and HEN2. Grey boxes indicate conserved amino acids. (B) Alignment of the bHLH regions of six Xenopus neuronal-specific bHLH proteins.
(C) Alignment of the entire predicted amino acid sequences of Xenopus XLMO-3 and human LMO-1, LMO-2, LMO-3. Grey boxes indicate
identical amino acids.
|
|
Fig. 3. Spatial and temporal expression of XHEN-1 and XLMO-3
during early neurogenesis. (A) Detection of XHEN1, XLMO-3 and
X-NGNR-1 during early development by RPA. The probes as
indicated on the left side were made by the Dig-RNA labeling kit.
XLMO-3 and XHEN1 are expressed earlier than X-NGNR-1.
(B-J) Stage 10. 5, 11. 5 and 12 Xenopus embryos were hybridized
with probes for XHEN1, XLMO-3 and X-NGNR-1. Uncleared
embryos are shown in a dorsal view, with anterior to the left.
XLMO-3 and XHEN1 are expressed in the same location.
|
|
Fig. 4. Comparison of the expression
patterns of XHEN1, XLMO-3, XNGNR-
1 and N-tubulin. (A-J) Stage 14,
25 and 35 Xenopus embryos were
hybridized with probes for XLMO-3,
XHEN1, X-NGNR-1 and N-tubulin.
Embryos are shown in a dorsal (stage
14), dorsal-lateral (stage 25) or lateral
(stage 35) view, with anterior to the left.
At stage 14, XLMO-3 and XHEN1 are
expressed only in two domains which
will become interneurons (I) and
motoneurons (M) of spinal cord, while
X-NGNR-1 and N-tubulin are expressed
also in the domains which will form
sensory neurons (S) besides of these two
medial domains. At stage 25, the
expression patterns for all four probes
are very similar. At stage 35, XHEN1 is
only expressed in the brain region.
(K,L) Transverse sections of Xenopus
embryos hybridized with probes for
XHEN1 and XLMO-3 at stage 20. In the
neural tube, both of XHEN1 and
XLMO-3 are located in the ventral part
of spinal cord which is formed by
interneurons and motoneurons.
|
|
Fig. 5. Cooperative role of XHEN1 and XLMO-3 in vivo.
(A) Transcriptional activity of XHEN1. The following plasmids were
co-transfected with 10 mg pNEX-167, a reporter plasmid made of 5¢
regulatory region (167 bp) of NEX-1 gene fused to the firefly luciferase
gene. C, control, reporter alone; H, 20 mg XHEN1; L, 20 mg XLMO-3;
H/L, 20 mg each XHEN1 and XLMO-3; DH, 20 mg truncated XHEN1;
DH/L, 20 mg each truncated XHEN1 and XLMO-3; N, 20 mg NEX.
(B) Induction of N-CAM in animal caps by over-expression of XHEN1
and XLMO-3. EF-1a is a ubiquitously expressed mRNA and serves as
a control for RT-PCR and loading. The bands from lanes of XHEN1
and XHEN1/XLMO-3 were quantified by NIH image 1.6. The optical
density for the N-CAM and EF-1a band is 26.74 and 95.12 pixels/mm2
in the XHEN1 lane, 62.73 and 91.61 pixels/mm2 in XHEN1/XLMO-3
lane. After calibrating with the optical density of EF-1a band (the
loading control), about 2.4 times more N-CAM was found to be
induced by co-injection of XHEN1 and XLMO-3 than injection of
XHEN1 alone. The mesodermal marker, muscle actin (M-Actin), is
only induced in the positive control which are uninjected animal caps
treated with activin (+). Untreated animal caps from uninjected eggs
were used as the negative control (-). (C) Whole mount
immunostaining with XAN-3 antibody of embryos injected with
XHEN1 or/and XLMO-3. The main antigen for XAN-3 is N-CAM.
The embryos were collected at stage 10 following the injection. There
was no staining in the embryos injected only with XLMO-3 (left).
Weak staining was found at stage 10 in the embryos injected only with
XHEN1 (center), whereas strong staining was observed in the embryos
co-injected with both XHEN1 and XLMO-3 (right).
|
|
Fig. 6. Induction of X-NGNR-1 and XNeuroD Expression by
XHEN1 and/or XLMO-3. (A-F) Embryos injected on one side with
XLMO-3 (A,D), XHEN1 (B,E), or both (C,F) were hybridized at
stage 9 with X-NGNR-1 (A-C) or XNeuroD (D-F) probe. Injection
of XHEN1 mRNA induced endogenous X-NGNR-1 expression as
well as endogenous XNeuroD expression, while co-injection of
XHEN1 and XLMO-3 mRNAs induced more endogenous X-NGNR-
1 and XNeuroD. (G-K) Embryos injected on one side with XNGNR-
1 (G-I) or X-NeuroD (J,K) mRNAs were processed by in situ
at stage 9 with probes for XNeuroD (G), XLMO-3 (XL; H,J) and
XHEN1 (XI; I,K). X-NGNR-1 induced endogenous XNeuroD
expression, but not endogenous XHEN1 and XLMO-3 expression.
|
|
Fig. 7. Ectopic neurogenesis induced by XHEN1 and/or XLMO-3 mRNAs. (A) Ectopic
neurogenesis was visualized at stage 14 and stage 25 embryos by whole mount in situ
hybridization with an N-tubulin probe. Embryos were injected on one side (left side at the
bottom) with XLMO-3, XHEN1, XHEN1/XLMO-3 or X-NGNR-1. All embryos are shown
with anterior to the left. Only the injected half of stage 25 embryos is shown.
(B) Downregulation of neurogenesis by overexpression of XHEN1-WPRW. Ectopic
neurogenesis was visualized at stage 14 by N-tubulin staining. One cell of the 2-cell stage
embryos were injected with 500 pg of mRNA encoding for XHEN1-WRPW. The injected
half (bottom half) showed little N-tubulin expression (right panel) when compared to the
uninjected control (left panel). (C) Temporal Induction of N-CAM and N-tubulin in animal
caps by over-expression of XHEN1 and XLMO-3. EF-1a is a ubiquitously expressed
mRNA and serves as a control for RT-PCR and loading.
|
|
lmo3 (LIM domain only 3 ) gene expression in Xenopus laevis embryo, assayed via in situ hybridization, NF stage 14, dorsal view, anterior left.
|