|
Fig. 1.
Depolarization shortens the optic projection.A–D, Representative examples of stage 40 whole-mount brain preparations showing the HRP-labeled optic projection in a control brain (A) and when 1 μM TTX (B) or 20 mM KCl (C, D) are applied to the exposed brain. E, Graph showing the optic tract length measured in dehydrated brains. Tract length was measured in normalized BRUs and then converted to micrometers (1 BRU, ∼620 μm; Chien et al., 1993). The optic tract is unaffected by TTX application, but is significantly shorter in brains exposed to depolarizing conditions of external K (**p < 0.01). Tec, Tectum;Pi, pineal; Hyp, hypothalamus;Di, diencephalon; Tel, telencephalon;arrowhead, midbrain–hindbrain isthmus;Oc, optic chiasm; ot, optic tract.White dots (A) show the approximate border of the anterior tectum. Scale bar (shown inD), 100 μm.
|
|
Fig. 2.
Developing RGCs express Kv channels. A, B, Kv currents recorded from two different stage 33/34 equivalent RGCs in culture in the whole-cell configuration (see Materials and Methods). The cells were held at holding potential of â80 mV, and 400 msec voltage steps were applied in 10 mV increments from â60 to +70 mV. In both cells, outward Kv currents are observed that are sensitive to both 3 mM 4-AP and 50 mMTEA. With the cell shown in B, wash out with control solution was able to reverse the blockade. CâE,Immunolabeling with a rabbit polyclonal antibody against rat Kv4.3.C, D, Transverse sections through stage 33/34 (C) and stage 37/38 (D) retinas showing labeling of cells in the RGC layer. PE, Pigment epithelium; L, lens; onh, optic nerve head; mb, midbrain; RGCL, RGC layer; D, dorsal; V, ventral.E, An RGC growth cone in culture immunolabeled with the Kv4.3 antibody. The body of the growth cone, the filopodia, and the lamellopodia are labeled in a punctate fashion. Scale bar (shown inE): C, 50 μm; D, 25 μm; E, 5 μm.
|
|
Fig. 3.
4-AP disrupts the optic projection.A–F, Whole-mount brain preparations showing HRP-labeled optic projections in control (A) and 4-AP-treated (B–F) brains. At a low concentration of 4-AP of 1 mM (B), optic axons behave normally. Optic projections exposed to higher levels of 4-AP, 3 mM (C, D) and 4 mM (E, F), are shorter than control, appear defasciculated (arrowheads), and have many axons that grow aberrantly away from the optic tract (arrows). Scale bar (shown inA), 100 μm.
|
|
Fig. 4.
Misrouting of 4-AP-treated axons. Nomarski images of HRP-labeled optic projections in control and 3 mM4-AP-treated brains. A, B, In control, axons grow tightly together in the optic tract as seen at both low (A) and higher (B) magnification. C–F, In contrast, in optic projections exposed to 3 mM 4-AP many axons behave aberrantly.D and F are higher power views of areasboxed in black in C andE, respectively. In both cases, the optic projection appears defasciculated. Moreover, many axons grow aberrantly into regions they normally avoid (arrows). White boxed area represents target area shown at higher power magnification in Figure 6. White dots show the approximate anterior border of the optic tectum. Scale bar (shown inF): A, C, E, 200 μm; B, D, F, 40 μm.
|
|
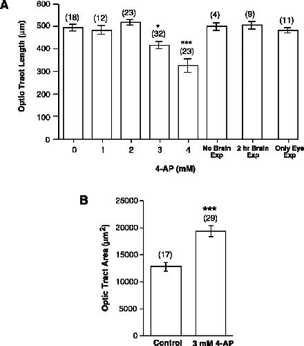
Fig. 5.
4-AP impairs RGC extension and pathfinding. Quantitation of the effects of 4-AP on the developing optic projection. Control and treated brains were exposed at stage 33/34 and fixed at stage 40. Camera lucida representations were made of the brain and optic projection, normalized, and two features of the optic projection were measured: length and area of brain covered. A,Dose–response curve showing the effect on optic tract length (in micrometers) of increasing doses of 4-AP. Also shown are the measurements of optic tract length for embryos treated with 3 mM 4-AP but where: (1) the brain was not exposed (No Brain Exp); (2) the brain was exposed to a 2 hr pulse of 4-AP (2 hr Brain Exp), and (3) the brain was not exposed, but the lens was removed from the contralateral eye at stage 33/34, exposing the underlying RGC somata to 4-AP (Only Eye Exp). Only continuous exposure of the growing RGC axons to 4-AP had a significant effect on the length of the optic projection.B, The mean area of the surface of the forebrain covered by the optic tract, as measured between the optic chiasm (0 BRU) and the midoptic tract (0.4 BRU), is shown for control and 3 mM4-AP-treated brains. The optic tract covers a significantly greater area of the ventral diencephalon than in control. Numbers of animals are shown in parentheses. Error bars indicate SEM (*p < 0.05; **p < 0.01; ***p < 0.001; for B the nonparametric Mann–Whitney U test was used).
|
|
Fig. 6.
Mistargeting of 4-AP-treated axons. Nomarski images of control (A, C) and 4-AP treated (B, D–F) HRP-labeled optic projections. A, B, Control (A) and 3 mM4-AP-treated (B) stage 37/38 optic projections. The first axons have grown into the optic tectum in control, but turn and avoid the optic tectum in the 4-AP-treated brain (arrow). C–F, Optic projections in the target region of stage 40 embryos. In control, the axons grow into the optic tectum in an orderly manner and begin arborizing (C; Fig. 4 A). Whereas, in 4-AP-treated brains (D–F), axons either fail to enter the optic tectum (arrows) or grow into the target and then grow in an apparently random fashion (arrowheads). E and F are high-power views of different focal planes of thewhite-boxed area in Figure 4 E.Pi, Pineal gland; Tec, optic tectum;ot, optic tract. Scale bar (shown inF): A, B, 100 μm;D–F, 25 μm. Dotted black linesindicate the approximate anterior border of the optic tectum.
|
|
Fig. 7.
4-AP directly impairs axon extension in culture.A, Graph showing the mean length of the longest neurite of retinal cells treated with 1, 2, or 3 mM 4-AP as a percentage of the mean length in sister control cultures.Numbers above parentheses are the number of separate experiments, whereas the amount in theparentheses represents the number of neurites measured. Error bars indicate SEM (*p < 0.05; unpaired ANOVA; Dunnett's post hoc analysis). B,Graph showing the mean area of the growth cones of retinal cells treated with 3 or 4 mM 4-AP as compared to control growth cones. Growth cone area consisted of the area occupied by the lamellopodia and growth cone body (**p < 0.01, two-tailed Student's t test). C, Graph showing the mean number of filopodia of control and 3 mM4-AP-treated growth cones. Numbers inparentheses are the number of growth cones analyzed (***p < 0.001; MannâWhitney Utest). Data in B and C are from one experimental set, although similar results were observed in two additional independent trials.
|
|
Fig. 8.
4-AP treatment does not grossly affect the patterning or morphology of the neuroepithelium. Cross sections through the diencephalon/midbrain regions of stage 40 embryos exposed at stage 33/34 to control or 3 mM 4-AP bathing solutions. In all panels the exposed (Ex) side of the brain is on theleft, and the unexposed (Un-Ex) side is on the right. Sections were immunolabeled with markers of the neuroepithelium. A, B, Zn-12 immunolabeling of control (A) and 4-AP (B)-exposed brains. C, Islet-1 immunolabeling of ventral neurons in a 4-AP-treated brain showing that dorsal ventral polarity is maintained. D, E,Immunolabeling of control (D) and 4-AP (E)-treated brains with a rabbit polyclonal pan-trk antibody. F, Immunolabeling of a 4-AP-treated brain with a radial glial cell marker (3CB2). D, Dorsal;V, ventral. Scale bar (shown in D), 100 μm.
|
|
Fig. 9.
TEA treatment inhibits growing RGC axons.A–D, HRP-labeled optic projections in stage 40 whole-mount brains exposed at stage 33/34 to 20 mM(A), 30 mM (B), and 40 mM (C, D) TEA. Increasing concentrations of TEA result in shorter optic projections, but no obvious pathfinding or fasciculation errors. Scale bar (shown inA), 100 μm. E, Graph showing the mean optic tract length (converted to micrometers from BRUs) with increasing doses of TEA. Low concentrations of TEA (10–20 mM) had little or no effect on the optic projection, whereas the optic tract was significantly shorter in brains exposed to either 30 or 40 mM TEA (***p < 0.001). α-dendrotoxin at a concentration of 100 nM had no effect on the extension of optic axons (p > 0.5).Numbers above bars represent numbers of embryos.
|