Click here to close Hello! We notice that you are using Internet Explorer, which is not supported by Xenbase and may cause the site to display incorrectly. We suggest using a current version of Chrome, FireFox, or Safari.

Profile Publications (155)
XB-PERS-3525

Publications By Xiaofei Wang

???pagination.result.count???

???pagination.result.page??? 1 2 3 4 ???pagination.result.next???


Characterization of optic nerve regeneration following Nd:YAG laser-induced injury in Xenopus tropicalis., Tan J, Liu C, Chen Y, Li D, Chen Y, Zhao J, Jin A, Li H, Wang Y, Liu S, Xu T, Wang X, Yu Z, Cai S, Xu M, Liu X, Liu G, Fan N., Exp Eye Res. October 23, 2025; 259 110540.


Plasma membrane CYBDOM proteins catalyse apoplastic AsA regeneration and interact with RbohD to activate autophagy and drought tolerance in plants., Chen X, Jin S, Du H, Liu Z, Hou C, Tang L, Wang Y, Wang Y, Yang Z, Zhao T, Ma J, Zhang L, Li M, Qi D, Li W, Wang X, Sun R, Moore JP, Liu Y, Lin J, Deng X., Nat Plants. August 1, 2025; 11 (8): 1681-1699.


Novel 2-(2-Thienyl)-thiazolo[4,5-d]pyrimidin-7(6H)-ones Binding β+/α- Subunit Interface as GABAAR Positive Allosteric Modulator for the Treatment of Status Epilepticus in Mouse., Liao W, Wang Z, Wang H, Zheng Y, Wang J, Li Y, Wang W, Wang X, Zhang L, Sun Q, Huang Z., J Med Chem. July 14, 2025; 68 (15): 15910-15932.


Brain implantation of soft bioelectronics via embryonic development., Sheng H, Liu R, Li Q, Lin Z, He Y, Blum TS, Zhao H, Tang X, Wang W, Jin L, Wang Z, Hsiao E, Le Floch P, Shen H, Lee AJ, Jonas-Closs RA, Briggs J, Liu S, Solomon D, Wang X, Whited JL, Lu N, Liu J., Nature. June 11, 2025;


Cutaneous Pigment Cell Distributions and Skin Structure of Xenopus., Liang W, Hou C, Zhu Z, Wang P, Wang X, Li Z, Xue J, Ran R., Pigment Cell Melanoma Res. May 1, 2025; 38 (3): e70022.


Antimicrobial peptide DiPGLa-H exhibits the most outstanding anti-infective activity among the PGLa variants based on a systematic comparison., Zheng L, Zafir M, Zhang Z, Ma Y, Yang F, Wang X, Xue X, Wang C, Li P, Liu P, El-Gohary FA, Zhao X, Xue H., Appl Environ Microbiol. February 19, 2025; 91 (3): e0206224.   


Negative regulation of APC/C activation by MAPK-mediated attenuation of Cdc20Slp1 under stress., Sun L, Chen X, Song C, Shi W, Liu L, Bai S, Wang X, Chen J, Jiang C, Wang SM, Luo ZQ, Wang R, Wang Y, Jin QW., Elife. October 16, 2024; 13   


Gut pathobiome mediates behavioral and developmental disorders in biotoxin-exposed amphibians., Pan Q, Lv T, Xu H, Fang H, Li M, Zhu J, Wang Y, Fan X, Xu P, Wang X, Wang Q, Matsumoto H, Wang M., Environ Sci Ecotechnol. September 21, 2024; 21 100415.   


Characterization of hyperactive mutations in the renal potassium channel ROMK uncovers unique effects on channel biogenesis and ion conductance., Nguyen NH, Sheng S, Banerjee A, Guerriero CJ, Chen J, Wang X, Mackie TD, Welling PA, Kleyman TR, Bahar I, Carlson AE, Brodsky JL., Mol Biol Cell. July 1, 2024; 35 (9): ar119.   


Allosteric Activation of α7 Nicotinic Acetylcholine Receptors by Novel 2-Arylamino-thiazole-5-carboxylic Acid Amide Derivatives for the Improvement of Cognitive Deficits in Mice., Yang C, Meng Y, Wang X, Li X, Yu T, Liao W, Xie W, Jiang Q, Wang H, Shi C, Jiao W, Bian X, Hu F, Wang X, Liu Y, Zhang L, Wang K, Sun Q., J Med Chem. April 25, 2024; 67 (8): 6344-6364.


Response of Odorant Receptors with Phenylacetaldehyde and the Effects on the Behavior of the Rice Water Weevil (Lissorhoptrus oryzophilus)., Zhang X, Wang X, Zhao S, Fang K, Wang Z, Liu J, Xi J, Wang S, Zhang J., J Agric Food Chem. May 3, 2023; 71 (17): 6541-6551.


mRNA 3' -UTR-mediate translational control through PAS and CPE in sheep oocyte., Song CR, Zhang RJ, Xue FR, Zhang XJ, Wang XY, Sun D, Ding K, Yang Q, Wang XY, Liang CG., Theriogenology. April 15, 2023; 201 30-40.


Single-cell sequencing reveals the evolution of immune molecules across multiple vertebrate species., Jiao A, Zhang C, Wang X, Sun L, Liu H, Su Y, Lei L, Li W, Ding R, Ding C, Dou M, Tian P, Sun C, Yang X, Zhang L, Zhang B., J Adv Res. January 4, 2023; 55 73-87.   


Bile acids regulate the epithelial Na+ channel in native tissues through direct binding at multiple sites., Wang XP, Tomilin V, Nickerson AJ, Tian R, Ertem M, McKernan A, Lei X, Pochynyuk O, Kashlan OB., J Physiol. November 23, 2022; 600 (21): 4695-4711.   


Transcriptome characterization and SSR discovery in the giant spiny frog Quasipaa spinosa., Wang X, Xie Y, Hu W, Wei Z, Wei X, Yuan H, Yao H, Dunxue C., Gene. October 30, 2022; 842 146793.


Cell landscape of larval and adult Xenopus laevis at single-cell resolution., Liao Y, Ma L, Guo Q, E W, Fang X, Yang L, Ruan F, Wang J, Zhang P, Sun Z, Chen H, Lin Z, Wang X, Wang X, Sun H, Fang X, Zhou Y, Chen M, Shen W, Guo G, Han X., Nat Commun. July 25, 2022; 13 (1): 4306.   


Single-Hit Inactivation Drove Tumor Suppressor Genes Out of the X Chromosome during Evolution., Wang X, Hu W, Li X, Huang D, Li Q, Chan H, Zeng J, Xie C, Chen H, Liu X, Gin T, Wang MH, Cheng ASL, Kang W, To KF, Plewczynski D, Zhang Q, Chen X, Chan DCW, Ko H, Wong SH, Yu J, Chan MTV, Zhang L, Wu WKK., Cancer Res. April 15, 2022; 82 (8): 1482-1491.


Bisphenol A induces apoptosis in response to DNA damage through c-Abl/YAPY357/ p73 pathway in P19 embryonal carcinoma stem cells., Ren F, Ning H, Ge Y, Yin Z, Chen L, Hu D, Shen S, Wang X, Wang S, Li R, He J., Toxicology. March 30, 2022; 470 153138.


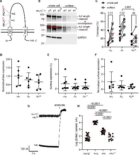
Activation by cleavage of the epithelial Na+ channel α and γ subunits independently coevolved with the vertebrate terrestrial migration., Wang XP, Balchak DM, Gentilcore C, Clark NL, Kashlan OB., Elife. January 5, 2022; 11   


Bisphenol A exposure induces apoptosis and impairs early embryonic development in Xenopus laevis., Ge Y, Ren F, Chen L, Hu D, Wang X, Cui Y, Suo Y, Zhang H, He J, Yin Z, Ning H., Environ Pollut. July 1, 2021; 280 116901.   


Heterologous Expression and Functional Analysis of Aedes aegypti Odorant Receptors to Human Odors in Xenopus Oocytes., Wang X, Chen Z, Wang Y, Liu F, Jiang S, Liu N., J Vis Exp. June 8, 2021; (172):


A plasma membrane transporter coordinates phosphate reallocation and grain filling in cereals., Ma B, Zhang L, Gao Q, Wang J, Li X, Wang H, Liu Y, Lin H, Liu J, Wang X, Li Q, Deng Y, Tang W, Luan S, He Z., Nat Genet. June 1, 2021; 53 (6): 906-915.


Phosphoproteomic Analysis of X enopus laevis Reveals Expression and Phosphorylation of Hypoxia-Inducible PFKFB3 during Dehydration., Hawkins LJ, Wang X, Xue X, Wang H, Storey KB., iScience. October 23, 2020; 23 (10): 101598.   


Multiple acid-base and electrolyte disturbances upregulate NBCn1, NBCn2, IRBIT and L-IRBIT in the mTAL., Wang JL, Wang XY, Wang DK, Parker MD, Musa-Aziz R, Popple J, Guo YM, Min TX, Xia T, Tan M, Liu Y, Boron WF, Chen LM., J Physiol. August 1, 2020; 598 (16): 3395-3415.


Three Host Plant Volatiles, Hexanal, Lauric Acid, and Tetradecane, are Detected by an Antenna-Biased Expressed Odorant Receptor 27 in the Dark Black Chafer Holotrichia parallela., Wang X, Wang S, Yi J, Li Y, Liu J, Wang J, Xi J., J Agric Food Chem. July 15, 2020; 68 (28): 7316-7323.


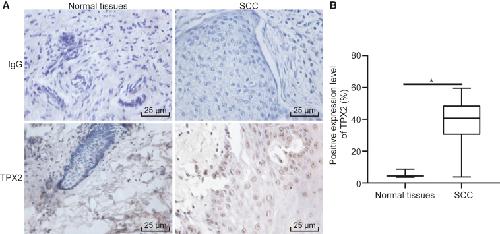
Tumor-Suppressive MicroRNA-216b Binds to TPX2, Activating the p53 Signaling in Human Cutaneous Squamous Cell Carcinoma., Feng C, Zhang HL, Zeng A, Bai M, Wang XJ., Mol Ther Nucleic Acids. June 5, 2020; 20 186-195.   


EphA7 is required for otic epithelial homeostasis by modulating Claudin6 in Xenopus., Wang X, Sun J, Wang Z, Li C, Mao B., Biochem Biophys Res Commun. May 28, 2020; 526 (2): 375-380.   


Paraoxonase 3 functions as a chaperone to decrease functional expression of the epithelial sodium channel., Shi S, Montalbetti N, Wang X, Rush BM, Marciszyn AL, Baty CJ, Tan RJ, Carattino MD, Kleyman TR., J Biol Chem. April 10, 2020; 295 (15): 4950-4962.


d-Glucuronolactone attenuates para-xylene-induced defects in neuronal development and plasticity in Xenopus tectum in vivo., Liao Y, Luo Y, Ding N, Gao J, Wang X, Shen W., Toxicology. January 30, 2020; 430 152341.


In Situ Hybridization and Immunostaining of Xenopus Brain., Liu KL, Wang XM, Li ZL, Liu Y, He RQ., Methods Mol Biol. January 1, 2020; 2047 363-375.


NA3 glycan: a potential therapy for retinal pigment epithelial deficiency., Chintalapudi SR, Wang X, Wang X, Shi Y, Kocak M, Palamoor M, Davis RN, Hollingsworth TJ, Jablonski MM., FEBS J. December 1, 2019; 286 (24): 4876-4888.


Natural product incarvillateine aggravates epileptic seizures by inhibiting GABAA currents., Bian X, Zhang Y, Huang B, Wang X, Wang G, Zhu Y, Liu Y, Liang J, Jia Y, Wang K., Eur J Pharmacol. September 5, 2019; 858 172496.


Chemical conversion of nicotinamide into type I positive allosteric modulator of α7 nAChRs., Li X, Xie W, Wang X, Huang Z, Bian X, Wang K, Sun Q., Bioorg Med Chem Lett. August 1, 2019; 29 (15): 1928-1933.


Murine epithelial sodium (Na+) channel regulation by biliary factors., Wang XP, Im SJ, Balchak DM, Montalbetti N, Carattino MD, Ray EC, Kashlan OB., J Biol Chem. June 28, 2019; 294 (26): 10182-10193.


Pharmacological characterization of JWX-A0108 as a novel type I positive allosteric modulator of α7 nAChR that can reverse acoustic gating deficits in a mouse prepulse inhibition model., Sun LL, Yang TY, Wei NN, Lu W, Jiao WX, Zhou QQ, Miao YZ, Gao Q, Wang XT, Sun Q, Wang K., Acta Pharmacol Sin. June 1, 2019; 40 (6): 737-745.


Design and Synthesis of Novel Positive Allosteric Modulators of α7 Nicotinic Acetylcholine Receptors with the Ability To Rescue Auditory Gating Deficit in Mice., Li Y, Sun L, Yang T, Jiao W, Tang J, Huang X, Huang Z, Meng Y, Luo L, Wang X, Bian X, Zhang F, Wang K, Sun Q., J Med Chem. January 10, 2019; 62 (1): 159-173.


Conserved cysteines in the finger domain of the epithelial Na+ channel α and γ subunits are proximal to the dynamic finger-thumb domain interface., Blobner BM, Wang XP, Kashlan OB., J Biol Chem. March 30, 2018; 293 (13): 4928-4939.


Heterologous formation of neonicotinoid-sensitive nAChRs containing UNC-38 and UNC-29 subunits from Bursaphelenchus xylophilus., Yu N, Liu Y, Wang X, Li J, Bao H, Liu Z., Pestic Biochem Physiol. November 1, 2017; 143 168-172.


Covalent Modifications of Histone H3K9 Promote Binding of CHD3., Tencer AH, Cox KL, Di L, Bridgers JB, Lyu J, Wang X, Sims JK, Weaver TM, Allen HF, Zhang Y, Gatchalian J, Darcy MA, Gibson MD, Ikebe J, Li W, Wade PA, Hayes JJ, Strahl BD, Kono H, Poirier MG, Musselman CA, Kutateladze TG., Cell Rep. October 10, 2017; 21 (2): 455-466.


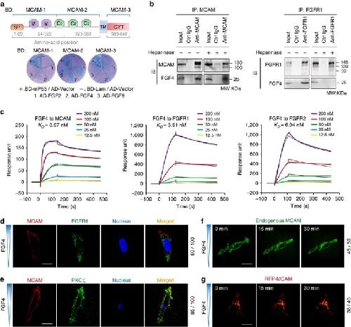
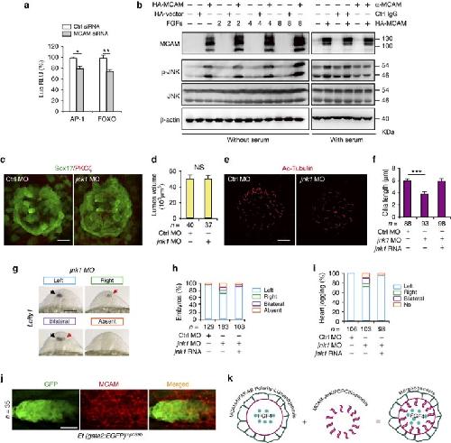
The signalling receptor MCAM coordinates apical-basal polarity and planar cell polarity during morphogenesis., Gao Q, Zhang J, Wang X, Liu Y, He R, Liu X, Wang F, Feng J, Yang D, Wang Z, Meng A, Yan X., Nat Commun. June 7, 2017; 8 15279.   


Novel mutations involving βI-, βIIA-, or βIVB-tubulin isotypes with functional resemblance to βIII-tubulin in breast cancer., Wang W, Zhang H, Wang X, Patterson J, Winter P, Graham K, Ghosh S, Lee JC, Katsetos CD, Mackey JR, Tuszynski JA, Wong GK, Ludueña RF., Protoplasma. May 1, 2017; 254 (3): 1163-1173.


Amyloid precursor protein modulates Nav1.6 sodium channel currents through a Go-coupled JNK pathway., Li S, Wang X, Ma QH, Yang WL, Zhang XG, Dawe GS, Xiao ZC., Sci Rep. December 23, 2016; 6 39320.   


EphA7 modulates apical constriction of hindbrain neuroepithelium during neurulation in Xenopus., Wang X, Sun J, Li C, Mao B., Biochem Biophys Res Commun. October 28, 2016; 479 (4): 759-765.   


A Comprehensive Analysis of the Phylogeny, Genomic Organization and Expression of Immunoglobulin Light Chain Genes in Alligator sinensis, an Endangered Reptile Species., Wang X, Cheng G, Lu Y, Zhang C, Wu X, Han H, Zhao Y, Ren L., PLoS One. January 1, 2016; 11 (2): e0147704.   


A single-point mutation enhances dual functionality of a scorpion toxin., Wang X, Gao B, Zhu S., Comp Biochem Physiol C Toxicol Pharmacol. January 1, 2016; 179 72-8.


Reduction in mRNA and protein expression of a nicotinic acetylcholine receptor α8 subunit is associated with resistance to imidacloprid in the brown planthopper, Nilaparvata lugens., Zhang Y, Wang X, Yang B, Hu Y, Huang L, Bass C, Liu Z., J Neurochem. November 1, 2015; 135 (4): 686-94.


Selective actions of Lynx proteins on different nicotinic acetylcholine receptors in the locust, Locusta migratoria manilensis., Wang X, Bao H, Sun H, Zhang Y, Fang J, Liu Q, Liu Z., J Neurochem. August 1, 2015; 134 (3): 455-62.


Xenopus Claudin-6 is required for embryonic pronephros morphogenesis and terminal differentiation., Sun J, Wang X, Li C, Mao B., Biochem Biophys Res Commun. July 3, 2015; 462 (3): 178-83.   


Dorsoventral patterning of the Xenopus eye involves differential temporal changes in the response of optic stalk and retinal progenitors to Hh signalling., Wang X, Lupo G, He R, Barsacchi G, Harris WA, Liu Y., Neural Dev. March 20, 2015; 10 7.   


Functional interaction of nicotinic acetylcholine receptors and Na+/K+ ATPase from Locusta migratoria manilensis (Meyen)., Bao H, Sun H, Xiao Y, Zhang Y, Wang X, Xu X, Liu Z, Fang J, Li Z., Sci Rep. March 6, 2015; 5 8849.   

???pagination.result.page??? 1 2 3 4 ???pagination.result.next???