|
XB-GENEPAGE-5763103
Gene Symbol: aifm3
Gene Name: AIF family member 3
|
Anatomy terms
|
| brain cement gland diencephalon eye forebrain hindbrain intestine midbrain pineal gland retina spinal cord whole organism |
|
Anatomy stages
|
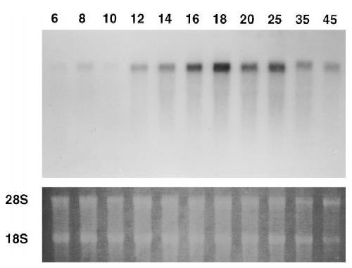
| NF stage 6 (32-cell) to adult frog stage |
| RNA-Seq and EST Transcriptome profiles | ???displayGene.tropicalis??? | ???displayGene.laevis???.L | ???displayGene.laevis???.S |
| RNA-Seq stage profile | Data from Owens et al. 2016 | Data from Session et al. 2016 | Data from Session et al. 2016 |
| ???displayGene.geoData??? | aifm3.L | aifm3.S | |
| Microarray Data | Data from Yanai et al. 2011 | Data from Yanai et al. 2011 | Data from Yanai et al. 2011 |
| Stage and Tissue Profiles | ||||||||
|
|
|
||||||
| Experimental Regulation (via RNA-seq) | ||
|
| ||
| Source: Ding et al. 2017 (laevis) | ||
| Literature Images | Sort by: |
NF stage 6 (32-cell) to NF stage 45 Hatada, et al. 1997 |
