Click here to close Hello! We notice that you are using Internet Explorer, which is not supported by Xenbase and may cause the site to display incorrectly. We suggest using a current version of Chrome, FireFox, or Safari.

Profile Publications (48)
XB-PERS-666

Publications By Tom D Sargent

???pagination.result.count???

???pagination.result.page??? 1


Myosin-X is required for cranial neural crest cell migration in Xenopus laevis., Hwang YS, Luo T, Xu Y, Sargent TD., Dev Dyn. October 1, 2009; 238 (10): 2522-9.   


Inca: a novel p21-activated kinase-associated protein required for cranial neural crest development., Luo T, Xu Y, Hoffman TL, Zhang T, Schilling T, Sargent TD., Development. April 1, 2007; 134 (7): 1279-89.   


Expression of TFAP2beta and TFAP2gamma genes in Xenopus laevis., Zhang Y, Luo T, Sargent TD., Gene Expr Patterns. August 1, 2006; 6 (6): 589-95.   


PCNS: a novel protocadherin required for cranial neural crest migration and somite morphogenesis in Xenopus., Rangarajan J, Luo T, Sargent TD., Dev Biol. July 1, 2006; 295 (1): 206-18.   


Msx1 and Msx2 have shared essential functions in neural crest but may be dispensable in epidermis and axis formation in Xenopus., Khadka D, Luo T, Sargent TD., Int J Dev Biol. January 1, 2006; 50 (5): 499-502.   


Transcriptional regulation at the neural plate border., Sargent TD., Adv Exp Med Biol. January 1, 2006; 589 32-44.


Regulatory targets for transcription factor AP2 in Xenopus embryos., Luo T, Zhang Y, Khadka D, Rangarajan J, Cho KW, Sargent TD., Dev Growth Differ. August 1, 2005; 47 (6): 403-13.   


AP-2alpha selectively regulates fragile X mental retardation-1 gene transcription during embryonic development., Lim JH, Booker AB, Luo T, Williams T, Furuta Y, Lagutin O, Oliver G, Sargent TD, Fallon JR., Hum Mol Genet. July 15, 2005; 14 (14): 2027-34.   


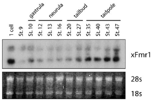
Developmental expression of Xenopus fragile X mental retardation-1 gene., Lim JH, Luo T, Sargent TD, Fallon JR., Int J Dev Biol. January 1, 2005; 49 (8): 981-4.   


Specification of the otic placode depends on Sox9 function in Xenopus., Saint-Germain N, Lee YH, Zhang Y, Sargent TD, Saint-Jeannet JP., Development. April 1, 2004; 131 (8): 1755-63.   


Induction of neural crest in Xenopus by transcription factor AP2alpha., Luo T, Lee YH, Saint-Jeannet JP, Sargent TD., Proc Natl Acad Sci U S A. January 21, 2003; 100 (2): 532-7.   


Transcription factor AP-2 is an essential and direct regulator of epidermal development in Xenopus., Luo T, Matsuo-Takasaki M, Thomas ML, Weeks DL, Sargent TD., Dev Biol. May 1, 2002; 245 (1): 136-44.   


Distinct roles for Distal-less genes Dlx3 and Dlx5 in regulating ectodermal development in Xenopus., Luo T, Matsuo-Takasaki M, Sargent TD., Mol Reprod Dev. November 1, 2001; 60 (3): 331-7.


Differential regulation of Dlx gene expression by a BMP morphogenetic gradient., Luo T, Matsuo-Takasaki M, Lim JH, Sargent TD., Int J Dev Biol. June 1, 2001; 45 (4): 681-4.   


Regulation and function of Dlx3 in vertebrate development., Beanan MJ, Sargent TD., Dev Dyn. August 1, 2000; 218 (4): 545-53.   


Cloning and expression of a novel zinc finger gene, Fez, transcribed in the forebrain of Xenopus and mouse embryos., Matsuo-Takasaki M, Lim JH, Beanan MJ, Sato SM, Sargent TD., Mech Dev. May 1, 2000; 93 (1-2): 201-4.   


Regulation of early expression of Dlx3, a Xenopus anti-neural factor, by beta-catenin signaling., Beanan MJ, Feledy JA, Sargent TD., Mech Dev. March 1, 2000; 91 (1-2): 227-35.   


Inhibitory patterning of the anterior neural plate in Xenopus by homeodomain factors Dlx3 and Msx1., Feledy JA, Beanan MJ, Sandoval JJ, Goodrich JS, Lim JH, Matsuo-Takasaki M, Sato SM, Sargent TD., Dev Biol. August 15, 1999; 212 (2): 455-64.   


Transcriptional activation by the homeodomain protein distal-less 3., Feledy JA, Morasso MI, Jang SI, Sargent TD., Nucleic Acids Res. February 1, 1999; 27 (3): 764-70.


Molecular cloning of Xenopus hatching enzyme and its specific expression in hatching gland cells., Katagiri C, Maeda R, Yamashika C, Mita K, Sargent TD, Yasumasu S., Int J Dev Biol. February 1, 1997; 41 (1): 19-25.   


Disruption of cell adhesion in Xenopus embryos by Pagliaccio, an Eph-class receptor tyrosine kinase., Winning RS, Scales JB, Sargent TD., Dev Biol. November 1, 1996; 179 (2): 309-19.


Novel members of the eph receptor tyrosine kinase subfamily expressed during Xenopus development., Scales JB, Winning RS, Renaud CS, Shea LJ, Sargent TD., Oncogene. November 2, 1995; 11 (9): 1745-52.


A Xenopus distal-less gene in transgenic mice: conserved regulation in distal limb epidermis and other sites of epithelial-mesenchymal interaction., Morasso MI, Mahon KA, Sargent TD., Proc Natl Acad Sci U S A. April 25, 1995; 92 (9): 3968-72.


Pagliaccio, a member of the Eph family of receptor tyrosine kinase genes, has localized expression in a subset of neural crest and neural tissues in Xenopus laevis embryos., Winning RS, Sargent TD., Mech Dev. June 1, 1994; 46 (3): 219-29.   


Differential expression of a Distal-less homeobox gene Xdll-2 in ectodermal cell lineages., Dirksen ML, Morasso MI, Sargent TD, Jamrich M., Mech Dev. April 1, 1994; 46 (1): 63-70.   


The homeodomain gene Xenopus Distal-less-like-2 (Xdll-2) is regulated by a conserved mechanism in amphibian and mammalian epidermis., Morasso MI, Jamrich M, Sargent TD., Dev Biol. March 1, 1994; 162 (1): 267-76.


Transcription factor AP-2 is tissue-specific in Xenopus and is closely related or identical to keratin transcription factor 1 (KTF-1)., Snape AM, Winning RS, Sargent TD., Development. September 1, 1991; 113 (1): 283-93.


Developmental regulation of transcription factor AP-2 during Xenopus laevis embryogenesis., Winning RS, Shea LJ, Marcus SJ, Sargent TD., Nucleic Acids Res. July 11, 1991; 19 (13): 3709-14.


Localized and inducible expression of Xenopus-posterior (Xpo), a novel gene active in early frog embryos, encoding a protein with a 'CCHC' finger domain., Sato SM, Sargent TD., Development. July 1, 1991; 112 (3): 747-53.   


Analysis of class II gene regulation., Sargent TD, Mathers PH., Methods Cell Biol. January 1, 1991; 36 347-65.


KTF-1, a transcriptional activator of Xenopus embryonic keratin expression., Snape AM, Jonas EA, Sargent TD., Development. May 1, 1990; 109 (1): 157-65.


Molecular approach to dorsoanterior development in Xenopus laevis., Sato SM, Sargent TD., Dev Biol. January 1, 1990; 137 (1): 135-41.   


Development of neural inducing capacity in dissociated Xenopus embryos., Sato SM, Sargent TD., Dev Biol. July 1, 1989; 134 (1): 263-6.


Transcriptional regulation of a Xenopus embryonic epidermal keratin gene., Jonas EA, Snape AM, Sargent TD., Development. June 1, 1989; 106 (2): 399-405.


Xenopus laevis serum albumin: sequence of the complementary deoxyribonucleic acids encoding the 68- and 74-kilodalton peptides and the regulation of albumin gene expression by thyroid hormone during development., Moskaitis JE, Sargent TD, Smith LH, Pastori RL, Schoenberg DR., Mol Endocrinol. March 1, 1989; 3 (3): 464-73.


Gene expression in amphibian embryogenesis., Dawid IB, Rebbert ML, Rosa F, Jamrich M, Sargent TD., Cell Differ Dev. November 1, 1988; 25 Suppl 67-74.


The gene encoding Xenopus embryonic epidermal keratin XK70A exhibits a hybrid type I-type II intron pattern., Krasner AS, Cheng AK, Dawid IB, Sargent TD., Nucleic Acids Res. September 12, 1988; 16 (17): 8728.


Accumulation and decay of DG42 gene products follow a gradient pattern during Xenopus embryogenesis., Rosa F, Sargent TD, Rebbert ML, Michaels GS, Jamrich M, Grunz H, Jonas E, Winkles JA, Dawid IB., Dev Biol. September 1, 1988; 129 (1): 114-23.   


Xenopus endo B is a keratin preferentially expressed in the embryonic notochord., LaFlamme SE, Jamrich M, Richter K, Sargent TD, Dawid IB., Genes Dev. July 1, 1988; 2 (7): 853-62.   


Xenopus laevis in developmental and molecular biology., Dawid IB, Sargent TD., Science. June 10, 1988; 240 (4858): 1443-8.


Cell-type-specific expression of epidermal cytokeratin genes during gastrulation of Xenopus laevis., Jamrich M, Sargent TD, Dawid IB., Genes Dev. April 1, 1987; 1 (2): 124-32.   


Stage-specific keratins in Xenopus laevis embryos and tadpoles: the XK81 gene family., Miyatani S, Winkles JA, Sargent TD, Dawid IB., J Cell Biol. November 1, 1986; 103 (5): 1957-65.


Cell interactions and the control of gene activity during early development of Xenopus laevis., Sargent TD, Jamrich M, Dawid IB., Dev Biol. March 1, 1986; 114 (1): 238-46.


Gene expression in Xenopus embryogenesis., Dawid IB, Haynes SR, Jamrich M, Jonas E, Miyatani S, Sargent TD, Winkles JA., J Embryol Exp Morphol. November 1, 1985; 89 Suppl 113-24.


Developmentally regulated cytokeratin gene in Xenopus laevis., Winkles JA, Sargent TD, Parry DA, Jonas E, Dawid IB., Mol Cell Biol. October 1, 1985; 5 (10): 2575-81.


Epidermal keratin gene expressed in embryos of Xenopus laevis., Jonas E, Sargent TD, Dawid IB., Proc Natl Acad Sci U S A. August 1, 1985; 82 (16): 5413-7.


Altered morphogenesis and its effects on gene activity in Xenopus laevis embryos., Jamrich M, Sargent TD, Dawid IB., Cold Spring Harb Symp Quant Biol. January 1, 1985; 50 31-5.


Differential gene expression in the gastrula of Xenopus laevis., Sargent TD, Dawid IB., Science. October 14, 1983; 222 (4620): 135-9.

???pagination.result.page??? 1