|
Figure 1
Interaction of BMP-2, Xvent-2, and GATA-2 with BMP-4. A-C, in situ whole mount hybridizations demonstrate dorsal activation of BMP-4 after injection of 400 pg of BMP-2 RNA into both dorsal blastomeres of four-cell stage embryos or inhibition after radial injection of 500 pg of truncated BMP receptor (tBR). D-F, BMP-4, Xvent-2, and Xvent-1 expression in CHX-treated embryos after injection of 400 pg of BMP-2 RNA. Note that CHX treatment prevents transcription of BMP-4and Xvent-1 but not of Xvent-2. G andJ, dorsal injection of 600 pg of Xvent-2 RNA activatesBMP-4 transcription in dorsal mesoderm; this activation is not observed with 500 pg of GATA-2 RNA. H and K,Xvent-2 and GATA-2 expression in uninjected embryos and in embryos after injection of BMP-2/4 RNA (400 pg) into both dorsal blastomeres of four-cell stage embryos (I and L). Except for CHX treatment all embryos are photographed with dorsal side (top) and ventral side (bottom).
|
|
Figure 2
The 5′-flanking region and the second intron of the Xenopus BMP-4 gene respond to BMP-2/4 signaling. A, genomic structure of the Xenopus BMP-4 gene and schematic representation of mutants used for luciferase reporter gene assays. All mutants are numbered according to nucleotide position +1 of the transcription start site (indicated at the first exon) and all contain a −116/+54 minimal promoter fragment (shadowed) (additional mutants are described in Fig. 5).Arrows indicate sites responding to Xvent-2. B,DNA (20 pg) of upstream (B) or intron/reporter fusion constructs (C) were co-injected with 200 pg of BMP-2 or BMP-4 RNA, respectively, into both blastomeres of two-cell stage embryos. Luciferase activity was measured when uninjected control siblings had reached stage 12.5.
|
|
Figure 3
Xvent-2 mimics BMP-2/4 signaling effects on the BMP-4 promoter. A, co-injection of 500 pg of Xvent-2 RNA stimulates both the individual upstream and intron mutants at a similar extent as observed with BMP-2/4 RNA (see Fig. 2 B). B and C, while co-injections of the +1815 (B) or +1738/+1969 intron mutant (C) with 400 pg of Xvent-2 yield more than 2-fold increase of reporter activity, 400 pg of Xvent-1 has no effect. Co-injection of 1 ng of Xvent-2 (P40) or 1 ng of chordin RNA leads for both of these mutants to a significant decrease of reporter activity, which can be rescued by 400 pg of Xvent-2 RNA. Note also, that the activation obtained with 300 pg of BMP-2 RNA is strongly inhibited by co-injection with 1.3 ng of Xvent-2 (P40) RNA.
|
|
Figure 4
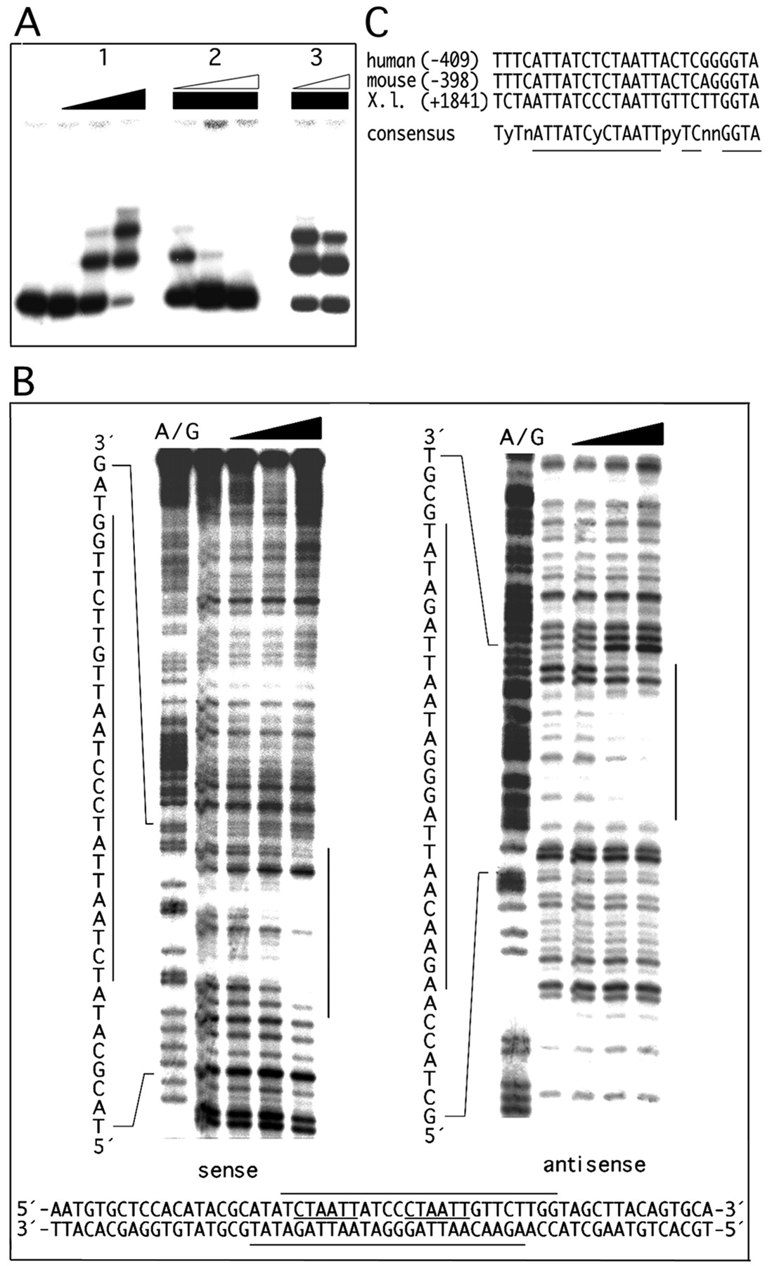
DNA/protein interactions. A,gel mobility shifts were performed with the bacterially expressed Xvent-2 homeodomain (HD) on the +1738/+1969 intron target sequence. 1, lane 1 contains free DNA;lanes 2–4 contain increasing amounts (6.25, 12.5, and 25 ng) of Xvent-2 HD. 2, addition of increasing amounts of unlabeled target sequence (specific inhibitor) leads to a loss of shift of the labeled target. 3, addition of an unspecific competitor (−69/+54 DNA fragment) does not prevent shifting.B, DNase I footprint of Xvent-2 HD was carried out for both strands on the +1738/+1969 intron 2 fragment. Lane 1 shows the A/G chemical sequencing reaction, lane 2 contains DNase I-digested free DNA. Increasing amounts (25, 75, and 225 ng) of Xvent-2 HD were added prior to DNase I digestion in lanes 3–5. Protected regions (indicated by lines) correspond for both strands and contain two copies of the motif 5′-CTAATT-3′ (underlined). Gene sequence is shown from nucleotide positions +1820 to + 1879. C, best fit alignment of theX. laevis Xvent-2-binding site with the human and mouseBMP-4 gene (number of matches: 13; allowed mismatches: 1). Note that a 13-bp match (including one T to C transition) is found within the proximal promoter of both the human (accession numberU43842) and the mouse BMP-4 genes (accession numberL47480).
|
|
Figure 5
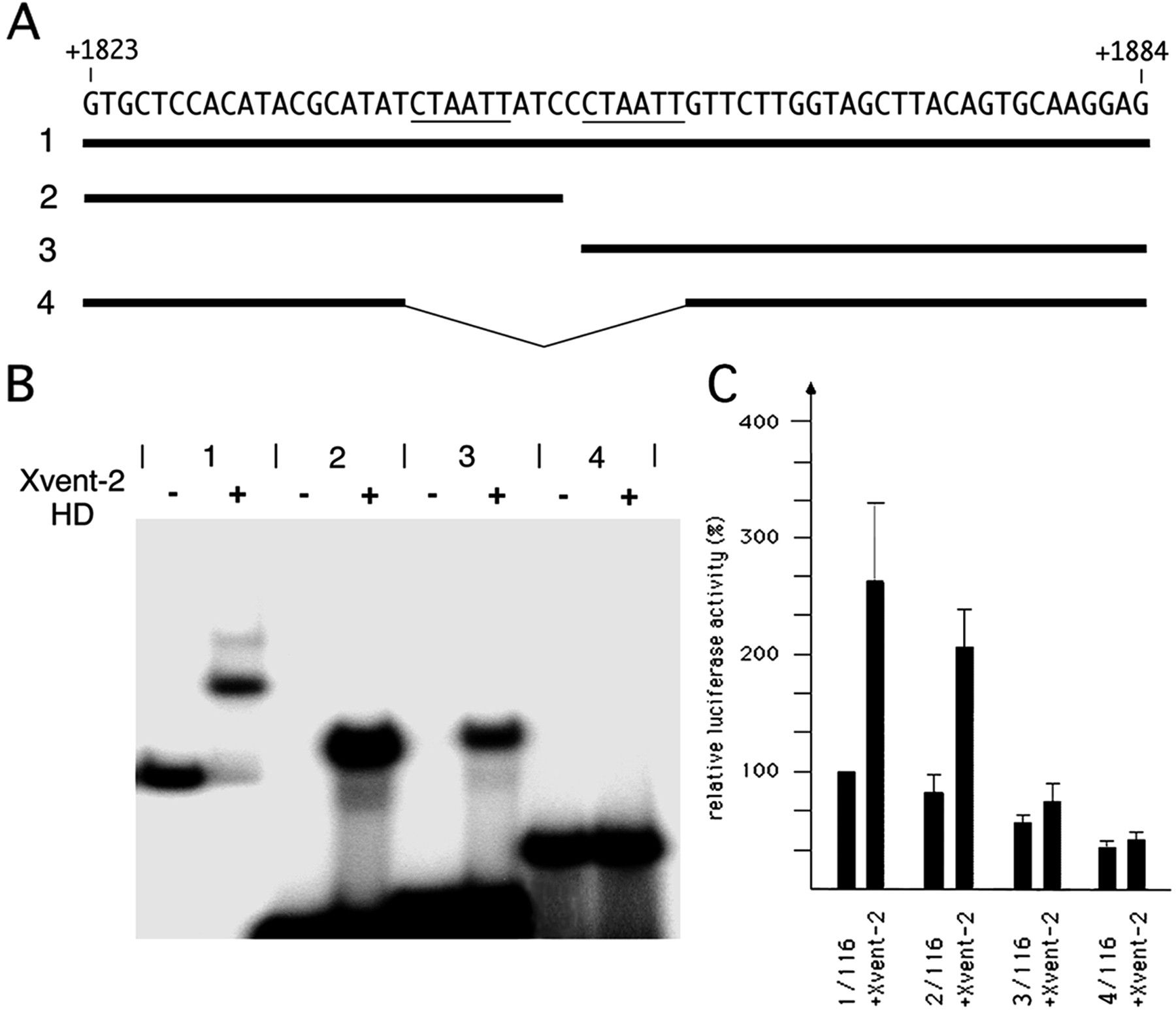
Delineation of Xvent-2 responsive region. A and B, double stranded oligonucleotides (5′ elongated by a KpnI (forward) or aXhoI (reverse) site) comprising positions +1823 to +1884 (1), +1823 to +1850 (2), +1852 to +1884 (3), and +1823/+1884 deleted from +1842 to +1857 (4) were subjected to gel mobility shifts with the Xvent-2 homeodomain as described in the legend to Fig. 4. Note that there is no shift when both copies of the core motif (underlined) are deleted but that one copy is sufficient for binding. C, fragments were subcloned in front of the −116/+54 basalBMP-4 promoter fused to the luciferase reporter. 20 pg of DNA constructs were co-injected with 500 pg of Xvent-2 RNA into dorsal blastomeres of four-cell stage embryos. Reporter activity of the complete fragment is set as 100%. Note that neither the internal deletion nor the 3′ fragment containing one copy of the core motif can be activated by Xvent-2.
|
|
Figure 6
Repressing and activating functions of Xvent-2. A, phenotypes of embryos (around st. 30) injected ventrally (a, b) or dorsally (c, d) with 1.5 ng of GAL4-AD/Xvent-2 RNA perblastomere at the four-cell stage. Note formation of a posterior double axis (arrowhead) at ventral and ventralization at dorsal injections. The insetin a shows an uninjected control embryo (all embryos are orientated with posterior to left and anterior to right). B,an intron 2/basal BMP-4 promoter/luciferase reporter construct is activated by co-injection with low amounts of GAL4-AD/Xvent-2 RNA into dorsal blastomeres of four-cell stage embryos. Higher amounts lead to reversal or even to inhibition, as shown by ventral co-injection with 1.5 ng of perblastomere. C, a yeast-based assay was used to determine the transactivatory efficiency of Xvent-1 and Xvent-2. Complete proteins were fused to the GAL4 DNA-binding domain and expressed in pAS2 under control of the ADH promoter. The recombinants were transfected into yeast strain Y187, thereby prompting an interaction between the GAL4 fusions and the genomic GAL1-binding site giving rise to the activation of the LacZ reporter. Efficiency of fusion protein synthesis was controlled by immunoblotting of yeast extracts using monoclonal hemagglutinin antibodies. The enzymatic activity of LacZ was determined after 1 h in arbitrary units relative to the activatory strength of the GAL-4 activation domain.
|
|
Figure 7
BMP-4/goosecoid promoter swapping. The goosecoid promoter has recently been shown to contain several Xom (Xvent-2)-binding sites (BS) located between −128 and −226, thereby mediating Xvent-2 caused repression of activin A-stimulated promoter/reporter activity (24). In contrast, the intron 2 enhancer (+1815/+1892) fused to the basalBMP-4 promoter yields a strong activation upon co-injection of Xvent-2. Promoter swapping of corresponding gsc and intron 2 enhancer regions reveals that not the basal promoters, but that the Xvent-2-binding sites are responsible for repression or activation, depending on the context. Reporter activities determined after injection of 20 pg of DNA constructs into dorsal blastomeres at the four-cell stage are set as 100%, the values obtained upon co-injection of 500 pg of Xvent-2 RNA are given as relative percentage.
|
|
Figure 8
Cycloheximide treatment subsequent to Xvent-2 overexpression prevents BMP-4 gene activation. A, four-cell stage embryos were injected with 400 pg of Xvent-2 RNA into both dorsal blastomeres. Cycloheximide treatment was performed as described under “Experimental Procedures.” RT-PCR was performed with total RNA for BMP-4 (upstream primer: 5′-GATTGGCTGTCAAGAATCATGGA-3′; downstream primer 5′: GAACATCTGCAGCAGCGTCACCTCG-3′) and had been adjusted using histone H4 (upstream primer: 5′-CGGGATAACATTCAGGGTATCACT-3′; downstream primer: 5′-ATCCATGGCGGTAACTGTCTTCCT-3′) as an internal control.
|
|
Figure 9
Genetic cascades involved in the activation and autocatalytic regulation of BMP-4. While BMP-4 activatesXvent-2 and GATA-2, only Xvent-2 is able to up-regulate BMP-4. BMP-2 protein translated from maternal RNA activates Xvent-2 and triggers the autocatalytic loop, which is subsequently maintained by BMP-4 and Xvent-2 recruiting a yet unknown co-activator. Xvent-2 suppresses gsc. GATA-2 and Xvent-2 activate Xvent-1 which has been shown to repress ventral expression of the dorsal lip-specific winged helix geneXFD-1′ (12, 24, 31, 47).
|