Click here to close Hello! We notice that you are using Internet Explorer, which is not supported by Xenbase and may cause the site to display incorrectly. We suggest using a current version of Chrome, FireFox, or Safari.

Profile Publications (102)
XB-PERS-740

Publications By Christof Niehrs

???pagination.result.count???

???pagination.result.page??? 1 2 3 ???pagination.result.next???


5-Formylcytosine is an activating epigenetic mark for RNA Pol III during zygotic reprogramming., Parasyraki E, Mallick M, Hatch V, Vastolo V, Musheev MU, Karaulanov E, Gopanenko A, Moxon S, Méndez-Lago M, Han D, Schomacher L, Mukherjee D, Niehrs C., Cell. August 17, 2024; 187 (21): 6088-6103.e18.


R-Spondin 2 governs Xenopus left-right body axis formation by establishing an FGF signaling gradient., Lee H, Camuto CM, Niehrs C., Nat Commun. February 2, 2024; 15 (1): 1003.   


DEAD box RNA helicases act as nucleotide exchange factors for casein kinase 2., Fatti E, Hirth A, Švorinić A, Günther M, Stier G, Cruciat CM, Acebrón SP, Papageorgiou D, Sinning I, Krijgsveld J, Höfer T, Niehrs C., Sci Signal. April 25, 2023; 16 (782): eabp8923.


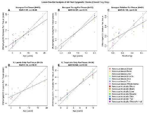
DNA methylation clocks for clawed frogs reveal evolutionary conservation of epigenetic aging., Zoller JA, Parasyraki E, Lu AT, Haghani A, Niehrs C, Horvath S., Geroscience. February 4, 2023; 46 (1): 945-960.   


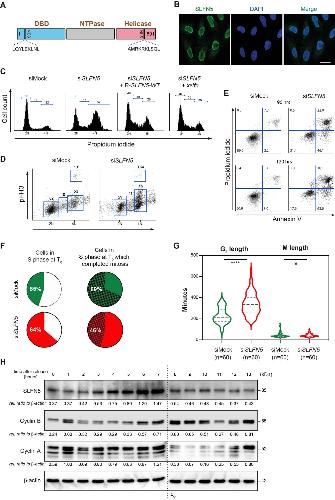
Human SLFN5 and its Xenopus Laevis ortholog regulate entry into mitosis and oocyte meiotic resumption., Vit G, Hirth A, Neugebauer N, Kraft BN, Sigismondo G, Cazzola A, Tessmer C, Duro J, Krijgsveld J, Hofmann I, Berger M, Klüter H, Niehrs C, Nilsson J, Krämer A., Cell Death Discov. December 8, 2022; 8 (1): 484.   


The role of Xenopus developmental biology in unraveling Wnt signalling and antero-posterior axis formation., Niehrs C., Dev Biol. February 1, 2022; 482 1-6.


Uncoupling the BMP receptor antagonist function from the WNT agonist function of R-spondin 2 using the inhibitory peptide dendrimer RWd., Lee H, Sun R, Niehrs C., J Biol Chem. February 1, 2022; 298 (2): 101586.   


Lessons from the Organizer - an interview with Edward (Eddy) M. De Robertis., Niehrs C., Int J Dev Biol. January 1, 2021; 65 (1-2-3): 111-122.


R-spondins are BMP receptor antagonists in Xenopus early embryonic development., Lee H, Seidl C, Sun R, Glinka A, Niehrs C., Nat Commun. November 4, 2020; 11 (1): 5570.   


The tumor suppressor PTPRK promotes ZNRF3 internalization and is required for Wnt inhibition in the Spemann organizer., Chang LS, Kim M, Glinka A, Reinhard C, Niehrs C., Elife. January 14, 2020; 9   


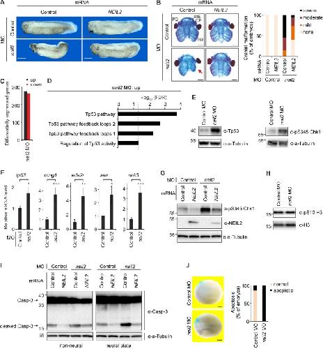
NEIL1 and NEIL2 DNA glycosylases protect neural crest development against mitochondrial oxidative stress., Han D, Schomacher L, Schüle KM, Mallick M, Musheev MU, Karaulanov E, Krebs L, von Seggern A, Niehrs C., Elife. September 30, 2019; 8   


Angiopoietin-like 4 Is a Wnt Signaling Antagonist that Promotes LRP6 Turnover., Kirsch N, Chang LS, Koch S, Glinka A, Dolde C, Colozza G, Benitez MDJ, De Robertis EM, Niehrs C., Dev Cell. October 9, 2017; 43 (1): 71-82.e6.   


Neil DNA glycosylases promote substrate turnover by Tdg during DNA demethylation., Schomacher L, Han D, Musheev MU, Arab K, Kienhöfer S, von Seggern A, Niehrs C., Nat Struct Mol Biol. February 1, 2016; 23 (2): 116-124.   


Morpholinos: Antisense and Sensibility., Blum M, De Robertis EM, Wallingford JB, Niehrs C., Dev Cell. October 26, 2015; 35 (2): 145-9.


Maternal Wnt/STOP signaling promotes cell division during early Xenopus embryogenesis., Huang YL, Anvarian Z, Döderlein G, Acebron SP, Niehrs C., Proc Natl Acad Sci U S A. May 5, 2015; 112 (18): 5732-7.   


Polarized Wnt signaling regulates ectodermal cell fate in Xenopus., Huang YL, Niehrs C., Dev Cell. April 28, 2014; 29 (2): 250-7.   


Herbert Steinbeisser: a life with the Xenopus embryo., De Robertis EM, Niehrs C., Int J Dev Biol. January 1, 2014; 58 (5): 299-302.


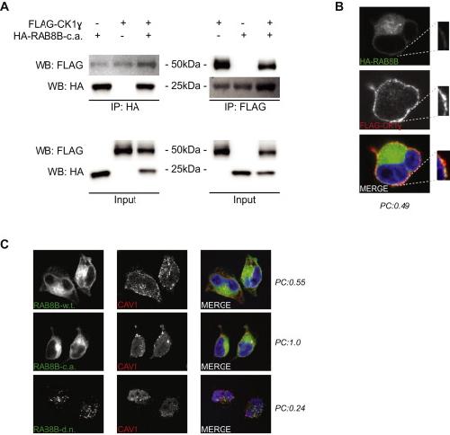
RAB8B is required for activity and caveolar endocytosis of LRP6., Demir K, Kirsch N, Beretta CA, Erdmann G, Ingelfinger D, Moro E, Argenton F, Carl M, Niehrs C, Boutros M., Cell Rep. September 26, 2013; 4 (6): 1224-34.   


RNA helicase DDX3 is a regulatory subunit of casein kinase 1 in Wnt-β-catenin signaling., Cruciat CM, Dolde C, de Groot RE, Ohkawara B, Reinhard C, Korswagen HC, Niehrs C., Science. March 22, 2013; 339 (6126): 1436-41.


Secreted and transmembrane wnt inhibitors and activators., Cruciat CM, Niehrs C., Cold Spring Harb Perspect Biol. March 1, 2013; 5 (3): a015081.


Mitotic and mitogenic Wnt signalling., Niehrs C, Acebron SP., EMBO J. June 13, 2012; 31 (12): 2705-13.


LGR4 and LGR5 are R-spondin receptors mediating Wnt/β-catenin and Wnt/PCP signalling., Glinka A, Dolde C, Kirsch N, Huang YL, Kazanskaya O, Ingelfinger D, Boutros M, Cruciat CM, Niehrs C., EMBO Rep. September 30, 2011; 12 (10): 1055-61.


Transmembrane protein 198 promotes LRP6 phosphorylation and Wnt signaling activation., Liang J, Fu Y, Cruciat CM, Jia S, Wang Y, Tong Z, Tao Q, Ingelfinger D, Boutros M, Meng A, Niehrs C, Wu W., Mol Cell Biol. July 1, 2011; 31 (13): 2577-90.


Negative feedback in the bone morphogenetic protein 4 (BMP4) synexpression group governs its dynamic signaling range and canalizes development., Paulsen M, Legewie S, Eils R, Karaulanov E, Niehrs C., Proc Natl Acad Sci U S A. June 21, 2011; 108 (25): 10202-7.   


Negative autoregulation of Oct3/4 through Cdx1 promotes the onset of gastrulation., Rousso SZ, Schyr RB, Gur M, Zouela N, Kot-Leibovich H, Shabtai Y, Koutsi-Urshanski N, Baldessari D, Pillemer G, Niehrs C, Fainsod A., Dev Dyn. April 1, 2011; 240 (4): 796-807.   


Rspo3 binds syndecan 4 and induces Wnt/PCP signaling via clathrin-mediated endocytosis to promote morphogenesis., Ohkawara B, Glinka A, Niehrs C., Dev Cell. March 15, 2011; 20 (3): 303-14.   


Gadd45a is an RNA binding protein and is localized in nuclear speckles., Sytnikova YA, Kubarenko AV, Schäfer A, Weber AN, Niehrs C., PLoS One. January 7, 2011; 6 (1): e14500.   


An ATF2-based luciferase reporter to monitor non-canonical Wnt signaling in Xenopus embryos., Ohkawara B, Niehrs C., Dev Dyn. January 1, 2011; 240 (1): 188-94.


Gadd45a and Gadd45g regulate neural development and exit from pluripotency in Xenopus., Kaufmann LT, Niehrs C., Mech Dev. January 1, 2011; 128 (7-10): 401-11.   


Gemcitabine functions epigenetically by inhibiting repair mediated DNA demethylation., Schäfer A, Schomacher L, Barreto G, Döderlein G, Niehrs C., PLoS One. November 19, 2010; 5 (11): e14060.   


Wnt/Frizzled signaling requires dPRR, the Drosophila homolog of the prorenin receptor., Buechling T, Bartscherer K, Ohkawara B, Chaudhary V, Spirohn K, Niehrs C, Boutros M., Curr Biol. July 27, 2010; 20 (14): 1263-8.   


Xenopus skip modulates Wnt/beta-catenin signaling and functions in neural crest induction., Wang Y, Fu Y, Gao L, Zhu G, Liang J, Gao C, Huang B, Fenger U, Niehrs C, Chen YG, Wu W., J Biol Chem. April 2, 2010; 285 (14): 10890-901.   


Requirement of prorenin receptor and vacuolar H+-ATPase-mediated acidification for Wnt signaling., Cruciat CM, Ohkawara B, Acebron SP, Karaulanov E, Reinhard C, Ingelfinger D, Boutros M, Niehrs C., Science. January 22, 2010; 327 (5964): 459-63.


Cell cycle control of wnt receptor activation., Davidson G, Shen J, Huang YL, Su Y, Karaulanov E, Bartscherer K, Hassler C, Stannek P, Boutros M, Niehrs C., Dev Cell. December 1, 2009; 17 (6): 788-99.   


Unc5B interacts with FLRT3 and Rnd1 to modulate cell adhesion in Xenopus embryos., Karaulanov E, Böttcher RT, Stannek P, Wu W, Rau M, Ogata S, Cho KW, Niehrs C., PLoS One. May 29, 2009; 4 (5): e5742.   


The Wnt signaling regulator R-spondin 3 promotes angioblast and vascular development., Kazanskaya O, Ohkawara B, Heroult M, Wu W, Maltry N, Augustin HG, Niehrs C., Development. November 1, 2008; 135 (22): 3655-64.   


Dkk3 is required for TGF-beta signaling during Xenopus mesoderm induction., Pinho S, Niehrs C., Differentiation. December 1, 2007; 75 (10): 957-67.   


Kremen is required for neural crest induction in Xenopus and promotes LRP6-mediated Wnt signaling., Hassler C, Cruciat CM, Huang YL, Kuriyama S, Mayor R, Niehrs C., Development. December 1, 2007; 134 (23): 4255-63.   


Neural crests are actively precluded from the anterior neural fold by a novel inhibitory mechanism dependent on Dickkopf1 secreted by the prechordal mesoderm., Carmona-Fontaine C, Acuña G, Ellwanger K, Niehrs C, Mayor R., Dev Biol. September 15, 2007; 309 (2): 208-21.   


TGF-beta signaling-mediated morphogenesis: modulation of cell adhesion via cadherin endocytosis., Ogata S, Morokuma J, Hayata T, Kolle G, Niehrs C, Ueno N, Cho KW., Genes Dev. July 15, 2007; 21 (14): 1817-31.   


Dickkopf-1 regulates gastrulation movements by coordinated modulation of Wnt/beta catenin and Wnt/PCP activities, through interaction with the Dally-like homolog Knypek., Caneparo L, Huang YL, Staudt N, Tada M, Ahrendt R, Kazanskaya O, Niehrs C, Houart C., Genes Dev. February 15, 2007; 21 (4): 465-80.


Gadd45a promotes epigenetic gene activation by repair-mediated DNA demethylation., Barreto G, Schäfer A, Marhold J, Stach D, Swaminathan SK, Handa V, Döderlein G, Maltry N, Wu W, Lyko F, Niehrs C., Nature. February 8, 2007; 445 (7128): 671-5.


Function and biological roles of the Dickkopf family of Wnt modulators., Niehrs C., Oncogene. December 4, 2006; 25 (57): 7469-81.


The MRH protein Erlectin is a member of the endoplasmic reticulum synexpression group and functions in N-glycan recognition., Cruciat CM, Hassler C, Niehrs C., J Biol Chem. May 5, 2006; 281 (18): 12986-93.   


An ancient Wnt-Dickkopf antagonism in Hydra., Guder C, Pinho S, Nacak TG, Schmidt HA, Hobmayer B, Niehrs C, Holstein TW., Development. March 1, 2006; 133 (5): 901-11.


A role for fibronectin-leucine-rich transmembrane cell-surface proteins in homotypic cell adhesion., Karaulanov EE, Böttcher RT, Niehrs C., EMBO Rep. March 1, 2006; 7 (3): 283-90.


Casein kinase 1 gamma couples Wnt receptor activation to cytoplasmic signal transduction., Davidson G, Wu W, Shen J, Bilic J, Fenger U, Stannek P, Glinka A, Niehrs C., Nature. December 8, 2005; 438 (7069): 867-72.


Global gene expression profiling and cluster analysis in Xenopus laevis., Baldessari D, Shin Y, Krebs O, König R, Koide T, Vinayagam A, Fenger U, Mochii M, Terasaka C, Kitayama A, Peiffer D, Ueno N, Eils R, Cho KW, Niehrs C., Mech Dev. March 1, 2005; 122 (3): 441-75.


An atlas of differential gene expression during early Xenopus embryogenesis., Pollet N, Muncke N, Verbeek B, Li Y, Fenger U, Delius H, Niehrs C., Mech Dev. March 1, 2005; 122 (3): 365-439.   


R-Spondin2 is a secreted activator of Wnt/beta-catenin signaling and is required for Xenopus myogenesis., Kazanskaya O, Glinka A, del Barco Barrantes I, Stannek P, Niehrs C, Wu W., Dev Cell. October 1, 2004; 7 (4): 525-34.   

???pagination.result.page??? 1 2 3 ???pagination.result.next???