Click here to close Hello! We notice that you are using Internet Explorer, which is not supported by Xenbase and may cause the site to display incorrectly. We suggest using a current version of Chrome, FireFox, or Safari.

Profile Publications (45)
XB-PERS-2659

Publications By Abraham Fainsod

???pagination.result.count???

???pagination.result.page??? 1


Genetically programmed retinoic acid deficiency during gastrulation phenocopies most known developmental defects due to acute prenatal alcohol exposure in FASD., Petrelli B, Oztürk A, Pind M, Ayele H, Fainsod A, Hicks GG., Front Cell Dev Biol. January 1, 2023; 11 1208279.   


Alcohol induces neural tube defects by reducing retinoic acid signaling and promoting neural plate expansion., Edri T, Cohen D, Shabtai Y, Fainsod A., Front Cell Dev Biol. January 1, 2023; 11 1282273.   


Enhanced Loss of Retinoic Acid Network Genes in Xenopus laevis Achieves a Tighter Signal Regulation., Abbou T, Bendelac-Kapon L, Sebag A, Fainsod A., Cells. January 19, 2022; 11 (3):   


Reduced Retinoic Acid Signaling During Gastrulation Induces Developmental Microcephaly., Gur M, Bendelac-Kapon L, Shabtai Y, Pillemer G, Fainsod A., Front Cell Dev Biol. January 1, 2022; 10 844619.   


Retinoic Acid is Required for Normal Morphogenetic Movements During Gastrulation., Gur M, Edri T, Moody SA, Fainsod A., Front Cell Dev Biol. January 1, 2022; 10 857230.   


Retinoic Acid Fluctuation Activates an Uneven, Direction-Dependent Network-Wide Robustness Response in Early Embryogenesis., Parihar M, Bendelac-Kapon L, Gur M, Abbou T, Belorkar A, Achanta S, Kinberg K, Vadigepalli R, Fainsod A., Front Cell Dev Biol. January 1, 2021; 9 747969.   


Natural size variation among embryos leads to the corresponding scaling in gene expression., Leibovich A, Edri T, Klein SL, Moody SA, Fainsod A., Dev Biol. June 15, 2020; 462 (2): 165-179.   


Fetal Alcohol Spectrum Disorder: Embryogenesis Under Reduced Retinoic Acid Signaling Conditions., Fainsod A, Bendelac-Kapon L, Shabtai Y., Subcell Biochem. January 1, 2020; 95 197-225.


Retinoic acid signaling reduction recapitulates the effects of alcohol on embryo size., Shukrun N, Shabtai Y, Pillemer G, Fainsod A., Genesis. July 1, 2019; 57 (7-8): e23284.   


Xenopus embryos to study fetal alcohol syndrome, a model for environmental teratogenesis., Fainsod A, Kot-Leibovich H., Biochem Cell Biol. April 1, 2018; 96 (2): 77-87.


ADMP controls the size of Spemann's organizer through a network of self-regulating expansion-restriction signals., Leibovich A, Kot-Leibovich H, Ben-Zvi D, Fainsod A., BMC Biol. January 22, 2018; 16 (1): 13.   


Acetaldehyde inhibits retinoic acid biosynthesis to mediate alcohol teratogenicity., Shabtai Y, Bendelac L, Jubran H, Hirschberg J, Fainsod A., Sci Rep. January 10, 2018; 8 (1): 347.   


A novel role of the organizer gene Goosecoid as an inhibitor of Wnt/PCP-mediated convergent extension in Xenopus and mouse., Ulmer B, Tingler M, Kurz S, Maerker M, Andre P, Mönch D, Campione M, Deißler K, Lewandoski M, Thumberger T, Schweickert A, Fainsod A, Steinbeißer H, Blum M., Sci Rep. February 21, 2017; 7 43010.   


ADHFe1: a novel enzyme involved in retinoic acid-dependent Hox activation., Shabtai Y, Shukrun N, Fainsod A., Int J Dev Biol. January 1, 2017; 61 (3-4-5): 303-310.   


Roles of the cilium-associated gene CCDC11 in left-right patterning and in laterality disorders in humans., Gur M, Cohen EB, Genin O, Fainsod A, Perles Z, Cinnamon Y., Int J Dev Biol. January 1, 2017; 61 (3-4-5): 267-276.   


Expression of the ALK1 family of type I BMP/ADMP receptors during gastrula stages in Xenopus embryos., Leibovich A, Steinbeißer H, Fainsod A., Int J Dev Biol. January 1, 2017; 61 (6-7): 465-470.   


Xenopus Pkdcc1 and Pkdcc2 Are Two New Tyrosine Kinases Involved in the Regulation of JNK Dependent Wnt/PCP Signaling Pathway., Vitorino M, Silva AC, Inácio JM, Ramalho JS, Gur M, Fainsod A, Steinbeisser H, Belo JA., PLoS One. August 13, 2015; 10 (8): e0135504.   


Scaling of dorsal-ventral patterning in the Xenopus laevis embryo., Ben-Zvi D, Fainsod A, Shilo BZ, Barkai N., Bioessays. February 1, 2014; 36 (2): 151-6.


Phosphorylation-mediated stabilization of Bora in mitosis coordinates Plx1/Plk1 and Cdk1 oscillations., Feine O, Hukasova E, Bruinsma W, Freire R, Fainsod A, Gannon J, Mahbubani HM, Lindqvist A, Brandeis M., Cell Cycle. January 1, 2014; 13 (11): 1727-36.


Cdx1 is essential for the initiation of HoxC8 expression during early embryogenesis., Schyr RB, Shabtai Y, Shashikant CS, Fainsod A., FASEB J. June 1, 2012; 26 (6): 2674-84.


Negative autoregulation of Oct3/4 through Cdx1 promotes the onset of gastrulation., Rousso SZ, Schyr RB, Gur M, Zouela N, Kot-Leibovich H, Shabtai Y, Koutsi-Urshanski N, Baldessari D, Pillemer G, Niehrs C, Fainsod A., Dev Dyn. April 1, 2011; 240 (4): 796-807.   


Oct-3/4 regulates stem cell identity and cell fate decisions by modulating Wnt/β-catenin signalling., Abu-Remaileh M, Gerson A, Farago M, Nathan G, Alkalay I, Zins Rousso S, Gur M, Fainsod A, Bergman Y., EMBO J. October 6, 2010; 29 (19): 3236-48.


Ethanol induces embryonic malformations by competing for retinaldehyde dehydrogenase activity during vertebrate gastrulation., Kot-Leibovich H, Fainsod A., Dis Model Mech. January 1, 2009; 2 (5-6): 295-305.   


Scaling of the BMP activation gradient in Xenopus embryos., Ben-Zvi D, Shilo BZ, Fainsod A, Barkai N., Nature. June 26, 2008; 453 (7199): 1205-11.


Early molecular effects of ethanol during vertebrate embryogenesis., Yelin R, Kot H, Yelin D, Fainsod A., Differentiation. June 1, 2007; 75 (5): 393-403.   


Temporal analysis of the early BMP functions identifies distinct anti-organizer and mesoderm patterning phases., Marom K, Levy V, Pillemer G, Fainsod A., Dev Biol. June 15, 2005; 282 (2): 442-54.   


Ethanol exposure affects gene expression in the embryonic organizer and reduces retinoic acid levels., Yelin R, Schyr RB, Kot H, Zins S, Frumkin A, Pillemer G, Fainsod A., Dev Biol. March 1, 2005; 279 (1): 193-204.   


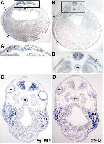
The RNA-binding protein Vg1 RBP is required for cell migration during early neural development., Yaniv K, Fainsod A, Kalcheim C, Yisraeli JK., Development. December 1, 2003; 130 (23): 5649-61.   


The competence of marginal zone cells to become Spemann's organizer is controlled by Xcad2., Levy V, Marom K, Zins S, Koutsia N, Yelin R, Fainsod A., Dev Biol. August 1, 2002; 248 (1): 40-51.   


Gbx2 interacts with Otx2 and patterns the anterior-posterior axis during gastrulation in Xenopus., Tour E, Pillemer G, Gruenbaum Y, Fainsod A., Mech Dev. March 1, 2002; 112 (1-2): 141-51.   


Otx2 can activate the isthmic organizer genetic network in the Xenopus embryo., Tour E, Pillemer G, Gruenbaum Y, Fainsod A., Mech Dev. January 1, 2002; 110 (1-2): 3-13.   


The two Xenopus Gbx2 genes exhibit similar, but not identical expression patterns and can affect head formation., Tour E, Pillemer G, Gruenbaum Y, Fainsod A., FEBS Lett. October 26, 2001; 507 (2): 205-9.


The Xvex-1 antimorph reveals the temporal competence for organizer formation and an early role for ventral homeobox genes., Shapira E, Marom1 K, Levy V, Yelin R, Fainsod A., Mech Dev. January 1, 2000; 90 (1): 77-87.


Patterning of the mesoderm involves several threshold responses to BMP-4 and Xwnt-8., Marom K, Fainsod A, Steinbeisser H., Mech Dev. September 1, 1999; 87 (1-2): 33-44.   


A role for the homeobox gene Xvex-1 as part of the BMP-4 ventral signaling pathway., Shapira E, Marom K, Yelin R, Levy A, Fainsod A., Mech Dev. August 1, 1999; 86 (1-2): 99-111.   


The Xcad-2 gene can provide a ventral signal independent of BMP-4., Pillemer G, Yelin R, Epstein M, Gont L, Frumkin Y, Yisraeli JK, Steinbeisser H, Fainsod A., Mech Dev. June 1, 1998; 74 (1-2): 133-43.   


Nested expression and sequential downregulation of the Xenopus caudal genes along the anterior-posterior axis., Pillemer G, Epstein M, Blumberg B, Yisraeli JK, De Robertis EM, Steinbeisser H, Fainsod A., Mech Dev. February 1, 1998; 71 (1-2): 193-6.


Patterning of the embryo along the anterior-posterior axis: the role of the caudal genes., Epstein M, Pillemer G, Yelin R, Yisraeli JK, Fainsod A., Development. October 1, 1997; 124 (19): 3805-14.   


The dorsalizing and neural inducing gene follistatin is an antagonist of BMP-4., Fainsod A, Deissler K, Yelin R, Marom K, Epstein M, Pillemer G, Steinbeisser H, Blum M., Mech Dev. April 1, 1997; 63 (1): 39-50.


Overexpression of the homeobox gene Xnot-2 leads to notochord formation in Xenopus., Gont LK, Fainsod A, Kim SH, De Robertis EM., Dev Biol. February 25, 1996; 174 (1): 174-8.   


The role of gsc and BMP-4 in dorsal-ventral patterning of the marginal zone in Xenopus: a loss-of-function study using antisense RNA., Steinbeisser H, Fainsod A, Niehrs C, Sasai Y, De Robertis EM., EMBO J. November 1, 1995; 14 (21): 5230-43.


On the function of BMP-4 in patterning the marginal zone of the Xenopus embryo., Fainsod A, Steinbeisser H, De Robertis EM., EMBO J. November 1, 1994; 13 (21): 5015-25.


The evolution of vertebrate gastrulation., De Robertis EM, Fainsod A, Gont LK, Steinbeisser H., Dev Suppl. January 1, 1992; 117-24.


The chicken homeo box genes CHox1 and CHox3: cloning, sequencing and expression during embryogenesis., Rangini Z, Frumkin A, Shani G, Guttmann M, Eyal-Giladi H, Gruenbaum Y, Fainsod A., Gene. March 15, 1989; 76 (1): 61-74.


Sequence analysis of the murine Hox-2.2, -2.3, and -2.4 homeo boxes: evolutionary and structural comparisons., Hart CP, Fainsod A, Ruddle FH., Genomics. October 1, 1987; 1 (2): 182-95.

???pagination.result.page??? 1