|
Fig. 1. Early expression of Xenopus laevis peripherin (XIF3) determined
by wholemount in situ hybridization of embryos hybridized
with cRNA probes equivalently labeled with digoxigenin. A: Anterodorsal
view of stage 18 embryos hybridized with XIF3 antisense
(left) or sense (right) probe. B,C: Lateral views of stage 22 embryos
hybridized with antisense probes to XIF3 (B) or Xenopus neuronal
intermediate filament (XNIF; C). Principal structures containing labeled
cells are indicated by labeled arrowheads. o, Olfactory pit; rh,
rhombencephalon; sc, spinal cord; tg, trigeminal ganglion. Scale
bars 5 500 mm in A and C (C also applies to B).
|
|
Fig. 2. Wholemount in situ hybridization with equivalently labeled
probes for the four low-molecular-mass neuronal intermediate
filament (nIF) mRNAs in newly hatched (stage 33/34â35/36) tadpoles.
Embryos were hybridized with cRNA probes to XIF3 (A), XNIF (B),
xefiltin (C), and low-molecular-weight neurofilament protein (NF-L;
D) under parallel conditions to provide an indication of the relative
abundance of each. Specimens were photographed without clearing to
avoid confusion from underlying structures. The right-left axis of D
was reversed to match the orientation of the other photomicrographs.
m, Mesencephalon; o, olfactory pit; p, prosencephalon; rh, rhombencephalon;
sc, spinal cord. Roman numerals indicate respective cranial
ganglia. Scale bar 5 300 mm.
|
|
Fig. 3. Relative changes in XIF3 (A,C,E) and XNIF (B,D,F) mRNA
expression in spinal cord during early tadpole stages (stages 28â42).
A,B: Lateral view of the spinal cord of stage 32 embryos hybridized
with cRNA probes to XIF3 (A) and XNIF (B). Anterior is left, and
dorsal is up. C,D: Transverse sections through the spinal cords of
embryos at a stage similar to that shown in A and B and hybridized
with cRNA probes to XIF3 (C) and XNIF (D). Arrows indicate the
perimeter of the spinal cord. Arrowheads point to examples of large,
labeled cells. Yolk granules make it difficult to discern the outlines of
unlabeled cell bodies. E,F: Transverse sections through a stage 42
tadpole spinal cord hybridized with cRNA probes to XIF3 (E) and
XNIF (F). In C and E, XIF3 labeling surrounding the central canal is
indicated by an asterisk. In F, only a small portion of the dorsal root
ganglion (drg) is contained in the section, making the level of XNIF
appear lower than it actually is. c, Central canal; n, notochord. Scale
bars 5 300 mm in B (also applies to A); 40 mm in D (also applies to C)
and F (also applies to E).
|
|
Fig. 4. Comparison of XIF3 (A,C,E) and XNIF (B,D,F) mRNA
distributions in cell bodies contributing to the peripheral nervous
system. A,B: Transverse section through a dorsal root ganglion of a
juvenile frog. C,D: Transverse section through the ventral horn of the
spinal cord of a juvenile frog. E,F: Transverse section through the gut
of a stage 51 tadpole. Arrowheads point to examples of enteric neurons
in the intestinal wall. Insets show the labeled neurons marked
by asterisks in E and F at higher magnification. The dark material
within the intestinal lumen is nonspecifically labeled chyme. g, Gray
matter; w, white matter. Scale bars 5 100 mm in B (also applies to
A,C,D), 300 mm in F (also applies to E), 30 mm in F inset (also applies
to E inset).
|
|
Fig. 5. XIF3 (A,C) and XNIF (B,D) mRNA distribution in the eye
of stage 51 tadpoles. A,B: Transverse sections through the eye. C,D:
Views at higher magnification of the left retinal ciliary margins.
Arrowheads in A and C mark the farthest extent of labeled retinal
ganglion cells. XIF3 mRNA was restricted to the ciliary margin and
adjacent retinal cells (A,C), whereas XNIF mRNA was found in retinal
ganglion cells throughout the retina (B,D). c, Ciliary margin; i,
inner nuclear layer; p, pigmented retinal epithelium (naturally pigmented
and not labeled); r, retinal ganglion cells layer. Scale bars 5
200 mm in B (also applies to A), 50 mm in D (also applies to C).
|
|
Fig. 6. Distributions of XIF3 (A) and xefiltin (B) mRNA in olfactory epithelium of stage 51 tadpoles
(transverse sections). Arrowheads in A point to examples of labeled cells in the basal layer. oe, Olfactory
epithelium; op, olfactory pit. Scale bar 5 300 mm.
|
|
Fig. 7. XIF3 (A) and XNIF (B) mRNA distributions in transverse sections through juvenile frog spinal
cord and dorsal root ganglion (drg). Arrowheads point to motoneurons of the ventral horn; arrows in A
point to preganglionic neurons of the autonomic nervous system. cf, Central field; g, gray matter; w, white
matter. Scale bar 5 300 mm.
|
|
Fig. 8. Distribution of XIF3 (A,C) and XNIF (B,D) mRNAs in transverse sections through the hind
brains of juvenile frogs (A,B) and 7-year-old adult frogs (C,D). A,C: XIF3 labeling is visible in ventricular
regions (vr) near the obex (ob) and in reticular neurons (rf). B,D: The same regions are also identified in
the sections that were stained for XNIF. AâD are shown at the same magnification. Scale bar 5 300 mm.
|
|
Fig. 9. Proliferating cell nuclear antigen (PCNA) immunoreactivity
in a stage 51 tadpole (A,B) and a juvenile frog (D). A illustrates
PCNA immunoreactivity in cells of the central field (cf) of the spinal
cord, whereas, for comparison, C shows a neighboring section that
was labeled by using in situ hybridization for XIF3 mRNA, which was
found in the central field (cf) as well as in ventral motoneurons (m).
After metamorphosis, PCNA immunoreactivity greatly diminished
(D). B shows PCNA immunoreactivity in the retinal ciliary margin (c)
of a stage 51 tadpole (which can be compared to a neighboring section
labeled by in situ hybridization for XIF3 mRNA in Fig. 5A,C). The
tadpole was stained with anti-PCNA at a dilution of 1:5,000, whereas
juvenile frog spinal cord was stained with antibody at a dilution of
1:1,000. p, Pigmented retinal epithelium; i, inner nuclear layer; r,
retinal ganglion cell layer. Scale bars 5 50 mm in B, 150 mm in C (also
applies to A), 300 mm in D.
|
|
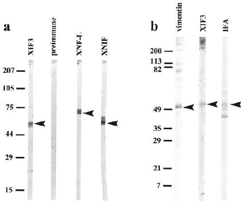
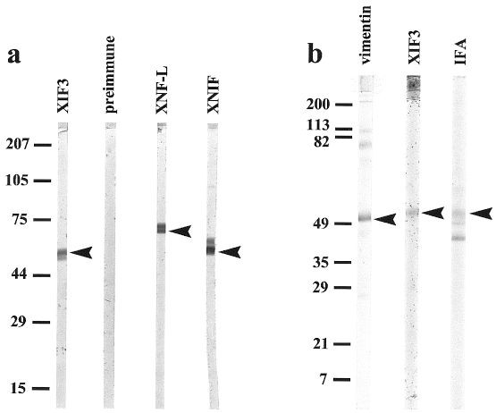
Fig. 10. Western blot analysis of whole homogenates of Xenopus
laevis spinal cord (a) and brain (b). The antibodies that were used are
XIF3 antiserum, XIF3 preimmune serum, Xenopus NF-L (XNF-L)
antiserum, XNIF antiserum, vimentin antiserum, and a monoclonal
antibody (IFA) directed against an epitope common to all intermediate
filament proteins. Labeled bars on the left of each group of blots
indicate the positions of prestained protein molecular mass standards
(molecular masses in kDa). Arrowheads on the right of each strip
point to the bands that were stained by each respective antibody,
except for the strip labeled IFA, in which the arrowhead points only to
the band that comigrated with XIF3.
|
|
Fig. 11. AâG: XIF3 immunostaining in central nervous system
radial glia and peripheral axons. A, C, and D show progressively more
caudal transverse sections through juvenile frog spinal cord at lower
magnification. XIF3 immunostaining was abundant in radially oriented
processes extending from cell bodies in the central field to end
feet at the pial surface. B: Examples of XIF3 immunostaining in
scattered axons of the dorsal root (arrowheads) and adjacent spinal
cord glial end feet at higher magnification (from A). E: XIF3 immunoreactivity
in radial glia from the dorsal column in C shown at
higher magnification. Arrowheads and arrows point to corresponding
examples of glial cell bodies and end feet at the pial surface (p),
respectively. F: XIF3-immunoreactive axons in a cranial nerve. G:
XIF3-immunoreactive cell bodies (arrowheads) and proximal axonal
segments from the dorsal root ganglion in D. cf, Central field; g, gray
matter; w, white matter; p, pial surface; dr, dorsal root; drg, dorsal
root ganglion. Scale bars 5 300 mm in D (also applies to A,C), 50 mm
in F, 100 mm in G (also applies to B,E).
|