Click here to close Hello! We notice that you are using Internet Explorer, which is not supported by Xenbase and may cause the site to display incorrectly. We suggest using a current version of Chrome, FireFox, or Safari.

Summary Expression Phenotypes Gene Literature (3) GO Terms (11) Nucleotides (286) Proteins (91) Interactants (155) Wiki
XB-GENEPAGE-5800191
???displayGene.symbol???:
 rrbp1

???displayGene.name???: 
ribosome binding protein 1

???displayGene.synonyms???
( Nomenclature history )

???displayGene.geneFunction???
Projectin/twitchin and related proteins

Protein Function :


InterPro :
RRBP1, Rib rcpt KP

???displayGene.geneInteractants???
Loading ...

Diseases: 


External Links:
1/6
 
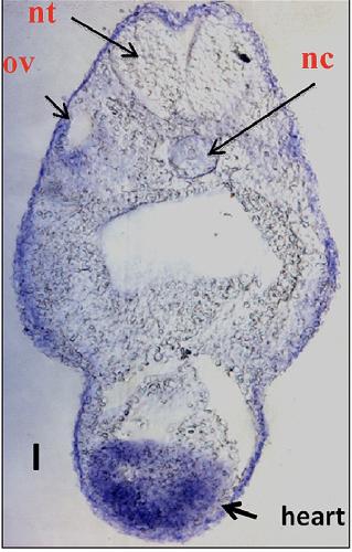
???displayGene.expression???                  Development Stages                                               Embryonic Tissues                                                                Adult Tissues
More Information
Xenbase Expression Details In situ images Single cell data at SPRING In situ: RNA-Seq:


Symbol legend: Blast sequence    View sequence    Literature or expression images   Hover cursor for info