Click here to close
Hello! We notice that you are using Internet Explorer, which is not supported by Xenbase and may cause the site to display incorrectly.
We suggest using a current version of Chrome,
FireFox, or Safari.
J Biol Chem
2000 Oct 13;27541:32011-5. doi: 10.1074/jbc.M003920200.
Show Gene links
Show Anatomy links
Participation of transcription elongation factor XSII-K1 in mesoderm-derived tissue development in Xenopus laevis.
Taira Y
,
Natori S
.
???displayArticle.abstract???
We isolated a cDNA clone for a novel member of the S-II family of transcription elongation factors from Xenopus laevis. This S-II, named XSII-K1, is assumed to be the Xenopus homologue of mouse SII-K1 that we reported previously (Taira, Y., Kubo, T., and Natori, S. (1998) Genes Cells 3, 289-296). Expression of the XSII-K1 gene was found to be restricted to mesoderm-derived tissues such as liver, kidney, and skeletal muscle. Contrary to the general S-II gene, expression of the XSII-K1 gene was not detected in embryos at stages earlier than 11. The animal cap assay revealed that activin A, but not basic fibroblast growth factor, induced expression of the XSII-K1 gene and that it participated in the expression of mesoderm-specific genes such as Xbra and Xalpha-actin. This is the first demonstration that the regulation at the level of transcription elongation is included in the development of mesoderm-derived tissues.
Figure 1
Nucleotide and deduced amino acid sequences of the XSII-K1 cDNA. The deduced amino acid sequences are shown below the nucleotide sequence. The nucleotides are numbered from the 5′-end of the cDNA. The termination codon is indicated by an asterisk.
Figure 2
A, schematic illustrations of S-II family proteins from Xenopus and mouse. The N-terminal and C-terminal conserved regions are shaded, and the sequence homology relative to the sequence of the novel S-II is givenabove each region. Two repeated sequences in the novel S-II are shown by hatched and dotted boxes. Thenumbers indicate amino acid residues. B,alignment of the short repeated sequences (18 residues). Identical residues are shown blocked and consensus sequences are at the top. C, alignment of the long repeated sequences (50 residues).
Figure 3
Tissue-specific and developmental stage-specific expression of the XSII-K1 gene. A, Northern blotting analysis of RNA from various tissues. Each lane contained 2 μg of RNA and was hybridized with XSII-K1 (top) and XEF1-α (bottom) probes. Tissues used are as follows: lane 1, heart; lane 2, brain;lane 3, spleen; lane 4, liver; lane 5, skeletal muscle; lane 6, kidney; lane 7, testis. The position of XSII-K1 mRNA (2.5 kb) is indicated by thearrowhead. White arrowhead shows a relatively thick band in the testis. B, Northern blotting analysis of RNA from the embryos at various developmental stages. Probes used are XSII-K1 (top), Xenopus general S-II (middle), and XEF1-α (bottom). Lane numbers at the top correspond to the developmental stages of the embryos.
Figure 4
Whole mount in situhybridization of XSII-K1 mRNA. Embryos at the neurula stage (A), and tail bud stage (B) were treated with the antisense or sense probe of XSII-K1. For hybridization-positive tissues, headmesenchyme, somite, and branchial arches are indicated by blue, white, andblack arrowheads, respectively. Illustration represents a tail-bud stage embryo.
Figure 5
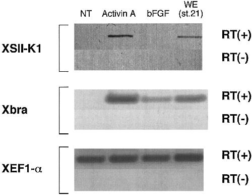
Activation of the XSII-K1gene by activin A. RNA was extracted from animal caps treated with activin A or bFGF and subjected to RT-PCR to detect XSII-K1 (top), Xbra (middle), or XEF1-α mRNA (bottom). NT, embryos incubated without activin A or bFGF; WE, control embryos at stage 21.RT(+) and RT(â) indicate experiments with or without RT reaction.
Figure 6
Induction of expression of the mesoderm marker genes (Xbra andXα -actin) by injection of XSII-K1 mRNA. XSII-K1 mRNA was injected into the animal pole of embryos at stage 1 (one-cell stage). Animal caps were dissected at the neurula stage and incubated for 24 h. Total RNA was extracted from the animal caps, and expression of the Xbra(top), α-actin (middle), and XEF1-α (bottom) genes was detected by RT-PCR. NT, animal caps from non-treated embryos.RT(+) and RT(â) indicate experiments with or without RT reaction.
TCEA3 (transcription elongation factor A (SII), 3) gene expression in Xenopus tropicalis embryo, assayed via in situ hybridization, NF stage 18, dorsal view, anteriorleft and up.
TCEA3 (transcription elongation factor A (SII), 3) gene expression in Xenopus tropicalis embryo, assayed via in situ hybridization, NF stage 32, lateral view, anteriorleft, dorsal up.