Click here to close
Hello! We notice that you are using Internet Explorer, which is not supported by Xenbase and may cause the site to display incorrectly.
We suggest using a current version of Chrome,
FireFox, or Safari.
J Cell Biol
1999 Dec 27;1477:1569-82. doi: 10.1083/jcb.147.7.1569.
Show Gene links
Show Anatomy links
Cingulin contains globular and coiled-coil domains and interacts with ZO-1, ZO-2, ZO-3, and myosin.
Cordenonsi M
,
D'Atri F
,
Hammar E
,
Parry DA
,
Kendrick-Jones J
,
Shore D
,
Citi S
.
???displayArticle.abstract???
We characterized the sequence and protein interactions of cingulin, an M(r) 140-160-kD phosphoprotein localized on the cytoplasmic surface of epithelial tight junctions (TJ). The derived amino acid sequence of a full-length Xenopus laevis cingulin cDNA shows globular head (residues 1-439) and tail (1,326-1,368) domains and a central alpha-helical rod domain (440-1,325). Sequence analysis, electron microscopy, and pull-down assays indicate that the cingulin rod is responsible for the formation of coiled-coil parallel dimers, which can further aggregate through intermolecular interactions. Pull-down assays from epithelial, insect cell, and reticulocyte lysates show that an NH(2)-terminal fragment of cingulin (1-378) interacts in vitro with ZO-1 (K(d) approximately 5 nM), ZO-2, ZO-3, myosin, and AF-6, but not with symplekin, and a COOH-terminal fragment (377-1,368) interacts with myosin and ZO-3. ZO-1 and ZO-2 immunoprecipitates contain cingulin, suggesting in vivo interactions. Full-length cingulin, but not NH(2)-terminal and COOH-terminal fragments, colocalizes with endogenous cingulin in transfected MDCK cells, indicating that sequences within both head and rod domains are required for TJ localization. We propose that cingulin is a functionally important component of TJ, linking the submembrane plaque domain of TJ to the actomyosin cytoskeleton.
Figure 1. The nucleotide and derived amino acid sequence of Xenopus laevis cingulin. Single underline indicates nuclear localization sequence. Dashed underline indicates predicted coiled-coil sequence. The sequences are available from GenBank/EMBL/DDBJ under accession number AF207901.
Figure 2. Northern blot analysis of Xenopus tissues total RNA, using cingulin and actin probes. An ∼5.4-kb cingulin message is detected in intestine (epithelial tissue) but not in fat bodies (connective tissue). Numbers on the left indicate the migration of RNA size markers.
Figure 4. Electron microscopic analysis of purified chicken cingulin rod. (A) Rotary-shadowed molecules of cingulin rod. The arrow indicates one example of a 130-nm-long and 2-nm-wide molecule. The arrowheads indicate one example of an apparent cingulin oligomer. (B) Negatively stained twisted tangles of cingulin rod. The average length of the twisted tangles was 432 ± 51 nm (n = 36). Only isolated aggregates were scored. Bars, 150 nm.
Figure 3. Structure predictions and domain organization of Xenopus laevis cingulin. (A) Kyte-Doolittle hydrophobicity plot of cingulin. Amino acid positions are indicated on the x-axis. (B) Coiled-coil prediction analysis of cingulin using the MacStripe program. A value of 1 indicates highest probability of coiled-coil. Horizontal lines above the plot indicate the seven frames of the heptad repeats. (C) A schematic domain organization of Xenopus laevis cingulin (see also Fig. 10). (D) Diagram of GST fusion protein constructs used in pull-down assays. (E) Diagram of Myc-tagged cingulin constructs used in transfection experiments.
Figure 6. Interaction of cingulin with ZO-1, ZO-2, ZO-3, myosin, AF-6, and symplekin. (A) GST pull-downs from epithelial cell lysates using bacterially expressed cingulin. Western blots of MDCK cell lysates after affinity purification on glutathione-Sepharose beads attached to GST, GST-XC(1-378), or GST-XC(377-1,368), or before affinity purification (lysate). ZO-1, ZO-2, and AF-6 appear to associate only with cingulin NH2-terminal fragment, myosin associates with both NH2-terminal and COOH-terminal fragments, and symplekin does not associate with any fragment. (B) GST pull-downs from reticulocyte lysates containing radioactively labeled in vitro translated proteins. Autoradiography of 35S-labeled ZO-1, ZO-2, ZO-3, and myosin, after affinity purification on glutathione-Sepharose beads attached to GST (GST), GST fusions of Xenopus cingulin NH2-terminal fragment (GST-XC(1-378)), or COOH-terminal fragment (GST-XC(377-1,368)). ZO-1 and ZO-2 associate only with the NH2-terminal fragment, ZO-3 and myosin associate with both NH2-terminal and COOH-terminal fragments. (C) Coimmunoprecipitation of cingulin with ZO-1 and ZO-2. Western blot analysis, using anticingulin antiserum C532, of cingulin in Triton-soluble (CaCo-T) and SDS-soluble (CaCo-S) fractions of human CaCo2 cultured epithelial cells. (top left) Cell extract; (top right) extract after immunoprecipitation with anticingulin antiserum (IP α-cing); (bottom left) extract after immunoprecipitation with anti–ZO-1 antibodies (IP αZO-1); and (bottom right) extract after immunoprecipitation with anti–ZO-2 antibodies (IP αZO-2). Cingulin (Mr 140 kD) is detected in ZO-1 and ZO-2 immunoprecipitates from the SDS-soluble fraction. Polypeptides of Mr 100–135 kD detected in the Triton-soluble fraction of CaCo2 lysates probably represent proteolytic degradation products.
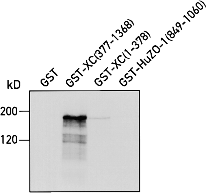
Figure 5. Self-interaction of Xenopus laevis cingulin. Radioactively labeled full-length cingulin, generated by in vitro transcription/translation, was detected by autoradiography after affinity purification on glutathione-Sepharose beads attached to GST, or GST-XC(377-1,368), GST-XC(1-378), or GST fused to a human ZO-1 fragment (amino acids 849–1,060) (GST-HuZO-1(849-1,060)). Strong association was detected with the COOH-terminal fragment of cingulin, no association with ZO-1 fragment or GST. Numbers on the left indicate approximate molecular sizes in kilodaltons, based on the migration of prestained markers.
Figure 8. Localization of cingulin in transiently transfected MDCK cells. Double immunofluorescent staining of mock-transfected MDCK cells (a and a′), or MDCK cells transfected with XC(1-1,368)-myc (b and b′), or with XC(1-378)–myc (c, c′, d, and d′), or with XC(377-1,368)-myc (e, e′, f, and f′), using anticingulin antiserum C532 followed by TRITC anti-rabbit (a–f) and anti–myc 9E10 antibody followed by FITC anti-mouse (a′–f′). C532 labels endogenous cingulin and transfected cingulin when the COOH-terminal fragment is present in the transfection construct. 9E10 labels expressed cingulin. Mock-transfected cells were transfected with solvent or with vector alone. Single arrow in b (corresponding arrow in b′) indicates colocalization of endogenous and transfected cingulin in the junctional region between two cells. Double arrows in b and b′ indicate a junction containing endogenous cingulin but not transfected cingulin. Asterisks in c–f (corresponding asterisks in c′–f′) indicate nuclear regions. Asterisks in d′ and in e and e′ indicate cytoplasmic labeling of transfected protein. Thin arrows in f and f′ indicate brightly stained cytoplasmic aggregates. Bar, 10 μm.
Figure 9. Localization of cingulin in Xenopus laevis embryos (gastrula stage) after microinjection of early embryos with cingulin constructs in pCS2. Double immunofluorescent staining of mock-microinjected embryos (a and a′), or embryos microinjected with XC(377-1,368)-myc in pCS2 (b and b′), using anticingulin antiserum R902 followed by FITC anti-rabbit (a and b) and 9E10 antibody followed by TRITC anti-mouse (a′ and b′). Arrows in a and b (corresponding arrow in b′) indicate junctional cingulin immunolabeling. Star in b′ (corresponding star in b) indicates cytoplasmic labeling of transfected protein. Asterisk in b′ indicates nuclear region. Note that XC(377-1,368)–myc is distributed in the cytoplasm and absent from junctions and nuclear regions. c and d show two different focal planes (c, apical; d, subapical) of an embryo that was microinjected with residues 1–378 of cingulin without Myc tag (XC(1-378)) and stained with anticingulin antiserum R902 followed by TRITC-anti-rabbit. R902 antiserum was raised against the NH2-terminal region of cingulin (Cordenonsi et al. 1997), and recognizes both endogenous and transfected cingulin. White arrows in c indicate apical junctional cingulin staining in two adjacent blastomeres. Black arrows in d indicate nuclear regions in a lower plane of focus in the same blastomeres shown in c. Black star in d indicates cytoplasm. Black dots visible in b′ and c against the light background represent pigment granules. Bar, 20 μm.
Figure 10. (A) A schematic cartoon showing the putative organization of cingulin as a parallel dimer with globular and coiled-coil domains. (B) Proposed names, sizes, and amino acid boundaries of different Xenopus cingulin regions. (C) Summary of in vitro interactions of GST fusion proteins of NH2-terminal (1–378) and COOH-terminal (377–1,368) fragments of Xenopus cingulin. Positive score indicates interaction detected (with number of + proportional to relative intensities of signal using different approaches), a negative score indicates interaction not detected.
Balda,
Assembly of the tight junction: the role of diacylglycerol.
1993, Pubmed
Balda,
Assembly of the tight junction: the role of diacylglycerol.
1993,
Pubmed
Balda,
The SH3 domain of the tight junction protein ZO-1 binds to a serine protein kinase that phosphorylates a region C-terminal to this domain.
1996,
Pubmed
Beatch,
The tight junction protein ZO-2 contains three PDZ (PSD-95/Discs-Large/ZO-1) domains and an alternatively spliced region.
1996,
Pubmed
Brown,
Heptad breaks in alpha-helical coiled coils: stutters and stammers.
1996,
Pubmed
Cardellini,
Tight junctions in early amphibian development: detection of junctional cingulin from the 2-cell stage and its localization at the boundary of distinct membrane domains in dividing blastomeres in low calcium.
1996,
Pubmed
,
Xenbase
Chou,
Prediction of the secondary structure of proteins from their amino acid sequence.
1978,
Pubmed
Citi,
Tight junction proteins.
1998,
Pubmed
Citi,
Phosphorylation of the tight junction protein cingulin and the effects of protein kinase inhibitors and activators in MDCK epithelial cells.
1995,
Pubmed
Citi,
Studies on the structure and conformation of brush border myosin using monoclonal antibodies.
1987,
Pubmed
Citi,
Cingulin, a new peripheral component of tight junctions.
1988,
Pubmed
Citi,
Cytoskeletal involvement in the modulation of cell-cell junctions by the protein kinase inhibitor H-7.
1994,
Pubmed
Citi,
Cingulin: characterization and localization.
1989,
Pubmed
Citi,
Protein kinase inhibitors prevent junction dissociation induced by low extracellular calcium in MDCK epithelial cells.
1992,
Pubmed
Cordenonsi,
Xenopus laevis occludin. Identification of in vitro phosphorylation sites by protein kinase CK2 and association with cingulin.
1999,
Pubmed
,
Xenbase
Cordenonsi,
Occludin dephosphorylation in early development of Xenopus laevis.
1997,
Pubmed
,
Xenbase
De Boer,
The blood-brain barrier: clinical implications for drug delivery to the brain.
1994,
Pubmed
Fanning,
The tight junction protein ZO-1 establishes a link between the transmembrane protein occludin and the actin cytoskeleton.
1998,
Pubmed
FARQUHAR,
Junctional complexes in various epithelia.
1963,
Pubmed
Fleming,
Localisation of tight junction protein cingulin is temporally and spatially regulated during early mouse development.
1993,
Pubmed
Furuse,
Direct association of occludin with ZO-1 and its possible involvement in the localization of occludin at tight junctions.
1994,
Pubmed
Furuse,
Occludin: a novel integral membrane protein localizing at tight junctions.
1993,
Pubmed
Furuse,
Claudin-1 and -2: novel integral membrane proteins localizing at tight junctions with no sequence similarity to occludin.
1998,
Pubmed
Garnier,
Analysis of the accuracy and implications of simple methods for predicting the secondary structure of globular proteins.
1978,
Pubmed
Giepmans,
The gap junction protein connexin43 interacts with the second PDZ domain of the zona occludens-1 protein.
,
Pubmed
Graham,
Transformation of rat cells by DNA of human adenovirus 5.
1973,
Pubmed
Gumbiner,
Identification of a 160-kDa polypeptide that binds to the tight junction protein ZO-1.
1991,
Pubmed
Haskins,
ZO-3, a novel member of the MAGUK protein family found at the tight junction, interacts with ZO-1 and occludin.
1998,
Pubmed
Hodge,
Role of the COOH-terminal nonhelical tailpiece in the assembly of a vertebrate nonmuscle myosin rod.
1992,
Pubmed
Howarth,
Detection of the tight junction-associated protein ZO-1 in astrocytes and other nonepithelial cell types.
1992,
Pubmed
Itoh,
A 220-kD undercoat-constitutive protein: its specific localization at cadherin-based cell-cell adhesion sites.
1991,
Pubmed
Itoh,
Involvement of ZO-1 in cadherin-based cell adhesion through its direct binding to alpha catenin and actin filaments.
1997,
Pubmed
Itoh,
The 220-kD protein colocalizing with cadherins in non-epithelial cells is identical to ZO-1, a tight junction-associated protein in epithelial cells: cDNA cloning and immunoelectron microscopy.
1993,
Pubmed
Itoh,
Characterization of ZO-2 as a MAGUK family member associated with tight as well as adherens junctions with a binding affinity to occludin and alpha catenin.
1999,
Pubmed
Jesaitis,
Molecular characterization and tissue distribution of ZO-2, a tight junction protein homologous to ZO-1 and the Drosophila discs-large tumor suppressor protein.
1994,
Pubmed
Jou,
Structural and functional regulation of tight junctions by RhoA and Rac1 small GTPases.
1998,
Pubmed
Kammerer,
An autonomous folding unit mediates the assembly of two-stranded coiled coils.
1998,
Pubmed
Katsube,
Cortactin associates with the cell-cell junction protein ZO-1 in both Drosophila and mouse.
1998,
Pubmed
Kendrick-Jones,
Paramyosin: molecular length and assembly.
1969,
Pubmed
Keon,
Symplekin, a novel type of tight junction plaque protein.
1996,
Pubmed
Madara,
Alteration of intestinal tight junction structure and permeability by cytoskeletal contraction.
1987,
Pubmed
Mandai,
Afadin: A novel actin filament-binding protein with one PDZ domain localized at cadherin-based cell-to-cell adherens junction.
1997,
Pubmed
Martìn-Padura,
Junctional adhesion molecule, a novel member of the immunoglobulin superfamily that distributes at intercellular junctions and modulates monocyte transmigration.
1998,
Pubmed
McLachlan,
Tropomyosin coiled-coil interactions: evidence for an unstaggered structure.
1975,
Pubmed
Mitic,
Molecular architecture of tight junctions.
1998,
Pubmed
Paine,
Nucleocytoplasmic movement of fluorescent tracers microinjected into living salivary gland cells.
1975,
Pubmed
Parry,
Structure of alpha-keratin: structural implication of the amino acid sequences of the type I and type II chain segments.
1977,
Pubmed
Prasad,
Cloning of the ALL-1 fusion partner, the AF-6 gene, involved in acute myeloid leukemias with the t(6;11) chromosome translocation.
1993,
Pubmed
Rajasekaran,
Catenins and zonula occludens-1 form a complex during early stages in the assembly of tight junctions.
1996,
Pubmed
Rupp,
Xenopus embryos regulate the nuclear localization of XMyoD.
1994,
Pubmed
,
Xenbase
Saitou,
Occludin-deficient embryonic stem cells can differentiate into polarized epithelial cells bearing tight junctions.
1998,
Pubmed
Shohet,
Cloning of the cDNA encoding the myosin heavy chain of a vertebrate cellular myosin.
1989,
Pubmed
Steinmetz,
A distinct 14 residue site triggers coiled-coil formation in cortexillin I.
1998,
Pubmed
Stevenson,
The tight junction: morphology to molecules.
1998,
Pubmed
Stevenson,
Identification of ZO-1: a high molecular weight polypeptide associated with the tight junction (zonula occludens) in a variety of epithelia.
1986,
Pubmed
Takahashi,
Direct binding between two PDZ domain proteins Canoe and ZO-1 and their roles in regulation of the jun N-terminal kinase pathway in Drosophila morphogenesis.
1998,
Pubmed
Toyofuku,
Direct association of the gap junction protein connexin-43 with ZO-1 in cardiac myocytes.
1998,
Pubmed
Tsukamoto,
Tight junction proteins form large complexes and associate with the cytoskeleton in an ATP depletion model for reversible junction assembly.
1997,
Pubmed
Turner,
Physiological regulation of epithelial tight junctions is associated with myosin light-chain phosphorylation.
1997,
Pubmed
Willott,
The tight junction protein ZO-1 is homologous to the Drosophila discs-large tumor suppressor protein of septate junctions.
1993,
Pubmed
Woolfson,
Predicting oligomerization states of coiled coils.
1995,
Pubmed
Yamamoto,
The Ras target AF-6 interacts with ZO-1 and serves as a peripheral component of tight junctions in epithelial cells.
1997,
Pubmed
Yamamoto,
In vivo interaction of AF-6 with activated Ras and ZO-1.
1999,
Pubmed
Yeaman,
New perspectives on mechanisms involved in generating epithelial cell polarity.
1999,
Pubmed
Zhadanov,
Absence of the tight junctional protein AF-6 disrupts epithelial cell-cell junctions and cell polarity during mouse development.
1999,
Pubmed