Click here to close Hello! We notice that you are using Internet Explorer, which is not supported by Xenbase and may cause the site to display incorrectly. We suggest using a current version of Chrome, FireFox, or Safari.

Profile Publications (36)
XB-PERS-832

Publications By Matt J Guille

???pagination.result.count???

???pagination.result.page??? 1


Monoallelic de novo variants in DDX17 cause a neurodevelopmental disorder., Seaby EG, Godwin A, Meyer-Dilhet G, Clerc V, Grand X, Fletcher T, Monteiro L, Kerkhofs M, Carelli V, Palombo F, Seri M, Olivucci G, Grippa M, Ciaccio C, D'Arrigo S, Iascone M, Bermudez M, Fischer J, Di Donato N, Goesswein S, Leung ML, Koboldt DC, Myers C, Arnadottir GA, Stefansson K, Sulem P, Goldberg EM, Bruel AL, Tran Mau Them F, Willems M, Bjornsson HT, Hognason HB, Thorolfsdottir ET, Agolini E, Novelli A, Zampino G, Onesimo R, Lachlan K, Baralle D, Rehm HL, O'Donnell-Luria A, Courchet J, Guille M, Bourgeois CF, Ennis S., Brain. October 15, 2024;   


Modelling human genetic disorders in Xenopus tropicalis., Willsey HR, Seaby EG, Godwin A, Ennis S, Guille M, Grainger RM., Dis Model Mech. May 1, 2024; 17 (5):   


I-SceI-Mediated Transgenesis in Xenopus., Noble A, Abu-Daya A, Guille MJ., Cold Spring Harb Protoc. June 24, 2022; 2022 (6): Pdb.prot107011.


Modeling Human Genetic Disorders with CRISPR Technologies in Xenopus., Willsey HR, Guille M, Grainger RM., Cold Spring Harb Protoc. March 1, 2022; 2022 (3):


Cryopreservation of Xenopus Sperm and In Vitro Fertilization Using Frozen Sperm Samples., Noble A, Abu-Daya A, Guille M., Cold Spring Harb Protoc. February 1, 2022; 2022 (2):


ALISA: A microplate assay to measure protein thiol redox state., Noble A, Guille M, Cobley JN., Free Radic Biol Med. October 1, 2021; 174 272-280.   


Anaplastic lymphoma kinase (alk), a neuroblastoma associated gene, is expressed in neural crest domains during embryonic development of Xenopus., Moreno MM, Barrell WB, Godwin A, Guille M, Liu KJ., Gene Expr Patterns. June 19, 2021; 40 119183.   


Biallelic variants in COPB1 cause a novel, severe intellectual disability syndrome with cataracts and variable microcephaly., Macken WL, Godwin A, Wheway G, Stals K, Nazlamova L, Ellard S, Alfares A, Aloraini T, AlSubaie L, Alfadhel M, Alajaji S, Wai HA, Self J, Douglas AGL, Kao AP, Guille M, Baralle D., Genome Med. February 25, 2021; 13 (1): 34.   


The skin microbiome of Xenopus laevis and the effects of husbandry conditions., Piccinni MZ, Watts JEM, Fourny M, Guille M, Robson SC., Anim Microbiome. February 5, 2021; 3 (1): 17.   


Confirming Antibody Specificity in Xenopus., Martin SA, Page SJ, Piccinni MZ, Guille MJ., Cold Spring Harb Protoc. December 1, 2020; 2020 (12):


Raising Antibodies for Use in Xenopus., Piccinni MZ, Guille MJ., Cold Spring Harb Protoc. September 1, 2020; 2020 (9): 105585.


Purifying Antibodies Raised against Xenopus Peptides., Piccinni MZ, Guille MJ., Cold Spring Harb Protoc. September 1, 2020; 2020 (9): 105619.


Assessing the Immune Response When Raising Antibodies for Use in Xenopus., Piccinni MZ, Guille MJ., Cold Spring Harb Protoc. September 1, 2020; 2020 (9): 105593.


Using HDR and a template to introduce an in-frame HA tag on the 3'' end of the Xenopus laevis gata2.L open reading frame., Piccinni M, Sharpe C, Guille M., MicroPubl Biol. September 17, 2019; 2019   


Xenopus Resources: Transgenic, Inbred and Mutant Animals, Training Opportunities, and Web-Based Support., Horb M, Wlizla M, Abu-Daya A, McNamara S, Gajdasik D, Igawa T, Suzuki A, Ogino H, Noble A, Centre de Ressource Biologique Xenope team in France, Robert J, James-Zorn C, Guille M., Front Physiol. January 1, 2019; 10 387.   


Adipose tissue macrophages develop from bone marrow-independent progenitors in Xenopus laevis and mouse., Hassnain Waqas SF, Noble A, Hoang AC, Ampem G, Popp M, Strauß S, Guille M, Röszer T., J Leukoc Biol. September 1, 2017; 102 (3): 845-855.   


Effects of freezing and activation on membrane quality and DNA damage in Xenopus tropicalis and Xenopus laevis spermatozoa., Morrow S, Gosálvez J, López-Fernández C, Arroyo F, Holt WV, Guille MJ., Reprod Fertil Dev. August 1, 2017; 29 (8): 1556-1566.


An optimized method for cryogenic storage of Xenopus sperm to maximise the effectiveness of research using genetically altered frogs., Pearl E, Morrow S, Noble A, Lerebours A, Horb M, Guille M., Theriogenology. April 1, 2017; 92 149-155.   


A newly identified Rab-GDI paralogue has a role in neural development in amphibia., Nazlamova L, Noble A, Schubert FR, McGeehan J, Myers F, Guille M, Scarlett G., Gene. January 30, 2017; 599 78-86.   


Inbreeding Ratio and Genetic Relationships among Strains of the Western Clawed Frog, Xenopus tropicalis., Igawa T, Watanabe A, Suzuki A, Kashiwagi A, Kashiwagi K, Noble A, Guille M, Simpson DE, Horb ME, Fujii T, Sumida M., PLoS One. July 16, 2015; 10 (7): e0133963.   


Chytrid fungus infections in laboratory and introduced Xenopus laevis populations: assessing the risks for U.K. native amphibians., Tinsley RC, Coxhead PG, Stott LC, Tinsley MC, Piccinni MZ, Guille MJ., Biol Conserv. April 1, 2015; 184 380-388.   


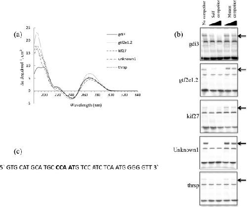
APTE: identification of indirect read-out A-DNA promoter elements in genomes., Whitley DC, Runfola V, Cary P, Nazlamova L, Guille M, Scarlett G., BMC Bioinformatics. August 26, 2014; 15 288.   


Development of Xenopus resource centers: the National Xenopus Resource and the European Xenopus Resource Center., Pearl EJ, Grainger RM, Guille M, Horb ME., Genesis. March 1, 2012; 50 (3): 155-63.


pTransgenesis: a cross-species, modular transgenesis resource., Love NR, Thuret R, Chen Y, Ishibashi S, Sabherwal N, Paredes R, Alves-Silva J, Dorey K, Noble AM, Guille MJ, Sasai Y, Papalopulu N, Amaya E., Development. December 1, 2011; 138 (24): 5451-8.   


A-form DNA structure is a determinant of transcript levels from the Xenopus gata2 promoter in embryos., Llewellyn KJ, Cary PD, McClellan JA, Guille MJ, Scarlett GP., Biochim Biophys Acta. January 1, 2009; 1789 (11-12): 675-80.


Methylation of Xilf3 by Xprmt1b alters its DNA, but not RNA, binding activity., Cazanove O, Batut J, Scarlett G, Mumford K, Elgar S, Thresh S, Neant I, Moreau M, Guille M., Biochemistry. August 12, 2008; 47 (32): 8350-7.


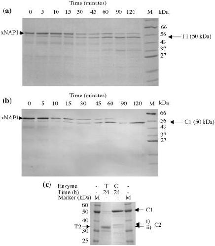
Identification of a structural and functional domain in xNAP1 involved in protein-protein interactions., Friedeberg C, Scarlett G, McGeehan J, Abu-Daya A, Guille M, Kneale G., Nucleic Acids Res. January 1, 2006; 34 (17): 4893-9.   


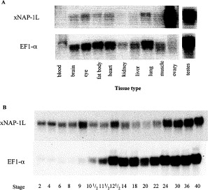
Zygotic nucleosome assembly protein-like 1 has a specific, non-cell autonomous role in hematopoiesis., Abu-Daya A, Steer WM, Trollope AF, Friedeberg CE, Patient RK, Thorne AW, Guille MJ., Blood. July 15, 2005; 106 (2): 514-20.


Intact RNA-binding domains are necessary for structure-specific DNA binding and transcription control by CBTF122 during Xenopus development., Scarlett GP, Elgar SJ, Cary PD, Noble AM, Orford RL, Kneale GG, Guille MJ., J Biol Chem. December 10, 2004; 279 (50): 52447-55.   


Xenopus nucleosome assembly protein becomes tissue-restricted during development and can alter the expression of specific genes., Steer WM, Abu-Daya A, Brickwood SJ, Mumford KL, Jordanaires N, Mitchell J, Robinson C, Thorne AW, Guille MJ., Mech Dev. September 1, 2003; 120 (9): 1045-57.   


The maternal CCAAT box transcription factor which controls GATA-2 expression is novel and developmentally regulated and contains a double-stranded-RNA-binding subunit., Orford RL, Robinson C, Haydon JM, Patient RK, Guille MJ., Mol Cell Biol. September 1, 1998; 18 (9): 5557-66.


Over-expression of GATA-6 in Xenopus embryos blocks differentiation of heart precursors., Gove C, Walmsley M, Nijjar S, Bertwistle D, Guille M, Partington G, Bomford A, Patient R., EMBO J. January 15, 1997; 16 (2): 355-68.


Nuclear translocation of a maternal CCAAT factor at the start of gastrulation activates Xenopus GATA-2 transcription., Brewer AC, Guille MJ, Fear DJ, Partington GA, Patient RK., EMBO J. February 15, 1995; 14 (4): 757-66.


Negative control of Xenopus GATA-2 by activin and noggin with eventual expression in precursors of the ventral blood islands., Walmsley ME, Guille MJ, Bertwistle D, Smith JC, Pizzey JA, Patient RK., Development. September 1, 1994; 120 (9): 2519-29.   


Overlapping sites for constitutive and induced DNA binding factors involved in interferon-stimulated transcription., Dale TC, Rosen JM, Guille MJ, Lewin AR, Porter AG, Kerr IM, Stark GR., EMBO J. March 1, 1989; 8 (3): 831-9.


The anti-oestrogen drug tamoxifen is an elongation inhibitor of eukaryotic protein biosynthesis., Guille MJ, Arnstein HR., FEBS Lett. October 20, 1986; 207 (1): 121-6.

???pagination.result.page??? 1