|
XB-GENEPAGE-1017476
Gene Symbol: dio2
Gene Name: deiodinase, iodothyronine, type 2
|
Anatomy stages
|
| NF stage 2 (2-cell) to NF stage 66 |
| RNA-Seq and EST Transcriptome profiles | ???displayGene.tropicalis??? | ???displayGene.laevis???.L | ???displayGene.laevis???.S |
| RNA-Seq stage profile | Data from Session et al. 2016 | Data from Session et al. 2016 | |
| ???displayGene.geoData??? | dio2.L | dio2.S |
| Stage and Tissue Profiles | ||||||||
|
|
|
||||||
| Experimental Regulation (via RNA-seq) | ||
|
| ||
| Source: Ding et al. 2017 (laevis) | ||
| Literature Images | Sort by: |
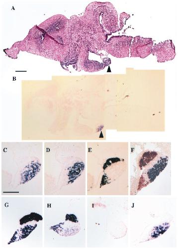
NF stage 35 and 36 Cai, et al. 2004 | NF stage 2 (2-cell) to NF stage 43 Tindall, et al. 2007 | NF stage 51 Cai, et al. 2004 | NF stage 52 Cai, et al. 2004 | NF stage 62 Huang, et al. 2001 | 5 more [+] |
