Click here to close Hello! We notice that you are using Internet Explorer, which is not supported by Xenbase and may cause the site to display incorrectly. We suggest using a current version of Chrome, FireFox, or Safari.

Profile Publications (21)
XB-PERS-3276

Publications By Hideo Kubo

???pagination.result.count???

???pagination.result.page??? 1


Pou5f3.3 is involved in establishment and maintenance of hematopoietic cells during Xenopus development., Ezawa M, Kouno F, Kubo H, Sakuma T, Yamamoto T, Kinoshita T., Tissue Cell. October 1, 2021; 72 101531.


Derivation of proliferative islet1-positive cells during metamorphosis and wound response in Xenopus., Umezawa S, Miyakawa M, Yamaura T, Kubo H, Kinoshita T., Histochem Cell Biol. January 1, 2021; 155 (1): 133-143.


Xtr, a plural tudor domain-containing protein, is involved in the translational regulation of maternal mRNA during oocyte maturation in Xenopus laevis., Ohgami H, Hiyoshi M, Mostafa MG, Kubo H, Abe S, Takamune K., Dev Growth Differ. August 1, 2012; 54 (6): 660-71.


Analysis of a sperm surface molecule that binds to a vitelline envelope component of Xenopus laevis eggs., Kubo H, Shiga K, Harada Y, Iwao Y., Mol Reprod Dev. August 1, 2010; 77 (8): 728-35.


Xtr, a plural tudor domain-containing protein, coexists with FRGY2 both in cytoplasmic mRNP particle and germ plasm in Xenopus embryo: its possible role in translational regulation of maternal mRNAs., Golam Mostafa M, Sugimoto T, Hiyoshi M, Kawasaki H, Kubo H, Matsumoto K, Abe S, Takamune K., Dev Growth Differ. August 1, 2009; 51 (6): 595-605.   


The Sperm-surface glycoprotein, SGP, is necessary for fertilization in the frog, Xenopus laevis., Nagai K, Ishida T, Hashimoto T, Harada Y, Ueno S, Ueda Y, Kubo H, Iwao Y., Dev Growth Differ. June 1, 2009; 51 (5): 499-510.


Involvement of sperm proteases in the binding of sperm to the vitelline envelope in Xenopus laevis., Kubo H, Kotani M, Yamamoto Y, Hazato T., Zoolog Sci. January 1, 2008; 25 (1): 80-7.


Analysis of terminal sugar moieties and species-specificities of acrosome reaction-inducing substance in Xenopus (ARISX)., Ueda Y, Imaizumi C, Kubo H, Sato K, Fukami Y, Iwao Y., Dev Growth Differ. September 1, 2007; 49 (7): 591-601.   


Expression of vomeronasal receptor genes in Xenopus laevis., Hagino-Yamagishi K, Moriya K, Kubo H, Wakabayashi Y, Isobe N, Saito S, Ichikawa M, Yazaki K., J Comp Neurol. April 26, 2004; 472 (2): 246-56.   


Characterization of the acrosome reaction-inducing substance in Xenopus (ARISX) secreted from the oviductal pars recta onto the vitelline envelope., Ueda Y, Kubo H, Iwao Y., Dev Biol. December 1, 2003; 264 (1): 289-98.


Effects of high gravity on amphibian development., Kashiwagi A, Hanada H, Kawakami S, Kubo H, Shinkai T, Fujii H, Kashiwagi K., Biol Sci Space. October 1, 2003; 17 (3): 215-6.


Immunohistochemical localisation of gp69/64 molecules in Xenopus egg envelopes in relation to their sperm binding activity., Kubo H, Kotani M, Suzuki H, Yoshizaki N., Zygote. May 1, 2002; 10 (2): 131-40.


Rescue of mouse embryos from 2-cell blocks by microinjection of maturation promoting factor., Nakano H, Kubo H., Fertil Steril. June 1, 2001; 75 (6): 1194-7.


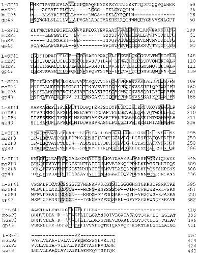
Egg envelope glycoprotein gp37 as a Xenopus homolog of mammalian ZP1, based on cDNA cloning., Kubo H, Kawano T, Tsubuki S, Kotani M, Kawasaki H, Kawashima S., Dev Growth Differ. August 1, 2000; 42 (4): 419-27.   


Study of the in vitro maturation of mouse oocytes induced by microinjection of maturation promoting factor (MPF)., Nakano H, Kubo H., J Assist Reprod Genet. January 1, 2000; 17 (1): 67-73.


Analyses of oviductal pars recta-induced fertilizability of coelomic eggs in Xenopus laevis., Katagiri C, Yoshizaki N, Kotani M, Kubo H., Dev Biol. June 15, 1999; 210 (2): 269-76.   


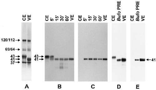
Molecular basis for oviductin-mediated processing from gp43 to gp41, the predominant glycoproteins of Xenopus egg envelopes., Kubo H, Matsushita M, Kotani M, Kawasaki H, Saido TC, Kawashima S, Katagiri C, Suzuki A., Dev Genet. January 1, 1999; 25 (2): 123-9.   


A major glycoprotein of Xenopus egg vitelline envelope, gp41, is a frog homolog of mammalian ZP3., Kubo H, Kawano T, Tsubuki S, Kawashima S, Katagiri C, Suzuki A., Dev Growth Differ. August 1, 1997; 39 (4): 405-17.   


Differential distribution of ganglioside GM1 and sulfatide during the development of Xenopus embryos., Kubo H, Kotani M, Ozawa H, Kawashima L, Tai T, Suzuki A., Dev Growth Differ. June 1, 1995; 37 (3): 243-255.


Structural parts involved in activation and inactivation of the sodium channel., Stühmer W, Conti F, Suzuki H, Wang XD, Noda M, Yahagi N, Kubo H, Numa S., Nature. June 22, 1989; 339 (6226): 597-603.


Functional expression of cloned cDNA encoding sodium channel III., Suzuki H, Beckh S, Kubo H, Yahagi N, Ishida H, Kayano T, Noda M, Numa S., FEBS Lett. February 8, 1988; 228 (1): 195-200.

???pagination.result.page??? 1