|
XB-PERS-2674
Publications By Wolfram Antonin
???pagination.result.count??????pagination.result.page??? 1
|
Nuclear Pore Complex Assembly Using Xenopus Egg Extract., Holzer G, Antonin W., Methods Mol Biol. January 1, 2022; 2502 51-66. |
|
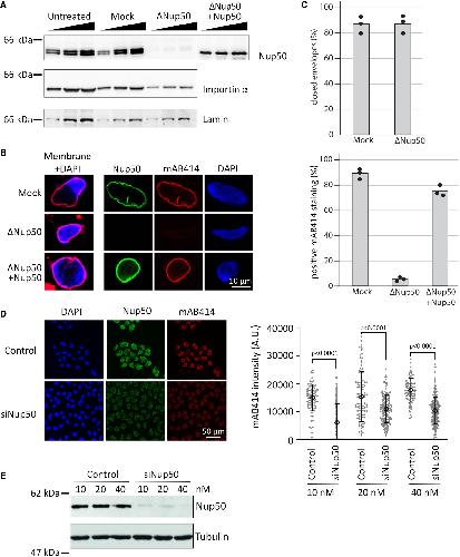
The nucleoporin Nup50 activates the Ran guanine nucleotide exchange factor RCC1 to promote NPC assembly at the end of mitosis., Holzer G, De Magistris P, Gramminger C, Sachdev R, Magalska A, Schooley A, Scheufen A, Lennartz B, Tatarek-Nossol M, Lue H, Linder MI, Kutay U, Preisinger C, Moreno-Andres D, Antonin W., EMBO J. December 1, 2021; 40 (23): e108788. |
|
VPS72/YL1-Mediated H2A.Z Deposition Is Required for Nuclear Reassembly after Mitosis., Moreno-Andrés D, Yokoyama H, Scheufen A, Holzer G, Lue H, Schellhaus AK, Weberruss M, Takagi M, Antonin W., Cells. July 16, 2020; 9 (7): |
|
Chromosome alignment maintenance requires the MAP RECQL4, mutated in the Rothmund-Thomson syndrome., Yokoyama H, Moreno-Andres D, Astrinidis SA, Hao Y, Weberruss M, Schellhaus AK, Lue H, Haramoto Y, Gruss OJ, Antonin W., Life Sci Alliance. February 4, 2019; 2 (1): |
|
Mutations in multiple components of the nuclear pore complex cause nephrotic syndrome., Braun DA, Lovric S, Schapiro D, Schneider R, Marquez J, Asif M, Hussain MS, Daga A, Widmeier E, Rao J, Ashraf S, Tan W, Lusk CP, Kolb A, Jobst-Schwan T, Schmidt JM, Hoogstraten CA, Eddy K, Kitzler TM, Shril S, Moawia A, Schrage K, Khayyat AIA, Lawson JA, Gee HY, Warejko JK, Hermle T, Majmundar AJ, Hugo H, Budde B, Motameny S, Altmüller J, Noegel AA, Fathy HM, Gale DP, Waseem SS, Khan A, Kerecuk L, Hashmi S, Mohebbi N, Ettenger R, Serdaroğlu E, Alhasan KA, Hashem M, Goncalves S, Ariceta G, Ubetagoyena M, Antonin W, Baig SM, Alkuraya FS, Shen Q, Xu H, Antignac C, Lifton RP, Mane S, Nürnberg P, Khokha MK, Hildebrandt F., J Clin Invest. September 1, 2018; 128 (10): 4313-4328. |
|
A self-inhibitory interaction within Nup155 and membrane binding are required for nuclear pore complex formation., De Magistris P, Tatarek-Nossol M, Dewor M, Antonin W., J Cell Sci. January 4, 2018; 131 (1): |
|
MISTIC-fusion proteins as antigens for high quality membrane protein antibodies., Alves NS, Astrinidis SA, Eisenhardt N, Sieverding C, Redolfi J, Lorenz M, Weberruss M, Moreno-Andrés D, Antonin W., Sci Rep. February 2, 2017; 7 41519. |
|
Mutations in nuclear pore genes NUP93, NUP205 and XPO5 cause steroid-resistant nephrotic syndrome., Braun DA, Sadowski CE, Kohl S, Lovric S, Astrinidis SA, Pabst WL, Gee HY, Ashraf S, Lawson JA, Shril S, Airik M, Tan W, Schapiro D, Rao J, Choi WI, Hermle T, Kemper MJ, Pohl M, Ozaltin F, Konrad M, Bogdanovic R, Büscher R, Helmchen U, Serdaroglu E, Lifton RP, Antonin W, Hildebrandt F., Nat Genet. April 1, 2016; 48 (4): 457-65. |
|
A Cell Free Assay to Study Chromatin Decondensation at the End of Mitosis., Schellhaus AK, Magalska A, Schooley A, Antonin W., J Vis Exp. December 19, 2015; (106): e53407. |
|
The lysine demethylase LSD1 is required for nuclear envelope formation at the end of mitosis., Schooley A, Moreno-Andrés D, De Magistris P, Vollmer B, Antonin W., J Cell Sci. September 15, 2015; 128 (18): 3466-77. |
|
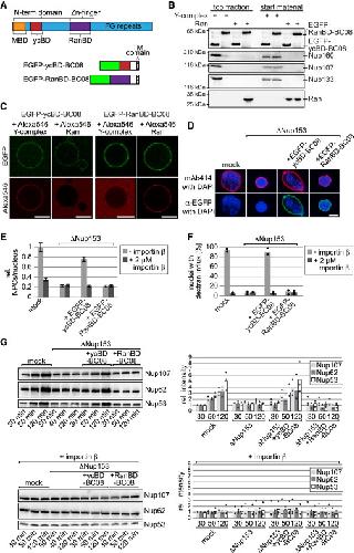
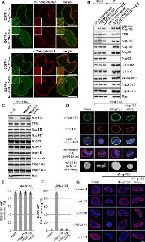
Nup153 Recruits the Nup107-160 Complex to the Inner Nuclear Membrane for Interphasic Nuclear Pore Complex Assembly., Vollmer B, Lorenz M, Moreno-Andrés D, Bodenhöfer M, De Magistris P, Astrinidis SA, Schooley A, Flötenmeyer M, Leptihn S, Antonin W., Dev Cell. June 22, 2015; 33 (6): 717-28. |
|
RuvB-like ATPases function in chromatin decondensation at the end of mitosis., Magalska A, Schellhaus AK, Moreno-Andrés D, Zanini F, Schooley A, Sachdev R, Schwarz H, Madlung J, Antonin W., Dev Cell. November 10, 2014; 31 (3): 305-318. |
|
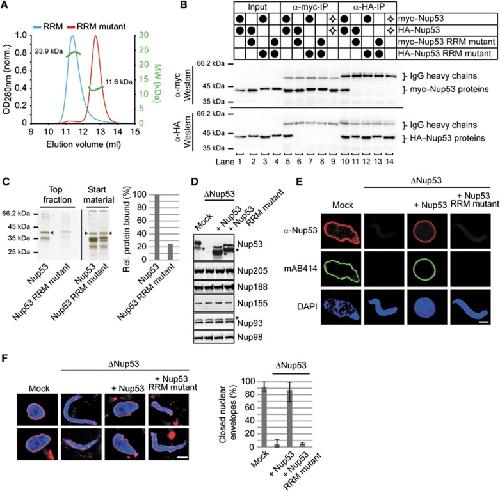
Interaction of Nup53 with Ndc1 and Nup155 is required for nuclear pore complex assembly., Eisenhardt N, Redolfi J, Antonin W., J Cell Sci. February 15, 2014; 127 (Pt 4): 908-21. |
|
Xenopus in vitro assays to analyze the function of transmembrane nucleoporins and targeting of inner nuclear membrane proteins., Eisenhardt N, Schooley A, Antonin W., Methods Cell Biol. January 1, 2014; 122 193-218. |
|
Don''t get stuck in the pore., Antonin W., EMBO J. January 23, 2013; 32 (2): 173-5. |
|
Dimerization and direct membrane interaction of Nup53 contribute to nuclear pore complex assembly., Vollmer B, Schooley A, Sachdev R, Eisenhardt N, Schneider AM, Sieverding C, Madlung J, Gerken U, Macek B, Antonin W., EMBO J. October 17, 2012; 31 (20): 4072-84. |
|
The C-terminal domain of Nup93 is essential for assembly of the structural backbone of nuclear pore complexes., Sachdev R, Sieverding C, Flötenmeyer M, Antonin W., Mol Biol Cell. February 1, 2012; 23 (4): 740-9. |
|
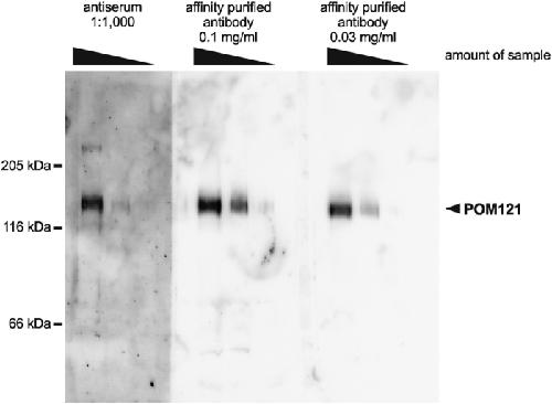
NLS-mediated NPC functions of the nucleoporin Pom121., Yavuz S, Santarella-Mellwig R, Koch B, Jaedicke A, Mattaj IW, Antonin W., FEBS Lett. August 4, 2010; 584 (15): 3292-8. |
|
The nucleoporin Nup188 controls passage of membrane proteins across the nuclear pore complex., Theerthagiri G, Eisenhardt N, Schwarz H, Antonin W., J Cell Biol. June 28, 2010; 189 (7): 1129-42. |
|
MEL-28/ELYS is required for the recruitment of nucleoporins to chromatin and postmitotic nuclear pore complex assembly., Franz C, Walczak R, Yavuz S, Santarella R, Gentzel M, Askjaer P, Galy V, Hetzer M, Mattaj IW, Antonin W., EMBO Rep. February 1, 2007; 8 (2): 165-72. |
|
The conserved transmembrane nucleoporin NDC1 is required for nuclear pore complex assembly in vertebrate cells., Mansfeld J, Güttinger S, Hawryluk-Gara LA, Panté N, Mall M, Galy V, Haselmann U, Mühlhäusser P, Wozniak RW, Mattaj IW, Kutay U, Antonin W., Mol Cell. April 7, 2006; 22 (1): 93-103. |
|
Nup155 regulates nuclear envelope and nuclear pore complex formation in nematodes and vertebrates., Franz C, Askjaer P, Antonin W, Iglesias CL, Haselmann U, Schelder M, de Marco A, Wilm M, Antony C, Mattaj IW., EMBO J. October 19, 2005; 24 (20): 3519-31. |
|
The integral membrane nucleoporin pom121 functionally links nuclear pore complex assembly and nuclear envelope formation., Antonin W, Franz C, Haselmann U, Antony C, Mattaj IW., Mol Cell. January 7, 2005; 17 (1): 83-92. |
???pagination.result.page??? 1
