|
XB-PERS-2655
Publications By Tyler A. Square
???pagination.result.count??????pagination.result.page??? 1
|
Evolution of the endothelin pathway drove neural crest cell diversification., Square TA, Jandzik D, Massey JL, Romášek M, Stein HP, Hansen AW, Purkayastha A, Cattell MV, Medeiros DM., Nature. September 1, 2020; 585 (7826): 563-568. |
|
Embryonic expression of endothelins and their receptors in lamprey and frog reveals stem vertebrate origins of complex Endothelin signaling., Square T, Jandzik D, Cattell M, Hansen A, Medeiros DM., Sci Rep. September 28, 2016; 6 34282. |
|
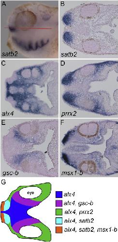
A gene expression map of the larval Xenopus laevis head reveals developmental changes underlying the evolution of new skeletal elements., Square T, Jandzik D, Cattell M, Coe A, Doherty J, Medeiros DM., Dev Biol. January 15, 2015; 397 (2): 293-304. |
???pagination.result.page??? 1
