Click here to close Hello! We notice that you are using Internet Explorer, which is not supported by Xenbase and may cause the site to display incorrectly. We suggest using a current version of Chrome, FireFox, or Safari.

Profile Publications (8)
XB-PERS-4055

Publications By Rachel E Stephenson

???pagination.result.count???

???pagination.result.page??? 1


The Heterotaxy Gene CCDC11 Is Important for Cytokinesis via RhoA Regulation., Kulkarni SS, Stephenson RE, Amalraj S, Arrigo A, Betleja E, Moresco JJ, Yates JR, Mahjoub MR, Miller AL, Khokha MK., Cytoskeleton (Hoboken). October 31, 2024;   


ZnUMBA - a live imaging method to detect local barrier breaches., Higashi T, Stephenson RE, Schwayer C, Huljev K, Higashi AY, Heisenberg CP, Chiba H, Miller AL., J Cell Sci. August 1, 2023; 136 (15):


Rho Flares Repair Local Tight Junction Leaks., Stephenson RE, Higashi T, Erofeev IS, Arnold TR, Leda M, Goryachev AB, Miller AL., Dev Cell. February 25, 2019; 48 (4): 445-459.e5.


Anillin regulates epithelial cell mechanics by structuring the medial-apical actomyosin network., Arnold TR, Shawky JH, Stephenson RE, Dinshaw KM, Higashi T, Huq F, Davidson LA, Miller AL., Elife. January 31, 2019; 8   


Comprehensive analysis of formin localization in Xenopus epithelial cells., Higashi T, Stephenson RE, Miller AL., Mol Biol Cell. January 1, 2019; 30 (1): 82-95.   


Dissecting BMP signaling input into the gene regulatory networks driving specification of the blood stem cell lineage., Kirmizitas A, Meiklejohn S, Ciau-Uitz A, Stephenson R, Patient R., Proc Natl Acad Sci U S A. June 6, 2017; 114 (23): 5814-5821.   


Tools for live imaging of active Rho GTPases in Xenopus., Stephenson RE, Miller AL., Genesis. January 1, 2017; 55 (1-2):   


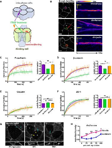
Maintenance of the Epithelial Barrier and Remodeling of Cell-Cell Junctions during Cytokinesis., Higashi T, Arnold TR, Stephenson RE, Dinshaw KM, Miller AL., Curr Biol. July 25, 2016; 26 (14): 1829-42.   

???pagination.result.page??? 1