Click here to close Hello! We notice that you are using Internet Explorer, which is not supported by Xenbase and may cause the site to display incorrectly. We suggest using a current version of Chrome, FireFox, or Safari.

Profile Publications (11)
XB-PERS-674

Publications By Daniel W. Seufert

???pagination.result.count???

???pagination.result.page??? 1


Expression of a novel Ski-like gene in Xenopus development., Seufert DW, Hegde RS, Nekkalapudi S, Kelly LE, El-Hodiri HM., Gene Expr Patterns. December 1, 2005; 6 (1): 22-8.   


Xenopus aristaless-related homeobox (xARX) gene product functions as both a transcriptional activator and repressor in forebrain development., Seufert DW, Prescott NL, El-Hodiri HM., Dev Dyn. February 1, 2005; 232 (2): 313-24.   


Xenopus laevis FoxE1 is primarily expressed in the developing pituitary and thyroid., El-Hodiri HM, Seufert DW, Nekkalapudi S, Prescott NL, Kelly LE, Jamrich M., Int J Dev Biol. January 1, 2005; 49 (7): 881-4.   


The Xenopus arx gene is expressed in the developing rostral forebrain., El-Hodiri HM, Qi XL, Seufert DW., Dev Genes Evol. January 1, 2003; 212 (12): 608-12.


p68, a DEAD-box RNA helicase, is expressed in chordate embryo neural and mesodermal tissues., Seufert DW, Kos R, Erickson CA, Swalla BJ., J Exp Zool. October 15, 2000; 288 (3): 193-204.


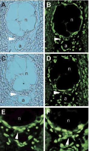
Endoderm patterning by the notochord: development of the hypochord in Xenopus., Cleaver O, Seufert DW, Krieg PA., Development. February 1, 2000; 127 (4): 869-79.   


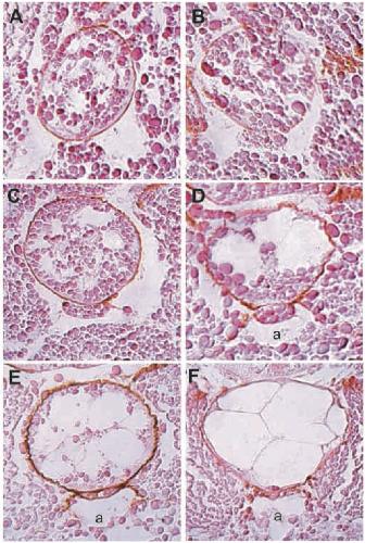
Developmental basis of pronephric defects in Xenopus body plan phenotypes., Seufert DW, Brennan HC, DeGuire J, Jones EA, Vize PD., Dev Biol. November 15, 1999; 215 (2): 233-42.   


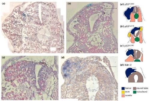
p53 activity is essential for normal development in Xenopus., Wallingford JB, Seufert DW, Virta VC, Vize PD., Curr Biol. October 1, 1997; 7 (10): 747-57.   


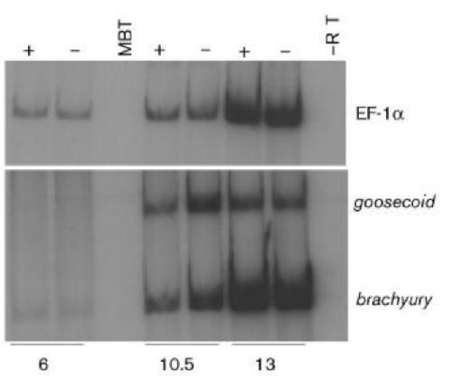
Model systems for the study of kidney development: use of the pronephros in the analysis of organ induction and patterning., Vize PD, Seufert DW, Carroll TJ, Wallingford JB., Dev Biol. August 15, 1997; 188 (2): 189-204.


Type II collagen distribution during cranial development in Xenopus laevis., Seufert DW, Hanken J, Klymkowsky MW., Anat Embryol (Berl). January 1, 1994; 189 (1): 81-9.


Tissue interactions involving cranial neural crest in cartilage formation in Xenopus laevis (Daudin)., Seufert DW, Hall BK., Cell Differ Dev. December 1, 1990; 32 (2): 153-65.

???pagination.result.page??? 1