Click here to close Hello! We notice that you are using Internet Explorer, which is not supported by Xenbase and may cause the site to display incorrectly. We suggest using a current version of Chrome, FireFox, or Safari.

Profile Publications (28)
XB-PERS-2664

Publications By Tosikazu Amano

???pagination.result.count???

???pagination.result.page??? 1


The shh limb enhancer is activated in patterned limb regeneration but not in hypomorphic limb regeneration in Xenopus laevis., Tada R, Higashidate T, Amano T, Ishikawa S, Yokoyama C, Kobari S, Nara S, Ishida K, Kawaguchi A, Ochi H, Ogino H, Yakushiji-Kaminatsui N, Sakamoto J, Kamei Y, Tamura K, Yokoyama H., Dev Biol. May 27, 2023; 500 22-30.   


SHH signaling directed by two oral epithelium-specific enhancers controls tooth and oral development., Sagai T, Amano T, Maeno A, Kiyonari H, Seo H, Cho SW, Shiroishi T., Sci Rep. October 11, 2017; 7 (1): 13004.   


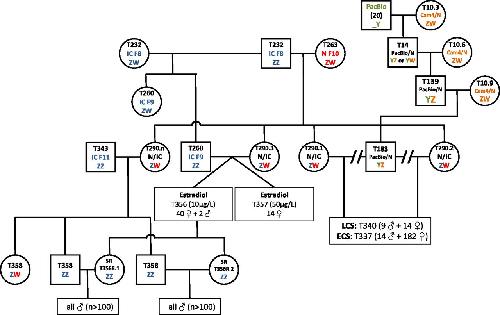
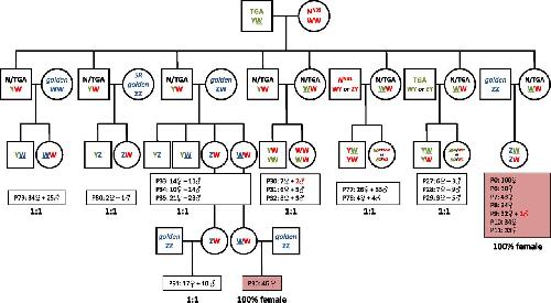
Coexistence of Y, W, and Z sex chromosomes in Xenopus tropicalis., Roco ÁS, Olmstead AW, Degitz SJ, Amano T, Zimmerman LB, Bullejos M., Proc Natl Acad Sci U S A. August 25, 2015; 112 (34): E4752-61.   


Exotic models may offer unique opportunities to decipher specific scientific question: the case of Xenopus olfactory system., Gascuel J, Amano T., Anat Rec (Hoboken). September 1, 2013; 296 (9): 1453-61.   


Expression of odorant receptor family, type 2 OR in the aquatic olfactory cavity of amphibian frog Xenopus tropicalis., Amano T, Gascuel J., PLoS One. January 1, 2012; 7 (4): e33922.   


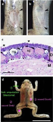
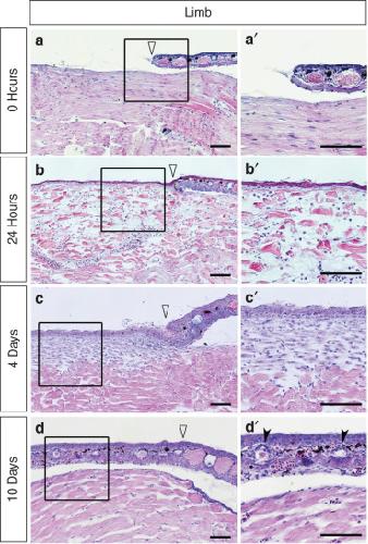
Prx-1 expression in Xenopus laevis scarless skin-wound healing and its resemblance to epimorphic regeneration., Yokoyama H, Maruoka T, Aruga A, Amano T, Ohgo S, Shiroishi T, Tamura K., J Invest Dermatol. December 1, 2011; 131 (12): 2477-85.   


Evidence for a cooperative role of gelatinase A and membrane type-1 matrix metalloproteinase during Xenopus laevis development., Hasebe T, Hartman R, Fu L, Amano T, Shi YB., Mech Dev. January 1, 2007; 124 (1): 11-22.


Ubiquitylation-independent ER-associated degradation of an AE1 mutant associated with dominant hereditary spherocytosis in cattle., Ito D, Koshino I, Arashiki N, Adachi H, Tomihari M, Tamahara S, Kurogi K, Amano T, Ono K, Inaba M., J Cell Sci. September 1, 2006; 119 (Pt 17): 3602-12.


Spatio-temporal regulation and cleavage by matrix metalloproteinase stromelysin-3 implicate a role for laminin receptor in intestinal remodeling during Xenopus laevis metamorphosis., Amano T, Fu L, Marshak A, Kwak O, Shi YB., Dev Dyn. September 1, 2005; 234 (1): 190-200.   


A causative role of stromelysin-3 in extracellular matrix remodeling and epithelial apoptosis during intestinal metamorphosis in Xenopus laevis., Fu L, Ishizuya-Oka A, Buchholz DR, Amano T, Matsuda H, Shi YB., J Biol Chem. July 29, 2005; 280 (30): 27856-65.


The matrix metalloproteinase stromelysin-3 cleaves laminin receptor at two distinct sites between the transmembrane domain and laminin binding sequence within the extracellular domain., Amano T, Kwak O, Fu L, Marshak A, Shi YB., Cell Res. March 1, 2005; 15 (3): 150-9.


Substrate specificity of Xenopus matrix metalloproteinase stromelysin-3., Amano T, Fu L, Sahu S, Markey M, Shi YB., Int J Mol Med. August 1, 2004; 14 (2): 233-9.


Isolation of connective-tissue-specific genes involved in Xenopus intestinal remodeling: thyroid hormone up-regulates Tolloid/BMP-1 expression., Shimizu K, Ishizuya-Oka A, Amano T, Yoshizato K, Ueda S., Dev Genes Evol. September 1, 2002; 212 (8): 357-64.


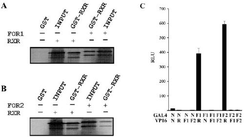
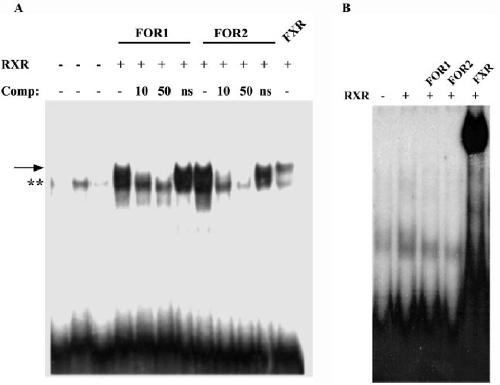
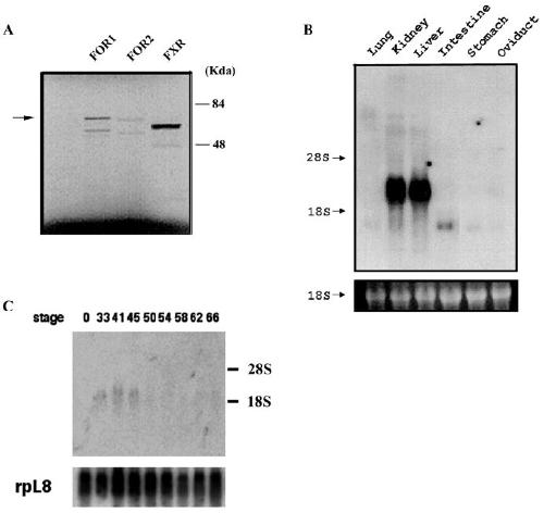
FOR, a novel orphan nuclear receptor related to farnesoid X receptor., Seo YW, Sanyal S, Kim HJ, Won DH, An JY, Amano T, Zavacki AM, Kwon HB, Shi YB, Kim WS, Kang H, Moore DD, Choi HS., J Biol Chem. May 17, 2002; 277 (20): 17836-44.   


Thyroid hormone regulation of a transcriptional coactivator in Xenopus laevis: implication for a role in postembryonic tissue remodeling., Amano T, Leu K, Yoshizato K, Shi YB., Dev Dyn. April 1, 2002; 223 (4): 526-35.   


Thyroid hormone-induced expression of sonic hedgehog correlates with adult epithelial development during remodeling of the Xenopus stomach and intestine., Ishizuya-Oka A, Ueda S, Inokuchi T, Amano T, Damjanovski S, Stolow M, Shi YB., Differentiation. December 1, 2001; 69 (1): 27-37.   


An essential role of histone deacetylases in postembryonic organ transformations in Xenopus laevis., Sachs LM, Amano T, Shi YB., Int J Mol Med. December 1, 2001; 8 (6): 595-601.


Involvement of histone deacetylase at two distinct steps in gene regulation during intestinal development in Xenopus laevis., Sachs LM, Amano T, Rouse N, Shi YB., Dev Dyn. October 1, 2001; 222 (2): 280-91.


Overexpression of matrix metalloproteinases leads to lethality in transgenic Xenopus laevis: implications for tissue-dependent functions of matrix metalloproteinases during late embryonic development., Damjanovski S, Amano T, Li Q, Pei D, Shi YB., Dev Dyn. May 1, 2001; 221 (1): 37-47.   


Thyroid-hormone-dependent and fibroblast-specific expression of BMP-4 correlates with adult epithelial development during amphibian intestinal remodeling., Ishizuya-Oka A, Ueda S, Amano T, Shimizu K, Suzuki K, Ueno N, Yoshizato K., Cell Tissue Res. February 1, 2001; 303 (2): 187-95.


Requirement for matrix metalloproteinase stromelysin-3 in cell migration and apoptosis during tissue remodeling in Xenopus laevis., Ishizuya-Oka A, Li Q, Amano T, Damjanovski S, Ueda S, Shi YB., J Cell Biol. September 4, 2000; 150 (5): 1177-88.   


Dual functions of thyroid hormone receptors during Xenopus development., Sachs LM, Damjanovski S, Jones PL, Li Q, Amano T, Ueda S, Shi YB, Ishizuya-Oka A., Comp Biochem Physiol B Biochem Mol Biol. June 1, 2000; 126 (2): 199-211.


Role of ECM remodeling in thyroid hormone-dependent apoptosis during anuran metamorphosis., Damjanovski S, Amano T, Li Q, Ueda S, Shi YB, Ishizuya-Oka A., Ann N Y Acad Sci. January 1, 2000; 926 180-91.


Regulation of apoptosis during development: input from the extracellular matrix (review)., Shi YB, Li Q, Damjanovski S, Amano T, Ishizuya-Oka A., Int J Mol Med. September 1, 1998; 2 (3): 273-82.


Metamorphosis-associated and region-specific expression of calbindin gene in the posterior intestinal epithelium of Xenopus laevis larva., Amano T, Noro N, Kawabata H, Kobayashi Y, Yoshizato K., Dev Growth Differ. April 1, 1998; 40 (2): 177-88.   


Isolation of genes involved in intestinal remodeling during anuran metamorphosis., Amano T., Wound Repair Regen. January 1, 1998; 6 (4): 302-13.


Characterization of metamorphic changes in anuran larval epidermis using lectins as probes., Amano T, Kawabata H, Yoshizato K., Dev Growth Differ. April 1, 1995; 37 (2): 211-220.


Separate fractions of mRNA from Torpedo electric organ induce chloride channels and acetylcholine receptors in Xenopus oocytes., Sumikawa K, Parker I, Amano T, Miledi R., EMBO J. October 1, 1984; 3 (10): 2291-4.

???pagination.result.page??? 1