Click here to close
Hello! We notice that you are using Internet Explorer, which is not supported by Xenbase and may cause the site to display incorrectly.
We suggest using a current version of Chrome,
FireFox, or Safari.
???displayArticle.abstract??? Bone morphogenetic protein (BMP) signalling is necessary for both the development of the tail bud and for tail regeneration in Xenopus laevis tadpoles. Using a stable transgenic line in which expression of the soluble BMP inhibitor noggin is under the control of the temperature inducible hsp70 promoter, we have investigated the timing of the requirement for BMP signalling during tail regeneration. If noggin expression is induced followed by partial amputation of the tail, then wound closure and the formation of the neural ampulla occur normally but outgrowth of the regeneration bud is inhibited. Furthermore, we show that BMP signalling is also necessary for limb bud regeneration, which occurs in Xenopus tadpoles prior to differentiation. When noggin expression is induced, limb bud regeneration fails at an early stage and a stump is formed. The situation appears similar to the tail, with formation of the limb bud blastema occurring but renewed outgrowth inhibited. The transcriptional repressor Msx1, a direct target of BMP signalling with known roles in vertebrate appendage regeneration, fails to be re-expressed in both tail and limb in the presence of noggin. DNA labelling studies show that proliferation in the notochord and spinal cord of the tail, and of the blastema in the limb bud, is significantly inhibited by noggin induction, suggesting that in the context of these regenerating appendages BMP is mainly required, directly or indirectly, as a mitogenic factor.
???displayArticle.pubmedLink???
16938438
???displayArticle.link???Mech Dev ???displayArticle.grants???[+]
Fig. 1. Expression of BMP and noggin during appendage development and regeneration. (A) BMP2 is expressed in tailfinmesenchyme throughout tail development (stage 36 shown). (BMP4 is similar, see (Beck and Slack, 1998)). (B) Noggin is expressed in the posterior dorsal neural tube and leading edge of the tail tip (stage 36 shown). (C, D) A three day regenerate. Arrowheads show level of amputation. (C) BMP2 expression at leading edge of cut fin (arrow). (D) Noggin expression in the regenerating notochord (arrow). (EâH) hindlimb: reciprocal expression of noggin (condensing tarsal cartilages) and BMPs during limb development. (E) BMP2 in apical epidermis at stage 53. (F) BMP4 in interdigital regions at stage 53. (G) noggin in two forming digits at early stage 53. (H) Noggin in all five hindlimb digits at stage 54. Scale bars 250 μm.
Fig. 5. Gene expression in regenerating wild type and N1 limbs and tails. AâH In situ hybridization showing Msx1 expression in tails. Black arrows indicate regions of Msx1 expression in the tail bud or regeneration bud. (A) Wild type (WT) embryotail during development, expression in dorsal posterior neural tube (arrow) and fin, stage 36. (B) Wild type tadpoletail 1 day after amputation, expression in finepidermis maintained. (C, D) Wild type tadpoletail 3 and 5 days after amputation, expression re-established in neural ampulla. White arrowheads show level of amputation. (E) Msx1 is not normally expressed in tail core tissues, but only in finepidermis, as shown in this N1 tail fixed immediately after amputation. (FâH) Msx1 is not re-expressed in heat-shocked N1 tails at 1, 3 and 5 days after amputation. White arrowheads show level of amputation. (IâL) In situ hybridization showing Msx1 expression in limbs, following amputation at future knee level at stage 53. Arrowheads show the level of amputation. (I, K) Wild type (WT) limb 3 days and 5 days after amputation, Msx1 is expressed throughout the blastematissue but absent from the AEC. (J, L) Msx1 is not expressed in heat-shocked N1 limbs 3 or 5 days after amputation. (MâO) Expression of FGF8 in regenerating tails and limbs. Level of amputation is marked by arrowheads. (M, N) WT tadpoletail 2 and 5 days post amputation, showing expression in fin and blastema (black arrows). (O, P) WT and heat-shocked N1 limbs amputated at knee level at stage 53 and fixed after 3 days. FGF8 expression is seen in WT limbs in the AEC but is detectable only in around 50% of N1 limbs and at lower levels. All scale bars 100 μm.
Fig. 2. Ectopic noggin expression and decay following heat shock in N1 tadpoles. (A) In situ hybridisation 3 days after amputation showing ectopic expression of noggin at high levels throughout the tail and the regeneration bud (right end of tail). Heat shocks were given daily following amputation. (B) RT-PCR showing that the level of induced noggin transcripts declines approximately exponentially following a single heat shock. EF1α is used as a control housekeeping gene to indicate loading levels.
Fig. 3. Comparison of tail regeneration in wild type and N1 tadpoles. 50% of the tail was removed followed by daily heat shocks; amputation levels shown by arrowheads. (A-H) Wholemounts at different times. (I, J) Sagittal sections 3 days following amputation. n, notochord; b, regenerating notochord; m, muscle; a, neural ampulla; u, undifferentiated blastema; f, finmesenchyme. Scale bars in I and J are 0.1 mm.
Fig. 4. Effect of ectopic noggin expression on limb regeneration. A-C examples of limb regeneration following amputation at future knee level at stage 52 and recovery for 3 weeks. (A) Wild type. (B) Control un-operated limb. (C) N1 heat-shocked for 7 days. (D) Histogram of limb regeneration at different stages in development with (heat-shocked N1) or without (WT) expression of the noggin transgene. The average number of toes regenerated following knee level amputation declines with increasing age of amputation and is significantly reduced at all stages tested by ectopic expression of noggin from the transgene (p > 0.01, Student's t-test, denoted by ââ).
Fig. 6. Timing of BMP requirement during tail and limb regeneration. (A, B) Histograms showing inhibition of regeneration (expressed as % of cases of N1 tadpoles) under different heat shock transgene activation regimes. Heat shocks were administered to tadpoles at different combinations of â3 h, +24 h and +48 relative to the time of amputation. Refer to Table 2 and Table 3 for numerical data. (A) % of stage 49�50 tails failing to regenerate following 50% amputation and recovery for two weeks. (B) % of stage 52-53 limbs failing to regenerate following knee level amputation and recovery for three weeks. (C) Partial regenerate arising from the resumption of regeneration of a tail following the end of the heat shocks.
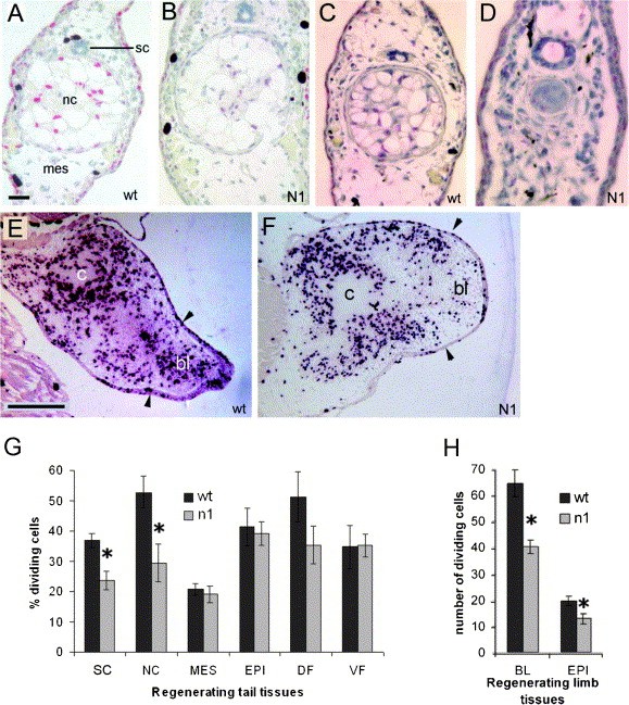
Fig. 7. Effect of ectopic noggin on cell proliferation and cell death. (A, B) BrdU labelling in 3 day tail regenerates, wild type (A) and heat-shocked N1 (B). nc notochord, sc spinal cord, mes mesenchyme. (C, D) TUNEL labelling in 3 day tail regenerates, wild type (C) and heat shocked N1 (D). (E, F) BrdU labelling in 3 day limb bud regenerates, wild type (E) and heat-shocked N1 (F). Arrowheads show approximate level of amputation. bl, blastema, c, cartilage condensation. Scale bars represent 100 μm. (G) Percentage of dividing cells in different tissues of amputated, regenerating wild type (WT) or heat-shocked N1 tails. NT, neural tube; NC, notochord; MES, mesenchyme; EPI, skinepidermis; DF, dorsal fin; VF, ventralfin. Values are expressed as means with N = 5 except for N1 NT and DF where N = 4. Error bars are -1SE. Significant differences (p < 0.05) between equivalent tissues in WT and N1 tails are marked â (Mann-Whitney U test). (H) Number of dividing cells in 0.1 mm square of blastema (BL) or 0.2 mm length of epithelium (EPI) in sections of amputated, regenerating wild type (WT) or N1 tails heat shocked after 2 days of regeneration and labelled with BrdU 4 h later for 20 h. Values are expressed as means with N = 6 for all sets. Error bars are -1SE. Significant differences (p < 0.05) between equivalent tissues in WT and N1 tails are marked â (Mann-Whitney U test).