Click here to close
Hello! We notice that you are using Internet Explorer, which is not supported by Xenbase and may cause the site to display incorrectly.
We suggest using a current version of Chrome,
FireFox, or Safari.
???displayArticle.abstract??? Neuropilin-1 is a type 1 membrane protein with three distinct functions. First, it can mediate cell adhesion via a heterophilic molecular interaction. Second, in neuronal cells, neuropilin-1 binds the class 3 semaphorins, which are neuronal chemorepellents, and plays a role in the directional guidance of axons. Neuropilin-1 is expected to form complexes with the plexinA subfamily members and mediate the semaphorin-elicited inhibitory signals into neurons. Third, in endothelial cells, neuropilin-1 binds a potent endothelial cell mitogen, vascular endothelial growth factor (VEGF)(165), and regulates vessel formation. Though the binding sites in neuropilin-1 for the class 3 semaphorins and VEGF(165) have been analyzed, the sites involved in cell adhesion activity of the molecule have not been identified. In this study, we produced a variety of mutant neuropilin-1s and tested their cell adhesion activity. We showed that the b1 and b2 domains within the extracellular segment of neuropilin-1 were required for the cell adhesion activity, and peptides with an 18-amino acid stretch in the b1 and b2 domains were sufficient to induce the cell adhesion activity. In addition, we demonstrated that the cell adhesion ligands for neuropilin-1 were proteins and distributed in embryonic mesenchymal cells but distinct from the class 3 semaphorins, VEGF, or plexins.
Figure 1. Cell adhesion activity of transfectants which express mutant neuropilin-1 proteins (Part 1). (A) A schematic representation of mutant neuropilin-1s. NP-full, intact neuropilin-1; NP-bc, neuropilin-1 lacking the a1 and a2 domains; NP-c, neuropilin-1 protein lacking the a1, a2, b1, and b2 domains; NP-abcp, neuropilin-1 whose transmembrane and cytoplasmic regions are replaced by that of the Xenopus plexin. (B) Immunoblot of transfectants expressing intact and mutant neuropilin-1 proteins, by using an antibody raised against the b1-c domains. The number followed by the name of the construct represents the clone number. (C) Quantification of cell aggregation activity of the mutant neuropilin-1s. The degree of aggregation of transfectants is expressed by the index Nt/N0, where Nt and N0 are the total particle number at incubation times t and 0, respectively. White and black bars represent N30/N0 and N60/N0, respectively. (D–F) Cell aggregation at 60 min in gyration, detected by phase contrast (D and E) or fluorescence microscope (F). Parental L cells do not show cell aggregability (D). In contrast, fluorescein-labeled parental L cells and transfectants expressing NP-full 86 form mixed cell aggregates (E and F). E and F show the same field. Bar, 100 μm.
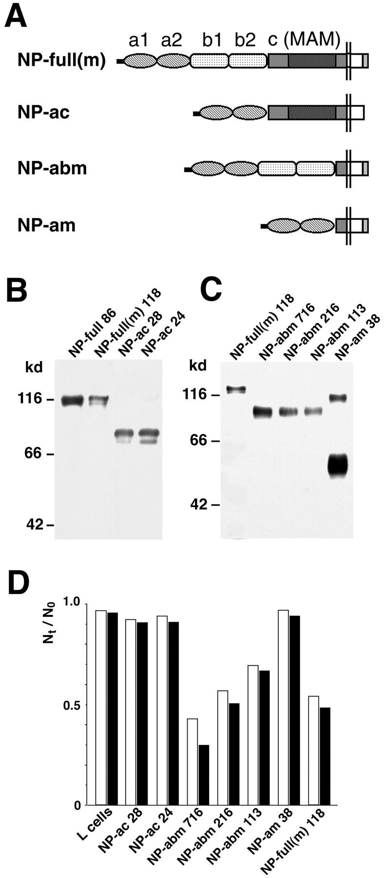
Figure 2. Cell adhesion activity of transfectants which express mutant neuropilin-1 proteins (Part 2). (A) A schematic representation of mutant neuropilin-1s; NP-full(m), full-length neuropilin-1 containing myc tag at the COOH-terminal end; NP-ac, neuropilin-1 lacking the b1 and b2 domains; NP-abm, neuropilin-1 lacking the c domain (myc-tagged); NP-am, neuropilin-1 lacking the b1, b2, and c domains (myc-tagged). (B and C) Immunoblot of the transfectants with the antibody raised against the b1-c domains (B) and anti-myc antibody (C). The number followed by the name of the construct represents the clone number. A band at the 100-kD position in the lane of NP-am appears to be dimerized proteins. (D) Quantification of cell aggregation activity of the mutant neuropilin-1s. White and black bars represent N30/N0 and N60/N0, respectively.
Figure 3. Cell adhesion activity of the recombinant neuropilin-1 proteins. (A) A schematic representation of the Fc-tagged full-length neuropilin-1 extracellular segment (NP-Fc) and the b1-b2 domains–deleted one [NP(b-)-Fc], and GST-tagged recombinant b1 (GST-b1) and b2 (GST-b2) domains. (B) SDS-PAGE of the recombinant proteins stained with Coomassie brilliant blue G-250. Lanes 1–5 correspond to NP-Fc, NP(b-)-Fc, GST, GST-b1, and GST-b2 recombinant proteins, respectively. (C) Cell adhesion to the recombinant proteins immobilized on nitrocellulose-coated culture dishes. L cells adhere to Fc-NP, GST-b1, and GST-b2 but not NP(b-)-Fc and GST. Bar, 100 μm.
Figure 4. Determination of cell adhesion sites in the b2 domain. (A) A list of synthesized peptides in the b2 domain. The upper figure represents the Kyte-Doolittle hydoropathy plot of the b2 domain. An asterisk indicates a putative glycosylation site. An arrow indicates the region to which a series of GST-tagged recombinant proteins are synthesized. The number in the name of each recombinant protein indicates the position of the amino acid residues. (B) SDS-PAGE of the affinity-purified recombinant proteins. Lane 1, GST; lane 2, GST-b2(501–547); lane 3, GST-b2(525–547); lane 4, GST-b2(501–524); lane 5, GST-b2(501–521); lane 6, GST-b2(501–516); lane 7, GST-b2(504–521); and lane 8, GST-b1(347–364; see the legend for Fig. 5). The gel was stained with Coomassie brilliant blue G-250. (C–I) Adhesion of L cells to the immobilized recombinant proteins at 30 min. C, GST-b2(501–547); D, GST-b2(525–547); E, GST-b2(501–524); F, GST-b2(501–521); G, GST-b2(501–516); H, GST-b2(504–521). Trypsin-treated L cells did not adhere to GST-b2(504–521) (I). Bar, 100 μm.
Figure 5. Determination of cell adhesion sites in the b1 domain. (A) Amino acid alignment of the b1 and b2 domains. Shaded boxes indicate consensus sequences. An open box indicates the cell adhesion sites in the b2 domain and its homologous region (347–364 aa) in the b1 domain. (B and C) Cell adhesion activity of the GST-tagged b1(347–364) recombinant protein [GST-b1(347–364)]. L cells (B) but not trypsin-treated L cells (C) adhere to the immobilized GST-b1(347–364). Bar, 100 μm.
Figure 6. Adhesion of embryonic mesenchymal cells to the recombinant proteins for the cell adhesion sites of neuropilin-1. Trunk mesenchymal cells from E13 mouse embryos adhere to the immobilized GST-b1(347–364) (A and B) and GST-b2(504–521) (C and D) recombinant proteins. Trypsin-treated mesenchymal cells do not adhere to the recombinant proteins (B and D). Bar, 100 μm.
Figure 8. Binding of semaphorins, VEGF, and plexins to the recombinant neuropilin-1 proteins. (A) Bindings of SEMA3A-AP, Sema3B-AP and Sema3C-AP to the immobilized NP-Fc, GST, GST-b1, GST-b2, GST-b1(347–364), and GST-b2(504–521) were visualized with NBT/BCIP. (B and C) Adhesion of L cells to the immobilized NP-Fc in the presence of SEMA3A (C) and VEGF165 (D). SEMA3A and VEGF165 do not interfere with the binding of L cells to NP-Fc. (D and E) Binding of GST-tagged recombinant proteins for the cell adhesion sites of neuropilin-1 to myc-tagged plexinA3 expressed in COS-7 cells. The plexinA3 was visualized by immunohistochemistry with anti-myc antibody (D). GST-b1(347–364) and GST-b2(504–521) bound to the cells were detected by immunohistochemistry with anti-GST antibody. Bars, 100 μm.
Figure 7. Binding of AP-tagged semaphorin 3A (SEMA3A-AP) to mutant neuropilin-1 proteins. Binding of SEMA3A-AP to the transfectants expressing NP-full 86 (A; see Fig. 1 B), NP-bc 30 (B; see Fig. 1 B), NP-ac 24 (C; see Fig. 2 B), NP-abm 716 (D; see Fig. 2 C), NP-am 38 (E; see Fig. 2 C), and NP-c 68 (F; see Fig. 1 B). SEMA3A-AP bound to cell surface was visualized with NBT/BCIP. Bar, 100 μm.
Figure 9. Comparison of amino acid sequences in cell adhesion sites among vertebrate neuropilin-1s (A) or the mouse neuropilin family (B). The amino acid sequences in the cell adhesion sites are highly conserved among the mouse (mNP), rat (rNP), human (hNP), chicken (cNP), and Xenopus (xNP) neuropilin-1s. On the other hand, only about half of the amino acid residues of the cell adhesion site of mouse neuropilin-1 and of mouse neuropilin-2 are identical.
Beckmann,
An adhesive domain detected in functionally diverse receptors.
1993, Pubmed
Beckmann,
An adhesive domain detected in functionally diverse receptors.
1993,
Pubmed
Chen,
Neuropilin-2, a novel member of the neuropilin family, is a high affinity receptor for the semaphorins Sema E and Sema IV but not Sema III.
1997,
Pubmed
Chen,
High-efficiency transformation of mammalian cells by plasmid DNA.
1987,
Pubmed
Cheng,
Identification and cloning of ELF-1, a developmentally expressed ligand for the Mek4 and Sek receptor tyrosine kinases.
1994,
Pubmed
Evan,
Isolation of monoclonal antibodies specific for human c-myc proto-oncogene product.
1985,
Pubmed
,
Xenbase
Fan,
Localized collapsing cues can steer growth cones without inducing their full collapse.
1995,
Pubmed
Feiner,
Secreted chick semaphorins bind recombinant neuropilin with similar affinities but bind different subsets of neurons in situ.
1997,
Pubmed
Ferrara,
Pituitary follicular cells secrete a novel heparin-binding growth factor specific for vascular endothelial cells.
1989,
Pubmed
Giger,
Neuropilin-2 is a receptor for semaphorin IV: insight into the structural basis of receptor function and specificity.
1998,
Pubmed
He,
Neuropilin is a receptor for the axonal chemorepellent Semaphorin III.
1997,
Pubmed
Jenny,
Complete cDNA and derived amino acid sequence of human factor V.
1987,
Pubmed
Johnson,
A receptor tyrosine kinase found in breast carcinoma cells has an extracellular discoidin I-like domain.
1993,
Pubmed
Kameyama,
Identification of a neuronal cell surface molecule, plexin, in mice.
1996,
Pubmed
,
Xenbase
Kameyama,
Identification of plexin family molecules in mice.
1996,
Pubmed
Katoh,
Improved mammalian vectors for high expression of G418 resistance.
1987,
Pubmed
Kawakami,
Developmentally regulated expression of a cell surface protein, neuropilin, in the mouse nervous system.
1996,
Pubmed
,
Xenbase
Kawasaki,
A requirement for neuropilin-1 in embryonic vessel formation.
1999,
Pubmed
Keck,
Vascular permeability factor, an endothelial cell mitogen related to PDGF.
1989,
Pubmed
Kitsukawa,
Overexpression of a membrane protein, neuropilin, in chimeric mice causes anomalies in the cardiovascular system, nervous system and limbs.
1995,
Pubmed
,
Xenbase
Kitsukawa,
Neuropilin-semaphorin III/D-mediated chemorepulsive signals play a crucial role in peripheral nerve projection in mice.
1997,
Pubmed
Kobayashi,
A role for collapsin-1 in olfactory and cranial sensory axon guidance.
1997,
Pubmed
Kolodkin,
The semaphorin genes encode a family of transmembrane and secreted growth cone guidance molecules.
1993,
Pubmed
Kolodkin,
Neuropilin is a semaphorin III receptor.
1997,
Pubmed
Larocca,
A Mr 46,000 human milk fat globule protein that is highly expressed in human breast tumors contains factor VIII-like domains.
1991,
Pubmed
Lecain,
Isolation of a novel cDNA corresponding to a transcript expressed in the choroid plexus and leptomeninges.
1991,
Pubmed
Lemmon,
L1-mediated axon outgrowth occurs via a homophilic binding mechanism.
1989,
Pubmed
Leung,
Vascular endothelial growth factor is a secreted angiogenic mitogen.
1989,
Pubmed
Leytus,
Nucleotide sequence of the cDNA coding for human complement C1r.
1986,
Pubmed
Luo,
Collapsin: a protein in brain that induces the collapse and paralysis of neuronal growth cones.
1993,
Pubmed
Mackinnon,
Molecular cloning of cDNA for human complement component C1s. The complete amino acid sequence.
1987,
Pubmed
Messersmith,
Semaphorin III can function as a selective chemorepellent to pattern sensory projections in the spinal cord.
1995,
Pubmed
Miao,
Neuropilin-1 mediates collapsin-1/semaphorin III inhibition of endothelial cell motility: functional competition of collapsin-1 and vascular endothelial growth factor-165.
1999,
Pubmed
Mizushima,
pEF-BOS, a powerful mammalian expression vector.
1990,
Pubmed
Nagafuchi,
Cell binding function of E-cadherin is regulated by the cytoplasmic domain.
1988,
Pubmed
Nakamura,
Neuropilin-1 extracellular domains mediate semaphorin D/III-induced growth cone collapse.
1998,
Pubmed
Nishimura,
Recombinant human-mouse chimeric monoclonal antibody specific for common acute lymphocytic leukemia antigen.
1987,
Pubmed
Niwa,
Efficient selection for high-expression transfectants with a novel eukaryotic vector.
1991,
Pubmed
NULL,
Unified nomenclature for the semaphorins/collapsins. Semaphorin Nomenclature Committee.
1999,
Pubmed
Ohta,
Plexin: a novel neuronal cell surface molecule that mediates cell adhesion via a homophilic binding mechanism in the presence of calcium ions.
1995,
Pubmed
,
Xenbase
Püschel,
Murine semaphorin D/collapsin is a member of a diverse gene family and creates domains inhibitory for axonal extension.
1995,
Pubmed
Sánchez,
Multiple tyrosine protein kinases in rat hippocampal neurons: isolation of Ptk-3, a receptor expressed in proliferative zones of the developing brain.
1994,
Pubmed
Shimell,
The Drosophila dorsal-ventral patterning gene tolloid is related to human bone morphogenetic protein 1.
1991,
Pubmed
Soker,
Neuropilin-1 is expressed by endothelial and tumor cells as an isoform-specific receptor for vascular endothelial growth factor.
1998,
Pubmed
Stubbs,
cDNA cloning of a mouse mammary epithelial cell surface protein reveals the existence of epidermal growth factor-like domains linked to factor VIII-like sequences.
1990,
Pubmed
Suemori,
A mouse embryonic stem cell line showing pluripotency of differentiation in early embryos and ubiquitous beta-galactosidase expression.
1990,
Pubmed
Takagi,
Expression of a cell adhesion molecule, neuropilin, in the developing chick nervous system.
1995,
Pubmed
,
Xenbase
Takagi,
The A5 antigen, a candidate for the neuronal recognition molecule, has homologies to complement components and coagulation factors.
1991,
Pubmed
,
Xenbase
Takagi,
Specific cell surface labels in the visual centers of Xenopus laevis tadpole identified using monoclonal antibodies.
1987,
Pubmed
,
Xenbase
Takahashi,
Semaphorins A and E act as antagonists of neuropilin-1 and agonists of neuropilin-2 receptors.
1998,
Pubmed
Takahashi,
Plexin-neuropilin-1 complexes form functional semaphorin-3A receptors.
1999,
Pubmed
Takeichi,
Functional correlation between cell adhesive properties and some cell surface proteins.
1977,
Pubmed
Tamagnone,
Plexins are a large family of receptors for transmembrane, secreted, and GPI-anchored semaphorins in vertebrates.
1999,
Pubmed
,
Xenbase
Toole,
Molecular cloning of a cDNA encoding human antihaemophilic factor.
,
Pubmed
Towbin,
Electrophoretic transfer of proteins from polyacrylamide gels to nitrocellulose sheets: procedure and some applications.
1979,
Pubmed
Wozney,
Novel regulators of bone formation: molecular clones and activities.
1988,
Pubmed