Click here to close Hello! We notice that you are using Internet Explorer, which is not supported by Xenbase and may cause the site to display incorrectly. We suggest using a current version of Chrome, FireFox, or Safari.

Profile Publications (133)
XB-PERS-536

Publications By Igor B Dawid

???pagination.result.count???

???pagination.result.page??? 1 2 3 ???pagination.result.next???


Genes regulated by potassium channel tetramerization domain containing 15 (Kctd15) in the developing neural crest., Wong TC, Rebbert M, Wang C, Chen X, Heffer A, Zarelli VE, Dawid IB, Zhao H., Int J Dev Biol. January 1, 2016; 60 (4-6): 159-66.   


Custos controls β-catenin to regulate head development during vertebrate embryogenesis., Komiya Y, Mandrekar N, Sato A, Dawid IB, Habas R., Proc Natl Acad Sci U S A. September 9, 2014; 111 (36): 13099-104.   


Cell adhesion in zebrafish embryos is modulated by March 8., Kim MH, Rebbert ML, Ro H, Won M, Dawid IB., PLoS One. January 1, 2014; 9 (4): e94873.   


Efficient targeted gene disruption in Xenopus embryos using engineered transcription activator-like effector nucleases (TALENs)., Lei Y, Guo X, Liu Y, Cao Y, Deng Y, Chen X, Cheng CH, Dawid IB, Chen Y, Zhao H., Proc Natl Acad Sci U S A. October 23, 2012; 109 (43): 17484-9.   


Homeoprotein hhex-induced conversion of intestinal to ventral pancreatic precursors results in the formation of giant pancreata in Xenopus embryos., Zhao H, Han D, Dawid IB, Pieler T, Chen Y., Proc Natl Acad Sci U S A. May 29, 2012; 109 (22): 8594-9.   


Making a tubule the noncanonical way., Hukriede NA, Dawid IB., J Am Soc Nephrol. September 1, 2011; 22 (9): 1575-7.


Lhx1 is required for specification of the renal progenitor cell field., Cirio MC, Hui Z, Haldin CE, Cosentino CC, Stuckenholz C, Chen X, Hong SK, Dawid IB, Hukriede NA., PLoS One. April 15, 2011; 6 (4): e18858.   


XIer2 is required for convergent extension movements during Xenopus development., Hong SK, Tanegashima K, Dawid IB., Int J Dev Biol. January 1, 2011; 55 (10-12): 917-21.   


Kctd15 inhibits neural crest formation by attenuating Wnt/beta-catenin signaling output., Dutta S, Dawid IB., Development. September 1, 2010; 137 (18): 3013-8.   


Developmental expression of Xenopus short-chain dehydrogenase/reductase 3., Kam RK, Chen Y, Chan SO, Chan WY, Dawid IB, Zhao H., Int J Dev Biol. January 1, 2010; 54 (8-9): 1355-60.   


Coordinated activation of the secretory pathway during notochord formation in the Xenopus embryo., Tanegashima K, Zhao H, Rebbert ML, Dawid IB., Development. November 1, 2009; 136 (21): 3543-8.   


Brd4 associates with mitotic chromosomes throughout early zebrafish embryogenesis., Toyama R, Rebbert ML, Dey A, Ozato K, Dawid IB., Dev Dyn. June 1, 2008; 237 (6): 1636-44.


The mych gene is required for neural crest survival during zebrafish development., Hong SK, Tsang M, Dawid IB., PLoS One. April 9, 2008; 3 (4): e2029.   


Lrig3 regulates neural crest formation in Xenopus by modulating Fgf and Wnt signaling pathways., Zhao H, Tanegashima K, Ro H, Dawid IB., Development. April 1, 2008; 135 (7): 1283-93.   


WGEF activates Rho in the Wnt-PCP pathway and controls convergent extension in Xenopus gastrulation., Tanegashima K, Zhao H, Dawid IB., EMBO J. February 20, 2008; 27 (4): 606-17.


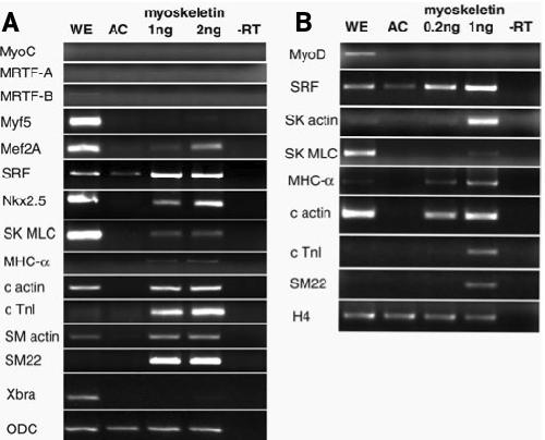
Myoskeletin, a factor related to Myocardin, is expressed in somites and required for hypaxial muscle formation in Xenopus., Zhao H, Rebbert ML, Dawid IB., Int J Dev Biol. January 1, 2007; 51 (4): 315-20.   


Profilin is an effector for Daam1 in non-canonical Wnt signaling and is required for vertebrate gastrulation., Sato A, Khadka DK, Liu W, Bharti R, Runnels LW, Dawid IB, Habas R., Development. November 1, 2006; 133 (21): 4219-31.   


Cited1 is a bifunctional transcriptional cofactor that regulates early nephronic patterning., Plisov S, Tsang M, Shi G, Boyle S, Yoshino K, Dunwoodie SL, Dawid IB, Shioda T, Perantoni AO, de Caestecker MP., J Am Soc Nephrol. June 1, 2005; 16 (6): 1632-44.


Specialized and redundant roles of TBP and a vertebrate-specific TBP paralog in embryonic gene regulation in Xenopus., Jallow Z, Jacobi UG, Weeks DL, Dawid IB, Veenstra GJ., Proc Natl Acad Sci U S A. September 14, 2004; 101 (37): 13525-30.


Organizing the vertebrate embryo--a balance of induction and competence., Dawid IB., PLoS Biol. May 1, 2004; 2 (5): E127.   


Promotion and attenuation of FGF signaling through the Ras-MAPK pathway., Tsang M, Dawid IB., Sci STKE. April 6, 2004; 2004 (228): pe17.


Xrx1 controls proliferation and neurogenesis in Xenopus anterior neural plate., Andreazzoli M, Gestri G, Cremisi F, Casarosa S, Dawid IB, Barsacchi G., Development. November 1, 2003; 130 (21): 5143-54.   


Coactivation of Rac and Rho by Wnt/Frizzled signaling is required for vertebrate gastrulation., Habas R, Dawid IB, He X., Genes Dev. January 15, 2003; 17 (2): 295-309.


Conserved requirement of Lim1 function for cell movements during gastrulation., Hukriede NA, Tsang TE, Habas R, Khoo PL, Steiner K, Weeks DL, Tam PP, Dawid IB., Dev Cell. January 1, 2003; 4 (1): 83-94.


Regulation of the Lim-1 gene is mediated through conserved FAST-1/FoxH1 sites in the first intron., Watanabe M, Rebbert ML, Andreazzoli M, Takahashi N, Toyama R, Zimmerman S, Whitman M, Dawid IB., Dev Dyn. December 1, 2002; 225 (4): 448-56.


Ssdp proteins interact with the LIM-domain-binding protein Ldb1 to regulate development., Chen L, Segal D, Hukriede NA, Podtelejnikov AV, Bayarsaihan D, Kennison JA, Ogryzko VV, Dawid IB, Westphal H., Proc Natl Acad Sci U S A. October 29, 2002; 99 (22): 14320-5.   


Identification of Sef, a novel modulator of FGF signalling., Tsang M, Friesel R, Kudoh T, Dawid IB., Nat Cell Biol. February 1, 2002; 4 (2): 165-9.


A study of Xlim1 function in the Spemann-Mangold organizer., Kodjabachian L, Karavanov AA, Hikasa H, Hukriede NA, Aoki T, Taira M, Dawid IB., Int J Dev Biol. January 1, 2001; 45 (1): 209-18.   


Zebrafish nma is involved in TGFbeta family signaling., Tsang M, Kim R, de Caestecker MP, Kudoh T, Roberts AB, Dawid IB., Genesis. October 1, 2000; 28 (2): 47-57.   


Xlim-1 and LIM domain binding protein 1 cooperate with various transcription factors in the regulation of the goosecoid promoter., Mochizuki T, Karavanov AA, Curtiss PE, Ault KT, Sugimoto N, Watabe T, Shiokawa K, Jamrich M, Cho KW, Dawid IB, Taira M., Dev Biol. August 15, 2000; 224 (2): 470-85.


Transforming growth factor-beta5 expression during early development of Xenopus laevis., Kondaiah P, Taira M, Vempati UD, Dawid IB., Mech Dev. July 1, 2000; 95 (1-2): 207-9.   


A new secreted protein that binds to Wnt proteins and inhibits their activities., Hsieh JC, Kodjabachian L, Rebbert ML, Rattner A, Smallwood PM, Samos CH, Nusse R, Dawid IB, Nathans J., Nature. April 1, 1999; 398 (6726): 431-6.   


Zebrafish nodal-related genes are implicated in axial patterning and establishing left-right asymmetry., Rebagliati MR, Toyama R, Fricke C, Haffter P, Dawid IB., Dev Biol. July 15, 1998; 199 (2): 261-72.


Interactions between LIM domains and the LIM domain-binding protein Ldb1., Breen JJ, Agulnick AD, Westphal H, Dawid IB., J Biol Chem. February 20, 1998; 273 (8): 4712-7.


Regulation of dorsal fate in the neuraxis by Wnt-1 and Wnt-3a., Saint-Jeannet JP, He X, Varmus HE, Dawid IB., Proc Natl Acad Sci U S A. December 9, 1997; 94 (25): 13713-8.   


Transcriptional regulation of the Xlim-1 gene by activin is mediated by an element in intron I., Rebbert ML, Dawid IB., Proc Natl Acad Sci U S A. September 2, 1997; 94 (18): 9717-22.


A member of the Frizzled protein family mediating axis induction by Wnt-5A., He X, Saint-Jeannet JP, Wang Y, Nathans J, Dawid I, Varmus H., Science. March 14, 1997; 275 (5306): 1652-4.


Role of the Xlim-1 and Xbra genes in anteroposterior patterning of neural tissue by the head and trunk organizer., Taira M, Saint-Jeannet JP, Dawid IB., Proc Natl Acad Sci U S A. February 4, 1997; 94 (3): 895-900.


Expression of murine Lhx5 suggests a role in specifying the forebrain., Sheng HZ, Bertuzzi S, Chiang C, Shawlot W, Taira M, Dawid I, Westphal H., Dev Dyn. February 1, 1997; 208 (2): 266-77.


Retinoid X receptor (RXR) within the RXR-retinoic acid receptor heterodimer binds its ligand and enhances retinoid-dependent gene expression., Minucci S, Leid M, Toyama R, Saint-Jeannet JP, Peterson VJ, Horn V, Ishmael JE, Bhattacharyya N, Dey A, Dawid IB, Ozato K., Mol Cell Biol. February 1, 1997; 17 (2): 644-55.


Interactions of the LIM-domain-binding factor Ldb1 with LIM homeodomain proteins., Agulnick AD, Taira M, Breen JJ, Tanaka T, Dawid IB, Westphal H., Nature. November 21, 1996; 384 (6606): 270-2.


Molecular cloning, structure, and chromosomal localization of the mouse LIM/homeobox gene Lhx5., Bertuzzi S, Sheng HZ, Copeland NG, Gilbert DJ, Jenkins NA, Taira M, Dawid IB, Westphal H., Genomics. September 1, 1996; 36 (2): 234-9.


The LIM homeodomain protein Lim-1 is widely expressed in neural, neural crest and mesoderm derivatives in vertebrate development., Karavanov AA, Saint-Jeannet JP, Karavanova I, Taira M, Dawid IB., Int J Dev Biol. April 1, 1996; 40 (2): 453-61.   


Retinoid X receptor-selective ligands produce malformations in Xenopus embryos., Minucci S, Saint-Jeannet JP, Toyama R, Scita G, DeLuca LM, Tiara M, Levin AA, Ozato K, Dawid IB., Proc Natl Acad Sci U S A. March 5, 1996; 93 (5): 1803-7.


The LIM class homeobox gene lim5: implied role in CNS patterning in Xenopus and zebrafish., Toyama R, Curtiss PE, Otani H, Kimura M, Dawid IB, Taira M., Dev Biol. August 1, 1995; 170 (2): 583-93.   


Dorsal-ventral patterning and differentiation of noggin-induced neural tissue in the absence of mesoderm., Knecht AK, Good PJ, Dawid IB, Harland RM., Development. June 1, 1995; 121 (6): 1927-35.   


Glycogen synthase kinase-3 and dorsoventral patterning in Xenopus embryos., He X, Saint-Jeannet JP, Woodgett JR, Varmus HE, Dawid IB., Nature. April 13, 1995; 374 (6523): 617-22.


Expression pattern of the murine LIM class homeobox gene Lhx3 in subsets of neural and neuroendocrine tissues., Zhadanov AB, Bertuzzi S, Taira M, Dawid IB, Westphal H., Dev Dyn. April 1, 1995; 202 (4): 354-64.


Role of the LIM class homeodomain protein Xlim-1 in neural and muscle induction by the Spemann organizer in Xenopus., Taira M, Otani H, Saint-Jeannet JP, Dawid IB., Nature. December 15, 1994; 372 (6507): 677-9.


A fate map for the 32-cell stage of Rana pipiens., Saint-Jeannet JP, Dawid IB., Dev Biol. December 1, 1994; 166 (2): 755-62.

???pagination.result.page??? 1 2 3 ???pagination.result.next???