|
XB-PERS-4016
Publications By Elly M Tanaka
???pagination.result.count??????pagination.result.page??? 1
|
Inducible and tissue-specific cell labeling in Cre-ERT2 transgenic Xenopus lines., Lin TY, Taniguchi-Sugiura Y, Murawala P, Hermann S, Tanaka EM., Dev Growth Differ. June 1, 2022; 64 (5): 243-253. |
|
Fibroblast dedifferentiation as a determinant of successful regeneration., Lin TY, Gerber T, Taniguchi-Sugiura Y, Murawala P, Hermann S, Grosser L, Shibata E, Treutlein B, Tanaka EM., Dev Cell. May 17, 2021; 56 (10): 1541-1551.e6. |
|
Broad applicability of a streamlined ethyl cinnamate-based clearing procedure., Masselink W, Reumann D, Murawala P, Pasierbek P, Taniguchi Y, Bonnay F, Meixner K, Knoblich JA, Tanaka EM., Development. February 1, 2019; 146 (3): |
|
The axolotl genome and the evolution of key tissue formation regulators., Nowoshilow S, Schloissnig S, Fei JF, Dahl A, Pang AWC, Pippel M, Winkler S, Hastie AR, Young G, Roscito JG, Falcon F, Knapp D, Powell S, Cruz A, Cao H, Habermann B, Hiller M, Tanaka EM, Myers EW., Nature. February 1, 2018; 554 (7690): 50-55. |
|
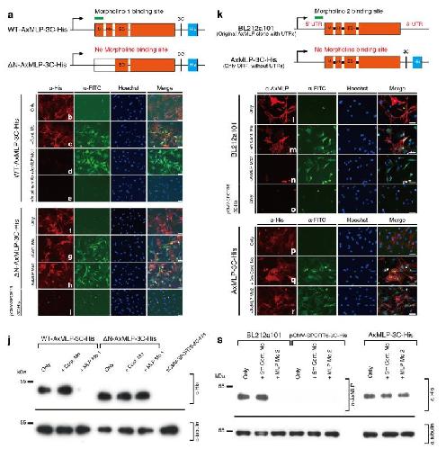
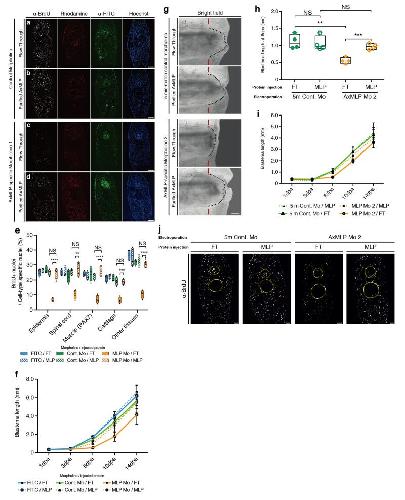
MARCKS-like protein is an initiating molecule in axolotl appendage regeneration., Sugiura T, Wang H, Barsacchi R, Simon A, Tanaka EM., Nature. March 10, 2016; 531 (7593): 237-40. |
|
Germline Transgenic Methods for Tracking Cells and Testing Gene Function during Regeneration in the Axolotl., Khattak S, Schuez M, Richter T, Knapp D, Haigo SL, Sandoval-Guzmán T, Hradlikova K, Duemmler A, Kerney R, Tanaka EM., Stem Cell Reports. June 4, 2013; 1 (1): 90-103. |
|
Connective tissue cells, but not muscle cells, are involved in establishing the proximo-distal outcome of limb regeneration in the axolotl., Nacu E, Glausch M, Le HQ, Damanik FF, Schuez M, Knapp D, Khattak S, Richter T, Tanaka EM., Development. February 1, 2013; 140 (3): 513-8. |
|
The cellular basis for animal regeneration., Tanaka EM, Reddien PW., Dev Cell. July 19, 2011; 21 (1): 172-85. |
|
Generation of Transgenic Axolotls (Ambystoma mexicanum)., Khattak S, Richter T, Tanaka EM., Cold Spring Harb Protoc. August 1, 2009; 2009 (8): pdb.prot5264. |
|
Microtubule behavior in the growth cones of living neurons during axon elongation., Tanaka EM, Kirschner MW., J Cell Biol. October 1, 1991; 115 (2): 345-63. |
???pagination.result.page??? 1
