Click here to close Hello! We notice that you are using Internet Explorer, which is not supported by Xenbase and may cause the site to display incorrectly. We suggest using a current version of Chrome, FireFox, or Safari.

Profile Publications (172)
XB-PERS-3688

Publications By Joe Wang

???pagination.result.count???

???pagination.result.page??? 1 2 3 4 ???pagination.result.next???


OsPT4 Facilitates Selenomethionine Transport and Biosynthesis to Enhance Seed Accumulation in Rice: Molecular Mechanisms and Biotechnological Potential., Yang Y, Sun L, Wei J, Zhang F, Yang S, Zhang J, Qin Q, Wang J, Xu G, Sun S, Sun Y, Xue Y., Plant Biotechnol J. November 14, 2025;


Novel 2-(2-Thienyl)-thiazolo[4,5-d]pyrimidin-7(6H)-ones Binding β+/α- Subunit Interface as GABAAR Positive Allosteric Modulator for the Treatment of Status Epilepticus in Mouse., Liao W, Wang Z, Wang H, Zheng Y, Wang J, Li Y, Wang W, Wang X, Zhang L, Sun Q, Huang Z., J Med Chem. July 14, 2025; 68 (15): 15910-15932.


Cloning, expression, and functional identification of aquaporin genes from Eimeria tenella., Wang J, Qu Z, Ma X, Olajide JS, Cai J., Vet Parasitol. June 1, 2024; 328 110153.


Echinobase: a resource to support the echinoderm research community., Telmer CA, Karimi K, Chess MM, Agalakov S, Arshinoff BI, Lotay V, Wang DZ, Chu S, Pells TJ, Vize PD, Hinman VF, Ettensohn CA., Genetics. January 23, 2024;   


Molecular Mechanism of Action of Cycloxaprid, An Oxabridged cis-Nitromethylene Neonicotinoid., Zhang Y, Xu X, Wang J, Shao X, Liu Z, Li Z., Int J Mol Sci. April 19, 2023; 24 (8):   


Endothelial Brg1 fine-tunes Notch signaling during zebrafish heart regeneration., Xiao C, Hou J, Wang F, Song Y, Zheng J, Luo L, Wang J, Ding W, Zhu X, Xiong JW., NPJ Regen Med. April 7, 2023; 8 (1): 21.   


Two odorant receptors regulate 1-octen-3-ol induced oviposition behavior in the oriental fruit fly., Xu L, Jiang HB, Yu JL, Pan D, Tao Y, Lei Q, Chen Y, Liu Z, Wang JJ., Commun Biol. February 15, 2023; 6 (1): 176.   


Cell landscape of larval and adult Xenopus laevis at single-cell resolution., Liao Y, Ma L, Guo Q, E W, Fang X, Yang L, Ruan F, Wang J, Zhang P, Sun Z, Chen H, Lin Z, Wang X, Wang X, Sun H, Fang X, Zhou Y, Chen M, Shen W, Guo G, Han X., Nat Commun. July 25, 2022; 13 (1): 4306.   


Whole-genome sequencing identifies I-SceI-mediated transgene integration sites in Xenopus tropicalis snai2:eGFP line., Wang J, Lu C, Wei S., G3 (Bethesda). May 6, 2022; 12 (5):   


Target Protein for Xklp2 Functions as Coactivator of Androgen Receptor and Promotes the Proliferation of Prostate Carcinoma Cells., Sun B, Long Y, Xiao L, Wang J, Yi Q, Tong D, Li K., J Oncol. April 11, 2022; 2022 6085948.   


Peptide-based long-acting co-agonists of GLP-1 and cholecystokinin 1 receptors as novel anti-diabesity agents., Yang Q, Zhou F, Tang X, Wang J, Feng H, Jiang W, Jin L, Jiang N, Yuan Y, Han J, Yan Z., Eur J Med Chem. April 5, 2022; 233 114214.


The Xenopus phenotype ontology: bridging model organism phenotype data to human health and development., Fisher ME, Segerdell E, Matentzoglu N, Nenni MJ, Fortriede JD, Chu S, Pells TJ, Osumi-Sutherland D, Chaturvedi P, James-Zorn C, Sundararaj N, Lotay VS, Ponferrada V, Wang DZ, Kim E, Agalakov S, Arshinoff BI, Karimi K, Vize PD, Zorn AM., BMC Bioinformatics. March 22, 2022; 23 (1): 99.   


Ciliogenesis and autophagy are coordinately regulated by EphA2 in the cornea to maintain proper epithelial architecture., Kaplan N, Wang S, Wang J, Yang W, Ventrella R, Majekodunmi A, Perez White BE, Getsios S, Mitchell BJ, Peng H, Lavker RM., Ocul Surf. July 1, 2021; 21 193-205.


Cooperation behavior of fore- And hindlimbs during jumping in Rana dybowskii and Xenopus laevis., Li M, Gao Z, Wang J, Song W, Zhang Q, Tong J, Ren L., Ecol Evol. June 1, 2021; 11 (12): 7569-7578.   


A plasma membrane transporter coordinates phosphate reallocation and grain filling in cereals., Ma B, Zhang L, Gao Q, Wang J, Li X, Wang H, Liu Y, Lin H, Liu J, Wang X, Li Q, Deng Y, Tang W, Luan S, He Z., Nat Genet. June 1, 2021; 53 (6): 906-915.


Structures of mammalian GLD-2 proteins reveal molecular basis of their functional diversity in mRNA and microRNA processing., Ma XY, Zhang H, Feng JX, Hu JL, Yu B, Luo L, Cao YL, Liao S, Wang J, Gao S., Nucleic Acids Res. September 4, 2020; 48 (15): 8782-8795.   


Multiple acid-base and electrolyte disturbances upregulate NBCn1, NBCn2, IRBIT and L-IRBIT in the mTAL., Wang JL, Wang XY, Wang DK, Parker MD, Musa-Aziz R, Popple J, Guo YM, Min TX, Xia T, Tan M, Liu Y, Boron WF, Chen LM., J Physiol. August 1, 2020; 598 (16): 3395-3415.


Three Host Plant Volatiles, Hexanal, Lauric Acid, and Tetradecane, are Detected by an Antenna-Biased Expressed Odorant Receptor 27 in the Dark Black Chafer Holotrichia parallela., Wang X, Wang S, Yi J, Li Y, Liu J, Wang J, Xi J., J Agric Food Chem. July 15, 2020; 68 (28): 7316-7323.


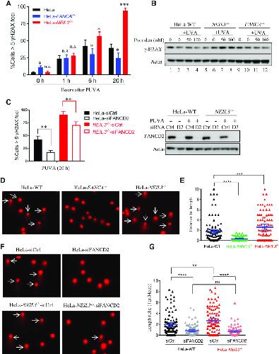
Cooperation of the NEIL3 and Fanconi anemia/BRCA pathways in interstrand crosslink repair., Li N, Wang J, Wallace SS, Chen J, Zhou J, D'Andrea AD., Nucleic Acids Res. April 6, 2020; 48 (6): 3014-3028.   


Structural basis of subtype-selective competitive antagonism for GluN2C/2D-containing NMDA receptors., Wang JX, Irvine MW, Burnell ES, Sapkota K, Thatcher RJ, Li M, Simorowski N, Volianskis A, Collingridge GL, Monaghan DT, Jane DE, Furukawa H., Nat Commun. January 22, 2020; 11 (1): 423.   


Discovery of an intrasubunit nicotinic acetylcholine receptor-binding site for the positive allosteric modulator Br-PBTC., Norleans J, Wang J, Kuryatov A, Leffler A, Doebelin C, Kamenecka TM, Lindstrom J., J Biol Chem. August 9, 2019; 294 (32): 12132-12145.


The L46P mutant confers a novel allosteric mechanism of resistance toward the influenza A virus M2 S31N proton channel blockers., Musharrafieh R, Lagarias PI, Ma C, Tan GS, Kolocouris A, Wang J., Mol Pharmacol. August 7, 2019; 96 (2): 148-157.


Modeling human point mutation diseases in Xenopus tropicalis with a modified CRISPR/Cas9 system., Shi Z, Xin H, Tian D, Lian J, Wang J, Liu G, Ran R, Shi S, Zhang Z, Shi Y, Deng Y, Hou C, Chen Y., FASEB J. June 1, 2019; 33 (6): 6962-6968.


Expression, Localization, and Effect of High Salt Intake on Electroneutral Na+/HCO3 - Cotransporter NBCn2 in Rat Small Intestine: Implication in Intestinal NaCl Absorption., Wang JL, Zhao L, Zhu J, Wang DK, Ren MJ, Wang M, Liu Y, Boron WF, Chen LM., Front Physiol. January 1, 2019; 10 1334.   


Pannexin1: a multifunction and multiconductance and/or permeability membrane channel., Wang J, Dahl G., Am J Physiol Cell Physiol. September 1, 2018; 315 (3): C290-C299.


Cationic control of Panx1 channel function., Wang J, Jackson DG, Dahl G., Am J Physiol Cell Physiol. September 1, 2018; 315 (3): C279-C289.


Symmetric dimeric adamantanes for exploring the structure of two viroporins: influenza virus M2 and hepatitis C virus p7., Mandour YM, Breitinger U, Ma C, Wang J, Boeckler FM, Breitinger HG, Zlotos DP., Drug Des Devel Ther. April 30, 2018; 12 1019-1031.   


Shank3-deficient thalamocortical neurons show HCN channelopathy and alterations in intrinsic electrical properties., Zhu M, Idikuda VK, Wang J, Wei F, Kumar V, Shah N, Waite CB, Liu Q, Zhou L., J Physiol. April 1, 2018; 596 (7): 1259-1276.


Functional studies reveal the similarities and differences between AM2 and BM2 proton channels from influenza viruses., Ma C, Wang J., Biochim Biophys Acta Biomembr. February 1, 2018; 1860 (2): 272-280.


Xenbase: a genomic, epigenomic and transcriptomic model organism database., Karimi K, Fortriede JD, Lotay VS, Burns KA, Wang DZ, Fisher ME, Pells TJ, James-Zorn C, Wang Y, Ponferrada VG, Chu S, Chaturvedi P, Zorn AM, Vize PD., Nucleic Acids Res. January 4, 2018; 46 (D1): D861-D868.   


Navigating Xenbase: An Integrated Xenopus Genomics and Gene Expression Database., James-Zorn C, Ponferrada V, Fisher ME, Burns K, Fortriede J, Segerdell E, Karimi K, Lotay V, Wang DZ, Chu S, Pells T, Wang Y, Vize PD, Zorn A., Methods Mol Biol. January 1, 2018; 1757 251-305.


The nonproton ligand of acid-sensing ion channel 3 activates mollusk-specific FaNaC channels via a mechanism independent of the native FMRFamide peptide., Yang XN, Niu YY, Liu Y, Yang Y, Wang J, Cheng XY, Liang H, Wang HS, Hu YM, Lu XY, Zhu MX, Xu TL, Tian Y, Yu Y., J Biol Chem. December 29, 2017; 292 (52): 21662-21675.


The Arf GEF GBF1 and Arf4 synergize with the sensory receptor cargo, rhodopsin, to regulate ciliary membrane trafficking., Wang J, Fresquez T, Kandachar V, Deretic D., J Cell Sci. December 1, 2017; 130 (23): 3975-3987.   


Bimodal regulation of Dishevelled function by Vangl2 during morphogenesis., Seo HS, Habas R, Chang C, Wang J., Hum Mol Genet. June 1, 2017; 26 (11): 2053-2061.


Post-stimulation block of frog sciatic nerve by high-frequency (kHz) biphasic stimulation., Yang G, Xiao Z, Wang J, Shen B, Roppolo JR, de Groat WC, Tai C., Med Biol Eng Comput. April 1, 2017; 55 (4): 585-593.


Chromatin-remodelling factor Brg1 regulates myocardial proliferation and regeneration in zebrafish., Xiao C, Gao L, Hou Y, Xu C, Chang N, Wang F, Hu K, He A, Luo Y, Wang J, Peng J, Tang F, Zhu X, Xiong JW., Nat Commun. December 8, 2016; 7 13787.   


Unorthodox Acetylcholine Binding Sites Formed by α5 and β3 Accessory Subunits in α4β2* Nicotinic Acetylcholine Receptors., Jain A, Kuryatov A, Wang J, Kamenecka TM, Lindstrom J., J Biol Chem. November 4, 2016; 291 (45): 23452-23463.


Plasma Membrane Intrinsic Proteins SlPIP2;1, SlPIP2;7 and SlPIP2;5 Conferring Enhanced Drought Stress Tolerance in Tomato., Li R, Wang J, Li S, Zhang L, Qi C, Weeda S, Zhao B, Ren S, Guo YD., Sci Rep. August 22, 2016; 6 31814.   


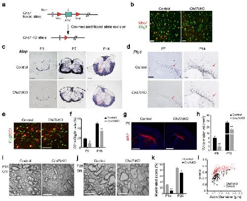
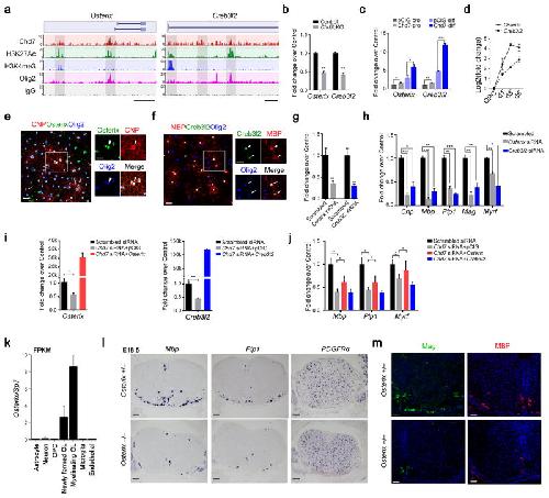
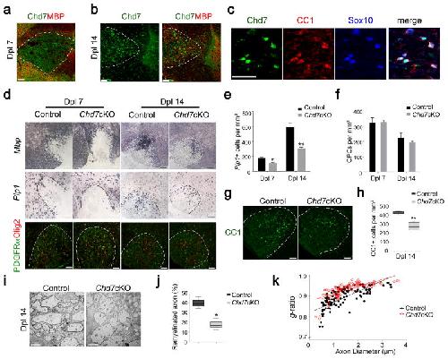
Chd7 cooperates with Sox10 and regulates the onset of CNS myelination and remyelination., He D, Marie C, Zhao C, Kim B, Wang J, Deng Y, Clavairoly A, Frah M, Wang H, He X, Hmidan H, Jones BV, Witte D, Zalc B, Zhou X, Choo DI, Martin DM, Parras C, Lu QR., Nat Neurosci. May 1, 2016; 19 (5): 678-89.   


Spatial regulation of cell cohesion by Wnt5a during second heart field progenitor deployment., Li D, Sinha T, Ajima R, Seo HS, Yamaguchi TP, Wang J., Dev Biol. April 1, 2016; 412 (1): 18-31.   


Dual Oxidase 2 (Duox2) Regulates Pannexin 1-mediated ATP Release in Primary Human Airway Epithelial Cells via Changes in Intracellular pH and Not H2O2 Production., Krick S, Wang J, St-Pierre M, Gonzalez C, Dahl G, Salathe M., J Biol Chem. March 18, 2016; 291 (12): 6423-32.


Novel BCOR mutation in a boy with Lenz microphthalmia/oculo-facio-cardio-dental (OFCD) syndrome., Zhu X, Dai FR, Wang J, Zhang Y, Tan ZP, Zhang Y., Gene. October 15, 2015; 571 (1): 142-4.   


Expression of cloned α6* nicotinic acetylcholine receptors., Wang J, Kuryatov A, Lindstrom J., Neuropharmacology. September 1, 2015; 96 (Pt B): 194-204.


An Accessory Agonist Binding Site Promotes Activation of α4β2* Nicotinic Acetylcholine Receptors., Wang J, Kuryatov A, Sriram A, Jin Z, Kamenecka TM, Kenny PJ, Lindstrom J., J Biol Chem. May 29, 2015; 290 (22): 13907-18.


A 90 day safety assessment of genetically modified rice expressing Cry1Ab/1Ac protein using an aquatic animal model., Zhu HJ, Chen Y, Li YH, Wang JM, Ding JT, Chen XP, Peng YF., J Agric Food Chem. April 15, 2015; 63 (14): 3627-33.


Phosphorylation of targeting protein for Xenopus kinesin-like protein 2 (TPX2) at threonine 72 in spindle assembly., Shim SY, Perez de Castro I, Neumayer G, Wang J, Park SK, Sanada K, Nguyen MD., J Biol Chem. April 3, 2015; 290 (14): 9122-34.


Mapping the dynamic expression of Wnt11 and the lineage contribution of Wnt11-expressing cells during early mouse development., Sinha T, Lin L, Li D, Davis J, Evans S, Wynshaw-Boris A, Wang J., Dev Biol. February 15, 2015; 398 (2): 177-92.   


Structural insight into autoinhibition and histone H3-induced activation of DNMT3A., Guo X, Wang L, Li J, Ding Z, Xiao J, Yin X, He S, Shi P, Dong L, Li G, Tian C, Wang J, Cong Y, Xu Y., Nature. January 29, 2015; 517 (7536): 640-4.


Understanding early organogenesis using a simplified in situ hybridization protocol in Xenopus., Deimling SJ, Halabi RR, Grover SA, Wang JH, Drysdale TA., J Vis Exp. January 12, 2015; (95): e51526.   


Regulation of HbPIP2;3, a Latex-Abundant Water Transporter, Is Associated with Latex Dilution and Yield in the Rubber Tree (Hevea brasiliensis Muell. Arg.)., An F, Zou Z, Cai X, Wang J, Rookes J, Lin W, Cahill D, Kong L., PLoS One. January 1, 2015; 10 (4): e0125595.   

???pagination.result.page??? 1 2 3 4 ???pagination.result.next???