Click here to close
Hello! We notice that you are using Internet Explorer, which is not supported by Xenbase and may cause the site to display incorrectly.
We suggest using a current version of Chrome,
FireFox, or Safari.
???displayArticle.abstract???
A number of genetic and molecular studies have implicated Chordin in the regulation of dorsoventral patterning during gastrulation. Chordin, a BMP antagonist of 120 kDa, contains four small (about 70 amino acids each) cysteine-rich domains (CRs) of unknown function. In this study, we show that the Chordin CRs define a novel protein module for the binding and regulation of BMPs. The biological activity of Chordin resides in the CRs, especially in CR1 and CR3, which have dorsalizing activity in Xenopus embryo assays and bind BMP4 with dissociation constants in the nanomolar range. The activity of individual CRs, however, is 5- to 10-fold lower than that of full-length Chordin. These results shed light on the molecular mechanism by which Chordin/BMP complexes are regulated by the metalloprotease Xolloid, which cleaves in the vicinity of CR1 and CR3 and would release CR/BMP complexes with lower anti-BMP activity than intact Chordin. CR domains are found in other extracellular proteins such as procollagens. Full-length Xenopus procollagen IIA mRNA has dorsalizing activity in embryo microinjection assays and the CR domain is required for this activity. Similarly, a C. elegans cDNA containing five CR domains induces secondary axes in injected Xenopus embryos. These results suggest that CR modules may function in a number of extracellular proteins to regulate growth factor signalling.
Fig. 1. The biological activity of Chordin resides in
the cysteine-rich repeats (CRs). Mouse chordin was
divided into three parts, each with a mouse Chordin
signal peptide (SP). These vectors did not contain an
epitope-tag. Synthetic mRNA from these constructs
was injected ventrally into Xenopus embryos (100 pg
mRNA/embryo). The individual CR constructs used
in subsequent experiments are shown at the top, each
with a mouse Chordin signal peptide followed by a
Myc epitope tag.
Fig. 2. Individual CRs, particularly CR1 and CR3, exhibit
dorsalizing activity and can bind BMP4 directly.
(A) Representative phenotypes after synthetic mRNA
from individual CR constructs was injected ventrally into
Xenopus embryos (100 pg per embryo). (B) Summary of
the injection phenotypes from two independent
experiments. The percentage of dorsoanteriorized
embryos (short trunk, large head and cement gland) is
shown in blue and that of embryos with secondary axes is
indicated in red (number of embryos ranges between 35
and 83 embryos per sample). (C) RT-PCR analysis of
dorsalization of ventral marginal zones (VMZs). VMZ
explants were treated with 20 nM of each CR protein. a-
Actin is a dorsal mesoderm marker and elongation factor-
1a (EF-1a) was used as a measure of RNA recovery.
(D) Western blot analysis of BMP4 (1.5 nM) bound to the
individual CRs (2 nM) after immunoprecipitation with
anti-Myc polyclonal antibody.
Fig. 3. Biochemical analysis of the binding of CR1 to BMP4.
(A) Equilibrium binding of increasing concentrations of BMP4 to 0.5
nM CR1 protein. Two independent experiments were performed.
Scatchard analysis (inset) yields a KD of 2.4 nM. Immunoprecipitates
were resolved in western blots, developed with anti-BMP4
monoclonal antibodies and quantitated with a Phosphoimager (B)
The binding of CR1 to BMP4 can be competed by BMP2, but not by
Activin, EGF, IGF or TGFb1. 10 nM CR1 was incubated with 5.0
nM BMP4 and with a 10-fold molar excess of BMP2, Activin, EGF,
IGF or TGFb1. BMP binding was analyzed by immunoprecipitation
with polyclonal anti-myc antibodies and western blot with a
monoclonal anti-BMP4 antibody. To measure CR1 recovery after
immunoprecipitation the same membrane was stripped and probed
again with an anti-Myc monoclonal antibody.
Fig. 4. CR1 has less activity than full-length Chordin. (A) RT-PCR analysis of dorsalization of ventral
marginal zones (VMZ). VMZ explants were treated with 10 nM Xenopus Chordin (XChd) or Mouse
Chordin (MChd) protein, and 10 or 80 nM CR1 protein. a-Actin is a dorsal mesoderm marker and EF-1a
was used as loading control. (B) Histogram showing the percentage of embryos with dorsalized
phenotypes (either dorsalization of the entire embryo or secondary axes) after single ventral injections of
equimolar amounts of synthetic mRNA for mouse chordin (open bars) or CR1 mRNA (filled bars); fulllength
chordin is more active than CR1. (C) Binding of BMP4 to a BMPR-Fc fusion protein is competed
more effectively by full-length Xenopus Chordin than by CR1 of mouse or Xenopus (not shown) origin.
cm, conditioned medium control. (D) Hypothetical model showing that full-length Chordin binds BMP4
(one dimer per Chd monomer, Piccolo et al., 1996) with higher affinity (KD 3´10-10 M) than CR1 alone
(KD 2.4´10-9 M). Chordin blocks signalling via BMP receptors more effectively than the individual CR
repeats. The cleavage sites of Xolloid protease on its Chordin substrate are indicated by arrows.
Fig. 5. Procollagen IIA is expressed in dorsal
mesoderm (notochord and somites) at stages
in which chordin expression decreases.
Digoxigenin-labeled antisense chordin and
type IIA procollagen probes were hybridized
to embryos at stage 13 (A,A¢); stage 16
(B,B¢); stage 19 (C,C¢) and stage 23 (D,D¢).
All embryos are viewed from the dorsal side.
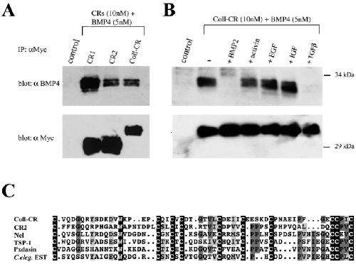
Fig. 6. The cysteine-rich domain of
Xenopus type IIA procollagen
binds BMP4. (A) Western blot
analysis of BMP4 (5 nM) bound to
CR1, CR2 or Coll-CR (10 nM)
after immunoprecipitation with an
anti-Myc polyclonal antibody. In
the lower panel the same
membrane was probed with a
monoclonal anti-Myc antibody to
detect protein recovery after
immunoprecipitation.
(B) Immunoprecipitation assay in
which the binding of BMP4 was
competed with a 10-fold excess of
BMP2, activin, EGF and IGF and
TGFb1; note that only BMP2 and
TGFb1 compete. (C) Sequence
comparison of procollagen IIA CR
to those of other secreted proteins.
Coll-CR, type IIA Xenopus
procollagen; CR2, murine chordin
second repeat; Nel, rat nel
(accession no. U48246); TSP-1,
chicken thrombospondin 1 (no.
M60853); Pxdasin, Drosophila
peroxidasin (no. D86983); C.eleg.
EST, C. elegans hypothetical
protein containing five procollagen-like domains (no. CAA94866). Black boxes, identical residues present in all sequences; dark gray boxes,
identical residues present in some CR domains; light gray boxes, similar amino acids. Alignments made with the GCG sequence analysis pileup
program.
Fig. 7. Xenopus type IIA procollagen has anti-BMP activity.
(A) Ventral injection of Xenopus procollagen IIA mRNA (400 pg)
induces secondary axes (61%, n=32). Insets show that the secondary
axes contain muscle stained with the MZ 12-101 mAb and also seen
in the histological section. (B) Injection of a similar construct in
which the CR domain was deleted to generate procollagen IIB does
not induce twinning. (C-F) Dorsalization of ventral marginal zone
explants. 8-cell embryos were injected twice ventrally with (C) H2O,
(D) chordin (100 pg mRNA/injection), (E) type IIA coll-CR (200
pg/injection) and, (F) full-length procollagen IIA (200 pg/injection).
VMZ explants were excised at early gastrula and cultured until stage
27. (G) RT-PCR analysis of VMZ explants treated as above; the
expression of the dorsal marker a-actin and EF-1a were analyzed by
RT-PCR. Note that full-length collagen, but not the CR domain
alone, can dorsalize mesoderm. (H) Secondary axes caused by
microinjection of C. elegans CAA94886 synthetic mRNA (800 pg)
encoding a protein containing multiple CR repeats (58% axes, n=31).
Ashe,
Local inhibition and long-range enhancement of Dpp signal transduction by Sog.
1999, Pubmed,
Xenbase
Ashe,
Local inhibition and long-range enhancement of Dpp signal transduction by Sog.
1999,
Pubmed
,
Xenbase
Aszódi,
Collagen II is essential for the removal of the notochord and the formation of intervertebral discs.
1998,
Pubmed
Bachiller,
The organizer factors Chordin and Noggin are required for mouse forebrain development.
2000,
Pubmed
Biehs,
The Drosophila short gastrulation gene prevents Dpp from autoactivating and suppressing neurogenesis in the neuroectoderm.
1996,
Pubmed
,
Xenbase
Bier,
Developmental biology. A unity of opposites.
1999,
Pubmed
Bornstein,
Thrombospondins: structure and regulation of expression.
1992,
Pubmed
Cheah,
Expression of the mouse alpha 1(II) collagen gene is not restricted to cartilage during development.
1991,
Pubmed
Connors,
The role of tolloid/mini fin in dorsoventral pattern formation of the zebrafish embryo.
1999,
Pubmed
De Robertis,
A common plan for dorsoventral patterning in Bilateria.
1996,
Pubmed
,
Xenbase
Ferguson,
Localized enhancement and repression of the activity of the TGF-beta family member, decapentaplegic, is necessary for dorsal-ventral pattern formation in the Drosophila embryo.
1992,
Pubmed
Fisher,
The Mr 24,000 phosphoprotein from developing bone is the NH2-terminal propeptide of the alpha 1 chain of type I collagen.
1987,
Pubmed
Francois,
Dorsal-ventral patterning of the Drosophila embryo depends on a putative negative growth factor encoded by the short gastrulation gene.
1994,
Pubmed
François,
Xenopus chordin and Drosophila short gastrulation genes encode homologous proteins functioning in dorsal-ventral axis formation.
1995,
Pubmed
,
Xenbase
Gont,
Overexpression of the homeobox gene Xnot-2 leads to notochord formation in Xenopus.
1996,
Pubmed
,
Xenbase
Goodman,
BMP1-related metalloproteinases promote the development of ventral mesoderm in early Xenopus embryos.
1998,
Pubmed
,
Xenbase
Hammerschmidt,
Genetic analysis of dorsoventral pattern formation in the zebrafish: requirement of a BMP-like ventralizing activity and its dorsal repressor.
1996,
Pubmed
Harland,
Formation and function of Spemann's organizer.
1997,
Pubmed
Holley,
The Xenopus dorsalizing factor noggin ventralizes Drosophila embryos by preventing DPP from activating its receptor.
1996,
Pubmed
,
Xenbase
Holley,
A conserved system for dorsal-ventral patterning in insects and vertebrates involving sog and chordin.
1995,
Pubmed
,
Xenbase
Imamura,
Bone morphogenetic protein-1 processes the NH2-terminal propeptide, and a furin-like proprotein convertase processes the COOH-terminal propeptide of pro-alpha1(V) collagen.
1998,
Pubmed
Kishimoto,
The molecular nature of zebrafish swirl: BMP2 function is essential during early dorsoventral patterning.
1997,
Pubmed
Lee,
Conversion of Xenopus ectoderm into neurons by NeuroD, a basic helix-loop-helix protein.
1995,
Pubmed
,
Xenbase
Marqués,
Production of a DPP activity gradient in the early Drosophila embryo through the opposing actions of the SOG and TLD proteins.
1997,
Pubmed
,
Xenbase
Matsuhashi,
New gene, nel, encoding a M(r) 93 K protein with EGF-like repeats is strongly expressed in neural tissues of early stage chick embryos.
1995,
Pubmed
Nelson,
Peroxidasin: a novel enzyme-matrix protein of Drosophila development.
1994,
Pubmed
Neul,
Spatially restricted activation of the SAX receptor by SCW modulates DPP/TKV signaling in Drosophila dorsal-ventral patterning.
1998,
Pubmed
Ng,
Preferential expression of alternatively spliced mRNAs encoding type II procollagen with a cysteine-rich amino-propeptide in differentiating cartilage and nonchondrogenic tissues during early mouse development.
1993,
Pubmed
Nguyen,
Interpretation of a BMP activity gradient in Drosophila embryos depends on synergistic signaling by two type I receptors, SAX and TKV.
1998,
Pubmed
Nieto,
Reorganizing the organizer 75 years on.
1999,
Pubmed
,
Xenbase
Padgett,
Human BMP sequences can confer normal dorsal-ventral patterning in the Drosophila embryo.
1993,
Pubmed
Pappano,
Coding sequence and expression patterns of mouse chordin and mapping of the cognate mouse chrd and human CHRD genes.
1998,
Pubmed
Piccolo,
Dorsoventral patterning in Xenopus: inhibition of ventral signals by direct binding of chordin to BMP-4.
1996,
Pubmed
,
Xenbase
Piccolo,
Cleavage of Chordin by Xolloid metalloprotease suggests a role for proteolytic processing in the regulation of Spemann organizer activity.
1997,
Pubmed
,
Xenbase
Ryan,
Differential expression of a cysteine-rich domain in the amino-terminal propeptide of type II (cartilage) procollagen by alternative splicing of mRNA.
1990,
Pubmed
Sandell,
Alternatively spliced type II procollagen mRNAs define distinct populations of cells during vertebral development: differential expression of the amino-propeptide.
1991,
Pubmed
Sandell,
Alternative splice form of type II procollagen mRNA (IIA) is predominant in skeletal precursors and non-cartilaginous tissues during early mouse development.
1994,
Pubmed
Sasai,
Regulation of neural induction by the Chd and Bmp-4 antagonistic patterning signals in Xenopus.
1995,
Pubmed
,
Xenbase
Sasai,
Xenopus chordin: a novel dorsalizing factor activated by organizer-specific homeobox genes.
1994,
Pubmed
,
Xenbase
Schulte-Merker,
The zebrafish organizer requires chordino.
1997,
Pubmed
,
Xenbase
Scott,
Mammalian BMP-1/Tolloid-related metalloproteinases, including novel family member mammalian Tolloid-like 2, have differential enzymatic activities and distributions of expression relevant to patterning and skeletogenesis.
1999,
Pubmed
,
Xenbase
Stemple,
Mutations affecting development of the notochord in zebrafish.
1996,
Pubmed
Su,
Expression of two nonallelic type II procollagen genes during Xenopus laevis embryogenesis is characterized by stage-specific production of alternatively spliced transcripts.
1991,
Pubmed
,
Xenbase
Watanabe,
Cloning and characterization of two novel human cDNAs (NELL1 and NELL2) encoding proteins with six EGF-like repeats.
1996,
Pubmed
Wilson,
2.2 Mb of contiguous nucleotide sequence from chromosome III of C. elegans.
1994,
Pubmed
Yan,
Expression of a type II collagen gene in the zebrafish embryonic axis.
1995,
Pubmed
Zhu,
Type IIA procollagen containing the cysteine-rich amino propeptide is deposited in the extracellular matrix of prechondrogenic tissue and binds to TGF-beta1 and BMP-2.
1999,
Pubmed
Zusman,
short gastrulation, a mutation causing delays in stage-specific cell shape changes during gastrulation in Drosophila melanogaster.
1988,
Pubmed