Click here to close
Hello! We notice that you are using Internet Explorer, which is not supported by Xenbase and may cause the site to display incorrectly.
We suggest using a current version of Chrome,
FireFox, or Safari.
Biochem Biophys Res Commun
2000 Apr 02;2701:34-9. doi: 10.1006/bbrc.2000.2379.
Show Gene links
Show Anatomy links
Molecular cloning and characterization of Xenopus RGS5.
Saitoh O
,
Odagiri M
,
Masuho I
,
Nomoto S
,
Kinoshita N
.
???displayArticle.abstract???
We identified six genes that encode putative RGS proteins (XRGSI-VI) in developing Xenopus embryos using PCR amplification with degenerate primers corresponding to the conserved region (RGS domain) of known RGS proteins. RT-PCR analysis revealed that mRNAs of these XRGSs are differentially expressed during embryogenesis. At stage 1, only XRGSII mRNA was detected. On the other hand, expression of XRGSVI mRNA increased apparently at stage 14 and expression of three of other XRGS (III, IV, V) elevated between stage 25 and 40. To further characterize XRGS proteins expressed in Xenopus embryos, we isolated a cDNA clone for XRGSIII. Based on determined nucleotide sequence, XRGSIII was considered as a Xenopus homologue of mammalian RGS5 (XRGS5). Genetic analysis using the pheromone response halo assay showed that expression of XRGS5 inhibits yeast response to alpha-factor, suggesting that XRGS5 negatively regulates the G-protein-mediated signaling pathway in developing Xenopus embryos.
FIG. 1. Identification of six XRGS genes. Six Xenopus genes of putative RGS were identified from the products amplified by degenerate
primer PCR. Their nucleotide sequences were determined (the accession number for them in the DDBJ/EMBL/GenBank nucleotide sequence
databases is AB038434-9). Alignment of deduced amino acid sequences of six XRGSs is shown. Amino acids that appear in at least two XRGSs
in the alignment sequences are shaded.
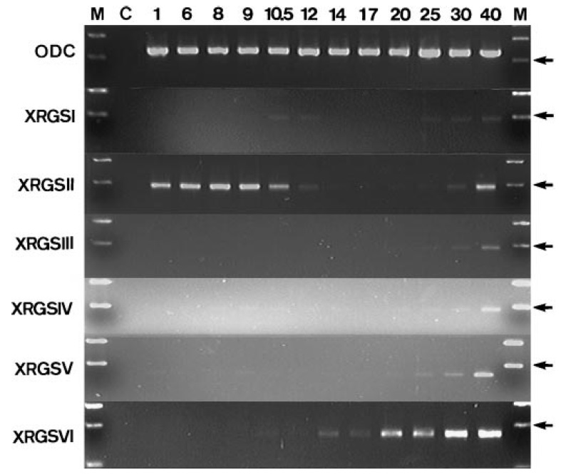
FIG. 2. Expression patterns of XRGS proteins during Xenopus
embryogenesis. Total RNA was isolated from Xenopus embryos at
various developmental stages (as indicated by numbers) and subjected
to RT-PCR analysis. M, DNA molecular weight marker; C,
control PCR without reverse-transcribed cDNA. Arrows indicate the
position of 200 bp.
FIG. 3. Nucleotide and deduced amino acid sequence of Xenopus RGS5. (A) The deduced amino acid sequence of Xenopus RGS5 is shown
in single-letter code under the respective codons. The line below the amino acid sequence indicates the region amplified by degenerate primer
PCR and used for cDNA library screening. The shaded amino acid sequence corresponds to the putative RGS domain. (B) Amino acid
sequences of RGS5 from Xenopus, human (24), and mouse (11) are aligned. Amino acids that appear at least two proteins in the alignment
sequences are shaded.
FIG. 4. Effect of Xenopus RGS5 gene on the response to mating pheromone. (A) Cells of the sst2 strain (SNY86) carrying pNV7,
RGS8-pNV7, and Xenopus RGS5-pNV7 were plated on soft agar containing 2% glucose or 2% galactose. Sterile filter disks were placed on
the nascent lawn, and synthesized a-pheromone was applied to the disks. Plates were incubated at 30°C for 36 h. The amount of a-pheromone
added to each disk was: 0 ng (top left), 0.2 ng (top right), 2 ng (bottom right), 20 ng (bottom left). (B) Two colonies isolated from each yeast
(SNY86) transformed with pNV7 vector (Vector), RGS8-pNV7 (RGS8), and Xenopus RGS5-pNV7 (XRGS5) were cultured in galactosecontaining
medium. Expression of RGS proteins was detected by Western blotting with anti-myc antibody. Expression levels of actin were
also examined.