|
XB-GENEPAGE-992390
Gene Symbol: mrpl24
Gene Name: mitochondrial ribosomal protein L24
|
Anatomy terms
|
| brain endomesoderm head intestine Keller explant limb oocyte pancreas skeletal muscle tail testis thymus whole organism |
| RNA-Seq and EST Transcriptome profiles | ???displayGene.tropicalis??? | ???displayGene.laevis???.L | ???displayGene.laevis???.S |
| RNA-Seq stage profile | Data from Owens et al. 2016 | Data from Session et al. 2016 | Data from Session et al. 2016 |
| ???displayGene.geoData??? | mrpl24.L | mrpl24.S | |
| Microarray Data | Data from Yanai et al. 2011 | Data from Yanai et al. 2011 | Data from Yanai et al. 2011 |
| Stage and Tissue Profiles | ||||||||
|
|
|
||||||
| Experimental Regulation (via RNA-seq) | ||
|
| ||
| Source: Ding et al. 2017 (laevis) | ||
| Literature Images | Sort by: |
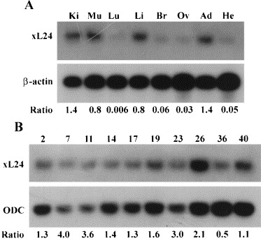
NF stage 1 to NF stage 66 Kousteni, et al. 1999 |
