Click here to close
Hello! We notice that you are using Internet Explorer, which is not supported by Xenbase and may cause the site to display incorrectly.
We suggest using a current version of Chrome,
FireFox, or Safari.
Brain Res Mol Brain Res
2000 Feb 22;752:303-8. doi: 10.1016/s0169-328x(99)00309-5.
Show Gene links
Show Anatomy links
The Xenopus clock gene is constitutively expressed in retinal photoreceptors.
Zhu H
,
LaRue S
,
Whiteley A
,
Steeves TD
,
Takahashi JS
,
Green CB
.
???displayArticle.abstract???
Many aspects of normal retinal physiology are controlled by a retinal circadian clock. In Xenopus laevis, the photoreceptor cells within the retina contain a circadian clock that controls melatonin release. In this report we present the cloning and characterization of the Xenopus homolog of the Clock gene, known to be critical for normal circadian behavioral rhythms in the mouse. The Xenopus Clock gene is expressed primarily in photoreceptors within the eye and is expressed at constant levels throughout the day. Analysis of other tissues revealed that, as in other species, the Xenopus Clock gene is widely expressed. This characterization of the Clock gene provides a useful tool for further exploration of the role of the circadian clock in normal retinal function.
Fig. 1. Amino acid sequence comparison of the CLOCK proteins from Xenopus and mouse. The deduced amino acid sequence of the Xenopus CLOCK protein was aligned with the mouse sequence using the ClusalW algorithm. Identical amino acids are highlighted in dark gray and similar amino acids (conservative changes) are highlighted in light gray. Introduced gaps are shown as dashes (- - -). The regions corresponding to the bHLH, PAS A and PAS B domains are underlined and labeled. The positions of the known Clock mutations are also marked, including the location of the deletion found in the mouse Clock mutant (underlined and labeled) [23]and the position of the stop codon in the Drosophila Clock mutant jrk (asterisk at N608) [1].
Fig. 2. Spatial analysis of Clock mRNA expression in Xenopus retina. Xenopus eyes were dissected and fixed at ZT 2 and 14 μm cryosections were prepared. In situ hybridization analysis was done with digoxygenin-labeled antisense (left) or sense (right) XClock riboprobes. The white arrowhead emphasizes the heavy in situ labeling in the inner segments of the photoreceptor cells. Retinal cell layers are labeled on the left: RPE, retinal pigment epithelium; OS, photoreceptor outer segments; ONL, outer nuclear layer (photoreceptor cell nuclei); INL, inner nuclear layer; and GCL, ganglion cell layer.
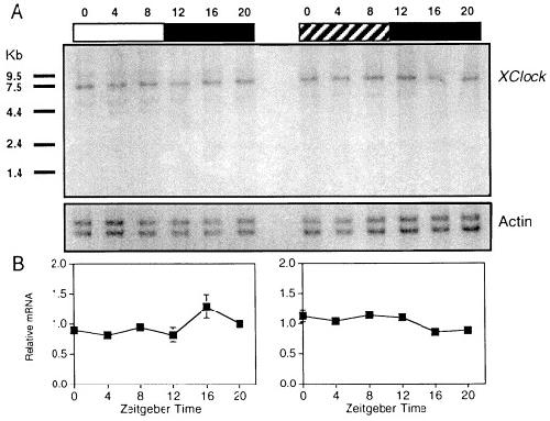
Fig. 3. Temporal analysis of Clock mRNA expression in Xenopus retina. RNA was isolated from Xenopus retinas collected at 4-h intervals throughout the day from eyecups cultured in either 12L:12D light:dark cycles or in constant darkness. (A) Northern blot analysis of Clock mRNA levels. Each lane contains about 3 μg of total RNA. The times (ZT) of collection for each sample are shown above the blot. The bars above the blot indicate the lighting conditions at the time of harvest: black bars represent night (dark), white bars represent light during the day, and hatched bars represent dark during the day (subjective day). The blot shown is representative of three independent experiments. In each case, the filter was stripped and reprobed with a chicken β-actin probe [11]for normalization. The position of RNA size standards are indicated. (B) Quantitation of Clock mRNA levels at 4-h intervals in light:dark cycles (left) or in constant dark (right). The graphs show the mean relative Clock mRNA levels from three independent Northern blots, including the one shown in (A). Error bars indicate the S.E.M. and are too small to visualize for some of the points.
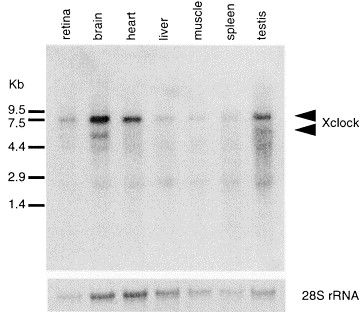
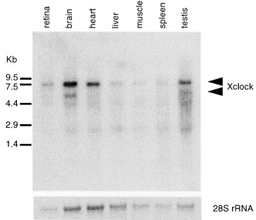
Fig. 4. Analysis of Clock mRNA expression in non-retinal tissues. RNA was isolated from the Xenopus tissues indicated. All dissections were done at approximately ZT 2. Northern blots were done with approximately 3 μg of total RNA per lane, using random primed probes prepared from the full length XClock cDNA. The arrow heads mark the two most-prominent XClock mRNAs. Prior to blotting, the gel was stained to visualize the rRNA bands as loading controls (the 28S rRNA band is shown).