Click here to close Hello! We notice that you are using Internet Explorer, which is not supported by Xenbase and may cause the site to display incorrectly. We suggest using a current version of Chrome, FireFox, or Safari.

Profile Publications (103)
XB-PERS-3916

Publications By HongYan Zhang

???pagination.result.count???

???pagination.result.page??? 1 2 3 ???pagination.result.next???


Computer simulations of a dynamic sodium pump-mediated hyperpolarization and short-term motor memory in the spinal locomotor network of Xenopus frog tadpoles., Heitler WJ, Hachoumi L, Gamble A, Zhang H, Sillar KT., J Neurophysiol. December 5, 2025;


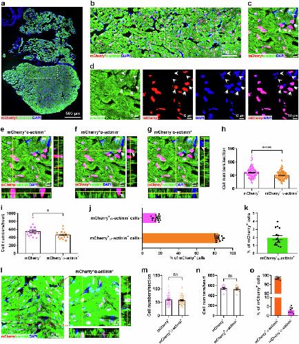
Cardiomyocyte proliferation and heart regeneration in adult Xenopus tropicalis evidenced by a transgenic reporter line., Lin XL, Lin JH, Cao Y, Zhang H, He SY, Wu HY, Ye ZB, Zheng L, Qi XF., NPJ Regen Med. December 19, 2024; 9 (1): 40.   


Cannabichromene from full-spectrum hemp extract exerts acute anti-seizure effects through allosteric activation of GABAA receptors., Wang Z, Zheng H, Yang H, Song H, Lian J, Peng C, Wang H, Zhang H, Zheng Y, Wang Q, Lan L, Duan G, Ma L, Peng X, Huang Z., Fundam Res. November 20, 2024; 4 (6): 1357-1364.   


Computational Modeling Oriented Substructure Splicing Application in the Identification of Thiazolidine Derivatives as Potential Low Honeybee Toxic Neonicotinoids., Zhou C, Kong Y, Zhang H, Zhai N, Li Z, Qian X, Liu Z, Cheng J., J Agric Food Chem. May 17, 2024;


Mechanisms Underlying the Recruitment of Inhibitory Interneurons in Fictive Swimming in Developing Xenopus laevis Tadpoles., Ferrario A, Saccomanno V, Zhang HY, Borisyuk R, Li WC., J Neurosci. February 22, 2023; 43 (8): 1387-1404.   


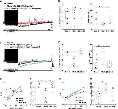
Bimodal modulation of short-term motor memory via dynamic sodium pumps in a vertebrate spinal cord., Hachoumi L, Rensner R, Richmond C, Picton L, Zhang H, Sillar KT., Curr Biol. March 14, 2022; 32 (5): 1038-1048.e2.   


Thyroid hormone receptor α controls larval intestinal epithelial cell death by regulating the CDK1 pathway., Tanizaki Y, Zhang H, Shibata Y, Shi YB., Commun Biol. February 7, 2022; 5 (1): 112.   


Thyroid Hormone Receptor α Controls the Hind Limb Metamorphosis by Regulating Cell Proliferation and Wnt Signaling Pathways in Xenopus tropicalis., Tanizaki Y, Shibata Y, Zhang H, Shi YB., Int J Mol Sci. January 22, 2022; 23 (3):   


Bisphenol A exposure induces apoptosis and impairs early embryonic development in Xenopus laevis., Ge Y, Ren F, Chen L, Hu D, Wang X, Cui Y, Suo Y, Zhang H, He J, Yin Z, Ning H., Environ Pollut. July 1, 2021; 280 116901.   


Thyroid Hormone Receptor Is Essential for Larval Epithelial Apoptosis and Adult Epithelial Stem Cell Development but Not Adult Intestinal Morphogenesis during Xenopus tropicalis Metamorphosis., Shibata Y, Tanizaki Y, Zhang H, Lee H, Dasso M, Shi YB., Cells. March 3, 2021; 10 (3):   


Structures of mammalian GLD-2 proteins reveal molecular basis of their functional diversity in mRNA and microRNA processing., Ma XY, Zhang H, Feng JX, Hu JL, Yu B, Luo L, Cao YL, Liao S, Wang J, Gao S., Nucleic Acids Res. September 4, 2020; 48 (15): 8782-8795.   


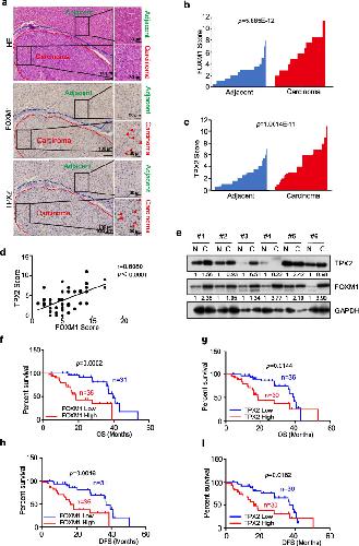
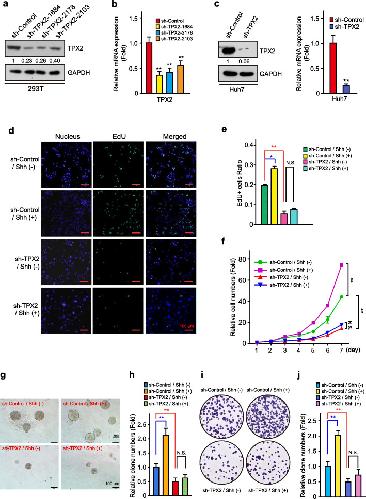
The critical role of dysregulated Hh-FOXM1-TPX2 signaling in human hepatocellular carcinoma cell proliferation., Wang Y, Wang H, Yan Z, Li G, Hu G, Zhang H, Huang D, Wang Y, Zhang X, Yan Y, Lu Q, Cheng M, Luo S., Cell Commun Signal. July 28, 2020; 18 (1): 116.   


Tumor-Suppressive MicroRNA-216b Binds to TPX2, Activating the p53 Signaling in Human Cutaneous Squamous Cell Carcinoma., Feng C, Zhang HL, Zeng A, Bai M, Wang XJ., Mol Ther Nucleic Acids. June 5, 2020; 20 186-195.   


The connexin26 human mutation N14K disrupts cytosolic intersubunit interactions and promotes channel opening., Valdez Capuccino JM, Chatterjee P, García IE, Botello-Smith WM, Zhang H, Harris AL, Luo Y, Contreras JE., J Gen Physiol. March 4, 2019; 151 (3): 328-341.   


Control of Xenopus Tadpole Locomotion via Selective Expression of Ih in Excitatory Interneurons., Picton LD, Sillar KT, Zhang HY., Curr Biol. December 17, 2018; 28 (24): 3911-3923.e2.   


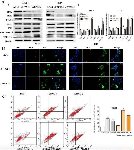
Targeting TPX2 suppresses proliferation and promotes apoptosis via repression of the PI3k/AKT/P21 signaling pathway and activation of p53 pathway in breast cancer., Chen M, Zhang H, Zhang G, Zhong A, Ma Q, Kai J, Tong Y, Xie S, Wang Y, Zheng H, Guo L, Lu R., Biochem Biophys Res Commun. December 9, 2018; 507 (1-4): 74-82.   


TPX2 level correlates with cholangiocarcinoma cell proliferation, apoptosis, and EMT., Zou Z, Zheng B, Li J, Lv X, Zhang H, Yu F, Kong L, Li Y, Yu M, Fang L, Liang B., Biomed Pharmacother. November 1, 2018; 107 1286-1293.


Understanding the Molecular Basis of Salt Sequestration in Epidermal Bladder Cells of Chenopodium quinoa., Böhm J, Messerer M, Müller HM, Scholz-Starke J, Gradogna A, Scherzer S, Maierhofer T, Bazihizina N, Zhang H, Stigloher C, Ache P, Al-Rasheid KAS, Mayer KFX, Shabala S, Carpaneto A, Haberer G, Zhu JK, Hedrich R., Curr Biol. October 8, 2018; 28 (19): 3075-3085.e7.


A toolbox of immunoprecipitation-grade monoclonal antibodies to human transcription factors., Venkataraman A, Yang K, Irizarry J, Mackiewicz M, Mita P, Kuang Z, Xue L, Ghosh D, Liu S, Ramos P, Hu S, Bayron Kain D, Keegan S, Saul R, Colantonio S, Zhang H, Behn FP, Song G, Albino E, Asencio L, Ramos L, Lugo L, Morell G, Rivera J, Ruiz K, Almodovar R, Nazario L, Murphy K, Vargas I, Rivera-Pacheco ZA, Rosa C, Vargas M, McDade J, Clark BS, Yoo S, Khambadkone SG, de Melo J, Stevanovic M, Jiang L, Li Y, Yap WY, Jones B, Tandon A, Campbell E, Montelione GT, Anderson S, Myers RM, Boeke JD, Fenyö D, Whiteley G, Bader JS, Pino I, Eichinger DJ, Zhu H, Blackshaw S., Nat Methods. May 1, 2018; 15 (5): 330-338.


Preclinical Characterization of (R)-3-((3S,4S)-3-fluoro-4-(4-hydroxyphenyl)piperidin-1-yl)-1-(4-methylbenzyl)pyrrolidin-2-one (BMS-986169), a Novel, Intravenous, Glutamate N-Methyl-d-Aspartate 2B Receptor Negative Allosteric Modulator with Potential in Major Depressive Disorder., Bristow LJ, Gulia J, Weed MR, Srikumar BN, Li YW, Graef JD, Naidu PS, Sanmathi C, Aher J, Bastia T, Paschapur M, Kalidindi N, Kumar KV, Molski T, Pieschl R, Fernandes A, Brown JM, Sivarao DV, Newberry K, Bookbinder M, Polino J, Keavy D, Newton A, Shields E, Simmermacher J, Kempson J, Li J, Zhang H, Mathur A, Kallem RR, Sinha M, Ramarao M, Vikramadithyan RK, Thangathirupathy S, Warrier J, Islam I, Bronson JJ, Olson RE, Macor JE, Albright CF, King D, Thompson LA, Marcin LR, Sinz M., J Pharmacol Exp Ther. December 1, 2017; 363 (3): 377-393.


Sodium pump regulation of locomotor control circuits., Picton LD, Zhang H, Sillar KT., J Neurophysiol. August 1, 2017; 118 (2): 1070-1081.


Dissecting structures and functions of SecA-only protein-conducting channels: ATPase, pore structure, ion channel activity, protein translocation, and interaction with SecYEG/SecDF•YajC., Hsieh YH, Huang YJ, Zhang H, Liu Q, Lu Y, Yang H, Houghton J, Jiang C, Sui SF, Tai PC., PLoS One. June 2, 2017; 12 (6): e0178307.   


Pharmacological characterization of the excitatory 'Cys-loop' GABA receptor family in Caenorhabditis elegans., Nicholl GC, Jawad AK, Weymouth R, Zhang H, Beg AA., Br J Pharmacol. May 1, 2017; 174 (9): 781-795.


Novel mutations involving βI-, βIIA-, or βIVB-tubulin isotypes with functional resemblance to βIII-tubulin in breast cancer., Wang W, Zhang H, Wang X, Patterson J, Winter P, Graham K, Ghosh S, Lee JC, Katsetos CD, Mackey JR, Tuszynski JA, Wong GK, Ludueña RF., Protoplasma. May 1, 2017; 254 (3): 1163-1173.


Three pairs of weak interactions precisely regulate the G-loop gate of Kir2.1 channel., Li J, Xiao S, Xie X, Zhou H, Pang C, Li S, Zhang H, Logothetis DE, Zhan Y, An H., Proteins. December 1, 2016; 84 (12): 1929-1937.


Structural Basis for Differences in Dynamics Induced by Leu Versus Ile Residues in the CD Loop of Kir Channels., Lü S, An H, Zhang H, Long M., Mol Neurobiol. November 1, 2016; 53 (9): 5948-5961.   


Ikarisoside A inhibits acetylcholine-induced catecholamine secretion and synthesis by suppressing nicotinic acetylcholine receptor-ion channels in cultured bovine adrenal medullary cells., Li X, Toyohira Y, Horisita T, Satoh N, Takahashi K, Zhang H, Iinuma M, Yoshinaga Y, Ueno S, Tsutsui M, Sata T, Yanagihara N., Naunyn Schmiedebergs Arch Pharmacol. December 1, 2015; 388 (12): 1259-69.


Mechanisms underlying the activity-dependent regulation of locomotor network performance by the Na+ pump., Zhang HY, Picton L, Li WC, Sillar KT., Sci Rep. November 6, 2015; 5 16188.   


TPX2 as a novel prognostic biomarker for hepatocellular carcinoma., Liu Q, Tu K, Zhang H, Zheng X, Yao Y, Liu Q., Hepatol Res. August 1, 2015; 45 (8): 906-18.


Positive Surgical Margin, HPV Persistence, and Expression of Both TPX2 and PD-L1 Are Associated with Persistence/Recurrence of Cervical Intraepithelial Neoplasia after Cervical Conization., Zhang H, Zhang T, You Z, Zhang Y., PLoS One. January 1, 2015; 10 (12): e0142868.   


Voltage-dependent blockade by bupivacaine of cardiac sodium channels expressed in Xenopus oocytes., Zhang H, Ji H, Liu Z, Ji Y, You X, Ding G, Cheng Z., Neurosci Bull. August 1, 2014; 30 (4): 697-710.


TPX2 knockdown suppressed hepatocellular carcinoma cell invasion via inactivating AKT signaling and inhibiting MMP2 and MMP9 expression., Liu Q, Yang P, Tu K, Zhang H, Zheng X, Yao Y, Liu Q., Chin J Cancer Res. August 1, 2014; 26 (4): 410-7.


The generation of antiphase oscillations and synchrony by a rebound-based vertebrate central pattern generator., Li WC, Merrison-Hort R, Zhang HY, Borisyuk R., J Neurosci. April 23, 2014; 34 (17): 6065-77.


Lack of negatively charged residues at the external mouth of Kir2.2 channels enable the voltage-dependent block by external Mg2+., Li J, Xie X, Liu J, Yu H, Zhang S, Zhan Y, Zhang H, Logothetis DE, An H., PLoS One. January 1, 2014; 9 (10): e111372.   


G protein-coupled receptor signaling to Kir channels in Xenopus oocytes., Hatcher-Solis C, Fribourg M, Spyridaki K, Younkin J, Ellaithy A, Xiang G, Liapakis G, Gonzalez-Maeso J, Zhang H, Cui M, Logothetis DE., Curr Pharm Biotechnol. January 1, 2014; 15 (10): 987-95.


Specificity of SecYEG for PhoA precursors and SecA homologs on SecA protein-conducting channels., Zhang H, Hsieh YH, Lin BR, Yu L, Yang H, Jiang C, Sui SF, Tai PC., Biochem Biophys Res Commun. July 26, 2013; 437 (2): 212-216.


Reconstitution of functionally efficient SecA-dependent protein-conducting channels: transformation of low-affinity SecA-liposome channels to high-affinity SecA-SecYEG-SecDF·YajC channels., Hsieh YH, Zhang H, Wang H, Yang H, Jiang C, Sui SF, Tai PC., Biochem Biophys Res Commun. February 15, 2013; 431 (3): 388-92.


Two-electrode voltage clamp., Guan B, Chen X, Zhang H., Methods Mol Biol. January 1, 2013; 998 79-89.


Maternal Mga is required for Wnt signaling and organizer formation in the early Xenopus embryo., Gu F, Shi H, Gao L, Zhang H, Tao Q., Acta Biochim Biophys Sin (Shanghai). November 1, 2012; 44 (11): 939-47.


Short-term memory of motor network performance via activity-dependent potentiation of Na+/K+ pump function., Zhang HY, Sillar KT., Curr Biol. March 20, 2012; 22 (6): 526-31.


sizzled function and secreted factor network dynamics., Shi J, Zhang H, Dowell RD, Klymkowsky MW., Biol Open. March 15, 2012; 1 (3): 286-94.   


High mobility group B proteins regulate mesoderm formation and dorsoventral patterning during zebrafish and Xenopus early development., Cao JM, Li SQ, Zhang HW, Shi DL., Mech Dev. January 1, 2012; 129 (9-12): 263-74.   


SecA alone can promote protein translocation and ion channel activity: SecYEG increases efficiency and signal peptide specificity., Hsieh YH, Zhang H, Lin BR, Cui N, Na B, Yang H, Jiang C, Sui SF, Tai PC., J Biol Chem. December 30, 2011; 286 (52): 44702-9.


Membrane depolarization increases membrane PtdIns(4,5)P2 levels through mechanisms involving PKC βII and PI4 kinase., Chen X, Zhang X, Jia C, Xu J, Gao H, Zhang G, Du X, Zhang H., J Biol Chem. November 18, 2011; 286 (46): 39760-7.


Development of a spinal locomotor rheostat., Zhang HY, Issberner J, Sillar KT., Proc Natl Acad Sci U S A. July 12, 2011; 108 (28): 11674-9.   


Puerarin: a novel antagonist to inward rectifier potassium channel (IK1)., Zhang H, Zhang L, Zhang Q, Yang X, Yu J, Shun S, Wu Y, Zeng Q, Wang T., Mol Cell Biochem. June 1, 2011; 352 (1-2): 117-23.


Mechanism of acetylcholine receptor cluster formation induced by DC electric field., Zhang HL, Peng HB., PLoS One. January 1, 2011; 6 (10): e26805.   


Dual effects of nobiletin, a citrus polymethoxy flavone, on catecholamine secretion in cultured bovine adrenal medullary cells., Zhang H, Toyohira Y, Ueno S, Shinohara Y, Itoh H, Furuno Y, Yamakuni T, Tsutsui M, Takahashi K, Yanagihara N., J Neurochem. August 1, 2010; 114 (4): 1030-8.


Depolarization increases phosphatidylinositol (PI) 4,5-bisphosphate level and KCNQ currents through PI 4-kinase mechanisms., Zhang X, Chen X, Jia C, Geng X, Du X, Zhang H., J Biol Chem. March 26, 2010; 285 (13): 9402-9.


5-Stabilized phosphatidylinositol 3,4,5-trisphosphate analogues bind Grp1 PH, inhibit phosphoinositide phosphatases, and block neutrophil migration., Zhang H, He J, Kutateladze TG, Sakai T, Sasaki T, Markadieu N, Erneux C, Prestwich GD., Chembiochem. February 15, 2010; 11 (3): 388-95.

???pagination.result.page??? 1 2 3 ???pagination.result.next???