Click here to close
Hello! We notice that you are using Internet Explorer, which is not supported by Xenbase and may cause the site to display incorrectly.
We suggest using a current version of Chrome,
FireFox, or Safari.
???displayArticle.abstract???
Wnt signalling plays a crucial role in the control of morphogenetic movements. We describe the expression and functional analyses of frizzled 7 (Xfz7) during gastrulation in Xenopus. Low levels of Xfz7 transcripts are expressed maternally during cleavage stages; its zygotic expression strongly increases at the beginning of gastrulation and is predominantly localized to the presumptive neuroectoderm and deep cells of the involuting mesoderm. Overexpression of Xfz7 in the dorsal equatorial region affects the movements of convergent extension and delays mesodermal involution. It alters the correct localization, but not the expression, of mesodermal and neural markers. These effects can be rescued by extra-Xfz7, which is a secreted form of the receptor that also weakly inhibits convergent extension when overexpressed. This suggests that the wild-type and truncated receptors have opposing effects when coexpressed and that overexpression of Xfz7 causes an increased signalling activity. Consistent with this, Xfz7 biochemically and functionally interacts with Xwnt11. In addition, Dishevelled, but not (&bgr;)-catenin, synergizes with Xfz7 to affect convergent extension. Furthermore, overexpression of Xfz7 and Xwnt11 also affects convergent extension in activin-treated animal caps, and this can be efficiently reversed by coexpression of Cdc42(T17N), a dominant negative mutant of the small GTPase Cdc42 known as a key regulator of actin cytoskeleton. Conversely, Cdc42(G12V), a constitutively active mutant, rescues the effects of extra-Xfz7 on convergent extension in a dose-dependent manner. That both gain-of-function and loss-of-function of both frizzled and dishevelled produce the same phenotype has been well described in Drosophila tissue polarity. Therefore, our results suggest an endogenous role of Xfz7 in the regulation of convergent extension during gastrulation.
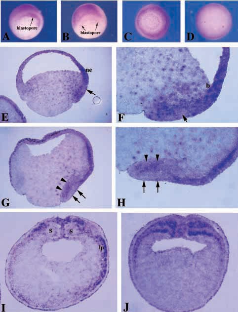
Fig. 2. Spatial expression of Xfz7. In situ hybridization on whole
embryos (A-D) and on sections (E-J). (A) Dorsovegetal view of a
stage 10 gastrula. Xfz7 is strongly expressed in the blastoporal lip and
in the presumptive neuroectoderm, with a gap of lower expression
levels between these two regions. (B) Dorsovegetal view of a stage
11 gastrula. The presumptive neuroectoderm is strongly stained.
(C) Lithium-dorsalized early gastrula shows expression of Xfz7 in the
entire marginal zone. (D) U.v.-ventralized early gastrula shows
absence of Xfz7 expression. (E) Sagittal section of a stage 10.5
gastrula. (F) Higher magnification of E. Xfz7 transcripts are strongly
expressed in the presumptive neuroectoderm (ne) and in deep cells of
the dorsal mesoderm, located between the Brachetâ s cleft (b) and the
superficial layers (arrow). (G) Sagittal section of a stage 11 gastrula.
(H) Higher magnification of G. Strong expression of Xfz7 is present
in the presumptive neuroectoderm and in deep layers of dorsal
mesoderm (arrowheads). Lower levels of expression are present in
the superficial layers (arrows). (I,J) Transverse section from a stage
18 neurula. Anteriorly (I), Xfz7 is expressed in the neural plate and in
the lateral plate mesoderm (lp), but not in the somites (s). Posteriorly
(J), it is expressed in the unsegmented somitic mesoderm.
Fig. 5. Overexpression of Xfz7 affects the localization of
mesodermal and neural markers. 4-cell-stage embryos were injected
at the dorsal equatorial region with 400 pg Xfz7 mRNA.
(A) Expression of Xbra at stage 10. No significant difference can be
noticed between control uninjected (top) and Xfz7-injected (bottom)
embryos. (B) Expression of Xbra in stage 12 control embryos (top) is
localised around the blastopore and in the notochordal mesoderm. In
Xfz7-injected embryos (bottom), Xbra is absent or reduced in the
notochordal mesoderm. (C) The pattern of gsc expression in stage
10.5 control embryos (top) reflects convergent extension of dorsal
mesoderm toward the blastopore. Xfz7-injected embryos (bottom) do
not display such a pattern. (D) At stage 13, gsc is located anteriorly
in control embryos (top) whereas it remains near the blastopore and
extends laterally in Xfz7-injected embryos (bottom). (E) Expression
of otx-2 in control (top) and in Xfz7-injected (bottom) embryos at
stage 10.5. A difference can be noticed as in C. (F) At stage 13,
control embryos (top) have only the anterior expression of otx-2;
Xfz7-injected embryos (bottom) show otx-2 expression around the
dorsal blastoporal lip and in the dorsal ectoderm. (G) Xnot is
expressed in the notochord in a stage 14 uninjected embryo.
(H) Expression of Xnot in the dorsal blastoporal lip in Xfz7-injected
embryos at stage 14 equivalent. (I) Expression of Sox3 is present in
the neural plate except in the midline in a stage 14 uninjected
embryo. (J) Pattern of Sox3 expression in a Xfz7-injected embryo at
stage 14 equivalent.