Click here to close Hello! We notice that you are using Internet Explorer, which is not supported by Xenbase and may cause the site to display incorrectly. We suggest using a current version of Chrome, FireFox, or Safari.

Profile Publications (28)
XB-PERS-3167

Publications By Saburo Nagata

???pagination.result.count???

???pagination.result.page??? 1


Embryonic Epidermal Lectins in Three Amphibian Species, Rana ornativentris, Bufo japonicus formosus, and Cynops pyrrhogaster., Nagata S, Tanuma M., Zoolog Sci. August 1, 2020; 37 (4): 338-345.   


Xenopus laevis macrophage-like cells produce XCL-1, an intelectin family serum lectin that recognizes bacteria., Nagata S., Immunol Cell Biol. September 1, 2018; 96 (8): 872-878.


Identification and characterization of a novel intelectin in the digestive tract of Xenopus laevis., Nagata S., Dev Comp Immunol. June 1, 2016; 59 229-39.


Bacterial lipopolysaccharides stimulate production of XCL1, a calcium-dependent lipopolysaccharide-binding serum lectin, in Xenopus laevis., Nagata S, Nishiyama S, Ikazaki Y., Dev Comp Immunol. June 1, 2013; 40 (2): 94-102.


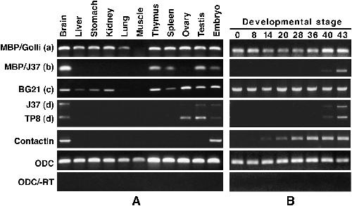
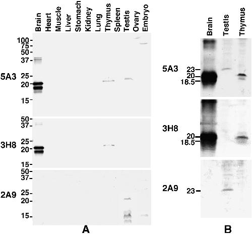
Structure and expression of myelin basic protein gene products in Xenopus laevis., Nanba R, Fujita N, Nagata S., Gene. July 1, 2010; 459 (1-2): 32-8.   


Contactin 1 knockdown in the hindbrain induces abnormal development of the trigeminal sensory nerve in Xenopus embryos., Fujita N, Nagata S., Dev Genes Evol. October 1, 2007; 217 (10): 709-13.


Repulsive guidance of axons of spinal sensory neurons in Xenopus laevis embryos: roles of Contactin and notochord-derived chondroitin sulfate proteoglycans., Fujita N, Nagata S., Dev Growth Differ. September 1, 2005; 47 (7): 445-56.


Isolation, characterization, and extra-embryonic secretion of the Xenopus laevis embryonic epidermal lectin, XEEL., Nagata S., Glycobiology. March 1, 2005; 15 (3): 281-90.   


Overexpression of receptor-type protein tyrosine phosphatase beta causes abnormal development of the cranial nerve in Xenopus embryos., Nagata S, Yamada Y, Saito R, Fujita N., Neurosci Lett. October 9, 2003; 349 (3): 175-8.


Developmental expression of XEEL, a novel molecule of the Xenopus oocyte cortical granule lectin family., Nagata S, Nakanishi M, Nanba R, Fujita N., Dev Genes Evol. July 1, 2003; 213 (7): 368-70.


Overexpression of Fyn tyrosine kinase causes abnormal development of primary sensory neurons in Xenopus laevis embryos., Saito R, Fujita N, Nagata S., Dev Growth Differ. June 1, 2001; 43 (3): 229-38.   


Multiple variants of receptor-type protein tyrosine phosphatase beta are expressed in the central nervous system of Xenopus., Nagata S, Saito R, Yamada Y, Fujita N, Watanabe K., Gene. January 10, 2001; 262 (1-2): 81-8.   


An essential role of the neuronal cell adhesion molecule contactin in development of the Xenopus primary sensory system., Fujita N, Saito R, Watanabe K, Nagata S., Dev Biol. May 15, 2000; 221 (2): 308-20.   


Induction of blood cells in Xenopus embryo explants., Miyanaga Y, Shiurba R, Nagata S, Pfeiffer CJ, Asashima M., Dev Genes Evol. January 1, 1998; 207 (7): 417-26.


cDNA cloning and expression of the Xenopus homologue of the neural adhesion molecule, contactin (F3/F11)., Nagata S, Fujita N, Takeuchi K, Watanabe K., Zoolog Sci. December 1, 1996; 13 (6): 813-20.


Development of T lymphocytes in Xenopus laevis: appearance of the antigen recognized by an anti-thymocyte mouse monoclonal antibody., Nagata S., Dev Biol. April 1, 1986; 114 (2): 389-94.


T cell proliferative responses of Xenopus lymphocyte subpopulations separated on anti-thymocyte monoclonal antibody coupled to sepharose beads., Nagata S., Dev Comp Immunol. January 1, 1986; 10 (2): 259-64.


A cell surface marker of thymus-dependent lymphocytes in Xenopus laevis is identifiable by mouse monoclonal antibody., Nagata S., Eur J Immunol. August 1, 1985; 15 (8): 837-41.


Identification and treatment of a lethal nematode (Capillaria xenopodis) infestation in the South African frog, Xenopus laevis., Cohen N, Effrige NJ, Parsons SC, Rollins-Smith LA, Nagata S, Albright D., Dev Comp Immunol. January 1, 1984; 8 (3): 739-41.


Induction of T cell differentiation in early-thymectomized Xenopus by grafting adult thymuses from either MHC-matched or from partially or totally MHC-mismatched donors., Nagata S, Cohen N., Thymus. January 1, 1984; 6 (1-2): 89-103.


Specific in vivo and nonspecific in vitro alloreactivities of adult frogs (Xenopus laevis) that were thymectomized during early larval life., Nagata S, Cohen N., Eur J Immunol. July 1, 1983; 13 (7): 541-5.


Thymocyte precursors in early-thymectomized Xenopus: migration into and differentiation in allogenic thymus grafts., Nagata S, Kawahara H., Dev Comp Immunol. January 1, 1982; 6 (3): 509-18.


Role of injected thymocytes in reconstituting cellular and humoral immune responses in early thymectomized Xenopus: use of triploid markers., Kawahara H, Nagata S, Katagiri C., Dev Comp Immunol. January 1, 1980; 4 (4): 679-90.


Restoration of antibody forming capacity in early-thymectomized Xenopus by injecting thymocytes., Nagata S., Dev Comp Immunol. January 1, 1980; 4 (3): 553-7.


Isolated lymphocytes can restore allograft rejection capacity of early-thymectomized Xenopus., Nagata S, Tochinai S., Dev Comp Immunol. October 1, 1978; 2 (4): 637-45.


Lymphocyte surface immunoglobulin in Xenopus laevis. Light and electron microscopic demonstration by immunoperoxidase method., Nagata S, Katagiri C., Dev Comp Immunol. April 1, 1978; 2 (2): 277-85.


Electron microscopic study on the early histogenesis of thymus in the toad, Xenopus laevis., Nagata S., Cell Tissue Res. March 30, 1977; 179 (1): 87-96.


Restoration of immune responsiveness in early thymectomized xenopus by implantation of histocompatible adult thymus., Tochinai S, Nagata S, Katagiri C., Eur J Immunol. October 1, 1976; 6 (10): 711-4.

???pagination.result.page??? 1