Click here to close
Hello! We notice that you are using Internet Explorer, which is not supported by Xenbase and may cause the site to display incorrectly.
We suggest using a current version of Chrome,
FireFox, or Safari.
???displayArticle.abstract???
Using a monoclonal antibody raised against Xenopus Daz-like protein (Xdazl), we showed that Xdazl is present in all stages of male and female germ cells except mature spermatozoa. Xdazl is not localized to any specific regions in early-stage embryos, in contrast to the strict localization of its mRNA in the germ plasm. Xdazl disappears after gastrulation but reappears in the primordial germ cells situated at the genital ridge. This is the first detailed report on the protein expression of a Daz-like gene during gametogenesis and embryogenesis in Xenopus, showing the difference in expression patterns of its mRNA and protein.
???displayArticle.pubmedLink???
10842082
???displayArticle.link???Mech Dev
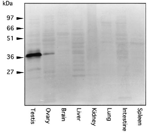
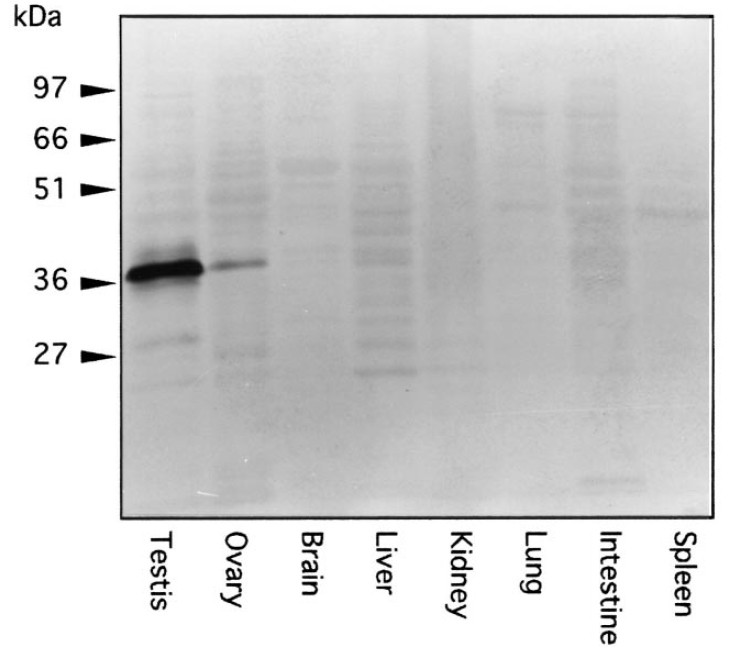
Fig. 1. Anti-Xdazl immunoblots of extracts from adult tissues (0.66 mg).
Xdazl was expressed only in the testis and ovary.
Fig. 2. Anti-Xdazl immunocytochemistry of the testis (A,B), ovary (C,D), early stage embryos (E,F) and the genital ridges in embryos (G,H). (A) Xdazl
expressions (appearing in red) in spermatogenic cells (PG, primary spermatogonium; SG, secondary spermatogonium; C, spermatocyte; T, spermatid, M,
mature spermatozoon). (B) Control staining without primary antibody. (C) Xdazl expression in oogonia (G) but not in the early oocytes (C). (D) Presence of
Xdazl in the perinuclear cytoplasm of growing oocytes but absence in germinal vesicle (GV). (E) Xdazl expression in the stage 5 (16-cell stage) embryo. Xdazl
is distributed throughout the embryo. (F) The vegetal pole of the stage 4 (8-cell stage) embryo showing no speci localization of Xdazl to the germ plasm
(indicated by an arrow). (G) Xdazl expression in primordial germ cells (indicated by arrowheads) in the stage 47 embryo. (H) Anti-Xdazl-positive primordial
germ cells (arrowheads) in the stage 52 embryo. Scale, 500 mm (E); 100 mm (A,B,D,F); 50 mm (C,G,H).
Fig. 3. Immunoblotting analyses of Xdazl during oogenesis (A,B), oocyte maturation (C), and embryogenesis (D,E). (A) The localization of Xdazl in oocytecytoplasm. Extracts from the isolated germinal vesicle (GV), enucleated cytoplasm (CY) and whole oocyte (W) were analyzed. (B) Changes in the
concentration of Xdazl during oogenesis. Extracts corresponding to the same volume of oocytes in each stage were applied. Xdazl in mature oocytes (M)
shows a slower electrophoretic mobility than those in immature oocytes. (C) Changes in the apparent molecular mass of Xdazl during oocyte maturation
induced by progesterone. The progression of oocyte maturation is represented by the percentage of germinal vesicle breakdown (GVBD). (D,E) Changes in
Xdazl during embryogenesis. Extracts corresponding to one embryo were loaded on each lane. Xdazl changes from 40 to 37 kDa within 45 min after
fertilization. The embryos reach the 2-cell stage and the 4-cell stage 90 and 120 min after fertilization, respectively. Xdazl disappears at the gastrula stage.