Click here to close Hello! We notice that you are using Internet Explorer, which is not supported by Xenbase and may cause the site to display incorrectly. We suggest using a current version of Chrome, FireFox, or Safari.

Profile Publications (39)
XB-PERS-3181

Publications By Ben J Evans

???pagination.result.count???

???pagination.result.page??? 1


Rapid Sex Chromosome Turnover in African Clawed Frogs (Xenopus) and the Origins of New Sex Chromosomes., Evans BJ, Gvoždík V, Knytl M, Cauret CMS, Herrel A, Greenbaum E, Patel J, Premachandra T, Papenfuss TJ, Parente J, Horb ME, Measey J., Mol Biol Evol. December 5, 2024; 41 (12):   


Functional dissection and assembly of a small, newly evolved, W chromosome-specific genomic region of the African clawed frog Xenopus laevis., Cauret CMS, Jordan DC, Kukoly LM, Burton SR, Anele EU, Kwiecien JM, Gansauge MT, Senthillmohan S, Greenbaum E, Meyer M, Horb ME, Evans BJ., PLoS Genet. October 1, 2023; 19 (10): e1010990.   


Population genomics and subgenome evolution of the allotetraploid frog Xenopus laevis in southern Africa., Premachandra T, Cauret CMS, Conradie W, Measey J, Evans BJ., G3 (Bethesda). February 9, 2023; 13 (2):   


Divergent subgenome evolution in the allotetraploid frog Xenopus calcaratus., Knytl M, Fornaini NR, Bergelová B, Gvoždík V, Černohorská H, Kubíčková S, Fokam EB, Evans BJ, Krylov V., Gene. January 30, 2023; 851 146974.


Consequences of polyploidy and divergence as revealed by cytogenetic mapping of tandem repeats in African clawed frogs (Xenopus, Pipidae)., Fornaini NR, Bergelová B, Gvoždík V, Černohorská H, Krylov V, Kubíčková S, Fokam EB, Badjedjea G, Evans BJ, Knytl M., Eur J Wildl Res. January 1, 2023; 69 (4): 81.   


New insights into Xenopus sex chromosome genomics from the Marsabit clawed frog X. borealis., Evans BJ, Mudd AB, Bredeson JV, Furman BLS, Wasonga DV, Lyons JB, Harland RM, Rokhsar DS., J Evol Biol. December 24, 2022; 35 (12): 1777-1790.   


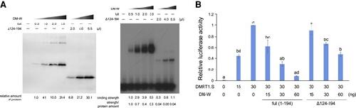
Neofunctionalization of a Noncoding Portion of a DNA Transposon in the Coding Region of the Chimerical Sex-Determining Gene dm-W in Xenopus Frogs., Hayashi S, Suda K, Fujimura F, Fujikawa M, Tamura K, Tsukamoto D, Evans BJ, Takamatsu N, Ito M., Mol Biol Evol. July 2, 2022; 39 (7):   


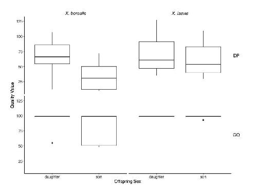
Sex chromosome degeneration, turnover, and sex-biased expression of sex-linked transcripts in African clawed frogs (Xenopus)., Song XY, Furman BLS, Premachandra T, Knytl M, Cauret CMS, Wasonga DV, Measey J, Dworkin I, Evans BJ., Philos Trans R Soc Lond B Biol Sci. August 30, 2021; 376 (1832): 20200095.


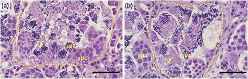
A frog with three sex chromosomes that co-mingle together in nature: Xenopus tropicalis has a degenerate W and a Y that evolved from a Z chromosome., Furman BLS, Cauret CMS, Knytl M, Song XY, Premachandra T, Ofori-Boateng C, Jordan DC, Horb ME, Evans BJ., PLoS Genet. November 1, 2020; 16 (11): e1009121.   


Generation, Coordination, and Evolution of Neural Circuits for Vocal Communication., Kelley DB, Ballagh IH, Barkan CL, Bendesky A, Elliott TM, Evans BJ, Hall IC, Kwon YM, Kwong-Brown U, Leininger EC, Perez EC, Rhodes HJ, Villain A, Yamaguchi A, Zornik E., J Neurosci. January 2, 2020; 40 (1): 22-36.


Xenopus fraseri: Mr. Fraser, where did your frog come from?, Evans BJ, Gansauge MT, Stanley EL, Furman BLS, Cauret CMS, Ofori-Boateng C, Gvoždík V, Streicher JW, Greenbaum E, Tinsley RC, Meyer M, Blackburn DC., PLoS One. September 3, 2019; 14 (9): e0220892.   


Divergent subgenome evolution after allopolyploidization in African clawed frogs (Xenopus)., Furman BLS, Dang UJ, Evans BJ, Golding GB., J Evol Biol. December 1, 2018; 31 (12): 1945-1958.


Divergent Evolutionary Trajectories of Two Young, Homomorphic, and Closely Related Sex Chromosome Systems., Furman BLS, Evans BJ., Genome Biol Evol. March 1, 2018; 10 (3): 742-755.   


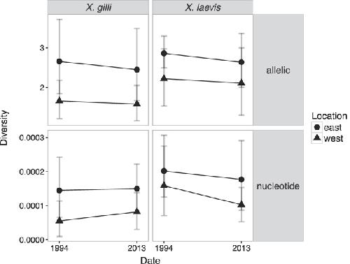
Limited genomic consequences of hybridization between two African clawed frogs, Xenopus gilli and X. laevis (Anura: Pipidae)., Furman BLS, Cauret CMS, Colby GA, Measey GJ, Evans BJ., Sci Rep. April 24, 2017; 7 (1): 1091.   


Probing forebrain to hindbrain circuit functions in Xenopus., Kelley DB, Elliott TM, Evans BJ, Hall IC, Leininger EC, Rhodes HJ, Yamaguchi A, Zornik E., Genesis. January 1, 2017; 55 (1-2):   


Chromosome divergence during evolution of the tetraploid clawed frogs, Xenopus mellotropicalis and Xenopus epitropicalis as revealed by Zoo-FISH., Knytl M, Smolík O, Kubíčková S, Tlapáková T, Evans BJ, Krylov V., PLoS One. January 1, 2017; 12 (5): e0177087.   


Sequential Turnovers of Sex Chromosomes in African Clawed Frogs (Xenopus) Suggest Some Genomic Regions Are Good at Sex Determination., Furman BLS, Evans BJ., G3 (Bethesda). November 8, 2016; 6 (11): 3625-3633.   


Genetics, Morphology, Advertisement Calls, and Historical Records Distinguish Six New Polyploid Species of African Clawed Frog (Xenopus, Pipidae) from West and Central Africa., Evans BJ, Carter TF, Greenbaum E, Gvoždík V, Kelley DB, McLaughlin PJ, Pauwels OS, Portik DM, Stanley EL, Tinsley RC, Tobias ML, Blackburn DC., PLoS One. December 16, 2015; 10 (12): e0142823.   


Pan-African phylogeography of a model organism, the African clawed frog 'Xenopus laevis'., Furman BL, Bewick AJ, Harrison TL, Greenbaum E, Gvoždík V, Kusamba C, Evans BJ., Mol Ecol. February 1, 2015; 24 (4): 909-25.


Molecular Polymorphism and Divergence of Duplicated Genes in Tetraploid African Clawed Frogs (Xenopus)., Evans BJ, Kwon T., Cytogenet Genome Res. January 1, 2015; .


Polyploidy in Amphibia., Schmid M, Evans BJ, Bogart JP., Cytogenet Genome Res. January 1, 2015; 145 (3-4): 315-30.


A comparison of host-defense peptides in skin secretions of female Xenopus laevis × Xenopus borealis and X. borealis × X. laevis F1 hybrids., Mechkarska M, Prajeep M, Leprince J, Vaudry H, Meetani MA, Evans BJ, Conlon JM., Peptides. July 1, 2013; 45 1-8.


Genomic dynamics of transposable elements in the western clawed frog (Silurana tropicalis)., Shen JJ, Dushoff J, Bewick AJ, Chain FJ, Evans BJ., Genome Biol Evol. January 1, 2013; 5 (5): 998-1009.   


A large pseudoautosomal region on the sex chromosomes of the frog Silurana tropicalis., Bewick AJ, Chain FJ, Zimmerman LB, Sesay A, Gilchrist MJ, Owens ND, Seifertova E, Krylov V, Macha J, Tlapakova T, Kubickova S, Cernohorska H, Zarsky V, Evans BJ., Genome Biol Evol. January 1, 2013; 5 (6): 1087-98.   


The pipid root., Bewick AJ, Chain FJ, Heled J, Evans BJ., Syst Biol. December 1, 2012; 61 (6): 913-26.


The odds of duplicate gene persistence after polyploidization., Chain FJ, Dushoff J, Evans BJ., BMC Genomics. December 12, 2011; 12 599.


The Rift Valley is a major barrier to dispersal of African clawed frogs (Xenopus) in Ethiopia., Evans BJ, Bliss SM, Mendel SA, Tinsley RC., Mol Ecol. October 1, 2011; 20 (20): 4216-30.


Description of a new octoploid frog species (Anura: Pipidae: Xenopus) from the Democratic Republic of the Congo, with a discussion of the biogeography of African clawed frogs in the Albertine Rift., Evans BJ, Greenbaum E, Kusamba C, Carter TF, Tobias ML, Mendel SA, Kelley DB., J Zool (1987). April 1, 2011; 283 (4): 276-290.


Evolution of the closely related, sex-related genes DM-W and DMRT1 in African clawed frogs (Xenopus)., Bewick AJ, Anderson DW, Evans BJ., Evolution. March 1, 2011; 65 (3): 698-712.


Evolution of advertisement calls in African clawed frogs., Tobias ML, Evans BJ, Kelley DB., Behaviour. January 1, 2011; 148 (4): 519-549.


Regulatory evolution of a duplicated heterodimer across species and tissues of allopolyploid clawed frogs (Xenopus)., Anderson DW, Evans BJ., J Mol Evol. March 1, 2009; 68 (3): 236-47.


Single-species microarrays and comparative transcriptomics., Chain FJ, Ilieva D, Evans BJ., PLoS One. September 1, 2008; 3 (9): e3279.   


Genome evolution and speciation genetics of clawed frogs (Xenopus and Silurana)., Evans BJ., Front Biosci. May 1, 2008; 13 4687-706.


Duplicate gene evolution and expression in the wake of vertebrate allopolyploidization., Chain FJ, Ilieva D, Evans BJ., BMC Evol Biol. February 8, 2008; 8 43.   


Ancestry influences the fate of duplicated genes millions of years after polyploidization of clawed frogs (Xenopus)., Evans BJ., Genetics. June 1, 2007; 176 (2): 1119-30.


Multiple mechanisms promote the retained expression of gene duplicates in the tetraploid frog Xenopus laevis., Chain FJ, Evans BJ., PLoS Genet. April 1, 2006; 2 (4): e56.   


Evolution of RAG-1 in polyploid clawed frogs., Evans BJ, Kelley DB, Melnick DJ, Cannatella DC., Mol Biol Evol. May 1, 2005; 22 (5): 1193-207.


A mitochondrial DNA phylogeny of African clawed frogs: phylogeography and implications for polyploid evolution., Evans BJ, Kelley DB, Tinsley RC, Melnick DJ, Cannatella DC., Mol Phylogenet Evol. October 1, 2004; 33 (1): 197-213.


Comparative molecular phylogeography of two Xenopus species, X. gilli and X. laevis, in the south-western Cape Province, South Africa., Evans BJ, Morales JC, Picker MD, Kelley DB, Melnick DJ., Mol Ecol. April 1, 1997; 6 (4): 333-43.

???pagination.result.page??? 1