|
XB-PERS-3479
Publications By Laura J. Hardwick
???pagination.result.count??????pagination.result.page??? 1
|
MyoD phosphorylation on multiple C terminal sites regulates myogenic conversion activity., Hardwick LJ, Davies JD, Philpott A., Biochem Biophys Res Commun. December 2, 2016; 481 (1-2): 97-103. |
|
An oncologist׳s friend: How Xenopus contributes to cancer research., Hardwick LJ, Philpott A., Dev Biol. December 15, 2015; 408 (2): 180-7. |
|
Multi-site phosphorylation regulates NeuroD4 activity during primary neurogenesis: a conserved mechanism amongst proneural proteins., Hardwick LJ, Philpott A., Neural Dev. June 18, 2015; 10 15. |
|
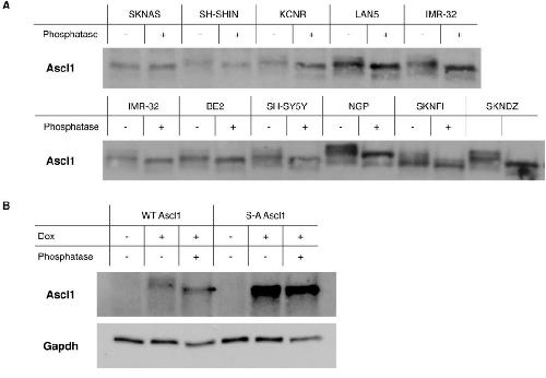
Ascl1 phospho-status regulates neuronal differentiation in a Xenopus developmental model of neuroblastoma., Wylie LA, Hardwick LJ, Papkovskaia TD, Thiele CJ, Philpott A., Dis Model Mech. May 1, 2015; 8 (5): 429-41. |
|
Complex domain interactions regulate stability and activity of closely related proneural transcription factors., McDowell GS, Hardwick LJ, Philpott A., Biochem Biophys Res Commun. August 8, 2014; 450 (4): 1283-90. |
???pagination.result.page??? 1
