Click here to close
Hello! We notice that you are using Internet Explorer, which is not supported by Xenbase and may cause the site to display incorrectly.
We suggest using a current version of Chrome,
FireFox, or Safari.
???displayArticle.abstract???
Here we report the cloning of a Xenopus frizzled transmembrane receptor, Xfz7, and describe its expression pattern during early embryogenesis. Xfz7 mRNA is provided maternally and zygotic transcription peaks in gastrula stages. At that time, transcripts are preferentially localized to the marginal zone and become restricted to distinct regions of the tadpoles in tailbud stages. Overexpression of Xfz7 in embryos perturbs the morphogenesis of trunk and tail, blocks convergence-extension movements in animal caps induced with activin and dorsal lip explants and decreases cadherin-mediated cell adhesion. Xfz7 can interact specifically with Xwnt-8b and signal in the canonical, dorsalizing Wnt pathway. Overexpression of Xfz7 does not trigger the Wnt-1-type pathway but acts in a non-canonical Wnt or morphogenetic-effector pathway involving the activation of protein kinase C (PKC). Xfz7 seems to be involved in different aspects of Wnt signaling during the course of embryogenesis.
???displayArticle.pubmedLink???
10727861
???displayArticle.link???Mech Dev
Fig. 2. Localization of Xfz7 mRNA in Xenopus embryos. Whole-mount in situ hybridization for Xfz7. Maternal Xfz7 transcripts are localized in the animal region of two-cell (A) and eight-cell embryos (B). A and B show horizontal sections through the embryo. Zygotic Xfz7 is detectable at early gastrula stages on the dorsal side, stages 10, 10.5, vegetal view (C,D). The arrows show staining at the dorsal lip. (E) Stage 11, mid-gastrula, dorsal is on top. The Xfz7 expression domain extends to form a ring around the closing blastopore. (F) Stage 19, neurula, dorsal view. Xfz7 expression is seen at dorsal and anterior positions. (G,H,I) In tailbud stages (26, 28 and 31), Xfz7 is expressed preferentially in the head region, the pronephros and the tailbud. (J) In stage 35/36 tadpoles, no Xfz7 expression can be detected in the pronephros and tail, whereas the expression in the head persists.
Fig. 4. Xfz7 changes the pattern of chordin and Xbra. Albino embryos at the four-cell stage were injected in the marginal region of all blastomeres with 0.5 ng of Xfz7 mRNA. (A,C,E) Expression of chd in uninjected and (B,D,F) Xfz7-injected embryos was examined at stage 10.5, 12 and 18 by whole-mount in situ hybridization. The early pattern of chd is unchanged in injected embryos (A,B). Toward the end of gastrulation, chd-positive cells do not converge to the dorsal midline (C,D) and stay at the site of the closing blastopore (E,F), indicated by arrows. (G,I,K) Expression of Xbra in uninjected and (H,J,L) Xfz7-injected embryos was examined at stage 10.5, 12 and 18. (L) Small inserted picture. Note the ectopic Xbra expression in Xfz7-injected embryos on ventral and lateral sides (arrows).
Fig. 1. The Xfz7 transmembrane receptor is expressed in Xenopus embryos. (A) Schematic representation of the predicted Xfz7 structure. The protein contains a putative N-terminal signal peptide, a cysteine-rich domain (CRD) containing 10 cysteine residues, seven transmembrane domains with seven hydrophobic stretches, and a small C-terminal tail of 26 amino acids with a S/T-X-V motif region. Recently, Xfz7 cDNA sequences have been reported in GenBank database by other groups (accession numbers: AJ243323, AF114151 and Wheeler and Hoppler, 1999). (B) Temporal expression of Xfz7 mRNA during Xenopus development. Northern blot analysis was carried out using total RNA from mature oocytes (stage VI) and different embryonic stages (1.5 oocyte/embryo equivalent). The full length Xfz7 cDNA labelled with 32P was used as hybridization probe. A 4-kb Xfz7 transcript is expressed in oocytes and persists during early cleavage stages. Zygotic transcripts peak at stage 11. As loading control, the 18S Ribosomal RNA was stained with ethidium bromide.
Fig. 3. Overexpression of Xfz7 perturbs trunk and tail formation. (A) Normal uninjected tadpoles (NF-stage 35). (B) Embryos injected unilaterally with 0.2 ng of Xfz7 mRNA in the lateral marginal zone at the eight-cell stage, display reduced tail structures and kinked trunks (45%, n=15/33). (C) In embryos injected bilaterally at the four-cell stage in the dorsal marginal zone with 0.5 ng of Xfz7 mRNA and 0.1 ng of β-gal mRNA as a lineage tracer, the injected cells are not distributed along the axis but stay together as a clump (80%, n=44/55).
Fig. 5. Overexpression of Xfz7 affects morphogenetic movements in animal caps and dorsal lip explants. (A) Experimental scheme. Embryos were coinjected at the four-cell stage with 0.5 ng of Xfz7 and 0.1 ng of β-gal mRNA as a lineage tracer. Animal caps were dissected at stage 8.5 and in the presence of activin protein and analyzed for elongation at stage 17. (B) Animal cap control explants from uninjected embryos treated with activin (elongation in 95%, n=18). The small panel shows uninduced explants. (C) In animal cap explants overexpressing Xfz7 and β-gal and stimulated with activin, elongation is inhibited (82%, n=62). (D) Pigmented embryos were microinjected at the four-cell stage in the left dorsal marginal zone with 0.25 ng of dextran fluorescein fluoro-emerald (DG) and 0.5 ng of Xfz7 mRNA with 0.5 ng of dextran blue (DB) was injected in the right dorsal marginal zone. The embryos were cultured until stage 10.5 and dorsal explants were microdissected and cultured for 5â7 h. (E) Stage 10.5, vegetal view. Distribution of the fluorescent markers (DG and DB) in the blastopore lip before explantation. (F) Open-faced dorsal explant from a control embryo injected on the right side with DB and on the left side with DG. (G) Open-faced dorsal explant from embryo injected on the right side with Xfz7 mRNA plus DB and DG on the left side. Elongation was inhibited on the side that received the Xfz7 mRNA.
Fig. 6. Xfz7 decreases cadherin-mediated cell adhesion. (A) Schematic representation of the experiment. Four-cell stage embryos were injected with 0.5 ng of Xfz7 mRNA in combination with 0.2 ng EGFP mRNA or with EGFP mRNA alone in the animal hemisphere of each blastomere. At the gastrula stage, animal caps were dissected and the blastomeres of the inner cell layer were dissociated and allowed to attach to spots of CEC1-5 substrate for 1 h. The Petri dish was washed for 5 min and GFP-containing blastomeres were counted before and after the wash. (B,Bâ²) Dissociated blastomeres overexpressing EGFP, (C,Câ²) Xfz7 and EGFP, attached to the CEC1-5 matrix before (be) or after (af) the wash. (D) Quantitation of the decrease in cell adhesion after overexpression of Xfz7. Compilation of data from five independent experiments; number of counted cells per experiment was between 200 and 300. Error bars indicate standard deviation.
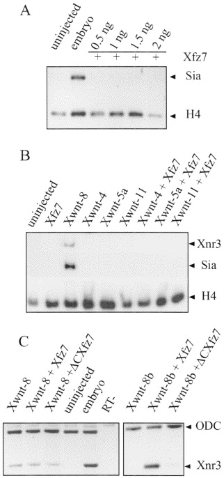
Fig. 7. Interaction of Xfz7 with Wnt-1 and Wnt-5a-type ligands. (A) Increasing amounts of Xfz7 mRNA (0.5â2 ng) were injected into animal blastomeres. Animal caps were explanted at stage 8.5 and cultured until stage 10. Expression of the dorsal marker siamois was assayed by RTâPCR. (B) Synthetic Xwnt-5a type-ligands (0.02 ng) (Xwnt-4, Xwnt-5 and Xwnt-11 mRNAs) alone or in combination with 0.5 ng of Xfz7 mRNA were injected into two animal blastomeres. Animal caps were explanted at stage 8.5 and cultured until stage 10 and expression of sia and Xnr-3 was analyzed by RTâPCR. Xwnt-8 mRNA (0.02 ng) alone but not Xwnt-5a-type ligands in combination with Xfz7 induced Xnr-3 and sia expression. (C) Xwnt-8b acts synergistically with Xfz7 to trigger the Wnt-1 pathway. Synthetic Xwnt-8 mRNA (0.02 ng), Xwnt-8b mRNA (0.02â0.1 ng) alone or in combination with 0.5 ng of Xfz7 or 0.5 ng of δCXfz7 mRNAs were microinjected into two animal blastomeres at the four-cell stage. Animal explants were dissected and analyzed for Xnr-3 expression by RTâPCR.
Fig. 8. Overexpression of Xfz7 triggers the localization of GFP-PKC to the membrane. (A) Embryos were injected into the animal pole with 0.4 ng GFP-PKC mRNA together with 0.05 ng of Xwnt-5a or (B) 0.25 ng Xfz7 or (C) 0.25 ng NXfz7-fun mRNA. At stage 10 the animal caps were explanted, fixed and the localization of the GFP fluorescence was determined. Membrane staining was observed in 77% (n=26) of the caps injected with Xwnt-5a and in 68% (n=38) of the caps expressing Xfz7 but only 11% (n=18) of the explants expressing NXfz7-fun displayed weak PKC membrane staining.