Click here to close Hello! We notice that you are using Internet Explorer, which is not supported by Xenbase and may cause the site to display incorrectly. We suggest using a current version of Chrome, FireFox, or Safari.

Profile Publications (70)
XB-PERS-712

Publications By Hugh Woodland (retired)

???pagination.result.count???

???pagination.result.page??? 1 2 ???pagination.result.next???


Localisation of RNAs into the germ plasm of vitellogenic Xenopus oocytes., Nijjar S, Woodland HR., PLoS One. January 1, 2013; 8 (4): e61847.   


Protein interactions in Xenopus germ plasm RNP particles., Nijjar S, Woodland HR., PLoS One. January 1, 2013; 8 (11): e80077.   


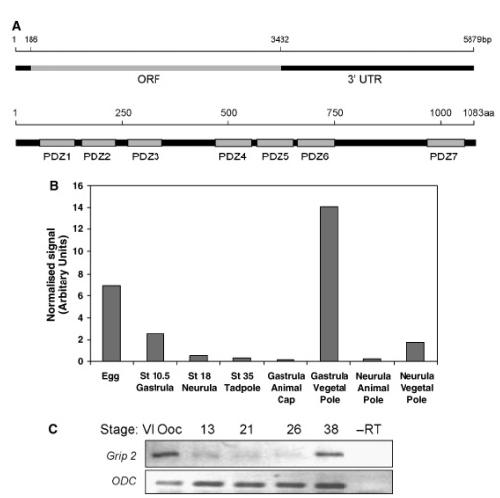
The efficiency of Xenopus primordial germ cell migration depends on the germplasm mRNA encoding the PDZ domain protein Grip2., Kirilenko P, Weierud FK, Zorn AM, Woodland HR., Differentiation. April 1, 2008; 76 (4): 392-403.   


Pix1 and Pix2 are novel WD40 microtubule-associated proteins that colocalize with mitochondria in Xenopus germ plasm and centrosomes in human cells., Hames RS, Hames R, Prosser SL, Euteneuer U, Lopes CA, Moore W, Woodland HR, Fry AM., Exp Cell Res. February 1, 2008; 314 (3): 574-89.


Pix proteins and the evolution of centrioles., Woodland HR, Fry AM., PLoS One. January 1, 2008; 3 (11): e3778.   


Regulation of the Xenopus Xsox17alpha(1) promoter by co-operating VegT and Sox17 sites., Howard L, Rex M, Clements D, Woodland HR., Dev Biol. October 15, 2007; 310 (2): 402-15.   


The protein encoded by the germ plasm RNA Germes associates with dynein light chains and functions in Xenopus germline development., Berekelya LA, Mikryukov AA, Luchinskaya NN, Ponomarev MB, Woodland HR, Belyavsky AV., Differentiation. July 1, 2007; 75 (6): 546-58.   


Global analysis of the transcriptional network controlling Xenopus endoderm formation., Sinner D, Kirilenko P, Rankin S, Wei E, Howard L, Kofron M, Heasman J, Woodland HR, Zorn AM., Development. May 1, 2006; 133 (10): 1955-66.   


Xenopus Xpat protein is a major component of germ plasm and may function in its organisation and positioning., Machado RJ, Moore W, Hames R, Houliston E, Chang P, King ML, Woodland HR., Dev Biol. November 15, 2005; 287 (2): 289-300.   


Early endodermal expression of the Xenopus Endodermin gene is driven by regulatory sequences containing essential Sox protein-binding elements., Ahmed N, Howard L, Woodland HR., Differentiation. April 1, 2004; 72 (4): 171-84.   


VegT induces endoderm by a self-limiting mechanism and by changing the competence of cells to respond to TGF-beta signals., Clements D, Woodland HR., Dev Biol. June 15, 2003; 258 (2): 454-63.   


Redundant early and overlapping larval roles of Xsox17 subgroup genes in Xenopus endoderm development., Clements D, Cameleyre I, Woodland HR., Mech Dev. March 1, 2003; 120 (3): 337-48.   


Changes in embryonic cell fate produced by expression of an endodermal transcription factor, Xsox17., Clements D, Woodland HR., Mech Dev. December 1, 2000; 99 (1-2): 65-70.   


Mode of action of VegT in mesoderm and endoderm formation., Clements D, Friday RV, Woodland HR., Development. November 1, 1999; 126 (21): 4903-11.


Xpat, a gene expressed specifically in germ plasm and primordial germ cells of Xenopus laevis., Hudson C, Woodland HR., Mech Dev. May 1, 1998; 73 (2): 159-68.   


Involvement of NF-kappaB associated proteins in FGF-mediated mesoderm induction., Beck CW, Sutherland DJ, Woodland HR., Int J Dev Biol. January 1, 1998; 42 (1): 67-77.   


Xsox17alpha and -beta mediate endoderm formation in Xenopus., Hudson C, Clements D, Friday RV, Stott D, Woodland HR., Cell. October 31, 1997; 91 (3): 397-405.   


N-acetyl-cysteine causes a late re-specification of the anteroposterior axis in the Xenopus embryo., Gatherer D, Woodland HR., Dev Dyn. April 1, 1996; 205 (4): 395-409.


Developmental effects of over-expression of normal and mutated forms of a Xenopus NF-kappa B homologue., Richardson JC, Gatherer D, Woodland HR., Mech Dev. August 1, 1995; 52 (2-3): 165-77.


XrelA, a Xenopus maternal and zygotic homologue of the p65 subunit of NF-kappa B. Characterisation of transcriptional properties in the developing embryo and identification of a negative interference mutant., Richardson JC, Garcia Estrabot AM, Woodland HR., Mech Dev. February 1, 1994; 45 (2): 173-89.


The MyoD binding site is dispensable for cardiac actin gene expression in the somites of later stage Xenopus embryos., Su XL, Woodland HR., FEBS Lett. November 29, 1993; 335 (1): 41-6.


Determination of the sequence requirements for the expression of a Xenopus borealis embryonic/larval skeletal actin gene., Lakin ND, Boardman M, Woodland HR., Eur J Biochem. June 1, 1993; 214 (2): 425-35.


The possible role of mesodermal growth factors in the formation of endoderm inXenopus laevis., Jones EA, Abel MH, Woodland HR., Rouxs Arch Dev Biol. April 1, 1993; 202 (4): 233-239.


Regulation of expression of a Xenopus borealis embryonic/larval alpha 3 skeletal-actin gene., Boardman M, Cross GS, Jones EA, Woodland HR., Eur J Biochem. September 1, 1992; 208 (2): 241-9.


Mutational analysis of the galactose binding ability of recombinant ricin B chain., Wales R, Richardson PT, Roberts LM, Woodland HR, Lord JM., J Biol Chem. October 15, 1991; 266 (29): 19172-9.


The effects of N-glycosylation on the lectin activity of recombinant ricin B chain., Richardson PT, Hussain K, Woodland HR, Lord JM, Roberts LM., Carbohydr Res. June 25, 1991; 213 19-25.


Regulation of protein synthesis in early amphibian development., Woodland HR., J Reprod Fertil Suppl. January 1, 1990; 42 215-24.


Mesoderm formation in Xenopus., Woodland HR., Cell. December 1, 1989; 59 (5): 767-70.


Spatial aspects of neural induction in Xenopus laevis., Jones EA, Woodland HR., Development. December 1, 1989; 107 (4): 785-91.   


Mesoderm induction in the future tail region of Xenopus., Woodland HR, Jones EA., Rouxs Arch Dev Biol. December 1, 1988; 197 (7): 441-446.


The organisation and expression of histone genes from Xenopus borealis., Turner PC, Bagenal EB, Vlad MT, Woodland HR., Nucleic Acids Res. April 25, 1988; 16 (8): 3471-85.


Cytoskeletal actin gene families of Xenopus borealis and Xenopus laevis., Cross GS, Wilson C, Erba HP, Woodland HR., J Mol Evol. January 1, 1988; 27 (1): 17-28.


The development of an assay to detect mRNAs that affect early development., Woodland HR, Jones EA., Development. December 1, 1987; 101 (4): 925-30.


Tissue-specific expression of actin genes injected into Xenopus embryos., Wilson C, Cross GS, Woodland HR., Cell. November 21, 1986; 47 (4): 589-99.


Development of the ectoderm in Xenopus: tissue specification and the role of cell association and division., Jones EA, Woodland HR., Cell. January 31, 1986; 44 (2): 345-55.   


Polyadenylation of histone mRNA in Xenopus oocytes and embryos., Ballantine JE, Woodland HR., FEBS Lett. January 28, 1985; 180 (2): 224-8.


Are there major developmentally regulated H4 gene classes in Xenopus?, Woodland HR, Warmington JR, Ballantine JE, Turner PC., Nucleic Acids Res. June 25, 1984; 12 (12): 4939-58.


Nucleotide sequences of H1 histone genes from Xenopus laevis. A recently diverged pair of H1 genes and an unusual H1 pseudogene., Turner PC, Aldridge TC, Woodland HR, Old RW., Nucleic Acids Res. June 25, 1983; 11 (12): 4093-107.


Histone gene number and organisation in Xenopus: Xenopus borealis has a homogeneous major cluster., Turner PC, Woodland HR., Nucleic Acids Res. February 25, 1983; 11 (4): 971-86.


Organization and expression of cloned histone gene clusters from Xenopus laevis and X. borealis., Old RW, Woodland HR, Ballantine JE, Aldridge TC, Newton CA, Bains WA, Turner PC., Nucleic Acids Res. December 11, 1982; 10 (23): 7561-80.


The DNase I sensitivity of Xenopus laevis genes transcribed by RNA polymerase III., Coveney J, Woodland HR., Nature. August 5, 1982; 298 (5874): 578-80.


The translational control phase of early development., Woodland H., Biosci Rep. July 1, 1982; 2 (7): 471-91.


H3 and H4 histone cDNA sequences from Xenopus: a sequence comparison of H4 genes., Turner PC, Woodland HR., Nucleic Acids Res. June 25, 1982; 10 (12): 3769-80.


Stability of non-polyadenylated viral mRNAs injected into frog oocytes., McCrae MA, Woodland HR., Eur J Biochem. June 1, 1981; 116 (3): 467-70.


Paternal gene expression in developing hybrid embryos of Xenopus laevis and Xenopus borealis., Woodland HR, Ballantine JE., J Embryol Exp Morphol. December 1, 1980; 60 359-72.


Histone synthesis during the development of Xenopus., Woodland HR., FEBS Lett. November 17, 1980; 121 (1): 1-10.


Actin synthesis during the early development of Xenopus laevis., Sturgess EA, Ballantine JE, Woodland HR, Mohun PR, Lane CD, Dimitriadis GJ., J Embryol Exp Morphol. August 1, 1980; 58 303-20.


The stability and translation of sea urchin histone messenger RNA molecules injected into Xenopus laevis eggs and developing embryos., Woodland HR, Wilt FH., Dev Biol. March 1, 1980; 75 (1): 214-21.


The functional stability of sea urchin histone mRNA injected into oocytes of Xenopus laevis., Woodland HR, Wilt FH., Dev Biol. March 1, 1980; 75 (1): 199-213.


The synthesis of histone H1 during early amphibian development., Flynn JM, Woodland HR., Dev Biol. March 1, 1980; 75 (1): 222-30.

???pagination.result.page??? 1 2 ???pagination.result.next???