Click here to close
Hello! We notice that you are using Internet Explorer, which is not supported by Xenbase and may cause the site to display incorrectly.
We suggest using a current version of Chrome,
FireFox, or Safari.
Proc Natl Acad Sci U S A
2000 Apr 11;978:4076-81. doi: 10.1073/pnas.97.8.4076.
Show Gene links
Show Anatomy links
Action of the Caenorhabditis elegans GATA factor END-1 in Xenopus suggests that similar mechanisms initiate endoderm development in ecdysozoa and vertebrates.
Shoichet SA
,
Malik TH
,
Rothman JH
,
Shivdasani RA
.
???displayArticle.abstract???
In ecdysozoan protostomes, including arthropods and nematodes, transcription factors of the GATA family specify the endoderm: Drosophila dGATAb (ABF/Serpent) and Caenorhabditis elegans END-1 play important roles in generating this primary germ layer. end-1 is the earliest expressed endoderm-specific gene known in C. elegans and appears to initiate the program of gene expression required for endoderm differentiation, including a cascade of GATA factors required for development and maintenance of the intestine. Among vertebrate GATA proteins, the GATA-4/5/6 subfamily regulates aspects of late endoderm development, but a role for GATA factors in establishing the endoderm is unknown. We show here that END-1 binds to the canonical target DNA sequence WGATAR with specificity similar to that of vertebrate GATA-1 and GATA-4, and that it functions as a transcriptional activator. We exploited this activity of END-1 to demonstrate that establishment of the vertebrate endoderm, like that of invertebrate species, also appears to involve GATA transcriptional activity. Like the known vertebrate endoderm regulators Mixer and Sox17, END-1 is a potent activator of endoderm differentiation in isolated Xenopus ectoderm. Moreover, a dominant inhibitory GATA-binding fusion protein abrogates endoderm differentiation in intact embryos. By examining these effects in conjunction with those of Mixer- and Sox17beta-activating and dominant inhibitory constructs, we further establish the likely relationships between GATA activity and these regulators in early development of the vertebrate endoderm. These results suggest that GATA factors may function sequentially to regulate endoderm differentiation in both protostomes and deuterostomes.
Figure 1
END-1 is a sequence-specific DNA-binding protein and transcriptional activator. (A) Electrophoretic mobility shift assay with a radiolabeled GATA probe and nuclear extracts from COS cells transfected with XGATA-4 or END-1 cDNA. Cold competitor oligonucleotides (100× excess) either had the same sequence as the probe (GATA) or replacement of this sequence by GATC or CTTA. In the last two lanes, reactions included preimmune or End-1-specific rabbit antiserum. (B) Fold activation of the GATA-driven luciferase reporter construct αD3 (black bars) or the mutant reporter construct αD4 (in which the GATA site in the promoter is replaced by CTGA; gray bars) after transfection of plasmids encoding END-1, END-1Δ3′, XGATA-4, or XGATA-5.
Figure 2
Induction of endoderm in Xenopus ectodermal explants by GATA proteins. Embryos were injected with 250â500 pg of mRNA into the animal pole, and animal cap explants were cultured until sister tadpoles reached Stage 40. RNA was analyzed by RT-PCR (A, C, and D) or whole-mount in situ hybridization (B and E) for endodermin (Edd), IFABP, LFABP, Sox17α, XlHbox8, brachyury (Xbra), and Xtwist. Equal input of RNA samples was established by RT-PCR for elongation factor (EF)-1α or ODC. A low background of endodermin and Xsox17α is occasionally observed in controls.
Figure 3
A dominant inhibitory GATA-binding protein represses endoderm development in Xenopus embryos. (A) Design of the dominant-inhibitory construct End-1â·EnR fusing the putative DNA-binding domain of END-1 (aa 106â221) to the transcriptional repression domain (aa 2â298) of Drosophila Engrailed. (B) Phenotype of Xenopus embryos at stage 42/43 after microinjection of 100 pg of End-1â·EnR or control (End-1δ3â²) mRNA into the vegetal hemisphere at the one-cell stage. (C) Rescue of lethal developmental effects of vegetal expression of End-1â·EnR by coinjection of wild-type End-1. Two-cell embryos were injected in the vegetal hemisphere of each blastomere with 400 pg of Sox17βâ·EnR or End-1â·EnR mRNA, and 400 pg of either End-1 (panel 3) or End-1δ3â² (panels 1 and 2) mRNA. (D) Down-regulation of mature markers of Xenopus endoderm in vegetal explants treated with End-1â·EnR. Two-cell embryos were injected as above with 250 pg of Sox17βâ·EnR or End-1â·EnR mRNA and 250 pg of End-1 (lane 6) or End-1δ3â² (lanes 3â5) mRNA. Vegetal explants were cultured until the equivalent of Stage 35. RT-PCR for ODC serves as a control for equal RNA input.
Figure 4
GATA activity functions early in vertebrate endoderm development. One-cell Xenopus embryos were injected with 250 pg of mRNA, animal cap explants were cultured until sister tadpoles reached Stage 11.5, and RNA was analyzed by RT-PCR for the early endoderm markers Mixer and XSox17α and for EF-1α.
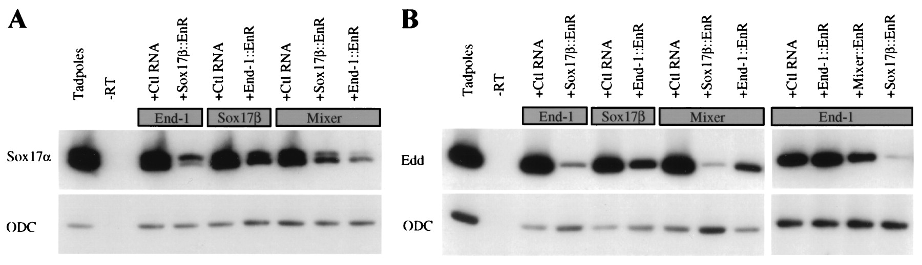
Figure 5
Placing GATA activity within the context of Mixer/Mix.3 and Sox17 functions in Xenopus endoderm development. One-cell embryos were injected with 200 pg of endoderm-inducing mRNAs, and 400 pg of either mRNA-encoding dominant-inhibitory EnR fusion proteins or EF-1α âfillerâ mRNA. Animal cap explants were cultured and RNA analyzed by RT-PCR for Sox17α when sister tadpoles reached Nieuwkoop-Faber Stage 15 (A), for endodermin (Edd) at the equivalent of Stage 40 (B), and for ODC as a loading control.
Aguinaldo,
Evidence for a clade of nematodes, arthropods and other moulting animals.
1997, Pubmed
Aguinaldo,
Evidence for a clade of nematodes, arthropods and other moulting animals.
1997,
Pubmed
Alexander,
A molecular pathway leading to endoderm formation in zebrafish.
1999,
Pubmed
Andrews,
A rapid micropreparation technique for extraction of DNA-binding proteins from limiting numbers of mammalian cells.
1991,
Pubmed
Ang,
The formation and maintenance of the definitive endoderm lineage in the mouse: involvement of HNF3/forkhead proteins.
1993,
Pubmed
Arceci,
Mouse GATA-4: a retinoic acid-inducible GATA-binding transcription factor expressed in endodermally derived tissues and heart.
1993,
Pubmed
Bossard,
GATA transcription factors as potentiators of gut endoderm differentiation.
1998,
Pubmed
Casey,
Bix4 is activated directly by VegT and mediates endoderm formation in Xenopus development.
1999,
Pubmed
,
Xenbase
Danilchick,
Xenopus laevis: Practical uses in cell and molecular biology. Pictorial collage of embryonic stages.
1991,
Pubmed
,
Xenbase
Ecochard,
A novel Xenopus mix-like gene milk involved in the control of the endomesodermal fates.
1998,
Pubmed
,
Xenbase
Evans,
trans-Activation of a globin promoter in nonerythroid cells.
1991,
Pubmed
Fukushige,
The GATA-factor elt-2 is essential for formation of the Caenorhabditis elegans intestine.
1998,
Pubmed
Gamer,
Autonomous endodermal determination in Xenopus: regulation of expression of the pancreatic gene XlHbox 8.
1995,
Pubmed
,
Xenbase
Gao,
Distinct functions are implicated for the GATA-4, -5, and -6 transcription factors in the regulation of intestine epithelial cell differentiation.
1998,
Pubmed
Gove,
Over-expression of GATA-6 in Xenopus embryos blocks differentiation of heart precursors.
1997,
Pubmed
,
Xenbase
Han,
Transcriptional repression by the Drosophila even-skipped protein: definition of a minimal repression domain.
1993,
Pubmed
Hawkins,
elt-2, a second GATA factor from the nematode Caenorhabditis elegans.
1995,
Pubmed
Henry,
Mixer, a homeobox gene required for endoderm development.
1998,
Pubmed
,
Xenbase
Horb,
A vegetally localized T-box transcription factor in Xenopus eggs specifies mesoderm and endoderm and is essential for embryonic mesoderm formation.
1997,
Pubmed
,
Xenbase
Horner,
pha-4, an HNF-3 homolog, specifies pharyngeal organ identity in Caenorhabditis elegans.
1998,
Pubmed
Hudson,
Xsox17alpha and -beta mediate endoderm formation in Xenopus.
1997,
Pubmed
,
Xenbase
Jiang,
The Xenopus GATA-4/5/6 genes are associated with cardiac specification and can regulate cardiac-specific transcription during embryogenesis.
1996,
Pubmed
,
Xenbase
Kalb,
pha-4 is Ce-fkh-1, a fork head/HNF-3alpha,beta,gamma homolog that functions in organogenesis of the C. elegans pharynx.
1998,
Pubmed
Koutsourakis,
The transcription factor GATA6 is essential for early extraembryonic development.
1999,
Pubmed
Kuo,
GATA4 transcription factor is required for ventral morphogenesis and heart tube formation.
1997,
Pubmed
Laverriere,
GATA-4/5/6, a subfamily of three transcription factors transcribed in developing heart and gut.
1994,
Pubmed
Lemaire,
A role for the vegetally expressed Xenopus gene Mix.1 in endoderm formation and in the restriction of mesoderm to the marginal zone.
1998,
Pubmed
,
Xenbase
Lin,
Expression of a Drosophila GATA transcription factor in multiple tissues in the developing embryos. Identification of homozygous lethal mutants with P-element insertion at the promoter region.
1995,
Pubmed
Lustig,
Expression cloning of a Xenopus T-related gene (Xombi) involved in mesodermal patterning and blastopore lip formation.
1996,
Pubmed
,
Xenbase
Mead,
Cloning of Mix-related homeodomain proteins using fast retrieval of gel shift activities, (FROGS), a technique for the isolation of DNA-binding proteins.
1998,
Pubmed
,
Xenbase
Molkentin,
Requirement of the transcription factor GATA4 for heart tube formation and ventral morphogenesis.
1997,
Pubmed
Morrisey,
GATA6 regulates HNF4 and is required for differentiation of visceral endoderm in the mouse embryo.
1998,
Pubmed
Omichinski,
NMR structure of a specific DNA complex of Zn-containing DNA binding domain of GATA-1.
1993,
Pubmed
Orkin,
GATA-binding transcription factors in hematopoietic cells.
1992,
Pubmed
Page,
ELT-1, a GATA-like transcription factor, is required for epidermal cell fates in Caenorhabditis elegans embryos.
1997,
Pubmed
Pevny,
Erythroid differentiation in chimaeric mice blocked by a targeted mutation in the gene for transcription factor GATA-1.
1991,
Pubmed
Ramain,
pannier, a negative regulator of achaete and scute in Drosophila, encodes a zinc finger protein with homology to the vertebrate transcription factor GATA-1.
1993,
Pubmed
Rehorn,
A molecular aspect of hematopoiesis and endoderm development common to vertebrates and Drosophila.
1996,
Pubmed
Reiter,
Gata5 is required for the development of the heart and endoderm in zebrafish.
1999,
Pubmed
,
Xenbase
Reuter,
The gene serpent has homeotic properties and specifies endoderm versus ectoderm within the Drosophila gut.
1994,
Pubmed
Sasai,
Endoderm induction by the organizer-secreted factors chordin and noggin in Xenopus animal caps.
1996,
Pubmed
,
Xenbase
Shi,
Thyroid hormone-dependent regulation of the intestinal fatty acid-binding protein gene during amphibian metamorphosis.
1994,
Pubmed
,
Xenbase
Soudais,
Targeted mutagenesis of the transcription factor GATA-4 gene in mouse embryonic stem cells disrupts visceral endoderm differentiation in vitro.
1995,
Pubmed
Spieth,
elt-1, an embryonically expressed Caenorhabditis elegans gene homologous to the GATA transcription factor family.
1991,
Pubmed
Stennard,
The Xenopus T-box gene, Antipodean, encodes a vegetally localised maternal mRNA and can trigger mesoderm formation.
1996,
Pubmed
,
Xenbase
Tamura,
Gastric DNA-binding proteins recognize upstream sequence motifs of parietal cell-specific genes.
1993,
Pubmed
Ting,
Transcription factor GATA-3 is required for development of the T-cell lineage.
1996,
Pubmed
Tsai,
An early haematopoietic defect in mice lacking the transcription factor GATA-2.
1994,
Pubmed
Turner,
Expression of achaete-scute homolog 3 in Xenopus embryos converts ectodermal cells to a neural fate.
1994,
Pubmed
,
Xenbase
Winick,
A GATA family transcription factor is expressed along the embryonic dorsoventral axis in Drosophila melanogaster.
1993,
Pubmed
Zhang,
The role of maternal VegT in establishing the primary germ layers in Xenopus embryos.
1998,
Pubmed
,
Xenbase
Zhang,
Xenopus VegT RNA is localized to the vegetal cortex during oogenesis and encodes a novel T-box transcription factor involved in mesodermal patterning.
1996,
Pubmed
,
Xenbase
Zhu,
end-1 encodes an apparent GATA factor that specifies the endoderm precursor in Caenorhabditis elegans embryos.
1997,
Pubmed
,
Xenbase
Zhu,
Reprogramming of early embryonic blastomeres into endodermal progenitors by a Caenorhabditis elegans GATA factor.
1998,
Pubmed