|
Fig. 1. Model for developmental anatomy of the Xenopus pancreas.
Schematics of gut tubes from tadpoles are shown truncated anteriorly at
the junction between the stomach and oesophagus. All associated
endodermal organs besides the pancreas have been removed for clarity.
The top row shows the corresponding tadpole from the Nieuwkoop and
Faber table of normal development. The dorsal pancreatic rudiment is
depicted as dark blue and the ventral pancreatic rudiments as light blue.
For detailed descriptions, see text. A) stage 39 gut left view. B) stage 39
gut right view. C) stage 39 gut anterior view. D) stage 40 gut left view.
E) stage 40 gut right view. F) stage 40 gut anterior view. G) stage 41 gut
left view. H) stage 41 gut ventral view. I) stage 41 pancreas attached to
stomach. The view in I is what you would see if you pulled the stomach
pictured in G towards you to see the pancreas behind it. J) stage 42 gut
left view. K) stage 42 gut ventral view. L) stage 44 gut ventral view.
Abbreviations: d, duodenum; int, intestine; st, stomach.
|
|
Fig. 2. Histological sections showing formation of the dorsal and ventral
pancreatic rudiments in Xenopus tadpoles. Stained sections from stage 33
(A, E), stage 35 (B, F), stage 37 (C, G), and stage 39 (D, H) tadpoles are
shown. Transverse sections in A are at the plane (a) of the ventral
pancreatic rudiments (arrows, light blue). A more posterior transverse
section (b) at the level of the dorsal pancreatic rudiment (arrowhead, dark
blue) from the same tadpole is shown in E. Approximate planes of
section are depicted in the schematic diagrams. Abbreviations: a, aorta;
d, duodenum; gd, gastroduodenal cavity; gb, prospective gall bladder; hp,
hepatic cavity; lu, lung; int, intestine; nc, notochord; nt, neural tube; pn,
pronephros; s, somite; st, stomach.
|
|
Fig. 3. Histological sections showing fusion of the pancreatic rudiments
in stage 40 Xenopus tadpoles. A progressive anterior to posterior
series of stained transverse sections (A) from a single stage 40
tadpole are shown with A being the most anterior section and E being the
most posterior section. Approximate planes of section are shown in the
schematic diagrams. dorsal pancreatic rudiment (arrowhead, dark blue);
ventral pancreatic rudiments (arrows, light blue). Abbreviations: a, aorta;
d, duodenum; gb, gall bladder; int, intestine; lu, lung; nc, notochord; nt,
neural tube; pn, pronephros; s, somite; st, stomach.
|
|
Fig. 4. Histological analysis of molecular markers expressed before
and during fusion of the pancreatic rudiments. A) Stained sagittal
section of a stage 39 tadpole showing both the dorsal and ventral
pancreas. B) Close-up of the bracketed area in A. C) Islet1 RNA expression
in a sagittal section of a stage 39 tadpole. D) Islet1 RNA expression
in a transverse section of a stage 37 tadpole. E) Insulin protein expression
in a transverse section of a stage 39 tadpole. F) NeuroD RNA
expression in a transverse section of a stage 39/40 tadpole. G) Pax6
RNA expression in a transverse section of a stage 39/40 tadpole. The
section in F is more anterior than in G. Abbreviations: a, aorta; dp, dorsal
pancreas; h, heart; int, intestine; lv, liver; nc, notochord; nt, neural tube;
oe, oesophagus; ph, pharynx; pn, pronephros; s, somite; st, stomach; vp,
ventral pancreas.
|
|
Fig. 5. Histological analysis of pancreas development in stage 41 and
stage 42 Xenopus tadpoles. A) Stained transverse section of a stage 41
tadpole showing the ventral pancreas. B) Transverse section of a stage
41 tadpole, similar to the one in A, stained with an anti-insulin antibody.
Note the absence of insulin expression in the ventral pancreas. C) Stained
transverse section of a stage 41 tadpole, more posterior than the section
in A, showing the dorsal pancreas. D) Transverse (slightly oblique) section
of a stage 41 tadpole, similar to the one in C, stained with an anti-insulin
antibody. E) Stained sagittal section of a stage 41 tadpole showing where
the dorsal and ventral pancreas fuse. F) Close-up of the bracketed area
in E. G) Stained sagittal section of a stage 42 tadpole. H) Sagittal section
of a stage 42 tadpole, similar to the bracketed area in G, stained with an
anti-insulin antibody. Note how insulin expression is localized to one
region of the pancreas, which presumably is the portion derived from the
dorsal pancreas. Approximate planes of section are shown in the schematic
diagrams. Abbreviations: a, aorta; d, duodenum, dp, dorsal pancreas
(dark blue); h, heart; int, intestine; lv, liver; nc, notochord; nt, neural
tube; oe, oesophagus; ph, pharynx; pn, pronephros; s, somite; st, stomach;
vp, ventral pancreatic rudiments (light blue).
|
|
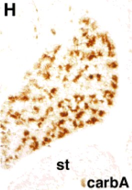
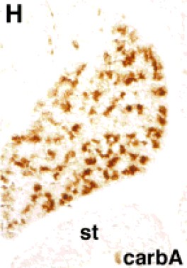
Fig. 6. Histological analysis of molecular markers in stage 446 Xenopus
tadpoles. A) Stained transverse section of a stage 44 tadpole.
B) Stained sagittal section of a stage 44 tadpole. C) Sagittal section of a
stage 44 tadpole, similar to the bracketed area in E, stained with an
anti-insulin antibody. D) Stained sagittal section of a stage 44 tadpole,
more medial than the section in B. E) Sagittal section of a stage 44
tadpole, similar to the bracketed area in D, stained with an anti-carboxypeptidase
A (carbA) antibody. F) Stained transverse section of a
stage 46 tadpole. G) Transverse section of a stage 46 tadpole, similar to
the bracketed area in F, stained with an anti-somatostatin (som) antibody.
Arrows point to positively stained cells in the duodenum. H) Transverse
section of a stage 46 tadpole that is slightly more posterior to the section
in F, allowing one to see the distal end of the stomach joining with the
duodenum. The section is stained with an anti-carboxypeptidase A antibody.
I) Pax6 RNA expression in a sagittal section of a stage 45 tadpole.
J) NeuroD RNA expression in a sagittal section of a stage 45 tadpole.
Approximate planes of section are shown in the schematic diagram.
Abbreviations: d, duodenum; gb, gall bladder; int, intestine; lv, liver; lu,
lung; nc, notochord; nt, neural tube; oe, oesophagus; p, pancreas (blue);
pn, pronephros; s, somite; st, stomach.
|
|
Fig. 7. Expression of endocrine and exocrine hormones in stage 48 and stage 50 Xenopus tadpoles. A all show sagittal sections of stage 48 tadpoles stained with different primary antibodies. A) Insulin (green) and glucagon (red) expression in a stage 48 pancreas. B) Same section as in A with insulin (green) and nuclear DAPI staining (blue). C) Insulin (green) and glucagon (red) expression in a stage 48 pancreas. This sagittal section is more medial than the section in A. D) Same section as in C with glucagon (red) and nuclear DAPI staining (blue). E) Insulin (green) and somatostatin (red) staining in a stage 48 pancreas. Arrows point to somatostatin-positive cells within the stomach and intestinal epithelium. F) Same section as in F with somatostatin (red) and nuclear DAPI staining (blue). G) Insulin (green) and carboxypeptidase A (red) expression in a stage 48 pancreas. H) Section of a stage 48 tadpole in which primary antibodies were not added. I) Sagittal section from a stage 50 tadpole showing expression of insulin (green) and glucagon (red) in the pancreas. Arrow points to an islet-like structure; glucagon-positive cells are located at the periphery of a cluster of insulin-positive cells. J) Section of a stage 48 dissected gut stained with hematoxylin (nuclear) and eosin (cytoplasmic). K) Stained transverse section of a stage 48 tadpole. Abbreviations: Ab, antibody; E, eosin; H, hematoxylin; carbA, carboxypeptidaseA; glu, glucagon; ins, insulin; som, somatostatin; d, duodenum; int, intestine; lv, liver; lu, lung; nc, notochord; oe, oesophagus; p, pancreas; pn, pronephros; s, somite; st, stomach.
|
|
Fig. 8. Specification of molecular markers in gastrula explants. A) Early
gastrula, stage 10.25, were cut into the following halves: right or left halves,
dorsal or ventral halves, and animal or vegetal halves. B) Late gastrula,
stage 12.5, were cut into the following halves: right or left halves, dorsal or
ventral halves, and anterior or posterior halves. In A and B explants were
cultured until stage 41 and analyzed by RT-PCR for various molecular
markers. Three explants were included in each reaction in triplicate; one
representative sample is shown. A reaction without reverse transcriptase
(2RT) is included as a control for DNase treatment. EF1a is included as a
control for RNA recovery. Abbreviations: A, anterior half; An, animal half;
carbA, carboxypeptidaseA; D, dorsal half; edd, endodermin, EF1a, elongation
factor 1 alpha; L, left half; NCAM, neural cell adhesion molecule; pdx1,
pancreatic-duodenal transcription factor 1; R, right half; P, posterior half; V,
ventral half; Vg, vegetal half.
|
|
cpa1 (carboxypeptidase A1 (pancreatic)) gene expression in coronal sections of Xenopus laevis embryos, NF stage 46, as assayed by immunohistochemistry.
|