Click here to close
Hello! We notice that you are using Internet Explorer, which is not supported by Xenbase and may cause the site to display incorrectly.
We suggest using a current version of Chrome,
FireFox, or Safari.
Dev Growth Differ
2000 Aug 01;424:307-16. doi: 10.1046/j.1440-169x.2000.00514.x.
Show Gene links
Show Anatomy links
Involvement of BMP-4/msx-1 and FGF pathways in neural induction in the Xenopus embryo.
Ishimura A
,
Maeda R
,
Takeda M
,
Kikkawa M
,
Daar IO
,
Maéno M
.
???displayArticle.abstract???
The msx homeodomain protein is a downstream transcription factor of the bone morphogenetic protein (BMP)-4 signal and a key regulator for neural tissue differentiation. Xmsx-1 antagonizes the dorsal expression of noggin and cerberus, as revealed by in situ hybridization and reverse transcription-polymerase chain reaction assays. In animal cap explants, Xmsx-1 and BMP-4 inhibit the neural tissue differentiation induced by noggin or cerberus. A loss-of-function study using the Xmsx-1/VP-16 fusion construct indicated that neural tissue formation was directly induced by the injection of fusion ribonucleic acid, although the expression of neural cell adhesion molecule (N-CAM) in the cap was less than that in the cap injected with tBR or noggin. In contrast to the single cap assay, unexpectedly, both BMP-4 and Xmsx-1 failed to inhibit neurulation in the ectodermal explants to which the organizermesoderm was attached. The results of cell-lineage tracing experiments indicated that the neural cells were differentiated from the animal pole tissue where the excess RNA of either BMP-4 or Xmsx-1 was injected, whereas notochord was differentiated from the organizermesoderm. Neural tissue differentiated from BMP-4-injected ectodermal cells strongly expressed posterior neural markers, such as hoxB9 and krox20, suggesting that the posterior neural cells differentiated regardless of the existence of the BMP signal. The introduction of a dominant-negative form of the fibroblast growth factor (FGF) receptor (XFD) into the ectodermal cells drastically reduced the expression of pan and posterior neural markers (N-CAM and hoxB-9) if co-injected with BMP-4 RNA, although XFD alone at the same dose did not shut down the expression of N-CAM in the combination explants. Therefore, it is proposed that an FGF-related molecule was involved in the direct induction of posterior neural tissue in the inducing signals from the organizermesoderm in vivo.
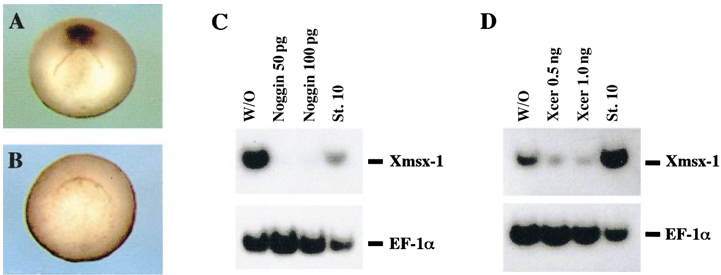
Fig. 1. Xmsx-1 and neural-inducing genes antagonized mutual expression. (A,B) The expression of noggin in a control uninjected
stage 11 embryo (A) and an embryo injected with Xmsx-1 ribonucleic acid (RNA; 5 ng/embryo) in two dorsal blastomeres at the
4-cell stage (B). Fixed embryos were processed for whole-mount in situ hybridization analysis. Note that the expression of endogenous
noggin at the gastrula stage was completely suppressed by the misexpression of Xmsx-1. (C,D) The expression of Xmsx-1 in animal
cap explants. Two-cell stage embryos were injected with noggin (C) or cerberus (Xcer, (D)) RNA, and the animal caps were excised
at stage 10 for reverse transcriptionâpolymerase chain reaction (RT-PCR) analysis to detect Xmsx-1 expression. In animal caps, the
expression of Xmsx-1 was downregulated by the introduction of neural-inducing agents.
Fig. 2. Bone morphogenetic proteins
(BMP)-4/Xmsx-1 inhibited
neural tissue differentiation
induced by noggin (A) and
cerberus. (Xcer, (B)). After the
injection of ribonucleic acid (RNA)
as indicated (5 ng/embryo for
BMP-4 and Xmsx-1, 0.1 ng for
noggin and 1 ng for Xcer), animal
caps were excised at stage 10
and cultured for 2 days (stage
35/36 in sibling control embryos).
The lysates of explants were
subjected to western blot analysis
to detect a neural marker,
N-CAM. S1 and S2 are the
standard brain lysates from stage
56 tadpoles (the loading protein in S2 is five times more than that in S1). A major protein (34 kDa) in the lysates of explants is shown
as a protein loading control.
Fig. 3. A dominant-negative Xmsx-1 induced the expression of
N-CAM in the animal cap. Animal caps that had been injected
with Xmsx-1/VP-16 ribonucleic acid RNA (2 ng/embryo) were
excised at stage 9 and cultured until the sibling embryos reached
stage 27. The expression of N-CAM and elongation factor (EF)1a
was determined by reverse transcription–polymerase chain
reaction (RT-PCR) analysis. The effect of Xmsx-1/VP-16 can be
reverted by the simultaneous injection of wild-type Xmsx-1
(5 ng/embryo) or bone morphogenetic protein (BMP)-4
(5 ng/embryo).
Fig. 4. Bone morphogenetic protein (BMP)-4 and Xmsx-1 failed to inhibit the neurulation induced by the prospective dorsal mesoderm
in the combination explant assay. (A,B) The animal pole region of 2-cell stage embryos or dorsal blastomeres of 4-cell-stage
embryos were injected with Xmsx-1 (A, 2 ng/embryo) or BMP-4 ribonucleic acid (RNA; B, 5 ng/embryo), and the resultant animal pole
tissue (AP) or dorsal mesoderm (DM) excised from early gastrula embryos was combined with the uninjected counterpart. As a control
experiment, an AP or DM explant was cultured alone (A). All the explants were cultured until stage 22 and processed for reverse
transcription–polymerase chain reaction (RT-PCR) analysis to detect the N-CAM and elongation factor (EF)-1a RNA. (C) Western blot
analysis was also performed to show the expression of N-CAM protein in the combination explants. A major protein (34 kDa) in the
lysates of explants is shown as a protein loading control. Note that injection of BMP-4 in the dorsal mesoderm caused suppression of
N-CAM expression while injection of RNA in the animal pole cells did not affect the expression of N-CAM.
Fig. 5. Cell lineage tracing in explants using the Xenopus
borealis cell as a marker. The animal pole region of 2-cell-stage
X. laevis embryos was injected with bone morphogenetic
protein (BMP)-4 ribonucleic acid (RNA; 5 ng/embryo), and
animal pole tissue (AP) excised at the early gastrula stage
was combined with the uninjected dorsal mesoderm (DM) of
X. borealis embryos. The combination explants were cultured for
2 days. Sections of these explants were immunostained with an
anti-N-CAM antibody (A,B), and counterstained with quinacrine
(C). (B) shows a higher magnification of (A). The N-CAMpositive
cells were located close to the notochord and were
derived from the AP as indicated by dark nuclei (X. laevis cell).
The notochord was derived from the dorsal mesoderm as indicated
by bright nuclei (X. borealis cell). Darker staining at the
peripheral region of the explant represents accumulation of
melanin granules. The area of specific staining by the antibody
is indicated by arrowheads in (A). Bars, 100 μm (A–C).
Fig. 6. The expression of anterior/posterior neural markers in
the combination explants injected with bone morphogenetic
proteins (BMP)-4. The animal pole region of 2-cell-stage embryos
was injected with BMP-4 ribonucleic acid (RNA; 5 ng/embryo),
and animal pole tissue (AP) excised at the early gastrula stage
was combined with the uninjected dorsal mesoderm (DM). The
combination explants were cultured until the sibling embryos
reached stage 27. The reverse transcription–polymerase chain
reaction (RT-PCR) analysis was performed to detect otx-2
(fore- and midbrain marker), en2 (mid- and hindbrain boundary
marker), krox20 (hindbrain marker), hoxB9 (spinal cord marker),
N-CAM (pan-neural marker), and elongation factor (EF)1a. Note
that the neural tissue induced in the BMP-4-loaded ectoderm
exhibited a posterior phenotype in comparison with the
uninjected control ectoderm.
Fig. 7. Possible involvement of the fibroblast growth factor (FGF) signal in neural tissue differentiation induced by prospective
dorsal mesoderm in combination explants. The animal pole region of 2-cell-stage embryos was injected with XFD (a
dominant-negative form of the FGF receptor). Ribonucleic acid (RNA) alone (A), or XFD and BMP-4 RNA (B), and animal pole tissue
(AP) excised at the early gastrula stage was combined with the uninjected dorsal mesoderm (DM). Simultaneous injection of XFD and
BMP-4 inhibited the expression of N-CAM and otx2 in AP/DM combination explants, while XFD alone did not suppress the expression
of N-CAM and otx2.