|
XB-PERS-2815
Publications By Jean-Pierre Muller
???pagination.result.count??????pagination.result.page??? 1
|
Left-right asymmetric morphogenesis in the Xenopus digestive system., Muller JK, Prather DR, Nascone-Yoder NM., Dev Dyn. December 1, 2003; 228 (4): 672-82. |
|
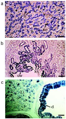
Expression of the Xenopus laevis metallothionein gene during ontogeny., Durliat M, Muller JP, André M, Wegnez M., Int J Dev Biol. September 1, 1999; 43 (6): 575-8. |
|
Molecular cloning and expression of a metallothionein mRNA in Xenopus laevis., Muller JP, Wouters-Tyrou D, Erraiss NE, Vedel M, Touzet N, Mesnard J, Sautiere P, Wegnez M., DNA Cell Biol. May 1, 1993; 12 (4): 341-9. |
|
Molecular cloning and expression of ferritin mRNA in heavy metal-poisoned Xenopus laevis cells., Muller JP, Vedel M, Monnot MJ, Touzet N, Wegnez M., DNA Cell Biol. October 1, 1991; 10 (8): 571-9. |
|
Cloning and expression of a novel rat GABAA receptor., Lolait SJ, O'Carroll AM, Kusano K, Muller JM, Brownstein MJ, Mahan LC., FEBS Lett. March 27, 1989; 246 (1-2): 145-8. |
|
Dexamethasone accelerates differentiation of A6 epithelia and increases response to vasopressin., Preston AS, Muller J, Handler JS., Am J Physiol. November 1, 1988; 255 (5 Pt 1): C661-6. |
???pagination.result.page??? 1
