Click here to close Hello! We notice that you are using Internet Explorer, which is not supported by Xenbase and may cause the site to display incorrectly. We suggest using a current version of Chrome, FireFox, or Safari.

Profile Publications (30)
XB-PERS-4870

Publications By Makoto Mochii

???pagination.result.count???

???pagination.result.page??? 1


Step-by-Step Protocol for Making a Knock-In Xenopus laevis to Visualize Endogenous Gene Expression., Kagawa N, Umesono Y, Suzuki KT, Mochii M., Dev Growth Differ. June 9, 2025; 67 (5): 293-302.   


A CRISPR-Cas9-mediated versatile method for targeted integration of a fluorescent protein gene to visualize endogenous gene expression in Xenopus laevis., Mochii M, Akizuki K, Ossaka H, Kagawa N, Umesono Y, Suzuki KT., Dev Biol. February 1, 2024; 506 42-51.   


Protocols for transgenesis at a safe harbor site in the Xenopus laevis genome using CRISPR-Cas9., Shibata Y, Okumura A, Mochii M, Suzuki KT., STAR Protoc. September 15, 2023; 4 (3): 102382.   


CRISPR/Cas9-based simple transgenesis in Xenopus laevis., Shibata Y, Suzuki M, Hirose N, Takayama A, Sanbo C, Inoue T, Umesono Y, Agata K, Ueno N, Suzuki KT, Mochii M., Dev Biol. September 1, 2022; 489 76-83.   


Cell type-specific transcriptome analysis unveils secreted signaling molecule genes expressed in apical epithelial cap during appendage regeneration., Okumura A, Hayashi T, Ebisawa M, Yoshimura M, Sasagawa Y, Nikaido I, Umesono Y, Mochii M., Dev Growth Differ. December 1, 2019; 61 (9): 447-456.   


A transgenic reporter under control of an es1 promoter/enhancer marks wound epidermis and apical epithelial cap during tail regeneration in Xenopus laevis tadpole., Sato K, Umesono Y, Mochii M., Dev Biol. January 15, 2018; 433 (2): 404-415.   


Notochord-derived hedgehog is essential for tail regeneration in Xenopus tadpole., Taniguchi Y, Watanabe K, Mochii M., BMC Dev Biol. June 18, 2014; 14 27.   


Developmental regulation of locomotive activity in Xenopus primordial germ cells., Terayama K, Kataoka K, Morichika K, Orii H, Watanabe K, Mochii M., Dev Growth Differ. February 1, 2013; 55 (2): 217-28.   


Ectopic formation of primordial germ cells by transplantation of the germ plasm: direct evidence for germ cell determinant in Xenopus., Tada H, Mochii M, Orii H, Watanabe K., Dev Biol. November 1, 2012; 371 (1): 86-93.


Analysis of localization and reorganization of germ plasm in Xenopus transgenic line with fluorescence-labeled mitochondria., Taguchi A, Takii M, Motoishi M, Orii H, Mochii M, Watanabe K., Dev Growth Differ. October 1, 2012; 54 (8): 767-76.   


The analysis of the expression of a novel gene, Xenopus polka dots, which was expressed in the embryonic and larval epidermis during early development., Yoshii S, Yamaguchi M, Oogata Y, Tazaki A, Mochii M, Suzuki S, Kinoshita T., Zoolog Sci. November 1, 2011; 28 (11): 809-16.


Germ-line mitochondria exhibit suppressed respiratory activity to support their accurate transmission to the next generation., Kogo N, Tazaki A, Kashino Y, Morichika K, Orii H, Mochii M, Watanabe K., Dev Biol. January 15, 2011; 349 (2): 462-9.   


Characterization of a novel type I keratin gene and generation of transgenic lines with fluorescent reporter genes driven by its promoter/enhancer in Xenopus laevis., Suzuki KT, Kashiwagi K, Ujihara M, Marukane T, Tazaki A, Watanabe K, Mizuno N, Ueda Y, Kondoh H, Kashiwagi A, Mochii M., Dev Dyn. December 1, 2010; 239 (12): 3172-81.   


Perturbation of Notch/Suppressor of Hairless pathway disturbs migration of primordial germ cells in Xenopus embryo., Morichika K, Kataoka K, Terayama K, Tazaki A, Kinoshita T, Watanabe K, Mochii M., Dev Growth Differ. February 1, 2010; 52 (2): 235-44.


Xenopus Wnt-5a induces an ectopic larval tail at injured site, suggesting a crucial role for noncanonical Wnt signal in tail regeneration., Sugiura T, Tazaki A, Ueno N, Watanabe K, Mochii M., Mech Dev. January 1, 2009; 126 (1-2): 56-67.   


VegT, eFGF and Xbra cause overall posteriorization while Xwnt8 causes eye-level restricted posteriorization in synergy with chordin in early Xenopus development., Fujii H, Sakai M, Nishimatsu S, Nohno T, Mochii M, Orii H, Watanabe K., Dev Growth Differ. March 1, 2008; 50 (3): 169-80.   


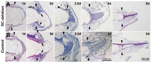
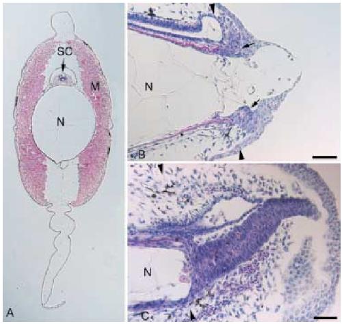
Spinal cord is required for proper regeneration of the tail in Xenopus tadpoles., Taniguchi Y, Sugiura T, Tazaki A, Watanabe K, Mochii M., Dev Growth Differ. February 1, 2008; 50 (2): 109-20.   


Tail regeneration in the Xenopus tadpole., Mochii M, Taniguchi Y, Shikata I., Dev Growth Differ. February 1, 2007; 49 (2): 155-61.   


Visualization of the Xenopus primordial germ cells using a green fluorescent protein controlled by cis elements of the 3' untranslated region of the DEADSouth gene., Kataoka K, Yamaguchi T, Orii H, Tazaki A, Watanabe K, Mochii M., Mech Dev. October 1, 2006; 123 (10): 746-60.   


Identification of asymmetrically localized transcripts along the animal-vegetal axis of the Xenopus egg., Kataoka K, Tazaki A, Kitayama A, Ueno N, Watanabe K, Mochii M., Dev Growth Differ. October 1, 2005; 47 (8): 511-21.   


Macroarray-based analysis of tail regeneration in Xenopus laevis larvae., Tazaki A, Kitayama A, Terasaka C, Watanabe K, Ueno N, Mochii M., Dev Dyn. August 1, 2005; 233 (4): 1394-404.   


Global gene expression profiling and cluster analysis in Xenopus laevis., Baldessari D, Shin Y, Krebs O, König R, Koide T, Vinayagam A, Fenger U, Mochii M, Terasaka C, Kitayama A, Peiffer D, Ueno N, Eils R, Cho KW, Niehrs C., Mech Dev. March 1, 2005; 122 (3): 441-75.


A Xenopus DNA microarray approach to identify novel direct BMP target genes involved in early embryonic development., Peiffer DA, Von Bubnoff A, Shin Y, Kitayama A, Mochii M, Ueno N, Cho KW., Dev Dyn. February 1, 2005; 232 (2): 445-56.   


Identification of neural genes using Xenopus DNA microarrays., Shin Y, Kitayama A, Koide T, Peiffer DA, Mochii M, Liao A, Ueno N, Cho KW., Dev Dyn. February 1, 2005; 232 (2): 432-44.   


Differential gene expression between the embryonic tail bud and regenerating larval tail in Xenopus laevis., Sugiura T, Taniguchi Y, Tazaki A, Ueno N, Watanabe K, Mochii M., Dev Growth Differ. February 1, 2004; 46 (1): 97-105.   


Visualization of endogenous BMP signaling during Xenopus development., Kurata T, Nakabayashi J, Yamamoto TS, Mochii M, Ueno N., Differentiation. February 1, 2001; 67 (1-2): 33-40.   


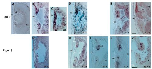
Pax-6 and Prox 1 expression during lens regeneration from Cynops iris and Xenopus cornea: evidence for a genetic program common to embryonic lens development., Mizuno N, Mochii M, Yamamoto TS, Takahashi TC, Eguchi G, Okada TS., Differentiation. November 1, 1999; 65 (3): 141-9.   


Lens regeneration in Xenopus is not a mere repeat of lens development, with respect to crystallin gene expression., Mizuno N, Mochii M, Takahashi TC, Eguchi G, Okada TS., Differentiation. March 1, 1999; 64 (3): 143-9.   


The A5 antigen, a candidate for the neuronal recognition molecule, has homologies to complement components and coagulation factors., Takagi S, Hirata T, Agata K, Mochii M, Eguchi G, Fujisawa H., Neuron. August 1, 1991; 7 (2): 295-307.


Complete sequence and expression of a cDNA encoding a chicken 115-kDa melanosomal matrix protein., Mochii M, Agata K, Eguchi G., Pigment Cell Res. February 1, 1991; 4 (1): 41-7.

???pagination.result.page??? 1