Click here to close Hello! We notice that you are using Internet Explorer, which is not supported by Xenbase and may cause the site to display incorrectly. We suggest using a current version of Chrome, FireFox, or Safari.

Profile Publications (172)
XB-PERS-593

Publications By Jaebong Kim

???pagination.result.count???

???pagination.result.page??? 1 2 3 4 ???pagination.result.next???


Bone morphogenetic protein-mediated Ventx3.2 regulates mesendoderm patterning and gut morphogenesis during Xenopus embryogenesis., Goutam RS, Kumar V, Lee U, Kim J., Biochem Biophys Res Commun. September 10, 2025; 784 152623.   


Sizzled (frzb3) physically interacts with non-canonical Wnt ligands to inhibit gastrulation cell movement., Yoon J, Kumar S, Lee H, Rehman ZU, Park S, Lee U, Kim J., Mol Cells. June 1, 2024; 47 (6): 100068.   


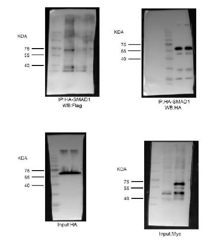
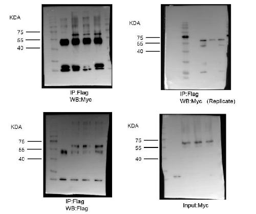
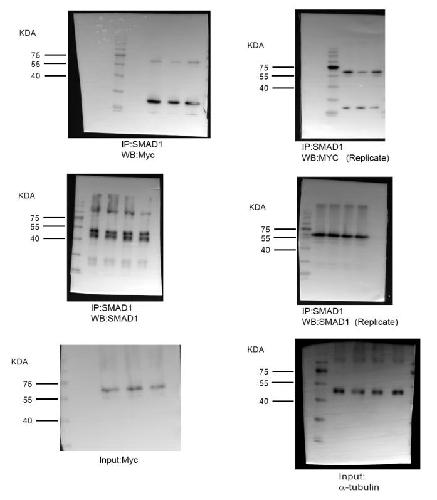
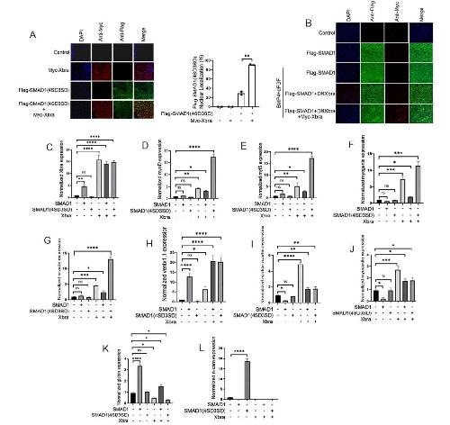
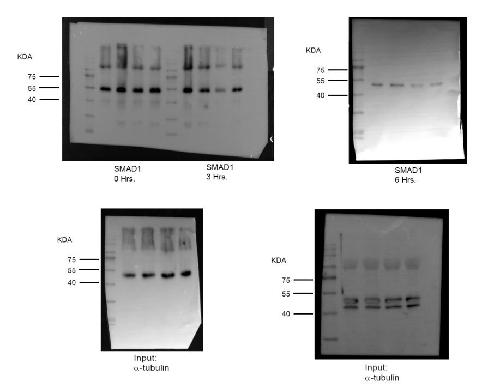
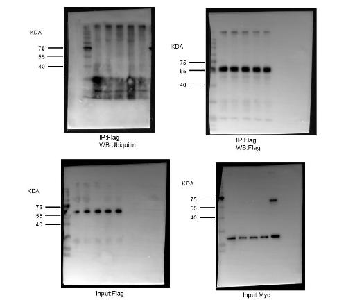
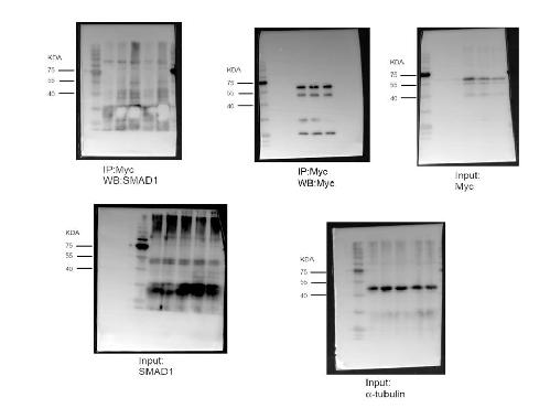
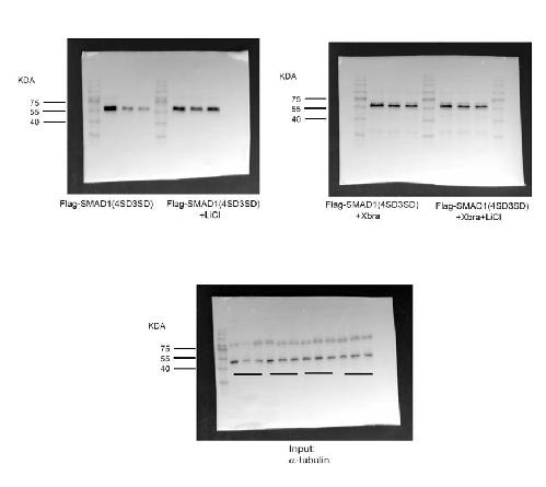
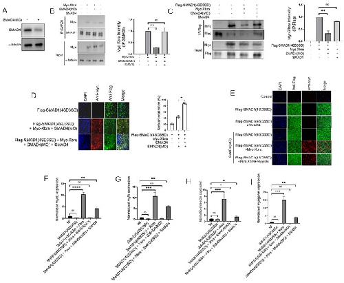
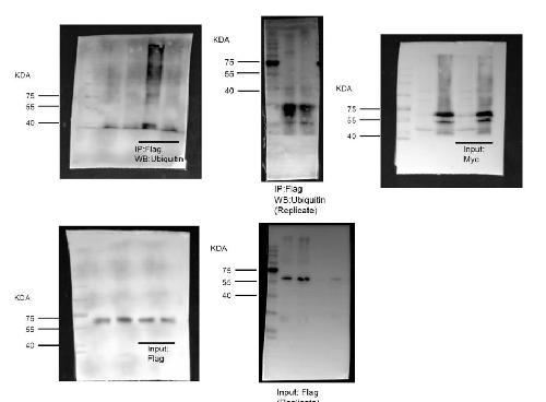
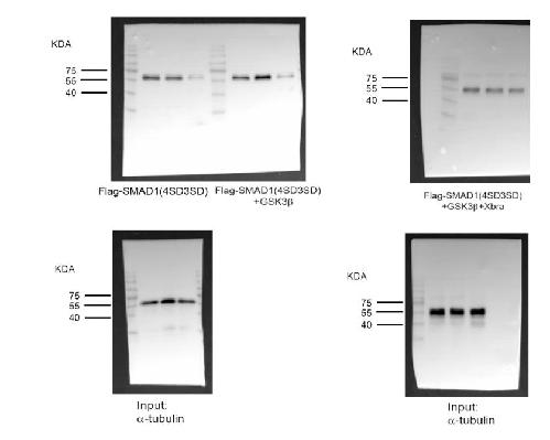
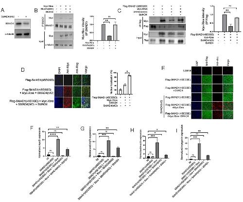
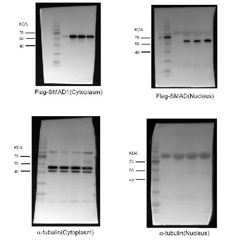
Xbra modulates the activity of linker region phosphorylated Smad1 during Xenopus development., Kumar S, Umair Z, Kumar V, Goutam RS, Park S, Lee U, Kim J., Sci Rep. April 18, 2024; 14 (1): 8922.   


Cdx1 and Gsc distinctly regulate the transcription of BMP4 target gene ventx3.2 by directly binding to the proximal promoter region in Xenopus gastrulae., Goutam RS, Kumar V, Lee U, Kim J., Mol Cells. April 1, 2024; 47 (4): 100058.   


Deup1 Expression Interferes with Multiciliated Differentiation., Shin M, Lee J, Lee H, Kumar V, Kim J, Park S., Mol Cells. December 31, 2023; 46 (12): 746-756.   


RNF43 and ZNRF3 in Wnt Signaling - A Master Regulator at the Membrane., Farnhammer F, Colozza G, Kim J., Int J Stem Cells. August 30, 2023; 16 (4): 376-384.   


Exploring the Structural and Functional Diversity among FGF Signals: A Comparative Study of Human, Mouse, and Xenopus FGF Ligands in Embryonic Development and Cancer Pathogenesis., Goutam RS, Kumar V, Lee U, Kim J., Int J Mol Sci. April 20, 2023; 24 (8):   


Two Homeobox Transcription Factors, Goosecoid and Ventx1.1, Oppositely Regulate Chordin Transcription in Xenopus Gastrula Embryos., Kumar V, Umair Z, Lee U, Kim J., Cells. March 11, 2023; 12 (6):   


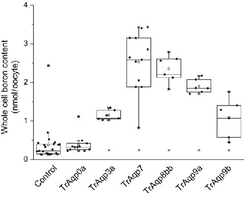
Boric acid transport activity of marine teleost aquaporins expressed in Xenopus oocytes., Kumagai S, Watanabe E, Hayashi N, Kimura Y, Kamiya T, Nagashima A, Ushio K, Imaizumi G, Kim J, Munakata K, Umezawa T, Hirose S, Kasai K, Fujiwara T, Romero MF, Kato A., Physiol Rep. March 1, 2023; 11 (6): e15655.   


Acute Inhibition of the Human Kv1.5 Channel by H1 Receptor Antagonist Dimenhydrinate: Mode of Action., Park SI, Hwang S, Kim JH, Yang SR, Jo SH., Biol Pharm Bull. January 1, 2023; 46 (10): 1394-1402.


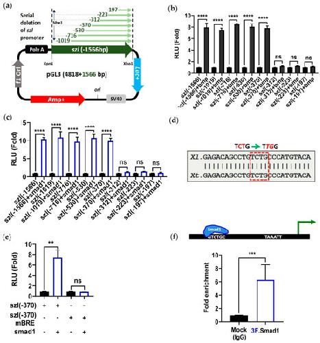
Bmp4 Synexpression Gene, Sizzled, Transcription Is Collectively Modulated by Smad1 and Ventx1.1/Ventx2.1 in Early Xenopus Embryos., Rehman ZU, Tayyaba F, Lee U, Kim J., Int J Mol Sci. November 1, 2022; 23 (21):   


Global analysis of cell behavior and protein dynamics reveals region-specific roles for Shroom3 and N-cadherin during neural tube closure., Baldwin AT, Kim JH, Seo H, Wallingford JB., Elife. March 4, 2022; 11   


Regulation of Myt1 kinase activity via its N-terminal region in Xenopus meiosis and mitosis., Aiba Y, Kim J, Imamura A, Okumoto K, Nakajo N., Cells Dev. March 1, 2022; 169 203754.


Ventx Family and Its Functional Similarities with Nanog: Involvement in Embryonic Development and Cancer Progression., Kumar S, Kumar V, Li W, Kim J., Int J Mol Sci. March 1, 2022; 23 (5):   


Bmp Signal Gradient Modulates Convergent Cell Movement via Xarhgef3.2 during Gastrulation of Xenopus Embryos., Yoon J, Kumar V, Goutam RS, Kim SC, Park S, Lee U, Kim J., Cells. December 24, 2021; 11 (1):   


Inhibitory effect of the selective serotonin reuptake inhibitor paroxetine on human Kv1.3 channels., Hwang S, Kim JH, Jo SH., Eur J Pharmacol. December 5, 2021; 912 174567.


Goosecoid Controls Neuroectoderm Specification via Dual Circuits of Direct Repression and Indirect Stimulation in Xenopus Embryos., Umair Z, Kumar V, Goutam RS, Kumar S, Lee U, Kim J., Mol Cells. October 31, 2021; 44 (10): 723-735.   


Foxd4l1.1 Negatively Regulates Chordin Transcription in Neuroectoderm of Xenopus Gastrula., Kumar V, Goutam RS, Umair Z, Park S, Lee U, Kim J., Cells. October 17, 2021; 10 (10):   


Smad2 and Smad3 differentially modulate chordin transcription via direct binding on the distal elements in gastrula Xenopus embryos., Kumar V, Umair Z, Kumar S, Lee U, Kim J., Biochem Biophys Res Commun. June 25, 2021; 559 168-175.   


The molecular dynamics of subdistal appendages in multi-ciliated cells., Ryu H, Lee H, Lee J, Noh H, Shin M, Kumar V, Hong S, Kim J, Park S., Nat Commun. January 27, 2021; 12 (1): 612.   


Non-dioxin-like polychlorinated biphenyl 19 has distinct effects on human Kv1.3 and Kv1.5 channels., Kim JH, Hwang S, Jo SH., Toxicol Appl Pharmacol. January 15, 2021; 411 115365.


Dusp1 modulates activin/smad2 mediated germ layer specification via FGF signal inhibition in Xenopus embryos., Umair Z, Kumar S, Rafiq K, Kumar V, Reman ZU, Lee SH, Kim S, Lee JY, Lee U, Kim J., Anim Cells Syst (Seoul). November 27, 2020; 24 (6): 359-370.   


Foxd4l1.1 negatively regulates transcription of neural repressor ventx1.1 during neuroectoderm formation in Xenopus embryos., Kumar S, Umair Z, Kumar V, Kumar S, Lee U, Kim J., Sci Rep. October 8, 2020; 10 (1): 16780.   


Structural basis of the fanconi anemia-associated mutations within the FANCA and FANCG complex., Jeong E, Lee SG, Kim HS, Yang J, Shin J, Kim Y, Kim J, Schärer OD, Kim Y, Yeo JE, Kim HM, Cho Y., Nucleic Acids Res. April 6, 2020; 48 (6): 3328-3342.   


Comparative Analysis of the Developmental Toxicity in Xenopus laevis and Danio rerio Induced by Al2 O3 Nanoparticle Exposure., Ismail T, Lee HK, Kim C, Kim Y, Lee H, Kim JH, Kwon S, Huh TL, Khang D, Kim SH, Choi SC, Lee HS., Environ Toxicol Chem. December 1, 2019; 38 (12): 2672-2681.


The acute effects of hydrocortisone on cardiac electrocardiography, action potentials, intracellular calcium, and contraction: The role of protein kinase C., Park MH, Park SI, Kim JH, Yu J, Lee EH, Seo SR, Jo SH., Mol Cell Endocrinol. August 20, 2019; 494 110488.


Ventx1.1 competes with a transcriptional activator Xcad2 to regulate negatively its own expression., Kumar S, Umair Z, Kumar V, Lee U, Choi SC, Kim J., BMB Rep. June 1, 2019; 52 (6): 403-408.   


Peroxiredoxin5 Controls Vertebrate Ciliogenesis by Modulating Mitochondrial Reactive Oxygen Species., Ji Y, Chae S, Lee HK, Park I, Kim C, Ismail T, Kim Y, Park JW, Kwon OS, Kang BS, Lee DS, Bae JS, Kim SH, Moon PG, Baek MC, Park MJ, Kil IS, Rhee SG, Kim J, Huh YH, Shin JY, Min KJ, Kwon TK, Jang DG, Woo HA, Kwon T, Park TJ, Lee HS., Antioxid Redox Signal. May 10, 2019; 30 (14): 1731-1745.   


Stereoselective fatty acylation is essential for the release of lipidated WNT proteins from the acyltransferase Porcupine (PORCN)., Tuladhar R, Yarravarapu N, Ma Y, Zhang C, Herbert J, Kim J, Chen C, Lum L., J Biol Chem. April 19, 2019; 294 (16): 6273-6282.   


Deuterium-Free, Three-Plexed Peptide Diethylation for Highly Accurate Quantitative Proteomics., Jung J, Jeong K, Choi Y, Kim SA, Kim H, Lee JW, Kim VN, Kim KP, Kim JS., J Proteome Res. March 1, 2019; 18 (3): 1078-1087.


Ventx1.1 as a Direct Repressor of Early Neural Gene zic3 in Xenopus laevis., Umair Z, Kumar S, Kim DH, Rafiq K, Kumar V, Kim S, Park JB, Lee JY, Lee U, Kim J., Mol Cells. December 31, 2018; 41 (12): 1061-1071.   


Xbra and Smad-1 cooperate to activate the transcription of neural repressor ventx1.1 in Xenopus embryos., Kumar S, Umair Z, Yoon J, Lee U, Kim SC, Park JB, Lee JY, Kim J., Sci Rep. July 30, 2018; 8 (1): 11391.   


Role of remodeling and spacing factor 1 in histone H2A ubiquitination-mediated gene silencing., Zhang Z, Jones AE, Wu W, Kim J, Kang Y, Bi X, Gu Y, Popov IK, Renfrow MB, Vassylyeva MN, Vassylyev DG, Giles KE, Chen D, Kumar A, Fan Y, Tong Y, Liu CF, An W, Chang C, Luo J, Chow LT, Wang H., Proc Natl Acad Sci U S A. August 19, 2017; 114 (38): E7949-E7958.   


A chemical biology route to site-specific authentic protein modifications., Yang A, Ha S, Ahn J, Kim R, Kim S, Lee Y, Kim J, Söll D, Lee HY, Park HS., Science. November 4, 2016; 354 (6312): 623-626.


Merlin inhibits Wnt/β-catenin signaling by blocking LRP6 phosphorylation., Kim M, Kim S, Lee SH, Kim W, Sohn MJ, Kim HS, Kim J, Jho EH., Cell Death Differ. October 1, 2016; 23 (10): 1638-47.


Calmodulin Mediates Ca2+-Dependent Inhibition of Tie2 Signaling and Acts as a Developmental Brake During Embryonic Angiogenesis., Yang C, Ohk J, Lee JY, Kim EJ, Kim J, Han S, Park D, Jung H, Kim C., Arterioscler Thromb Vasc Biol. July 1, 2016; 36 (7): 1406-16.


xCyp26c Induced by Inhibition of BMP Signaling Is Involved in Anterior-Posterior Neural Patterning of Xenopus laevis., Yu SB, Umair Z, Kumar S, Lee U, Lee SH, Kim JI, Kim S, Park JB, Lee JY, Kim J., Mol Cells. April 30, 2016; 39 (4): 352-7.   


Lysine Acetylation Facilitates Spontaneous DNA Dynamics in the Nucleosome., Kim J, Lee J, Lee TH., J Phys Chem B. December 3, 2015; 119 (48): 15001-5.


Characterization of ticlopidine-induced developmental and teratogenic defects in Xenopus embryos and human endothelial cells., Park MS, Kim JW, Park I, Lee HK, Kim C, Jo C, Kim YK, Min BH, Ryoo J, Lee DS, Bae JS, Kim SH, Ye SK, Park MJ, Lee HS., Chem Biol Interact. October 5, 2015; 240 172-8.


Gabapentin inhibits the activity of the rat excitatory glutamate transporter 3 expressed in Xenopus oocytes., Gil YS, Kim JH, Kim CH, Han JI, Zuo Z, Baik HJ., Eur J Pharmacol. September 5, 2015; 762 112-7.


Tarantula toxins use common surfaces for interacting with Kv and ASIC ion channels., Gupta K, Zamanian M, Bae C, Milescu M, Krepkiy D, Tilley DC, Sack JT, Yarov-Yarovoy V, Kim JI, Swartz KJ., Elife. January 6, 2015; 4 e06774.   


PV.1 induced by FGF-Xbra functions as a repressor of neurogenesis in Xenopus embryos., Yoon J, Kim JH, Lee SY, Kim S, Park JB, Lee JY, Kim J., BMB Rep. December 1, 2014; 47 (12): 673-8.   


Metabolic engineering of Pichia pastoris for production of hyaluronic acid with high molecular weight., Jeong E, Shim WY, Kim JH., J Biotechnol. September 20, 2014; 185 28-36.


Coevolution of the spexin/galanin/kisspeptin family: Spexin activates galanin receptor type II and III., Kim DK, Yun S, Son GH, Hwang JI, Park CR, Kim JI, Kim K, Vaudry H, Seong JY., Endocrinology. May 1, 2014; 155 (5): 1864-73.


PV.1 suppresses the expression of FoxD5b during neural induction in Xenopus embryos., Yoon J, Kim JH, Kim SC, Park JB, Lee JY, Kim J., Mol Cells. March 1, 2014; 37 (3): 220-5.   


Ion permeability of the nuclear pore complex and ion-induced macromolecular permeation as studied by scanning electrochemical and fluorescence microscopy., Kim J, Izadyar A, Shen M, Ishimatsu R, Amemiya S., Anal Chem. February 18, 2014; 86 (4): 2090-8.   


MONNA, a potent and selective blocker for transmembrane protein with unknown function 16/anoctamin-1., Oh SJ, Hwang SJ, Jung J, Yu K, Kim J, Choi JY, Hartzell HC, Roh EJ, Lee CJ., Mol Pharmacol. November 30, 2013; 84 (5): 726-35.


Apelin-APJ signaling is a critical regulator of endothelial MEF2 activation in cardiovascular development., Kang Y, Kim J, Anderson JP, Wu J, Gleim SR, Kundu RK, McLean DL, Kim JD, Park H, Jin SW, Hwa J, Quertermous T, Chun HJ., Circ Res. June 21, 2013; 113 (1): 22-31.


The n-SET domain of Set1 regulates H2B ubiquitylation-dependent H3K4 methylation., Kim J, Kim JA, McGinty RK, Nguyen UT, Muir TW, Allis CD, Roeder RG., Mol Cell. March 28, 2013; 49 (6): 1121-33.


Opening the shaker K+ channel with hanatoxin., Milescu M, Lee HC, Bae CH, Kim JI, Swartz KJ., J Gen Physiol. February 1, 2013; 141 (2): 203-16.   

???pagination.result.page??? 1 2 3 4 ???pagination.result.next???